Cookie Consent byPrivacyPolicies.com1ere fois que ca m arrive!!!!!! - Eugenol

1ere fois que ca m arrive!!!!!!

6szjws718sv1jksw54v4mpj3a6cu - Eugenol
vulpi

11/03/2016 à 19h30

C'est beau toute cette diversité dans la façon de soigner! Heureusement qu'il n'y a pas des jobards qui voudraient mettre tout ça en équation et pondre des recommandations, on perdrait beaucoup.


Orezza gazeuse verre litre ocoxey - Eugenol
casa

11/03/2016 à 20h39

Certaines, qui se posent beaucoup de questions, devraient venir faire un tour par ici .... Tout à la cytoject ..je n'y aurais pas pensé !


Ylfwcw979cz1jnx9gfqeaxndiuzk - Eugenol
Algi

13/03/2016 à 17h56

J'avais raté ce post..... devais avoir piscine en 2014 du coup j'ai tout lu cette semaine....

Quelle aventure et quel plaisir, quelle fraicheur, que du bonheur.

Ajoutons à cela que certains parmi les principaux personnages sont de mes amis....

Bref je l'ai lu et du coup j'ai des remords sur certains cas où, peut être , le sort eut pu être moins funeste pour certains organes dentaires mais j'entrevois des possibles solutions pour les suivants.

Zou je file mais reviendrai sous peu.

--
L’extrémisme est le culte sans la culture ;
le fondamentalisme est la croyance sans la connaissance ;
l’intégrisme est la religiosité sans la spiritualité.

On a toujours le choix mais entre quoi et quoi?
Vas-y boulégue et l'avenir te le dira!


Vw campersurfvan bmnk1q - Eugenol
enlaye

18/03/2016 à 20h11

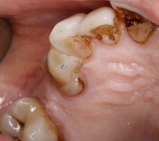
voilà des nouvelles du dernier cas .
je me suis trompé ,je ne l'ai pas enlevé debut janvier mais le 12 fevrier . on est donc à 1 mois
aujoud'hui , il n'y a pas de douleur ,la dent bouge un peu ( comme les autres dents ),il n'y a plus eu d' abces purulent .
la sonde paro rentre en distal .
la cale en occluson est tjs là , la dent n'etant pas collée à la canine .

la patiente est ravie , mais moi je le sens moyen ce coup !
ç est bien beau de la garder cette dent , mais pour en faire quoi ? ç est un plan à la con :-)
ce qui n'empeche qu'elle est tjs là , et on se demande bien pourquoi :-)).

 mg 0764 lq65px - Eugenol
 mg 0766 knsgzn - Eugenol

Orezza gazeuse verre litre ocoxey - Eugenol
casa

19/03/2016 à 10h31

Houlà!c'est du lourd comme tu dis ! Elle a 50 ans cette dame ? Oups, faut la prévenir que son age dentaire est 70 balais et encore ...6 mois me parait raisonnable comme durée de "vie" .... Mais de toute façon , c'est intéressant si la patiente "coopère" ! bises Enlaye


Image saznoz - Eugenol
Hodina

19/03/2016 à 11h17

Bon, si ça foire, moi je te l'enlève à l'arrache-couronne!😋

--
😁😁😁😁😁😁
Le Blog dentaire.
Cliquez ici------> www.arcad-dentaire.fr
Dernier article----------- L'assainissement parodontal
((-----Vivre le sourire Hollywoodien-----))


Ylfwcw979cz1jnx9gfqeaxndiuzk - Eugenol
Algi

22/03/2016 à 21h24

Pas encore eu de cas à me mettre sous la dent mais vu la qualité des endos françaises ça devrait pas tarder...

En attendant je tenais à remercier Enlaye car j'ai pu essayer le truc qu'il a donné concernant le fait "d'appuyer" latéralement environ 1 minute avec un tournevis ou tout autre instrument y ressemblant (là c'était un bernard, j'avais pas de tournevis stérile sous la main)sur une dent à extraire...

Ce midi: 44 fracturée sur toute la longueur (donc pas possible de la réimplanter celle là), comme c'était pété depuis un bon bout de temps (on avait dejà rescellé la coiffe dessus y'a presque un an et je pense elle était déjà fendue....) j'avais un beau merdier kystique sur toute la moitié mesiale et un site refractaire à l'anesthesie.

J'ai pu retirer la moitié purulente sans trop de peine et une douleur fugace mais pour la moitié distale, macache ça tenait bien et ça faisait mal, pas question de batailler pour la sortir...

J'ai repiqué un peu pour tenter d'avoir meilleure anesthesie puis ai placé la lame du bernard en distal entre os et racine et fait levier gentiment en appuyant fermement mais sans violence et, comme dit mais ça m'a surpris, l'a fallu environ trente sept secondes pour que d'un coup d'un seul la racine lache en faisant un petit crac.

