Cookie Consent byPrivacyPolicies.com1ere fois que ca m arrive!!!!!! - Eugenol

1ere fois que ca m arrive!!!!!!

Darmon - Eugenol
Latin

21/06/2014 à 09h17

enlaye écrivait:
----------------
> Je ne comprend pas pourquoi vous cherchez tant d histoires : résorptions ,
> ankyloses etc ,
> mais vous l avez vu où ça ? Puisque comme vous le dites il n'y a pas d'études
> (en français ),

En français tu ne trouveras rien de fiable. Mais en anglais il y a quand même des références intéressantes. Pour moi il y en a une qui fait référence : On the repair potential of periodontal tissues. Melcher AH. J Periodontol. 1976 May;47(5):256-60

Qui décrit quatre modes de cicatrisation parodontale :
1) Ad integrum (donc une régénération parodontale parfaite)
2) Long épithélium de jonction
3) Ankylose
4) Résorption


> peut être parlez vous d expulsion réimplantation ? Ce n est pas la même chose,
> en tout cas je n ai aucune expérience la dessus

C'est pourtant d'après ce que j'ai retenu l'une des rares indications de réimplantation :
1) l'expulsion traumatique/accidentelle traitée par réimplantation ou auto transplantation
2) l'agénésie traitée par auto transplantation


> je vais vous expliquer mon etat d ame :
> immagine qu un jour par hazard tu attrapes une bombe , la vraie bombasse 18
> sur 20 ,
> alors que tu n'es ni ROCCO ni footballeur et que personne le sait , ç'est con
> ,tu n'a qu une envie c est de le dire a tes copains voir de leur faire partager
> , et toi en plus tu sais que c est facile , tu aimerais qu ils essayent ,
> Et eux ils t expliquent que les bigoudis ou que les femmes poilues c est
> bonnard ,

Avec ce type de métaphores et d'allégories tu vas être la proie aux quolibets!

Même si avec les bigoudis et les femmes poilues on voit bien ce que tu veux dire. Et c'est même assez drôle.

Je te dis ça parce que régulièrement il y a le Dr. Pelée qui vient nous parler de mouettes et de guano (entre autres) pour expliquer la maladie parodontale alors qu'il n'a jamais présenté le moindre cas clinique bien documenté sur sa méthode. Et beaucoup ne demandent qu'à voir. L'humour, les métaphores, les allégories c'est bien, ça allège le discours, mais en complémentent de données plus rationnelles. Pas en mode communication principale.


Orezza gazeuse verre litre ocoxey - Eugenol
casa

21/06/2014 à 10h43

C'est bien ça .... il nous faut des écrits , des preuves , des profs de facs , des références quoi ! qui te disent : pose la digue mon coco sinon t'as des méchantes bactéries qui vont coloniser ta dent et t'es cuit ... ça faisait des années que tout allait pas trop mal mais là on a trouvé le remède miracle pour que toutes tes endos soient impeccables .. tu trouveras pas un péquin ici qui te dira le contraire ! ben oui c'est évident .. ça se voit tout de suite ça saute aux yeux ! Par contre , le Dr Enlaye , dans son petit cabinet tente des trucs "dingues" non écrit dans la littérature , te prouve , photos à l'appui , que ça peut marcher , sans doute pas à tous les coups (hein?) .Et on lui tombe dessus ... ca me scotche ! Dis moi Enlaye , je suis sûre que tu n'as pas Julie comme logiciel ? et j'espère que ce n'est pas une blague sinon j'ai l'air d'une quiche moi ! (ben oui , j'ai le doute , comme tout le monde !)


doagui

21/06/2014 à 10h53

casa écrivait:
--------------
> te prouve , photos à l'appui , que ça
> peut marcher

C'est exactement là que ça ne colle pas : on ne prouve rien !

