Cookie Consent byPrivacyPolicies.com1ere fois que ca m arrive!!!!!! - Eugenol

1ere fois que ca m arrive!!!!!!

Vw campersurfvan bmnk1q - Eugenol
enlaye

16/02/2018 à 15h13

noooon , tu suis pas Pervers , si tu supportes pas le 51 , passe à l'anthésite :-))
Enlaye Rigolade , intentionnelle .


Utilisateur banni

24/02/2018 à 18h45

Je lui ai fait 2 devis IC à déposer et retraitement.... vue sa tronche devant le devis je sens que ça ne va pas le faire.
Je vais lui faire une ERI gracieusement si il ne peut pas financièrement :)
RDV dans un mois .....

3b0f8391 fe0c 4223 a109 49378cb7803d vlpapp - Eugenol

mr smith

24/02/2018 à 19h18

junior® écrivait:
-------

> Je vais lui faire une ERI gracieusement si il ne peut pas financièrement :)
> RDV dans un mois .....

Mets du Bandol dans l'alvéole , c'est un secret mais ne le dit à personne ;o))


Generique fraisage r2rxmm - Eugenol
lardonbis

27/02/2018 à 09h33

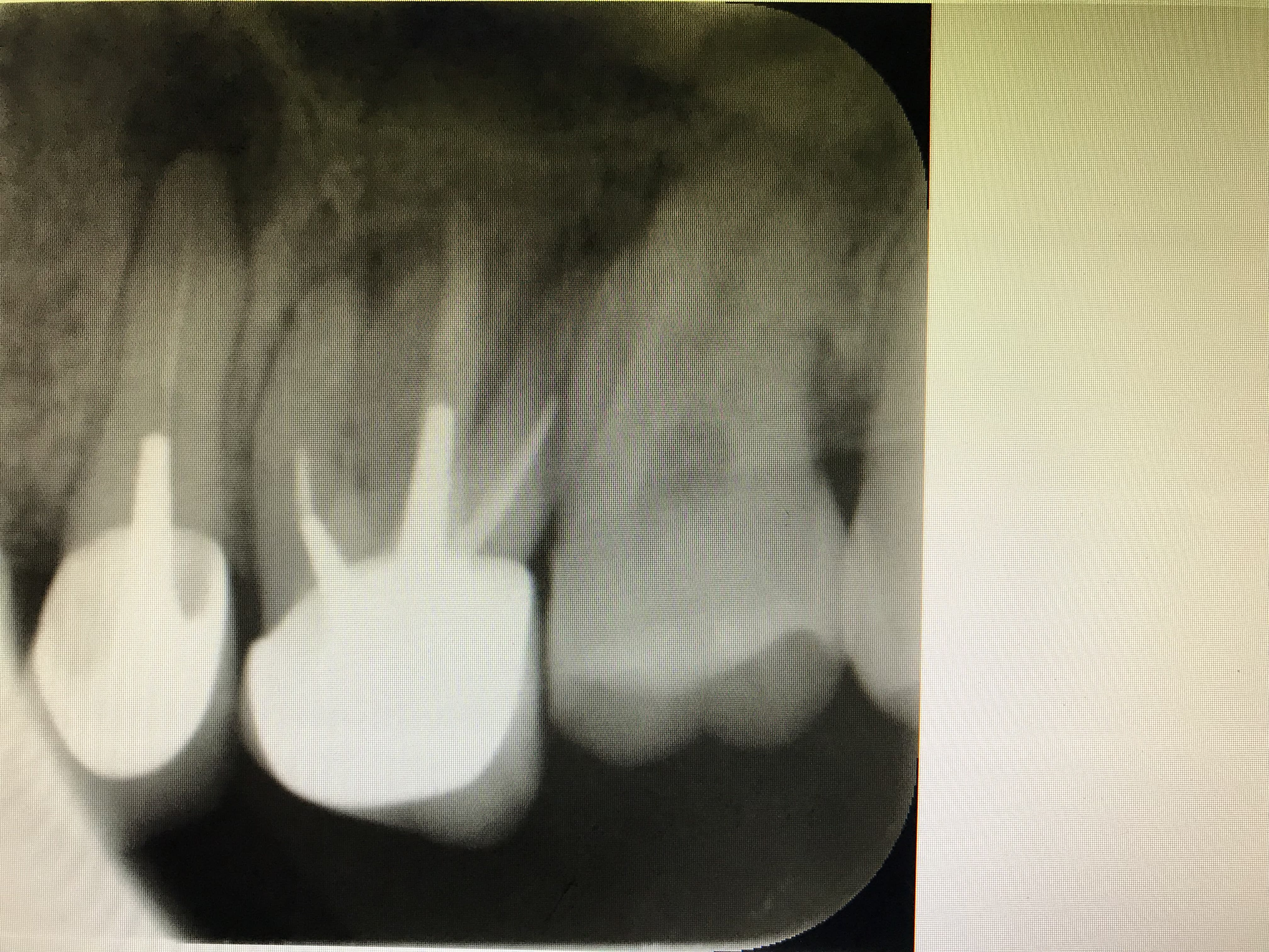
ayé c'est fait !
sous pradaxa ( ou l'autre je sais plus), ça a coulé à flot.
Du coup j'ai coller au superbond.

