Cookie Consent byPrivacyPolicies.comSC 33 De la balle ! - Eugenol

SC 33 De la balle !

Capture d  cran 2015 03 12 12.28 - Eugenol
chicot29

18/06/2014 à 16h21

Ayant plein le cul de refaire des RTE je passe en mode " imaginatif CNSD on" à savoir pas de prise de tete.
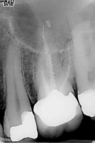
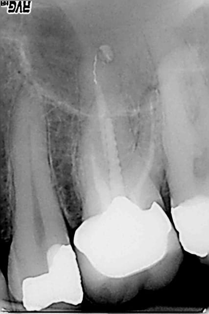
Ceram à refaire sur cette 26 facile : dépose , rectification de préparation empreinte, provisoire ( 20 mn) et pose. Sauf que le sc 33 initial est resté dans la provisoire à la dépose de celle ci.-))
Pas grave j' y ai recollé un screw post titane (screw pol de chez apol) avec du mimesis DC ( composite dual multi usage) après avoir apprêté l'intrados de la couronne et le reste de la dent au peak universal bond.
Gain supplémentaire : un sc 33 elle est pas belle la vie ?

Sc33  avant ihmt3q - Eugenol
Re sc 33 apre s     cogoyu - Eugenol
Vive le sc 33   xckgbk - Eugenol

RépondreCiter
Image saznoz - Eugenol
Hodina

18/06/2014 à 16h51

Fais gaffe, la racine aurait pu venir avec(lol)
Cf un autre post sur l arrache couronne....)


Kon nx3ojp - Eugenol
Kon

18/06/2014 à 19h12

Cela s’appelle faire de la merde.
Merci de partager....


Kon nx3ojp - Eugenol
Kon

18/06/2014 à 19h15

j’espère que c'est une blague


King lcqqit - Eugenol
King of PAP

18/06/2014 à 20h00

chicot29 écrivait:
------------------
> Ayant plein le cul de refaire des RTE je passe en mode " imaginatif CNSD on" à
> savoir pas de prise de tete.
> Ceram à refaire sur cette 26 facile : dépose , rectification de préparation
> empreinte, provisoire ( 20 mn) et pose. Sauf que le sc 33 initial est resté dans
> la provisoire à la dépose de celle ci.-))
> Pas grave j' y ai recollé un screw post titane (screw pol de chez apol) avec du
> mimesis DC ( composite dual multi usage) après avoir apprêté l'intrados de la
> couronne et le reste de la dent au peak universal bond.
> Gain supplémentaire : un sc 33 elle est pas belle la vie ?
Je te sens un peu désabusé, Chicot.


Capture d  cran 2015 03 12 12.28 - Eugenol
chicot29

18/06/2014 à 23h36

Kon écrivait:
-------------
> j’espère que c'est une blague

C'est quoi qui te gène ? Le fait de ne pas se faire chier à faire une RTE ( a vrai dire pas de signe radio de pèche) ? ou de faire un sc33 après la couronne ? -))))


alex33

18/06/2014 à 23h42

chicot29 écrivait:
------------------
> Kon écrivait:
> -------------
> > j’espère que c'est une blague
>
> C'est quoi qui te gène ? Le fait de ne pas se faire chier à faire une RTE ( a
> vrai dire pas de signe radio de pèche) ? ou de faire un sc33 après la couronne ?
> -))))

Tu es sur que l'apex de la palatine va bien? Simple question


Index vakr2r - Eugenol
pgc

18/06/2014 à 23h55

Elle a l'air très bien cette 26. Je suis sûr qu'elle est comme ça depuis 10 ans. Pas de symptôme, image radio n'est pas préoccupante: j'aurais fait comme l'ingénieux Chicot. En ces temps difficiles, épargner les maigres ressources de l'assurance maladie est un devoir national. Un SC33 au lieu de endo, radios, SPR57, me parait être une conduite de la plus stricte économie. Ceux qui veulent retraiter cette 26 sont de mauvais Français.