Ce serait une nouvelle méthode jamais tentée par ailleurs, ok, pourquoi pas, montre nous comment tu fais. Mais là on parle d'un truc qui a déjà été décrit avec échec à la clef dans la majorité des cas, dont les complications sont connues... Alors tu comprends qu'il faut plus que 2 photos et 2 malheureux cas pour faire changer d'avis.

Ne serait-ce que le suivi des patients sur du long terme, ce serait déjà un début.


Darmon - Eugenol
Latin

21/06/2014 à 11h00

Excuse moi casa, mais on ne peut pas défendre le fait que poser la digue, faire ses endos à l'apex, compacter la gutta, irriguer, etc... ça ne soit que du flan. Faut quand-même pas déconner.

Et tout le monde ne lui tombe pas dessus à Enlaye.

Par contre dans la discussion parler de bigoudis et de femmes poiles ça ne fait pas avancer le shmilblick. Pire ça discrédite le fond. Tout comme Pelée avec ses chauves-souris au fond des grottes et qui n'a jamais rien présenté de carré, et qui n'a jamais été capable de soutenir une discussion. Pire, il fait de la rétention d'information.

Pour les traitements ex vivo dont parle Enlaye, pourquoi ne pas tenter de traiter comme ça des "hopeless teeth", effectivement. C'est surtout ce qu'on trouve dans la littérature. Mais principalement des case reports qui n'ont qu'un faible niveau de preuve.

Qu'il continue à nous présenter des cas, je pense que pleins de gens sont ouverts à la discussion. Par contre il ne faut pas refuser de parler d'ankylose, de résorption ou d'emdogain, et pas dire qu'une fois qu'il a extrait la dent il s'en fout du ligament. Parce que s'il a fait beaucoup d'extractions réimplantations, il a du en voir passer quand-même des échecs.

Il peut rouvrir un fil de discussion et nous parler de ce qu'il fait. S'il apporte des éléments constructifs on pourra continuer à discuter.


Orezza gazeuse verre litre ocoxey - Eugenol
casa

21/06/2014 à 11h32

Hep , je n'ai pas dit que c'était du flan , j'ai dit qu'on "gobait" facilement parce que mr machin truc , professeur à la faculté de ... a fait des études in vitro ,in vivo et in vino veritas ! nous prouve par A +B qu'il faut le faire ... de mon temps il fallait aléser jusqu'à 40 , sinon point de salut .. et puis .... hop ça a changé ... et nous , on applique bêtement je dirais , et cette fois ci c'est sur ! c'est écrit , c'est prouvé ... qui te dit que dans 10 ans une pulpo avec tel produit ça ne sera pas suffisant ! Bref rien n'est figé , et c'est tant mieux .. ça laisse la place à l'expérience , à la bricole , et à l'audace .; et c'est en ça que notre métier est formidable et tous ceux qui se posent en grand praticiens appliquant les dernières données acquises de la science me font bien rire ... parce que ce n'est jamais fini ! Alors un peu de fantaisie .. ça me plait perso ! On voit bien que 2 mondes "s'affrontent" : les formatés , intellectuels , et avides de connaissance et les originaux , affranchis et expérimentaux . je ne dis pas que l'un est meilleur que l'autre , mais perso , j'aime bien l'autre ...!


Darmon - Eugenol
Latin

21/06/2014 à 11h52

En général celui qui fait ses endos a l'apex c'est plutôt celui qui se met à jour et suit l'évolution scientifique et technologique. Je ne parle pas de se jeter sur tous les gadgets qui ne servent à rien et qui finissent invariablement par prendre la poussière dans un placard. Je parle du praticien qui va un peu se renseigner et pas uniquement travailler comme il l'a appris il y a 30 ans et prescrire du birodogyl quand il y a un petit bouton blanc qui apparaît dans la gencive. On a tous vu des patients qui rapportaient innocemment ce genre de pratique.

