Cookie Consent byPrivacyPolicies.com1ere fois que ca m arrive!!!!!! - Eugenol

1ere fois que ca m arrive!!!!!!

Vw campersurfvan bmnk1q - Eugenol
enlaye

18/06/2014 à 20h28

si je te suis:

ton indication c est de couper le bridge demonter la partie coronnaire tenter de deposer le giromatique (tu penses bien que celui qui l a cassé a du essayer)pour finalement l envoyer a un exclusif.....qui ne fera pas mieux...

et la patiente a perdue son bridge sa dent certainement , du pognon +de la chir invasive..... quelle violence !

c est ca une bonne indication?
alors que c est si simple d enlever reparer puis remettre.

non ?


Darmon - Eugenol
Latin

18/06/2014 à 20h36

Atraumatique pour une avulsion c'est un peu un contre-sens.

Je voulais savoir comment tu t'y prenais pour préserver au maximum le ligament alvéolo dentaire. Parce que ça se fait pour des auto-transplantations, mais pas dans les cas dont tu sembles parler.

Tu fais vraiment des alvéolectomies avant extraction/réimplantation sur le même site???


Vw campersurfvan bmnk1q - Eugenol
enlaye

18/06/2014 à 20h43

mais de ligament il n y en a plus quand tu extrais.

comprend pas la question .je m en fout du ligament puisque je curette l alveole.


Darmon - Eugenol
Latin

18/06/2014 à 20h44

enlaye écrivait:
----------------
> si je te suis:
>
> ton indication c est de couper le bridge demonter la partie coronnaire tenter de
> deposer le giromatique (tu penses bien que celui qui l a cassé a du essayer)pour
> finalement l envoyer a un exclusif.....qui ne fera pas mieux...
>
> et la patiente a perdue son bridge sa dent certainement , du pognon +de la chir
> invasive..... quelle violence !
>
> c est ca une bonne indication?
> alors que c est si simple d enlever reparer puis remettre.
>
> non ?

Admettons qu'il faille traiter la lésion apicale sur la 13 :
Si le bridge est bien adapté je fais d'emblée la chir apicale et je ne touche pas au bridge.
Si le bridge est à refaire je dépose, je tente le retraitement orthograde, et si échec je tente le traitement rétrograde.

Tu es vraiment sérieux quand tu dis que c'est plus simple d'extraire et de réimplanter? Mais est-ce moins risqué? Parce que si le seul préjudice que tu crains c'est la cicatrice muqueuse, et bien on ne place pas le curseur bénéfice/risque au même endroit.

Moi je n'ai pas 20 ans d'expérience, mais si ton protocole était un traitement de référence je pense que cela se saurait. Les dentistes sont sans doute un peu trop timorés...


Vw campersurfvan bmnk1q - Eugenol
enlaye

18/06/2014 à 20h48

bon .là je dois partir mais promis je te ferais passer dans une autre dimension avec d autre cas si tu menvoie ton mail.


Darmon - Eugenol
Latin

18/06/2014 à 20h48

banko


Image saznoz - Eugenol
Hodina

18/06/2014 à 20h58

Idem pour moi,
Intéressé en tant qu initiateur de ce post qui prend une autre dimension petit a petit.


zazamouk

18/06/2014 à 21h51

Si c'est si facile de faire une avulsion, endo dans le plateau et re-implantantion, pourquoi on se fait tous chier avec des protocoles d'endo plus ou moins long, la digue, la longueur de travail, l'accès...

On prends un joli davier, on enlève, on fait l'endo parfaitement sur le plateau, re-implantation, contention et hop c'est fini.

Plus aucun dépassement, meilleur visibilité sur les 2e molaires, et même restauration parfaite.

Tu n'as aucun échec? recul de 1/5/10/20 ans?
Pas de résorption?

Peut être que l'on va tous apprendre quelques choses, merci d'avance!

Mais il manque toujours le code CCAM :)))


Ps : et pour ton cas de bridge, pourquoi ne pas avoir retirer le lentulo sur tout sa longueur?
Il reste forcement des bactéries entre les spires, non?


King lcqqit - Eugenol
King of PAP

18/06/2014 à 21h55

zazamouk écrivait:
------------------

>
> Ps : et pour ton cas de bridge, pourquoi ne pas avoir retirer le lentulo sur
> tout sa longueur?
> Il reste forcement des bactéries entre les spires, non?
C'est la prochaine étape, pour retirer un instrument fracturé, il coupe la dent en deux, retire l'instrument, recolle la dent à la cyanoacrylate, et hop, réimplantation.


MiniMoi

18/06/2014 à 22h41

J'aurais pas dû utiliser l'arrache-couronne :)

Img 0981 ktvkb1 - Eugenol

carident

18/06/2014 à 23h52

au fond du canal écrivait:
--------------------------
> Hodina écrivait:
> ----------------
> > Bon, ce matin appel du patient ....très forte douleur.
> > Conduite a tenir?
> > J avulse?
>
> Avec un davier ou un arrache-couronne?

