Cookie Consent byPrivacyPolicies.com1ere fois que ca m arrive!!!!!! - Eugenol

1ere fois que ca m arrive!!!!!!

Ylfwcw979cz1jnx9gfqeaxndiuzk - Eugenol
Algi

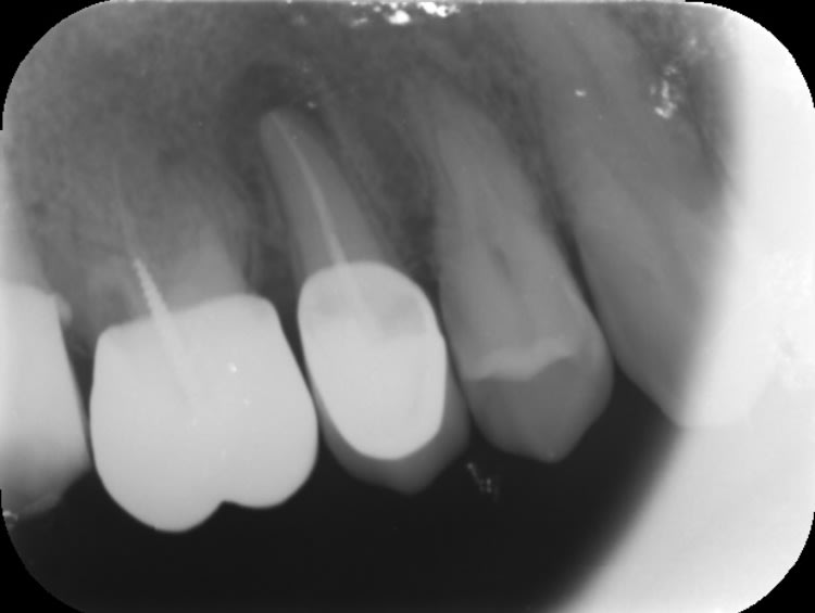
06/11/2019 à 09h36

Sanguette au fond peu probable j'ai cureté et fait saigner bien bien avant de reenquiller la dentdu coup je pense plutôt qu'elle flottait dans le sang.

Laser au fond de l'alveolz j'ai fait tout doux, c'est l'apex et le periapex que j'ai cramés parceque moches.

En ai une autre programmée semaine prochaine he hé...

37 avec richemont...

--

https://open.spotify.com/user/8iz7teu84dfphmgspeh2979o8/playlist/59Tfpt7zoHfkI27430lfNg?si=MAiYEkb2S6mMV6qNX2aFwg


On a toujours le choix mais entre quoi et quoi?
Vas-y boulégue et l'avenir te le dira!

Img 20191106 093608 vlaq4x - Eugenol

Utilisateur banni

06/11/2019 à 09h40

la 37 je veux bien parier que ça va marcher mais je demande du 20 contre un . ça rassemble à un condensé de tout les problèmes possible :D.


Ylfwcw979cz1jnx9gfqeaxndiuzk - Eugenol
Algi

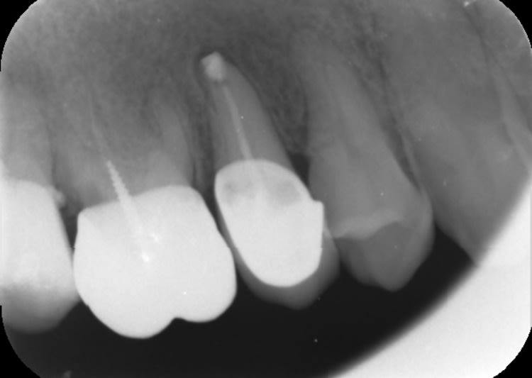
06/11/2019 à 09h43

Par contre je devrai faire gaffe à pas toucher le V qui me paraît pas loin de la lésion....
Une idée ?

--

https://open.spotify.com/user/8iz7teu84dfphmgspeh2979o8/playlist/59Tfpt7zoHfkI27430lfNg?si=MAiYEkb2S6mMV6qNX2aFwg


On a toujours le choix mais entre quoi et quoi?
Vas-y boulégue et l'avenir te le dira!