Moi, vois-tu, je trouve que c'est plus normal de se baser sur ce qui est écrit et démontré que de continuer à faire des ttt "ouverture tire nerf lentulo screw post amalgame au pouce" (pour carricaturer) soit disant parce que y'a pas de soucis ça marche bien. Ça marche d'ailleurs sans doute mieux avec des pâtes pleines de produits actifs antibiotiques, anti inflammatoires etc... Moins avec des matériaux plus neutres (un peu de ciment et beaucoup de gutta... Pas l'inverse!)

Et par nature celui qui suit un peu ce qui se fait c'est justement celui qui ne se fige pas à la technique qu'on lui a enseigné il y a 1-3-10-30 ans à la fac.

Après, que des praticiens essayent des approches expérimentales pourquoi pas si ça ne met pas la santé du patient en jeu et si les traitements conventionnels ont échoué. Mais pas en première intention, et pas à l'aveugle. Et s'il veulent partager et en discuter c'est encore mieux. Mais il faut qu'ils s'attendent a devoir argumenter pas mal.

Pour Enlaye : j'aimerais savoir si tu prends des précautions particulières au moment où tu extrais la dent, afin d'avoir une cicatrisation du ligament après réimplantation, et combien de temps tu laisses en contention, et quels prescriptions et conseils tu donnes à tes patients. Et peux-tu nous dire si tu vois beaucoup de résorptions, ankyloses, infections, etc... Et si tu arrives à suivre les cas que tu as traités comme ça ou alors s'ils disparaissent tous dans la nature.


Orezza gazeuse verre litre ocoxey - Eugenol
casa

21/06/2014 à 12h04

haa , la fin du discours me satisfait ... le début , j'ai déjà lu cent fois ça sur eugenol .. alors rien de nouveau !


carident

21/06/2014 à 12h43

Latin écrivait:
---------------

> Pour Enlaye : j'aimerais savoir si tu prends des précautions particulières au
> moment où tu extrais la dent, afin d'avoir une cicatrisation du ligament après
> réimplantation, et combien de temps tu laisses en contention, et quels
> prescriptions et conseils tu donnes à tes patients. Et peux-tu nous dire si tu
> vois beaucoup de résorptions, ankyloses, infections, etc... Et si tu arrives à
> suivre les cas que tu as traités comme ça ou alors s'ils disparaissent tous dans
> la nature.


Si tu relis bien tous les post, je pense que Enlaye a déjà répondu à toutes ces questions...

- Pour le recul clinique :

"20 ans de recul sur extraction soin reimplantation."


- Pour la méthode et les précaution particulière / la contention éventuelle :

"pourquoi tu dis atraumatique ?

"il m arrive de devoir faire une alveolectomie comme poue une extraction classique.
cela ne change pas grand chose"

"de ligament il n y en a plus quand tu extrais.

"comprend pas la question .je m en fout du ligament puisque je curette l alveole."

"le secret : aller vite et ne pas contaminer la racine.le sang fait l etancheite sur l'alveole.
tu enleves la partie coronaire et hop pas de contention."


- "l'explication scientifique" du phénomène / de la guérison :

"ce qu il y a dans le canal n a que peut d importance .
c est l os qui commande toutet non pas le canal ."

"la reprise de traitement canalaire ne sert a rien .je l ai faite juste pour etre sur que la dent ne soit pas fendue et pour etre sur de chasser le reste de ciment qui reste .
et surtout pour vous le montrer "

"bon ok .
il faut bien comprendre que la rizalyse est un phenomene physiologique de cicatrisation :

l os elabore une tumeur ou kyste ou granulome appelle ca comme tu veux pour detruire l element etrangé.

le fait de reprendre l endo n a rien resolu puisque la cause est d origine chimique et non pas infectieuse.la tumeur est tjs la.elle devient autonome et va tout manger pour se separer de la dent causale .elle elle s en fout de ton ttt canalaire.
parfois meme apres endo on voie des rizalyse sans granulome.

l ordre a ete donné aux macrophages qui se transforment en pac-man.

le plus sur serait d enlever la tumeur.

mais avec une resection apicle
il y a 1 inconvenients majeur c est la cicatrice vestibulaire pas sympa si on ose pretendre vouloir faire de la prothese esthetique.en plus tu va ouvrir etc etc et là tu risque de declancher un probleme infectieux ."


