Tous les forums
SC 33 De la balle !
23/06/2014 à 22h38
riccyman écrivait:
------------------
> j'ai quelques canaux qui me posent des problèmes car je n'ai sans doute pas les
> compétences ou les optiques d'adéquats.
>
> 1. Etant donné que le patient ne peut s'offrir les services d'un endodontiste.
> 2. Que je n'ai ni le temps, ni la patience, ni la motivation pour lutter.
> 3. Qu'en 15 ans, j'en ai vu des traitements déficients obtenir un succès
> relatif.
> 4. Que je vis au pays des 35% d'échecs de traitements endodontiques.
> 5. Que j'explique au patient que j'ai pas fait ce que j'aurai dû faire et qu'il
> faudra surveiller ou envisager de payer les services onéreux d'un confrère qui
> voudra bien s'y coller.
> 6. Que je n'ai fais que 2 traitements endo sans digue ces 3 dernières années.
>
> Ben, quand ça coince, je traite à minima ce que je peux afin de faciliter une
> reprise de traitement éventuelle.
>
> En fait pour le prix conventionnel, je n'offre qu'un traitement de première
> intention souvent très satisfaisant (65 % ^^ ).
>
C'est une façon de voir les choses... Mais que fais-tu quand un patient revient avec une pêche sous une couronne que tu viens de faire quelques mois auparavant?
24/06/2014 à 09h53
je fais pas de couronne, si mon traitement endo ne me plaît pas.
Mais un "SC 33 de la balle", d'où le rapport avec le sujet, éventuellement une provisoire.
De plus, si le patient ne peut pas se payer un endodontiste, souvent il ne peut pas se payer une couronne non plus.
24/06/2014 à 11h04
riccyman écrivait:
------------------
>
> De plus, si le patient ne peut pas se payer un endodontiste, souvent il ne peut
> pas se payer une couronne non plus.
Endodontiste = HN
Couronne = Parfois entièrement remboursée
24/06/2014 à 11h31
les gars arretez de faire des provisoires pour rien .
si tu tailles bien tu n as pas besoin de prov .
essaies tes empreintes seront superbes
24/06/2014 à 12h15
G-P écrivait:
-------------
> Moi je valide, très bon travail correspondant au niveau global français
Tu trouves aussi ? Le socialisme arrive à bout de toutes les bonnes volontés tot ou tard. On va quand meme faire en sorte que ca reste exceptionnel. C'est juste pour tester mon coté "imaginatif". Et puis il faut bien que je diminue mon rapport SPR 57/ SC 33-)))
24/06/2014 à 12h20
riccyman écrivait:
------------------
> De plus, si le patient ne peut pas se payer un endodontiste, souvent il ne peut
> pas se payer une couronne non plus.
Non, non non la moutouelle qu'il paie depuis des années paye la couronne, pas les services d'un endodontiste, nuance. Si le patient n'avait pas cotisé à perte pendant tout ce temps à sa complémentaire, il aurait laaargement de quoi payer une endo de spécialiste puis la couronne.
24/06/2014 à 12h24
Oui !!
Ces temps-ci, j'en ai plein qui ne peuvent même pas faire une couronne coulée, alors ton: " Parfois entièrement remboursée ", carident, il pèse pas lourd.
24/06/2014 à 12h26
enlaye écrivait:
----------------
> les gars arretez de faire des provisoires pour rien .
>
> si tu tailles bien tu n as pas besoin de prov .
>
> essaies tes empreintes seront superbes
C'est vrai ca quel con, sans provisoire ca aurait été un sans faute.-)))
24/06/2014 à 12h31
ben oui jamais d emmerde si ne met pas de prov .
pour la paro ou de l esthetique : pas de prov egal qualité
24/06/2014 à 12h44
par contre ta couronne c est un peu du caca en limite proximales .
