Cookie Consent byPrivacyPolicies.combesoin de vos avis!!!!! - Eugenol

besoin de vos avis!!!!!

doudou59000

17/06/2014 à 21h44

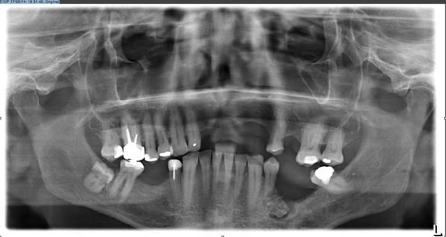
Bonjour à tous je viens de réaliser une pano sur ce patient(qui est en plus un proche)

Que pensez vous de la lésion en regard de la 34, elle n'est pas douloureuse à la palpation, mais lors d'une pression sur la gencive en regard on a un écoulement purulent assez infecte.


Qu'en pensez vous?? Que dois je faire???

Doc jmgadd - Eugenol

doudou59000

17/06/2014 à 23h22

personne pour m'aider?????


Mili

17/06/2014 à 23h30

Envoyer chez un stomatologue pour biopsie .


Canin

17/06/2014 à 23h40

Pas beaucoup d infos.

Ostéite chronique avec phase aiguë et séquestration.

Extraire la dent et curetage chir + anapath obligatoire de la pièce opératoire.

--
Canin


doudou59000

17/06/2014 à 23h50

plus d'info :

patient en bonne santé, non fumeur, consulte pour une fracture de la 12.


pano de controle et là c'est le drame, j'ai alors fait une rétro et il me semble que la 34 n'est pas en cause, de plus elle répond au test au froid.

je l'ai envoyé d'urgence chez un stomato disponible demain mais je me pose pleins de questions sur l'éventualité d'une malignité de cette lésion? D'autant plus qu'elle a l'air en contact avec le trou mentonier?


Canin

18/06/2014 à 23h01

Que la dent soit en cause ou pas moi je l'enlève dans ce cas.

Pas de critères pour le moment dans le sens d'une malignité.

Préservation du mentonnier pour le moment.


--
Canin