C'est vrai que la semaine dernière j'ai croisé un passant dans la rue qui avait une vilaine cicatrice à la muqueuse (sans doute due à une résection apicale), c'était affreux! :-)

Bref, en tout cas Enlaye ne nous a pas menti quand il a dit :

"promis je te ferais passer dans une autre dimension avec d autre cas si tu menvoie ton mail."

Je ne sais pas qui a envoyé son mail, mais nous voilà bien dans la 4ème dimension...

J'ai une question quand même : s'il ne faut pas contaminer la racine, l’alvéole doit elle être protégée d'une éventuelle contamination bactérienne et/ou salivaire? Puisque c'est bien joli de ne pas contaminer la racine, mais quid de l'alvéole?


Orezza gazeuse verre litre ocoxey - Eugenol
casa

21/06/2014 à 13h55

"J'ai une question quand même : s'il ne faut pas contaminer la racine, l’alvéole doit elle être protégée d'une éventuelle contamination bactérienne et/ou salivaire? Puisque c'est bien joli de ne pas contaminer la racine, mais quid de l'alvéole?"


Ben il pose la digue , tiens pardi !

Mais qui se cache derrière Enlaye ? .....


Vw campersurfvan bmnk1q - Eugenol
enlaye

21/06/2014 à 14h24

a tous les amateurs de bigoudis :

evidemment que je n ai pas d explications scientifiques a vous donner sinon ça se saurait et on discuterait de julie et de CCAM.

et je vous demande de reflechir et de m aider a trouver des explications a ces "experiences" que moi meme je ne comprends pas. je constate et je m en sert .je ne cherche meme plus a comprendre.

la premiere fois c etait en 1992 .tu penses bien que j ai eu le temps de reflechir depuis . a l epoque j etait meme enseignant a la fac.....et farçi de DU dans le citron.

ça a ete tres dur de tout remettre en cause .on est fort a la fac pour raconter des conneries avec la sincerité d un convaincu.

mais il suffit d une fois, par hasard ,ou plutot par erreur tu extrais pour aider un copain dentiste a la bourre:"enleve lui la 12"....."tu est sur il y a juste un cone qui depasse.dommage."ben coupe et remets lui " .le gonz n etait que chir stomato maxillo assistant hp maitre de conf ...
aussitot dit aussi fait.

Donc sans faire le david vincent quand ca t arrive tu n as plus que ca en tete .comme vous , tu comprends rien .pourquoi, comment?
ca te prends la tete tu t en fout de savoir si il ya des resorptions si ca marche sur des milliers de cas ou si il y avait mieux a faire.

ça t est arrivé a toi qui n est pas un surpuissant et ça a marché .



a partir de là j ai commencé a........a suivre


Darmon - Eugenol
Latin

21/06/2014 à 14h32

Alors... si tu as d'autres photos/radios pre op/post op/longtemps après ça m'intéresse.
Pareil si tu as eu des échecs.
Et est-ce que tu fais ça 1 ou 50 fois par an.


uɹöɾq

21/06/2014 à 21h51

enlaye écrivait:


> par erreur tu extrais pour
> aider un copain dentiste a la bourre:"enleve lui la 12"....."tu est sur il y a
> juste un cone qui depasse.dommage."ben coupe et remets lui " .le gonz n etait
> que chir stomato maxillo assistant hp maitre de conf ...


Il était dentiste ou chir maxillo ton copain?
Et le chir maxillo était assistant ou maître de conf?