ça ne tiendra que 10 ans .lol
24/06/2014 à 23h59
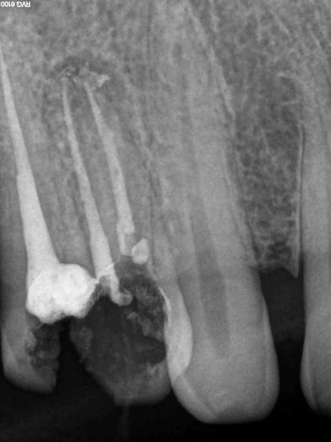
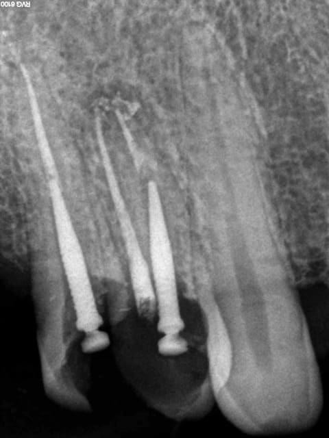
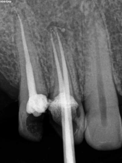
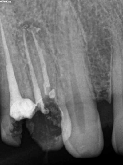
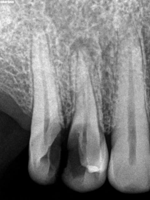
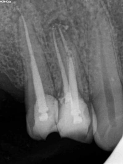
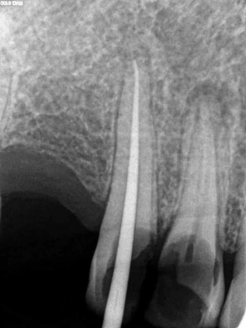
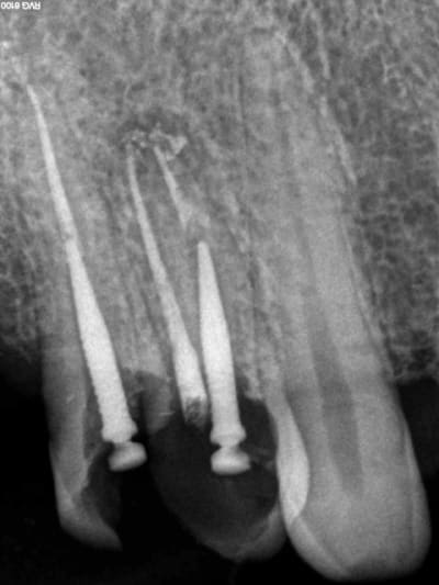
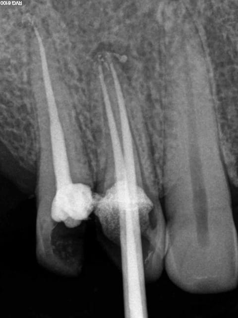
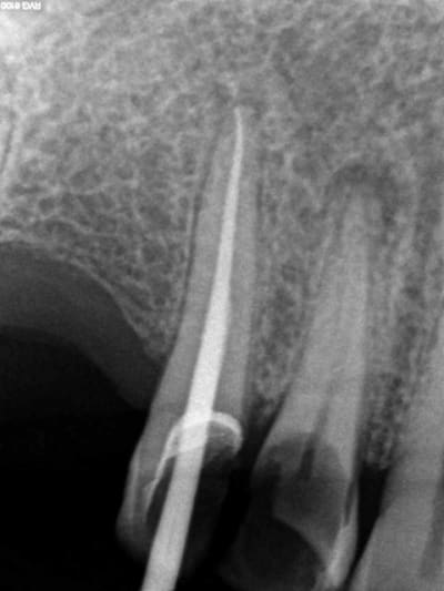
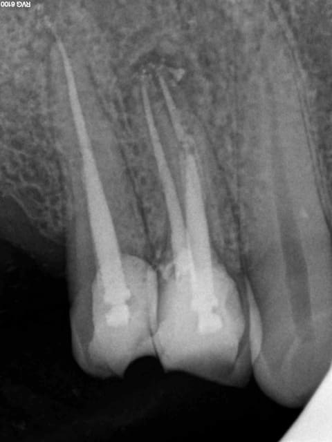
Aujourd'hui patient en urgence ca tombe bien pour une fois synchro avec un lapin.
