Cookie Consent byPrivacyPolicies.com1ere fois que ca m arrive!!!!!! - Eugenol

1ere fois que ca m arrive!!!!!!

carident

23/06/2014 à 01h00

enlaye écrivait:
----------------
> carident écrivait:
> ------------------
> Néanmoins cette guérison péri apicale n'est pas
> > due au curetage du granulome avant la réimplantation (puisqu'un retraitement
> > canalaire bien réalisé permet la même guérison, sans avoir à retirer le
> > granulome au préalable), et nécessite la création d'une barrière étanche à
> > l'apex de la racine.
>
> je suis embété ......je suis tres embeté pour toi .
>
> quand je vais envoyer un cas de necrose avec extraction-reimplantation SANS ENDO
> ,j ai bien dit sans rien :
>
> tu vas pouvoir dire quoi ? je suis embété , il faudra bien que tu dise quelque
> chose !


Je ne vois pas pourquoi je serais embêter... Tu serais même surpris parce que je vais pouvoir t'expliquer le pourquoi du comment :-)

Ce qui me surprendrait plus, c'est que tu extrais une dent vivante, et que tu la réimplantes, et qu'aucune lésion péri-apicale n'apparaisse radiologiquement au bout de quelques semaines...
Encore que, cela pourrait s'expliquer, par la possibilité d'une revascularisation... D'ailleurs, cela a déjà été expérimenté pour des dents immatures traumatisées et nécrosées, et pour lesquels il a été possible d'obtenir une apexogénèse.

http://www.ncbi.nlm.nih.gov/pubmed/24010086

L'apexogénèse a même pu être obtenu à la suite d'un traumatisme avec expulsion et réimplantation de la dent.

http://www.ncbi.nlm.nih.gov/pubmed/24900928



Par contre, une dent nécrosé, qui plus est si la nécrose est lente et abiotique peut avoir créé, par elle même, une barrière étanche à l'apex ; par le biais de la dentinogénèse secondaire physiologique et de calcification interne.
C'est un phénomène que l'on retrouve souvent chez les bruxomanes présentant une abrasion très avancée, et chez qui il n'y a point de douleur dentaire puisque le phénomène est lent et progressif, et laisse aux dents le temps de "s'auto dévitaliser".
Lorsque ces dents finissent par se nécroser, et ne présentent plus aucune sensibilité, celles-ci demeurent asymptomatique dans 30 à 40% des cas (je ne suis pas sûre de ce taux, que j'avais lu dans la littérature odontologique il y a quelques mois), et ne présentent donc ni douleur, ni signe radiologique.

En cherchant retrouver cette article sur les dents nécrosées asymptomatiques, je suis tombé sur celui-ci sur l'extraction-réimplantation intentionnelle :

http://www.ncbi.nlm.nih.gov/pubmed/24716000

Mais j'attends de voir le cas dont tu parles avec des indications plus prises pour savoir exactement de quoi tu parles...
Il n'y a rien de divin ou de miraculeux la dessous! Tout peut s'expliquer scientifiquement.


Index vakr2r - Eugenol
pgc

23/06/2014 à 01h09

carident écrivait:
------------------
> ... Tout peut s'expliquer
> scientifiquement.

oh...ne t'avances pas trop ;)
La science explique tout, puis elle reconnait qu'elle s'est trompée, et donne de nouvelles explications, qui sont valables un certain temps. C'est ainsi depuis l'Antiquité.
La croyance aveugle dans la science, c'est le scientisme. C'est une religion comme une autre, c'est à dire qu'elle n'est pas fondée...scientifiquement.


carident

23/06/2014 à 01h19

je ne dis pas que les scientifiques ont toujours raisons ; parfois leur explications ne sont pas les bonnes pour expliquer les phénomènes observés...
Par contre ce qui est sûre, c'est que tous les phénomènes observés ont une explication logique, et n'ont rien avoir avec la magie, ou le miracle.


Vw campersurfvan bmnk1q - Eugenol
enlaye

23/06/2014 à 01h38

ca chauffe ca chauffe . vous etes mur pour mon cas de gaga .
vais chercher les photos et je reviens.