2 nhulan - Eugenol
1 jaojme - Eugenol

Orezza gazeuse verre litre ocoxey - Eugenol
casa

27/02/2018 à 09h50

Bienvenue au club , par contre ma 8 à la place de la 7 , ça a tenu 2 ans , faut dire que j'avais pas fait l'endo de la 8 et que ce c.. yon n'est jamais venu la faire . étrangement à l'extraction , alors qu'elle bougeait beaucoup , il y eu un petit "tic" , donc y'avait bien quelque chose qui retenait la dent ... fibres ??


Generique fraisage r2rxmm - Eugenol
lardonbis

27/02/2018 à 09h55

j'en ai bien chier à l'exo.
La CCM est resté direct dans le davier et vu que je voulais pas bousiller les marges de la préparation, j'ai du y aller molo molo.... long...
sinon j'ai pas eu la foi.. j'ai coupé l'apex


Blue eye thumb medium dx1i0w - Eugenol
bill

27/02/2018 à 10h48

lardonbis écrivait:
---------

> sinon j'ai pas eu la foi.. j'ai coupé l'apex

Dans ce cas pourquoi pas une petite obturation à retro à l'amalgame comme au bon vieux temps ? ;-)


Vw campersurfvan bmnk1q - Eugenol
enlaye

27/02/2018 à 12h39

lardonbis écrivait:
---------
" j'en ai bien chier à l'exo.
La CCM est resté direct dans le davier et vu que je voulais pas bousiller les marges de la préparation, j'ai du y aller molo molo.... long... "
-- pcq tu n'as pas du faire d'intraligamentaire

" sinon j'ai pas eu la foi.. j'ai coupé l'apex "
:-) oui , je vois . ça viendra ..:-)
par contre à couper , j 'aurais arrondi les angles , feignasse que tu es :-)


Vw campersurfvan bmnk1q - Eugenol
enlaye

27/02/2018 à 12h42

bill écrivait:
----
" Dans ce cas pourquoi pas une petite obturation à retro à l'amalgame comme au bon vieux temps ? ;-) "
déjà que de couper ne sert à rien , si en plus tu y rajoutes un plomb , ... tu ne serais pas Mr + de chez Bahlsen ??


Generique fraisage r2rxmm - Eugenol
lardonbis

27/02/2018 à 12h44

enlaye écrivait:
------
> -- pcq tu n'as pas du faire d'intraligamentaire

tu parles :D un dose de 1/100000 histoire de calmer la sanquette. Mais je n'arrivais pas à chopper la racine assez bas pour ne pas rogner sur les marge de la préparation ( je compte pas refaire la ccm)


> :-) oui , je vois . ça viendra ..:-)
> par contre à couper , j 'aurais arrondi les angles , feignasse que tu es :-)

:D vite vite !! franchement ça pissais bien, j'avais hâte de remettre le bouchon. La prochaine fois je ferais arrêter l'anticoagulant.


Vw campersurfvan bmnk1q - Eugenol
enlaye

27/02/2018 à 12h52

casa écrivait:
----
" étrangement à l'extraction , alors qu'elle bougeait beaucoup , il y eu un petit "tic" , donc y'avait bien quelque chose qui retenait la dent ... fibres ?? "

oui à mon avis l'attache cicatricielle n'est pas celle d'origine . mais un truc meso-meso ligamentaire- fibreux .


Generique fraisage r2rxmm - Eugenol
lardonbis

27/02/2018 à 12h58

autre retour: j'ai été surpris par la stabilité de la ratoune une fois dans son trou.
J'ai eu le mec au tel, il saigne pas... ouf


Orezza gazeuse verre litre ocoxey - Eugenol
casa

27/02/2018 à 13h01

haa , moi aussi , et tu verras , une semaine après , c'est ni vu , ni connu .


Vw campersurfvan bmnk1q - Eugenol
enlaye

27/02/2018 à 13h02

oui ça tient par ventouse , le coagulum faisant étanchéité .


Orezza gazeuse verre litre ocoxey - Eugenol
casa

27/02/2018 à 13h14

oui c'est tout a fait ça Enlaye et je suis aussi surprise de la qualité de la gencive autour de la dent après la réimplantation . J'aimerais bien faire un bon dans le futur juste pour voir à 10 ans ce que les miennes ont donné .