Kon nx3ojp - Eugenol
Kon

18/06/2014 à 23h58

chicot29 écrivait:
------------------
> Kon écrivait:
> -------------
> > j’espère que c'est une blague
>
> C'est quoi qui te gène ? Le fait de ne pas se faire chier à faire une RTE ( a
> vrai dire pas de signe radio de pèche) ? ou de faire un sc33 après la couronne ?
> -))))

Ok j'ai pas marché, j'ai couru.
Le plus affligeant c'est que des bouses comme ça, c'est la base de l'exercice quotidien pour certains.
mais le poster avec fierté ? omg


Index vakr2r - Eugenol
pgc

18/06/2014 à 23h58

En plus ça n'a pas coûté cher en anesthésique, en antalgiques et en antibiotiques dans le cas toujours possible d'une inflammation ou d'une petite flambée infectieuse après le retraitement.
Ca me parait très bien.
Pas vous?


Darmon - Eugenol
Latin

19/06/2014 à 01h32

C'est comme pour les radios, chicot? Tu as atteint ton quota de status en mars, et en juin tu as atteints ton quota de RTE, c'est bien ça? Du coup tu arrêtes les RTE pour le reste de l'année histoire de ne pas sortir de la moyenne?


Capture d  cran 2015 03 12 12.28 - Eugenol
chicot29

19/06/2014 à 11h02

Voilà, pas de signe d'appels, la plus stricte économie, pas de signes radios 2D (lol!) et cerise sur le gateau une seule radio post op, gestion en bon père de famille comme ca pas besoin de se rattraper sur la prothèse -))))
Quand je pense que j'ai failli acheter un cone beam la semaine dernière un cas comme ca me conforte dans ma décision d'attendre.-)))


G-P

19/06/2014 à 12h20

Achete un CB comme ça tu pourras le revendre dans 6 mois et dire à tout le monde que c'est inutile comme un cerec :P


Capture d  cran 2015 03 12 12.28 - Eugenol
chicot29

19/06/2014 à 18h29

Tout a fait. C'est pas le cone beam qui motive les patients à faire des implants tout comme le cerec ne les motive à faire des onlays. Je me vois d'ici faire gratuitement 100 analyses de cas pour 1 menée à terme.


G-P

19/06/2014 à 22h12

Tu as d'autres utilisations que les implants. J'ai commandé le mien, il arrive le mois prochain. Je te dirai si c'était une bonne idée ou pas.


Capture d  cran 2015 03 12 12.28 - Eugenol
chicot29

20/06/2014 à 01h22

Un beau joujou en tout cas, pour se faire plaisir. On verra plus tard, d'abord utiliser idental master 3d pour la motivation et éclairer le consentement sans perdre trop de temps on verra si ca mord.-))))

https://www.dropbox.com/sh/nun959l9vyt5vs4/AADFXlveK0w63qNaU0Sv8uWxa


PopHip

21/06/2014 à 09h02

Quel est le coût du soft ?


Capture d  cran 2015 03 12 12.28 - Eugenol
chicot29

21/06/2014 à 11h41

1500 euros. Le prix de 2 modèles de démonstration merdiques UFSBD.


malaire

21/06/2014 à 12h03

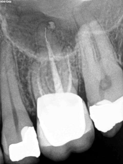
Je ne voudrais pas jeter de l'huile sur le feu mais ce qui me gène le plus n'est pas l'éventuelle pêche sur la racine palatine mais plutôt que sur la radio de contrôle la couronne n'est même pas en place avec un hiatus en mésial et une marche en distal.
ça veut dire que le pauvre patient va inéluctablement perdre sa dent dans un délai relativement court soit par carie sous gingivale, soit par problème paro sans parler du manque d'étanchéité du composite et de la perte du point de contact distal.

Maintenant qu'on râle contre la nomenclature, les conditions d'exercices, tout ce que vous voulez mais faire une merde délibérément ça me gêne quand même un peu.
Et le patient aura payé le prix d'une CCM neuve ?

Edit: et j'avais même pas vu la photo avec la pointe du tenon noircie par la percolation bactérienne dans le canal palatin ... effectivement pas besoin de RTE.