Img 20191106 094003 dsd7ed - Eugenol

Utilisateur banni

06/11/2019 à 09h54

petit histoire réimplantation, histoire de se déstresser sur le temps exo buccal.
Au CHU y avait les bon qui faisaient leur clinique avec des vrais prof de dentaire.
Et y avais les mauvais qui se retrouvais à l'étage des maxillo à faire leur grouillo...des plaques pour boucher des palais... réimplanter des dents à la pelle.
Je vous laisse deviner ou j'étais.
et il y avais un truc: Les patient bien cassé on les avait parfois 48h après et les réimplantations marchaient du tonnerre. endo exo buccale, curetage de barbare, contention rigide et hop ! l'ankylose. Deux ans de plus et hop! résorption externe, y'a pu de racine, que de l'os, cueillette . de bien belles crête pour l'implanto :D


Utilisateur banni

06/11/2019 à 09h55

Algi écrivait:
----

> Une idée ?

ne pas cureter.
Ça marche pareil.
par contre double verif de la racine. fêlure , trucs étranges etc


Rape p0as4f - Eugenol
rapelapente

06/11/2019 à 10h33

Algi écrivait:
----
> Pour l'ortho j'ai quelques idées aussi mais il nous faudrait un cador en chirurgie histoire de préparer des néo alvéoles >>


Personne ici n'a fait des extractions/ réimplantations de canines incluses ?
Ça marchait bien. J'avais appris à faire ça pendant mon cursus, qui a été un peu particulier. Mon prof de chir m'aimait bien et me faisait faire des trucs auxquels les autres n'avaient pas accès.
Celles que j'ai fait dans mon cabinet avaient atteint les dix ans quand je suis parti. Avec des résorptions modérées.
Quand on savait faire des neoalveoles, poser un clou après, c'est du nanan.
Pas si compliqué, pas besoin d'être un cador

--
Schooner For Ever


Ylfwcw979cz1jnx9gfqeaxndiuzk - Eugenol
Algi

06/11/2019 à 11h25

Voui voui mais enlaye y dit pas de résorption...

Et je le crois.

Concernant le curetage... T'es sur de ton coup harta? Si je curette pas ça marche aussi ?


Vw campersurfvan bmnk1q - Eugenol
enlaye

06/11/2019 à 12h00

ce qui est sûr c est qu'il faut enlever le merdier à l'apex.
alors effectivement si en enlevant la dent tout vient avec , tu n'as pas besoin de cureter .
Et le secret pour que tout vienne avec la dent , c'est l'intra ligamentaire . et ça je l'ai déjà dit.
il faut faire une intra ligamentaire même si tu as fait une autre anesthésie par ailleur , peut importe , ce n'est pas dans le but
d endormir .
le but etant d'augmenter la pression hydraulique dans le ligament et cette pression va descendre jusqu'à l'apex,tourner autour et décoller les parties molles des parties dures a savoir l os . autrement dit le kyste va se lâcher de l'os et rester collé à la dent.


Carie Grant

06/11/2019 à 12h03

Algi écrivait:
----

>

>
> 37 avec richemont...
>


ou Richmond avé l'assent de Marseilleu, ça coule de source ....

Raclette zrrsfq - Eugenol

Vw campersurfvan bmnk1q - Eugenol
enlaye

06/11/2019 à 12h13

dans un bar à putes à marseille .
" et comment tu t appelles mon loulou ? "
"" bond , james bond ""
" au putain , comme moi !
moi c est raie , raie monde "


Vw campersurfvan bmnk1q - Eugenol
enlaye

08/11/2019 à 11h32

je viens de recevoir ( d un dentiste conseil ) par sms , une photo extraite de l information dentaire n°37 d octobre où un gonz aurait fait une élongation coronaire par ERI .
J ESPERE au moins , qu il aura cité Enlaye d Eugenol dans sa biblio !!! :-)))
si quelqu un a l article en entier , je prends, en mp ou autre .


Ylfwcw979cz1jnx9gfqeaxndiuzk - Eugenol
Algi

08/11/2019 à 15h14

"ou autre".... C'est à dire ?

Genre je prends "en levrette"? "en sandwich"?

Ok je sors.


--

https://open.spotify.com/user/8iz7teu84dfphmgspeh2979o8/playlist/59Tfpt7zoHfkI27430lfNg?si=MAiYEkb2S6mMV6qNX2aFwg


On a toujours le choix mais entre quoi et quoi?
Vas-y boulégue et l'avenir te le dira!