45 mn de turbinage intensif 2 endos + 2 SC 33; On cote comment les radios ?
Z6, SC 20, Z3,Z3, SC20, Z3, Z3, SC 33, Z3, SC 33, Z3 ?
25/06/2014 à 00h17
chicot29 écrivait:
------------------
> Aujourd'hui patient en urgence ca tombe bien pour une fois synchro avec un
> lapin.
> 45 mn de turbinage intensif 2 endos + 2 SC 33; On cote comment les radios ?
> Z6, SC 20, Z3,Z3, SC20, Z3, Z3, SC 33, Z3, SC 33, Z3 ?
hahaha
si tu cotes vraiment les radios comme ça , tu ferais bien de serrer les fesses quand tu te fera contrôler.
ça fait: sc20 sc20 z6 z3 z3 sc33 sc33.
tu a z12 de trop.
25/06/2014 à 00h24
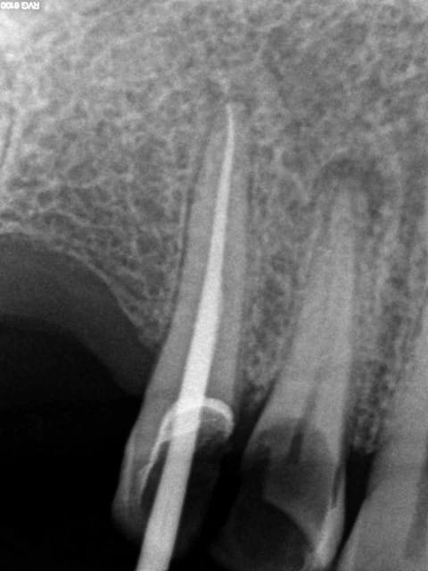
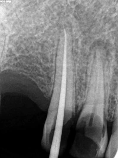
Tssss, Z6 radio de diagnostic, endo Z3 + Z3 par endo, SC33 radios de controle Z3, 1 par acte.
Avant c'était Z6 par séance quel que soit le nombre de clichés. Je n'ai pas fait les 2 endos en meme temps simplement la première à été faite en mode turbo, j'avais donc du temps en rab et j'ai fait la seconde après. A la limite un Z 3 de trop sur les SC 33.
Sino j'aurais pu temporiser et leur coller 2 spr 57-))) ( ca méritait) C'est mieux !
25/06/2014 à 00h42
chicot29 écrivait:
------------------
> Tssss, Z6 radio de diagnostic, endo Z3 + Z3 par endo, SC33 radios de controle
> Z3, 1 par acte.
> Avant c'était Z6 par séance quel que soit le nombre de clichés. Je n'ai pas fait
> les 2 endos en meme temps simplement la première à été faite en mode turbo,
> j'avais donc du temps en rab et j'ai fait la seconde après. A la limite un Z 3
> de trop sur les SC 33.
> Sino j'aurais pu temporiser et leur coller 2 spr 57-))) ( ca méritait) C'est
> mieux !
si tu date tes deux endos différemment ok.
Et pourquoi un z3 pour tes sc33?
25/06/2014 à 00h52
chicot29 écrivait:
------------------
> Tssss, Z6 radio de diagnostic, endo Z3 + Z3 par endo, SC33 radios de controle
> Z3, 1 par acte.
> Avant c'était Z6 par séance quel que soit le nombre de clichés. Je n'ai pas fait
> les 2 endos en meme temps simplement la première à été faite en mode turbo,
> j'avais donc du temps en rab et j'ai fait la seconde après. A la limite un Z 3
> de trop sur les SC 33.
> Sino j'aurais pu temporiser et leur coller 2 spr 57-))) ( ca méritait) C'est
> mieux !
C'est sûre que ça méritait bien 2 spr57, et ça mérite toujours 2 spr50...
Pour les endo, c'est un Z6 Rx de diagnostic, et un Z3 Rx de contrôle finale, non? Or les deux dents sont adjacentes, c'est donc 1 Z6 + 1Z3 pour les deux endos... Et 1 Z3 pour les deux SC33.
Maintenant, avec la CCAM ça a changé je crois...