P2eqdh3csim6s7nb09ktdq3e7ev8 - Eugenol
barbabapat

21/06/2014 à 13h40

malaire écrivait:
-----------------
> Je ne voudrais pas jeter de l'huile sur le feu mais ce qui me gène le plus n'est
> pas l'éventuelle pêche sur la racine palatine mais plutôt que sur la radio de
> contrôle la couronne n'est même pas en place avec un hiatus en mésial et une
> marche en distal.
> ça veut dire que le pauvre patient va inéluctablement perdre sa dent dans un
> délai relativement court soit par carie sous gingivale, soit par problème paro
> sans parler du manque d'étanchéité du composite et de la perte du point de
> contact distal.
>
> Maintenant qu'on râle contre la nomenclature, les conditions d'exercices, tout
> ce que vous voulez mais faire une merde délibérément ça me gêne quand même un
> peu.
> Et le patient aura payé le prix d'une CCM neuve ?
>
> Edit: et j'avais même pas vu la photo avec la pointe du tenon noircie par la
> percolation bactérienne dans le canal palatin ... effectivement pas besoin de
> RTE.

l'ancien tenon qui est oxydé est filleté. Les screw pol sont lisses dans mes souvenirs.


Capture d  cran 2015 03 12 12.28 - Eugenol
chicot29

21/06/2014 à 15h56

malaire écrivait:
-----------------
> Je ne voudrais pas jeter de l'huile sur le feu mais ce qui me gène le plus n'est
> pas l'éventuelle pêche sur la racine palatine mais plutôt que sur la radio de
> contrôle la couronne n'est même pas en place avec un hiatus en mésial et une
> marche en distal.
> ça veut dire que le pauvre patient va inéluctablement perdre sa dent dans un
> délai relativement court soit par carie sous gingivale, soit par problème paro
> sans parler du manque d'étanchéité du composite et de la perte du point de
> contact distal.
>

Mouaaaahhhh ! Tu paries ?

1. Ne pas se fier aux radios dont les images dépendent de l'incidence.
2. Tu as entendu parler des coiffe à bague ajustées ? J'en croise régulièrement qui sont en place 40 ans après.
3. J'en ai plein le cul de me taper des RTE à 2 balles, alors de temps en temps ( rarement) je craque. Si il n'en avait tenu qu'à moi ca serait resté en l'état, mais la patiente voulait refaire sa ceram pour cause de légère récession gingivale inesthétique.


RépondreCiter
carident

21/06/2014 à 21h54

C'est bien de savoir s'adapter en fonction des aléa...

Le soucis, dans le cas présent, est qu'il y aura surement un abcès dentaire dans moins de 2 ans sur cette dent... Du moins c'est fort probable.

Ce gros screw post en se descellant a surement rompu un équilibre précaire qui faisait que cette obturation canalaire médiocre au demeurant n'avait pas déjà eu pour conséquence un joli granulome.
En l'occurence, le reste de gutta du canal a surement été descellé aussi au cours de la manœuvre.
Et cela aboutira dans quelques mois à ce qui est communément appelé une pêche...

ps : bien sûre, je ne te le souhaite pas Chicot.
Je trouve juste que tu as pris un risque sur ce coup là. Autant, je suis contre le retraitement systématique (quand il n'y a pas de symptôme), autant lorsque je me retrouve dans le canal et qu'il est mal obturé radiologiquement parlant, je pense que pour être plus serein, il vaut mieux retraiter...


carident

21/06/2014 à 22h00

doublon


G-P

23/06/2014 à 21h15

Moi je valide, très bon travail correspondant au niveau global français


Avatar2 u3u8yh - Eugenol
riccyman

23/06/2014 à 21h40

j'ai quelques canaux qui me posent des problèmes car je n'ai sans doute pas les compétences ou les optiques d'adéquats.

1. Etant donné que le patient ne peut s'offrir les services d'un endodontiste.
2. Que je n'ai ni le temps, ni la patience, ni la motivation pour lutter.
3. Qu'en 15 ans, j'en ai vu des traitements déficients obtenir un succès relatif.
4. Que je vis au pays des 35% d'échecs de traitements endodontiques.
5. Que j'explique au patient que j'ai pas fait ce que j'aurai dû faire et qu'il faudra surveiller ou envisager de payer les services onéreux d'un confrère qui voudra bien s'y coller.
6. Que je n'ai fais que 2 traitements endo sans digue ces 3 dernières années.

Ben, quand ça coince, je traite à minima ce que je peux afin de faciliter une reprise de traitement éventuelle.

En fait pour le prix conventionnel, je n'offre qu'un traitement de première intention souvent très satisfaisant (65 % ^^ ).


12