Vw campersurfvan bmnk1q - Eugenol
enlaye

21/06/2014 à 22h07

a l epoque il etait pratitien hospitalier assistant ou deja chef de service....sais plus a l epoque .chez les medecins ils avaient un autre statut .maintenant il doit etre prof agrégé ou un truc comme ca en tout cas bien au dessus de MCU .


Vw campersurfvan bmnk1q - Eugenol
enlaye

21/06/2014 à 23h00

nombres de cas traités :

pas assez a mon gout . 1 dizaine ou plus . cela n est bien sur pas suffisant pour elaborer un protocole mais largement suffisant pour prouver que c est possible .

nombre d echec 1 et demi :

une patiente ma demandé de lui renlever la dent lors du 1er controle a 1 semaine.
pas de douleur , tout allait bien ,mais elle ne la voulait plus ?!?! je pense qu elle a cru que je lui en ait mis une de quelqu un autre . j ai compris que l erreur etait de le faire gratuit .
figure toi que je ne l ai pas enlevé avec les doigts loin s en faut . 2eme erreur quand tu enleves une dent conique tu enleves le ligament et tu déformes un peu l os +resection apicale au final la dent rentre plus loin que d origine .un peu comme une pinoche de bateau .et au debut tu cherches a la mettre a fond . çest pas terrible il vaut mieux laisser un espace pour avoir plus de sang a l apex et le long de la racine.
bon c est un echec psychologique mais un echec quand meme .c est mon premier demi echec

l autre ..a suivre


Index vakr2r - Eugenol
pgc

21/06/2014 à 23h07

C'est loin d'être idiot tout ça. Il y a plein de cellules-souches intéressantes dans le caillot.

J'ai suivi (il y a longtemps) une conférence de Serge Bal qui nous a dit: "si vous n'arrivez pas à démonter, faites l'extraction, traitez l'apex et hop vous remettez tout en place."
"sans blague?"
"oui qu'est-ce que vous avez à perdre? sinon de toute façon avec une lésion apicale la dent est fichue"
Bon après la conférence on a picolé dur ;)

Pas à faire tous les jours, mais dans les cas désespérés pourquoi pas?


chipoundine

22/06/2014 à 00h43

enlaye écrivait:
----------------
> l obturation a retro je l ai faite a l amalgame d argent classique . le bridge
> que j ai rescellé est celui d origine bien sur. je ne connais personne qui
> puisse faire une chir si haute sans cicatrice vestibulaire ....

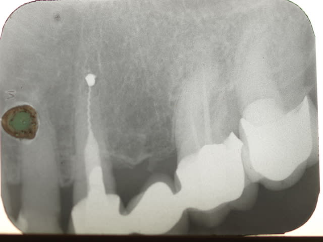
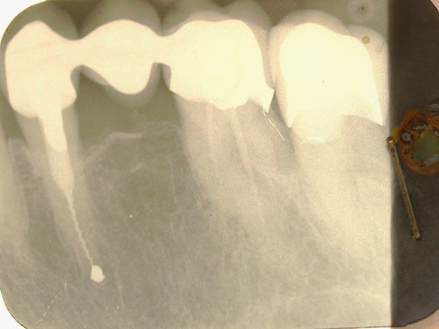
Euh .......les gas y a pas un truc qui vous gêne là ? Vous avez vu les radios ?

Premièrement il faudra que m'expliquer comment le bridge qui au départ est infiltré voir carié sur la 4 se retrouve comme par magie ré-adapté.