Vw campersurfvan bmnk1q - Eugenol
enlaye

23/06/2014 à 02h04

mince .la radio de depart c est une radio julie .
elle passe pas .il y a marqué tif et pas jpeg .peut etre pour ça.
quelqu un sait comment la convertire?


carident

23/06/2014 à 02h10

http://www.clubic.com/telecharger-fiche9523-irfanview.html

http://www.clubic.com/telecharger-fiche9667-xnview.html


Vw campersurfvan bmnk1q - Eugenol
enlaye

23/06/2014 à 02h11

ah la voila.

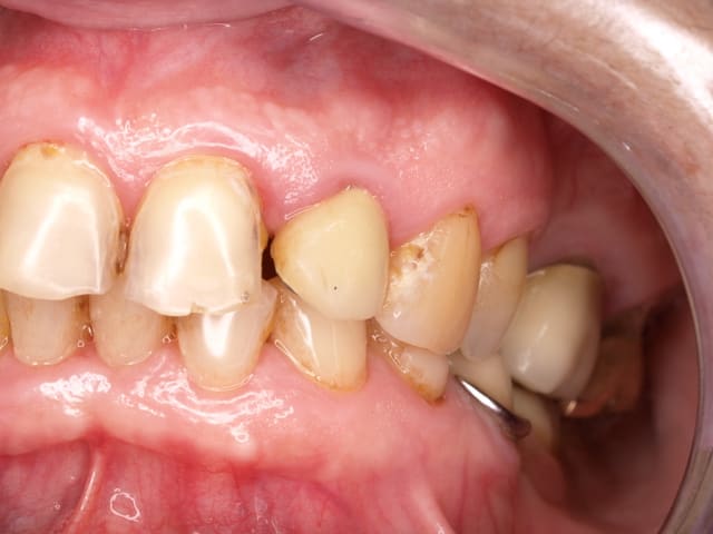
un cas de necrose pas du tout asymptomatique .
bosse en vestibulaire .
douleur a la pression.
là on ne peut pas parler de bouchons a l apex ou quoi que ce soit
hygiene tres moyenne
protheses en bois
et on remarquera que la gencive marginale n es pas top
endo impossible a faire
et donc pas de rescection puisque pas d'endo.

l outil extraction reimplantation s impose alors.

2   copie mymhup - Eugenol
Pb067326 n7tyiq - Eugenol

carident

23/06/2014 à 02h25

L'IC m'a l'air assez facile à déposer, et l'endo m'a l'air faisable (essayes les limes Mtwo blanche 15 et violette 10, tu seras surpris...)

Mais j'attends de voir le résultat de l'extraction, curetage, réimplantation...


Vw campersurfvan bmnk1q - Eugenol
enlaye

23/06/2014 à 02h30

donc je commence normal:

depose ccm (12 bien sur )puis tenon .
bon elle est calcifiée mais pas grave suis un craint degun .
je prends la turbine .tiens c est profond ! change fraise pour une longue encore trop court .touati pareil.

la tete bute sur les 2 autres . finalement quand tu est trop court tu as l air con .

et puis on y voit rien , calcifiée pas question de prendre un foret .

je me suis dit : si je peux pas aller au fond je vais amener le fond a moi.
donc l enlever puis ne pas la remettre a fond au cas un irm a l apex


Vw campersurfvan bmnk1q - Eugenol
enlaye

23/06/2014 à 02h41

remerde elle est collée .collée et tordue .

fraise de chir + syndesmotome mecanique monté sur giromatique .
je te fais un alveolo-massacre, que meme dans la CCAM il imaginent pas .plus de crete vest .un ouaille complet.

un aller simple pour la 22

3 lwhqax - Eugenol
4 f10t7q - Eugenol
Pb067323 hqxxhw - Eugenol

carident

23/06/2014 à 02h44

c'est ce que je me suis dit en voyant la radio : plus facile (tout est relatif) à retraiter qu'à extraire délicatement...


Vw campersurfvan bmnk1q - Eugenol
enlaye

23/06/2014 à 02h51

j enleve le ganulome je la remet .ca bouge a mort tant pis .
j attends 2mn sans bouger pour que le sang coagulé la cale un peu .

on est a des km des soucis de tarlouzes :le ligament comme ci comme ca ,contention deci dela , et precautions de on ne sait quoi.

et toujours pas d endo .meme pas un bisou a l apex

5 oiyrut - Eugenol

carident

23/06/2014 à 02h55

pas un bisou à l'apex?