Vw campersurfvan bmnk1q - Eugenol
enlaye

27/02/2018 à 13h17

imagines que :
1 - tu sortes la racine ,tu la scannes , et que tu remettes la racine .
2- tu reçois la même en titane fraisée , tu re-enleves la vraie et t'y mets celle en titane .
tu sais 1 peu comme il l'ont mauvaise , les implantos :-)))))


Utilisateur banni

27/02/2018 à 13h20

Et comment tu ferais pour une triradiculée ? :)


Orezza gazeuse verre litre ocoxey - Eugenol
casa

27/02/2018 à 13h22

haaaa ouiiiiiiiii , parfait ça ! On peut se passer du Titane , non ?


Vw campersurfvan bmnk1q - Eugenol
enlaye

27/02/2018 à 13h25

junior® écrivait:
-------
" Et comment tu ferais pour une triradiculée ? :) "
comme eux :-))


Generique fraisage r2rxmm - Eugenol
lardonbis

27/02/2018 à 13h58

junior® écrivait:
-------
> Et comment tu ferais pour une triradiculée ? :)

l'os c'est du beurre avec les bons outils

sinon l'implant sur mesure ça existe deja à partir d'un conebeam. donc tu fais en un seul temps.

Aig2303834 rm1sy6 - Eugenol

Photo 158 mluhia - Eugenol
robin

27/02/2018 à 16h56

allez ne soyons pas sectaire que j'me dis. Si Enlaye le fait avec les dents, pourquoi pas avec un implant.
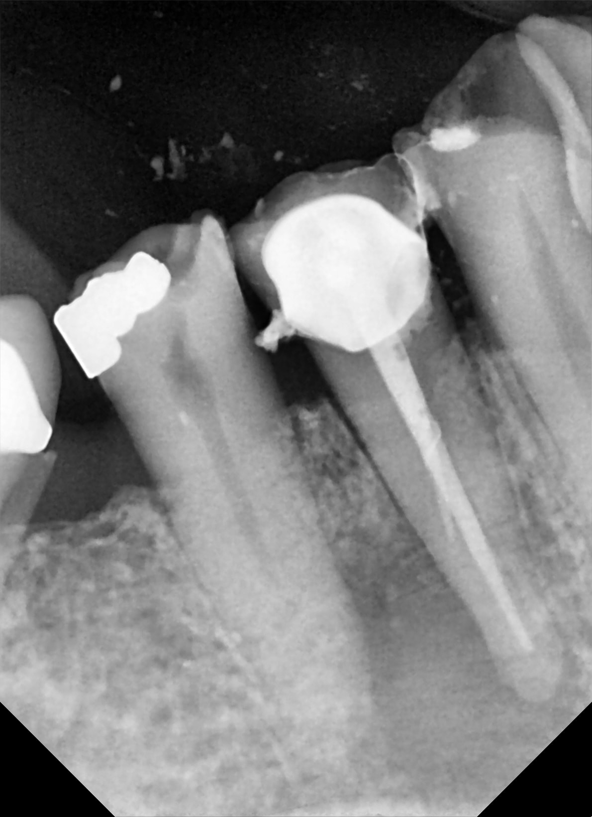
patient que je reçois en mai dernier , 93 ans, aucune hygiène, et beaucoup de soins dentaires. il vient pour autre chose, mais me parle aussi de son bridge mandibulaire droit qui bouge. je touche à peine et je me retrouve avec le bridge dans la main. le pilier distale est descellé, mais en mesiale j'ai l'implant qui vient avec le bridge. un coup de rincette avec la seringue du fauteuil, un peu de ciment en distal et je repose le tout dans l’alvéole. je revois le patient plus tard pour faire l'endo sur la 43..
- et votre bridge en bas à droite, ça vous géne plus??
- quel bridge??
visiblement ça le gène pas.
la première radio date de mai, la deuxième a été faite cette semaine .
maintenant, l'augmentation de la densité osseuse est peut être une illusion du à la radio..

Tp 2 q7vfcq - Eugenol
Tp 3 mqgpoe - Eugenol

loumi911

27/02/2018 à 17h31

C'est quoi comme implant , une vis auto taraudeuse pour placo ? ( ça ressemble vachement à ça ...)


Vw campersurfvan bmnk1q - Eugenol
enlaye

27/02/2018 à 17h44

bravo
tu as cureté l alvéole ? ou même pas ?


Orezza gazeuse verre litre ocoxey - Eugenol
casa

27/02/2018 à 18h15

Tu vois Enlaye ton histoire de dent en titane ..on s'approche !


Photo 158 mluhia - Eugenol
robin

27/02/2018 à 19h15

enlaye écrivait:
------
> bravo
> tu as cureté l alvéole ? ou même pas ?

même pas, j'ai juste reposé dans l'alvéole après avoir rincé pour enlever la salive sur l'implant..


1...252627...