Le tenon n'est pas le même

Le traitement endo n'est pas le même

La 7 est couronnée (cantilever) sur une radio , pas sur la radio pré-op

Le niveau osseux n'est pas le meme sur les 2 radios

BREF IL NE S'AGIT PAS DU MEME PATIENT....



carident

22/06/2014 à 01h05

chipoundine écrivait:
---------------------
> enlaye écrivait:
> ----------------
> > l obturation a retro je l ai faite a l amalgame d argent classique . le bridge
> > que j ai rescellé est celui d origine bien sur. je ne connais personne qui
> > puisse faire une chir si haute sans cicatrice vestibulaire ....
>
> Euh .......les gas y a pas un truc qui vous gêne là ? Vous avez vu les radios ?
>
> Premièrement il faudra que m'expliquer comment le bridge qui au départ est
> infiltré voir carié sur la 4 se retrouve comme par magie ré-adapté.
>
> Le tenon n'est pas le même
>
> Le traitement endo n'est pas le même
>
> La 7 est couronnée (cantilever) sur une radio , pas sur la radio pré-op
>
> Le niveau osseux n'est pas le meme sur les 2 radios
>
> BREF IL NE S'AGIT PAS DU MEME PATIENT....
>
>

Tu oublies une chose... Enlaye a peut-être changé toutes les dents de place!

Il est facétieux et adore mélanger les cartes :-)


chipoundine

22/06/2014 à 01h18

En tout cas pour un mec qui "naime pas attendre " lorsqu'il y a des infections , il aime bien attendre que les caries se développent....

Sur le 2ème cas il y a un IRM sur la canine à distance très raisonnable de la pulpe. Sur la dernière radio à 3 semaines post op , L'IRM a doublé de volume + reprise de carie juxtapulpaire.


Vw campersurfvan bmnk1q - Eugenol
enlaye

22/06/2014 à 03h17

mais ques ce que vous faites a cette heure vous devriez etre a la fete , trompettes ! .ç est la fete de la musique ce soir .
entre les 2 radio il y a pres de 15 ans d ecart.c est quoi cette histoire de 4 ? la 4 c est l inter, il n'y a pas de tenon sur la canine ç est l'instrument qui est n est meme pas cassé .le dentiste a utilisé un girofile qu il a monté sur un contre angle vert au lieu du giromatique. mais peut etre que tu es trop jeune pour avoir vu ou connu ces instruments d endo.

c est ça vous etes de jeunes trompettes !dans 15 ans on verra si tu ne t'es pas resorbé !

je t en envoie pleins d autre a differentes années si ca t amuse .



quand au 2 eme cas meme pas je te reponds.( j espere que l histoire du tenon dont tu parles c est pas sur le 2eme cas ?sinon vas te coucher il est tard.

j' exige des excuses publiques .

P5297199 n4b9ge - Eugenol
P5297202 imacum - Eugenol
P5297205 rwapbi - Eugenol
P5297206 dciagc - Eugenol
P5297207 aylyxk - Eugenol
P5297209 oxumlq - Eugenol

Vw campersurfvan bmnk1q - Eugenol
enlaye

22/06/2014 à 04h53

échecs suite

le 2 me échec c est une 6 du bas avec granulome massif sur racine palatine , 6 mois plus tard il se plaint toujours d une douleur élastique ,j enlève et je curette gras ,

En au début je ne m occupais que des instruments cassés ou cône dépassant ,, je nettoyais l apex et je remettais , pour moi l important c était la dent , une belle endo bien épaisse radio opaque ou une obturation a rétro étanche ,MAIS surtout je ne touchais pas l alvéole ,surtout pas ,le flip du ligament,
comme les amateurs de bigoudis ( c est pour ça que je vous comprend )
quel naïf j étais ,
je l ai compris quand j ai cureté sa racine en enlevant le granulome, si je l avais enlevé le jour de la réimplantation il n y serait plus de fait ,je lui ai dit : qu est ce t en pense ,on sla remet ? T fais pas chier on va se boire un pastaga a la santé de nobel il est moins dix,

Depuis je me la fait a l envers c est d abord l os et la racine je la traite par le plus profond des mépris ,un grattage a la u 15 et basta,ou plus si affinitées
Plus d angatse , tranquille,
Du coup le champ d indications s agrandi:absces ,cellulites pas de probleme (a condition de pouvoir bien nettoyer bien sur )
et puis même élongation coronaire : enlève et remet pas a fond etc,

A j oubliais le 3 me échec : le plus con, j ai perdu la dent, semi échec puisque pas réimplantée,


chipoundine

22/06/2014 à 09h51

Tu dis avoir démonté le bridge et reposé tel quel , ce qui est faux au vu de la radio pré-op en page 5..... le tenon , ete le trt endo sont différents .