Ne me dit pas que tu as remis la racine sans même la sucer une ou deux fois? T'as tord, c'est peut-être bon comme de l'os à moelle...


carident

23/06/2014 à 02h57

Même pas d'IRM à l'apex?

Pas de radio post op.?


Vw campersurfvan bmnk1q - Eugenol
enlaye

23/06/2014 à 03h01

je la revois 1 semaine apres .
je prend une radio argentique .a ben ca alors on le voit bien mieux le canal.
gencive ras
douleur ras
mobilité grave .

on se revoit dans 3 semaine ok? ok !

et tjs pas d'endo pas de contention

Le 25.11 - Eugenol
6 b9ecxo - Eugenol

carident

23/06/2014 à 03h07

Pas de couronne provisoire?

La patiente repart 3 semaine sans rien pour remplacer sa 22??

En tout cas, sans couronne, la contention n'a que peu d'importance pour une 22 : pas de force latérale appliquée sur la dent, et peu de force axiale étant donné que la mastication se fait surtout sur la 6.


Vw campersurfvan bmnk1q - Eugenol
enlaye

23/06/2014 à 03h09

3 MOIS plus tard endo .la pate fuse a l apex et on voit bien qu elle bute sur de l os compact .

7 ablcpx - Eugenol

Vw campersurfvan bmnk1q - Eugenol
enlaye

23/06/2014 à 03h19

et meme l os vestibulaire a repoussé donc empreinte pour refaire ccm.

matte la gencive .pas de prov .juste remis son ancienne coiffe bricolée dans les dernier temps .

pas mal non ?
ça tu ne le liras pas dans la bibliotheque rose!

et si il y en a un qui veut implorer le grosso-modo je l'attends .

P5027429 jbjgf5 - Eugenol

carident

23/06/2014 à 03h21

Sans traitement canalaire, la lésion péri-apicale de cette dent ne pouvait pas guérir... Peu importe le curetage de la lésion.

Cela dit, le seul fait d'ouvrir la dent, et qui plus est de la sortir de son alvéole ont dû modifier temporairement les conditions biologiques et diminuer la population bactérienne anérobie présente au niveau de la lésion.

Cela dit, la cause de la lésion est dans le canal, et doit obligatoirement être éradiquée, voir emprisonné dans le canal pour permettre la guérison du péri apex.


Vw campersurfvan bmnk1q - Eugenol
enlaye

23/06/2014 à 03h25

mais il n ya pas eu de bacteries .tu veux qu elles viennent d ou les bacteries .c est une necrose aseptique .je ne lui ait pas donné 1 gramme d antibiotiques


Vw campersurfvan bmnk1q - Eugenol
enlaye

23/06/2014 à 03h27

ils t on mangé le citron ou quoi ? tu en veux encore ?

j en ai d autres


carident

23/06/2014 à 03h29

Encore une fois :
- cela prouve que la réimplantation marche, mais que la guérison de la lésion nécessite la mise en place d'une barrière étanche à l'apex.
- secondo : je constate encore une fois une perte osseuse au niveau cervicale, qui aurait pu être évité en effectuant un traitement endodontique orthograde, avec des instrument adéquat et un appui pariétale en mésial.

Le résultat avec un traitement conventionnel aurait été plus bénéfique dans ce cas précis. Mais ce protocole d'extraction-réimplantation peut se révéler salvateur en cas de calcification plus avancé et d'impossibilité de traitement canalaire orthograde...


carident

23/06/2014 à 03h32

enlaye écrivait:
----------------
> mais il n ya pas eu de bacteries .tu veux qu elles viennent d ou les bacteries
> .c est une necrose aseptique .je ne lui ait pas donné 1 gramme d antibiotiques

ça ne peut être une nécrose aseptique dans la mesure où il y avait déjà un tenon dans le canal... C'est à toi qu'on a mangé la cervelle.


carident

23/06/2014 à 03h35

Bonne nuit.

Mon citron a besoin de se reposer... Sinon demain c'est une citronade qui va soigner mes patient ;-)

Mais continues à poster, ces expériences sont intéressantes.


Vw campersurfvan bmnk1q - Eugenol
enlaye

23/06/2014 à 03h39

mais le tenon n etait pas dans le canal .il n y avait pas de canal a cet endroit .il etait plus bas et de coté .ç est une necrose due probablement a l echauffement du canal lors du fraisage


1...789...