L'avantage du protocole extraction réimplantation quand ça ne marche pas, c'est que tu peux re-extraire la dent juste avec les doigts...

Perso, j'ai déjà eu le cas à mes début en voulant retirer une couronne provisoire avec tenon... le parodonte était affaibli, et la dent est venue avec la provisoire...
Pareil, j'ai été surpris, j'ai donc réimplanté la dent illico presto, mais ça n'a pas marché (la mobilité est resté très importante).

Ce jour là j'ai appris une chose, quand le desmodonte résiste moins que du ciment provisoire sans eugenol, tu peux en conclure sans trop prendre de risque que la dent n'est pas conservable, et qu'elle était à extraire de toute façon...


Image saznoz - Eugenol
Hodina

19/06/2014 à 01h31

C est bien ce que j ai expliqué au patient.
...même si c était une couronne définitive collé en permanent.
Mais bon comme déjà dis, patient diabétique, fumeur ( environ 2 paquets par jour), avec terrain paro....
Je me suis juste planté en pensant pouvoir la sauver.....et encore, il était question d un traitement endo couronne provisoire et attente pendant 6 mois avant de faire la définitive.


Darmon - Eugenol
Latin

19/06/2014 à 01h34

Tu l'as coté à quel moment le DC16? Le jour du coup d'arrache couronne ou le lendemain quand tu l'as enlevée avec les doigts?
Ou alors c'est cadeau...


Image saznoz - Eugenol
Hodina

19/06/2014 à 01h38

Acte gratuit.
J suis sympa!!!
A propos, je viens d acheter les 3 wamkeys.
Et je vais déposer toutes les futures couronnes avec transmetal et wamkeys.
Mais je vais augmenter la dépose
Vous êtes a combien pour une déposé transmetal plus wamkey?


Vw campersurfvan bmnk1q - Eugenol
enlaye

19/06/2014 à 03h54

ce qu il y a dans le canal n a que peut d importance .
c est l os qui commande toutet non pas le canal .


RépondreCiter
Grueavatar nptrc9 - Eugenol
Le Choixpeau magique

19/06/2014 à 10h42

Hodina écrivait:
----------------
> Aucune fracture qui te plombe ta journée.

C'est pour ça que je ne mets jamais la digue non plus, les bactéries je n'en ai jamais vu !


Image saznoz - Eugenol
Hodina

19/06/2014 à 11h05

Super.merci.a plus.


carident

19/06/2014 à 11h18

Latin écrivait:
---------------
> Tu l'as coté à quel moment le DC16? Le jour du coup d'arrache couronne ou le
> lendemain quand tu l'as enlevée avec les doigts?
> Ou alors c'est cadeau...

Techniquement parlant, tu peux coter le DC16 deux fois, et une réimplantation en HN entre les deux :-)


carident

19/06/2014 à 11h21

Hodina écrivait:
----------------

> Vous êtes a combien pour une déposé transmetal plus wamkey?


C'est gratuit, ça me prend 10 min. Pour moi c'est compris dans l'IC et la CCM ou CCC qui suivent...


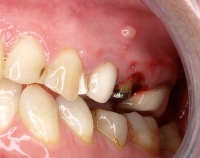
Vw campersurfvan bmnk1q - Eugenol
enlaye

20/06/2014 à 01h14

vous voulez voir une autre indication d extraction reimplantation ?


Image saznoz - Eugenol
Hodina

20/06/2014 à 01h21

Oui bien sur.
Merci


Vw campersurfvan bmnk1q - Eugenol
enlaye

20/06/2014 à 01h37

voila une belle indication

1 radio debut m1ld0f - Eugenol
2 depose  bridge p6o8dv - Eugenol

Vw campersurfvan bmnk1q - Eugenol
enlaye

20/06/2014 à 01h46

un indice important:

la patiente me dit qu ella a eu mal apres la pose des 3 dents alors que tout allait bien avant . les dents etaient deja devitalisées depuis longtemps...

l absces date de 6 mois.ça suinte tous les jours


Vw campersurfvan bmnk1q - Eugenol
enlaye

20/06/2014 à 01h48

vous pensez a quoi?

et a quel traitement ?


Image saznoz - Eugenol
Hodina

20/06/2014 à 01h56

Les couronnes semblent solidarisées, non?
La première solution serait de déposer les couronnes, et les inlay core, RTE et pose de 3 couronnes provisoires pendant 6 mois, non solidarisées.
Sondage paro pour être sur que ce n est pas un abcès endo paro...sinon, c est grosso modo cuit pour la prémolaire.
Sur échec de ce traitement, résection apicale ....
Enfin bon, c est le traitement de 1 ère intention en général.
Si dépose des inlay core trop compliqué, recsection apicale en 1 été intention.
Édit: oups, non elles ne sont pas solidarisées , mais ça change pas grand chose pour le traitement de la 25 ou 15.


1234...