Tu as donc inventé une technique pour réadapter des prothèses non adaptées ....... le hyatus a disparu comme par magie , donc 2 possibilités :

- Tu as refait le bridge et tu ne le dis pas
- La radio pré-op est de quelqu'un d'autre

Les autres radios je m'en fous , je dis juste qu'entre les deux radios (15 ans) il y a du y avoir une intervention divine ....


Darmon - Eugenol
Latin

22/06/2014 à 11h42

Eh calmos Chipoudine, Le Dr. Enlaye nous a quand-même montré plus de photos en une semaine que Pelée en plusieurs années.

Je te trouve bien hargneux sur ce bridge, parce que si tu regardes bien les radios tu vois bien que c'est le même patient quand-même, et que la 7 a été couronnées par la suite. Les radios ont une incidence un peu différente.


carident

22/06/2014 à 12h09

Le bridge était surement partiellement descellé au niveau de la 4.

Il a été mieux rescellé, voir l'inlay core ou la reconstitution corono radiculaire a été refait avant le rescellement... Rien de miraculeux, ni de l'ordre du divin.

Si 15 ans sépare la radio pré opératoire de la dernière radio, force et de constater que la réimplantation a fonctionné.

Cela dit, pourquoi avoir retiré ce bout de métal qui dépassait? Y avait-il une symptomatologie? Des douleurs? Ont-elles disparues immédiatement suite à la réimplantation? Les suites opératoires sont elles douloureuses?

Le bridge a t il été rescellé définitivement suite à la réimplantation? Si oui, comment éviter que le ciment ne fuse dans l'alvéole, ou que le sang n'empêche le ciment de prendre correctement au niveau du joint dento-prothétique.

J'imagine, que dans ce cas, le bridge a joué le rôle de contention est a amélioré le pronostic de cette intervention.

La nature est bien faite :
- lorsque l'on se coupe, la peau se répare de manière plus ou moins cicatricielle ;
- lorsqu'un os se fracture, il se ressoude naturellement (nécessitant une contention/plâtre)
- alors pourquoi pas le desmodonte?

Je note néanmoins une cratérisation apparue autour de la partie cervicale de la racine réimplanté, suite à l'intervention, mais stabilisée par la suite.

Mais globalement, il est indéniable que la réimplantation a marché, et qu'une intervention chirurgicale à rétro n'aurait pas permis d'obtenir un meilleur résultat.


carident

22/06/2014 à 12h37

La nature peut nous réserver beaucoup de surprise...

Demain, peut-être que les dents cariées pourront se régénérer à l'aide d'un stimuli électrique, sans avoir à enlever le tissu carieux et à reconstruire la dent à l'aide d'un composite ou d'un d'un amalgame...

http://www.theguardian.com/society/2014/jun/16/fillings-dentists-tooth-decay-treatment

en français, pour les anglophobe :

http://tempsreel.nouvelobs.com/sante/20140617.OBS0773/la-roulette-chez-le-dentiste-c-est-bientot-fini.html


Orezza gazeuse verre litre ocoxey - Eugenol
casa

22/06/2014 à 12h59

Je vois que certains commencent à retourner leur veste ... La nature est bonne fille , il est vrai . Imaginez que grâce à une racine amputée et réimplantée on crée de l'os ..mieux qu'une membrane ( et moins cher ...) l'avenir est peut être là et certains s'y essayent ...Sans forcément de dommage pour le patient et c'est bien là l'essentiel .. alors qu'un IC crne systématique après endo .... Rhaaa je dévie là ...


1...567...