Ensuite j'ai eu plus qu'à la ceuillir avec mon davier et il a presque rien senti.

Donc merci doc enlaye.

--
L’extrémisme est le culte sans la culture ;
le fondamentalisme est la croyance sans la connaissance ;
l’intégrisme est la religiosité sans la spiritualité.

On a toujours le choix mais entre quoi et quoi?
Vas-y boulégue et l'avenir te le dira!


Vw campersurfvan bmnk1q - Eugenol
enlaye

29/04/2016 à 15h08

de rien ,Algi :-)

ce matin ,
il etait question d'enlever une vielle racine qui etait support de bridge supportant un ic . genre tres creuse avec les bords bien fin . où il faudrait faire une mega elongation...
et puis quand je l'ai enlevé , je l'ai trouvé bien sympatique cette racine . elle me disait pourqoi moi ? pourqoi moi ? vivre ! , vivre ! :-)))
aller , parce que ç est toi :
hop un ptit coup de lime d'endo et de spaden .
hop taille peripherique
et zou dans le trou tu iras et pas jusqu'au fond , ça t'apprendra .

mince ,j'ai oublié de cureter le fond de l'alvéole !
re mince ,les poils de compresse se sont collés , on dirait une portugaise , relavage au jus d'anesthesie ,et froti frota!
heureusement que je l'ai mise à l'envers , sinon elle serait partie direct au fond . tu vas rester là ,dis , pas bouger ,hein ?

 mg 0896 xqjdum - Eugenol

Generique fraisage r2rxmm - Eugenol
lardonbis

29/04/2016 à 16h54

l'implant biodégradable :)


Orezza gazeuse verre litre ocoxey - Eugenol
casa

29/04/2016 à 17h59

aïe aïe aïe , si certains lisent ça (Bul ...) ils tombent net ! pin pon pin pon .....


Little shop of horrors brzqjx - Eugenol
chatondecarte

29/04/2016 à 18h23

Evidence based dentistry, quoi......


Orezza gazeuse verre litre ocoxey - Eugenol
casa

29/04/2016 à 18h28

Qui se traduit par ? désolée moi y'en a pas comprendre ....


Little shop of horrors brzqjx - Eugenol
chatondecarte

29/04/2016 à 19h57

Que tenter des trucs sur des patients qui ont 3 ou 4 % de réussir je vois pas trop l'intérêt

C'est loin d'être reproductible. Et pour le moment tout ce qu'on obtient c'est une belle lyse osseuse plutôt qu'une cicatrisation propre.


Vw campersurfvan bmnk1q - Eugenol
enlaye

30/04/2016 à 04h23

Quoi? Tu veux dire que je suis cocu depuis 20 ans?
Savais pas .:-))))parce que normalement le taux de réussite n est que de 3a 4 %?
Et comment tu sais tout ca toi , tu pratiques ?
Et tu l as vu où toi , la lyse?
Racontes , Chaton !!


6szjws718sv1jksw54v4mpj3a6cu - Eugenol
vulpi

30/04/2016 à 19h56

Il était une fois dans l'oued...







Il était temps que les Russes arrivent!


Darmon - Eugenol
latin

01/05/2016 à 00h52

Merci Vulpi pour cette trouvaille!
En plus c'est toujours sympa de pouvoir mettre un visage sur un pseudo : Enlaye petit cachottier, tu ne nous avais pas dit que tu faisais tes expérimentations d'extraction-réimplantation au proche-orient! Au passage, joli combo moumoute-moustache ;-p


Little shop of horrors brzqjx - Eugenol
chatondecarte

01/05/2016 à 01h39

enlaye écrivait:
----------------
> Quoi? Tu veux dire que je suis cocu depuis 20 ans?
> Savais pas .:-))))parce que normalement le taux de réussite n est que de 3a 4 %?
> Et comment tu sais tout ca toi , tu pratiques ?
> Et tu l as vu où toi , la lyse?
> Racontes , Chaton !!


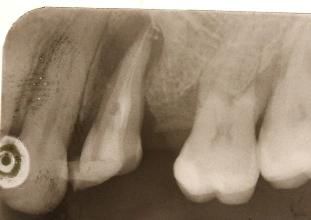
Je l'ai indiqué par des flèches la lyse osseuse.

Si ça marche si bien et que c'est si simple, pourquoi cette technique est si peu décrite ?


Vw campersurfvan bmnk1q - Eugenol
enlaye

01/05/2016 à 02h07

chatondecarte écrivait:
-----------------------
" Je l'ai indiqué par des flèches la lyse osseuse. "

où ça Chatondecarte ?
tu as oublié d'envoyer la photo ?