Utilisateur banni

10/12/2019 à 13h20

4 mois de plus pour mon cas d'ERI le plus moisi
fistule toujours pas de retour, pas de signe de bestiole.
cratère osseux encore bien visible, mobilité toujours normale
le mecs m'avait oublié, la dent fonctionne, cuspide résine polie miroir, tentative de sabotage !

24 plus tard oqxyup - Eugenol

Orezza gazeuse verre litre ocoxey - Eugenol
casa

10/12/2019 à 15h09

Pas mal du tout !


Vw campersurfvan bmnk1q - Eugenol
enlaye

10/12/2019 à 16h09

trop facile l ERI :-)) ça marche tjs et on y est pour rien :-)


pascal79

17/01/2020 à 17h08

salut tout le monde,
je vous tiens au courant de mon cas pour ma 37 en ERI. Belle diminution de la lésion, le seul truc c'est que le patient perd patience ...alors décision: je m'en ressers pour pilier de bridge ou pas ?
je vous joins les cones beam de juin 2019 avec la lésion initiale et celui d'aujourd'hui.
Bon WE

Capture d écran 3 hm0zks - Eugenol
Capture d écran 4 sqrraa - Eugenol

Gabzou

17/01/2020 à 17h51

Ca a l'air plutôt bon, çà fait combien de temps?
Moi j'y crois.


pascal79

17/01/2020 à 19h37

la première 3D date de juin 2019


Vw campersurfvan bmnk1q - Eugenol
enlaye

18/01/2020 à 08h05

oui , tu peux deja lui faire un bridge prov tranquille .
c est pas mal comme cas , surtout que c est une dent terminale seule .
il va falloir chiader l equilibration .
cad faire des chemins d entrée bien doux et progressifs de l arriere vers l avant .
autrement dit , aucun contact vest sur 37 36 et le pan de la crete distale de 37 bisotee en talon de santiag .
pour ça qu un prov c est pas mal , pcq tu verras l evolution de l occlusion par la mobilité du bridge , d abord et aussi par les traces d usure.
en plus comme tu vas repartir les contacts , obligatoirement la mand va se deplacer . tu vas d abord te retrouver en sous occ de ce côté puis elle va meme se recentrer .
a mon avis dans ton cas , elle va pouvoir reculer et aller vers la gauche. à verifier tu nous tiendras au courant.


a.meunier

19/01/2020 à 19h23

Effectivement première fois que cela m'arrive en 35 ans d'exercice !!
Traitement canalaire de la 47: la pâte à canaux ( Sealite Ultra ) a fusé au dela de l'apex lors de l'obturation à la guttachaude. Malheureusement le canal dentaire passe juste au niveau de l'apex et la pâte est rentré à l'intérieur.
La patiente n'a eu aucun signe pendant 3 jours puis paresthésie au niveau mentonnier ( pas au niveau labial) . La patiente décrit cela comme une fin d'anesthésie.
Quelles sont vos avis sur la récupération de la sensibilité ?
Depuis 3 semaines la paresthésie n'a pas changé ( diminué ou augmenté) .


a.meunier

19/01/2020 à 19h24

Désolé pour les images cone beam: je n'arrive pas à les mettre dans le bon sens!!


Utilisateur banni

20/01/2020 à 10h34

un cas comme ça j'envoie chez un bon maxillo.
mais je suis un lâche ;)


Vw campersurfvan bmnk1q - Eugenol
enlaye

20/01/2020 à 14h38

bon , et alors ,tu vas lui faire une ERI ?
si tu ne la fais pas là , tu ne la feras plus .


Utilisateur banni

20/02/2020 à 12h10

Avant , et 1 an après


--
La forme de ma coupe de cheveux futuriste me permet une meilleure pénétration dans l'air et d' avoir moins de résistance face au vent lorsque je me déplace.

6d679ecf de9c 4b63 87f5 76947b0e1506 aivghh - Eugenol
068f62a1 fac4 4f42 ac2d d5521b3d341c usamii - Eugenol

Pubg2 rjl8jc - Eugenol
lemondestvaste

20/02/2020 à 12h19

Merci pour le retour !


1...303132