" Si ça marche si bien et que c'est si simple, pourquoi cette technique est si peu décrite ? "

parce que je n'ai pas publié , tout simplement :-))


Little shop of horrors brzqjx - Eugenol
chatondecarte

01/05/2016 à 02h34

J arrive pas à joindre la photo avec mon tel... grrrrrrr!!!

Je le fais demain.


Vw campersurfvan bmnk1q - Eugenol
enlaye

01/05/2016 à 02h40

OK a 2mains


Vw campersurfvan bmnk1q - Eugenol
enlaye

02/05/2016 à 20h59

chatondecarte écrivait:
-----------------------
" Si ça marche si bien et que c'est si simple, ......"

pourquoi ,le reste te parait compliqué ?
maintenant ,si tu aimes les complications, il faut que tu fasses de l'horlogerie , il y en a plein ,et tu pourras planter des aiguilles dans tous les quadrants :-)))))))


aterman

03/05/2016 à 10h52

Un peu de lecture sur l autotransplantation...

Article 5, etude scandinave, a 12-22 ans de suivit apres une autotransplantation on est a 100% de succés. Donc c est une procedure qui fonctionne bien.



1. Josefsson E, Brattstrom V, Tegsjo U, Valerius-Olsson H. Treatment of lower second premolar agenesis by autotransplantation: four-year evaluation of eighty patients. Acta Odontologica Scandinavica 1999;57:111-115.

2. Kvint S, Lindsten R, Magnusson A, Nilsson P, Bjerklin K. Autotransplantation of Teeth in 215 Patients. The Angle Orthodontist 2010;80:446-451.

3. Kokai S, Kanno Z, Koike S, Uesugi S, Takahashi Y, Ono T et al. Retrospective study of 100 autotransplanted teeth with complete root formation and subsequent orthodontic treatment. American Journal of Orthodontics and Dentofacial Orthopedics 2015;148:982-989.

4. Jang Y, Choi YJ, Lee S-J, Roh B-D, Park SH, Kim E. Prognostic Factors for Clinical Outcomes in Autotransplantation of Teeth with Complete Root Formation: Survival Analysis for up to 12 Years. Journal of Endodontics 2016;42:198-205.

5. Mikkelä Stange K, Lindsten R, Bjerklin K. Autotransplantation of premolars to the maxillary incisor region: a long-term follow-up of 12–22 years. European Journal of Orthodontics 2016.

6. Kristerson L. Aurotransplantation of teeth. Influence of different factors on periodontal and pulpal healing. Departments of Oral Surgery and Periodontology, Karolinska Institutet, Stockholm and Department of Oral Surgery, Länssjukhuset, Halmstad, Sweden. Stockholm-Halmstad: Karoliska Institutet; 1985.

7. Lagerstrom L, Kristerson L. Influence of orthodontic treatment on root development of autotransplanted premolars. Am J Orthod 1986;89:146-150.

8. Andreasen JO, Paulsen HU, Yu Z, Ahlquist R, Bayer T, Schwartz O. A long-term study of 370 autotransplanted premolars. Part I. Surgical procedures and standardized techniques for monitoring healing. European Journal of Orthodontics 1990;12:3-13.

9. Czochrowska EM, Stenvik A, Bjercke B, Zachrisson BU. Outcome of tooth transplantation: survival and success rates 17-41 years posttreatment. American Journal of Orthodontics and Dentofacial Orthopedics 2002;121:110-119.

10. Bernard JP, Schatz JP, Christou P, Belser U, Kiliaridis S. Long-term vertical changes of the anterior maxillary teeth adjacent to single implants in young and mature adults. A retrospective study. Journal of Clinical Periodontology 2004;31:1024-1028.

11. Mendoza-Mendoza A, Solano-Reina E, Iglesias-Linares A, Garcia-Godoy F, Abalos C. Retrospective long-term evaluation of autotransplantation of premolars to the central incisor region. International Endodontic Journal 2012;45:88-97.

12. Plakwicz P, Wojtowicz A, Czochrowska EM. Survival and success rates of autotransplanted premolars: A prospective study of the protocol for developing teeth. American Journal of Orthodontics and Dentofacial Orthopedics 2013;144:229-237.


Vw campersurfvan bmnk1q - Eugenol
enlaye

03/05/2016 à 11h02

merci , Aterman .


6szjws718sv1jksw54v4mpj3a6cu - Eugenol
vulpi

03/05/2016 à 11h51

Eh oui! Et bizarrement cette technique et les études qui vont avec sont tombées en désuétude avec l'avènement de l'implantologie pour tous.
Pourtant c'est bio l'auto-transplantation!


Orezza gazeuse verre litre ocoxey - Eugenol
casa

03/05/2016 à 12h03

Ben ouais , c'était pas très "glamour" les vidéos ! par contre des études scandinaves là , ça calme ... comme quoi , tout est une question "d'emballage" !


1...202122...