Cookie Consent byPrivacyPolicies.commicromandibulie - Eugenol

micromandibulie

Icon poker h4nm2d - Eugenol
jeff

18/06/2014 à 19h23

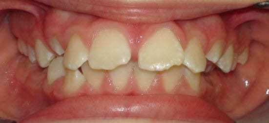
Petite patiente, 9 ans et demi.

j'avais essayé deux mois un bihélix mandibulaire il y a deux ans. Echec complet.

Je la revois aujourd'hui. Evidement, cela ne s'est pas arrangé.

J'avoue etre en panne d'option thérapeutique, a part la disjonction médiane au piezo. Des plaques à pistes ?

D'autres idées ? si chirurgie, vers quel age ?

Micro2 l8dmts - Eugenol
Micro1 cmoejo - Eugenol

Darmon - Eugenol
Latin

18/06/2014 à 20h53

Syndrome de Brodie?
Unilatéral à droite? (on ne voit pas bien à gauche).

Planas (ou autre chose avec des pistes ou qui déverrouille l'occlusion) c'est une bonne idée, +/- distraction chirurgicale symphysaire.

Maintenant.

Tu avais fait comment pour déverrouiller ton occlusion il y a 2 ans pour permettre l'effet de ton arc lingual?


Alar2

18/06/2014 à 20h55

Avant le Bihelix as tu essayè le Quad Helix ?
Cette mandibule me parait bien verouillèe en effet.



JoF.


Images 1 qtgoxf - Eugenol
ciwil

18/06/2014 à 21h03

en bout à bout ça donne quoi ?


Darmon - Eugenol
Latin

18/06/2014 à 21h05

Il y a une photo en bout à bout...
C'est comment en RC? Est-ce que le verrouillage antérieur provoque une rétropulsion ou alors il y a vraiment une brachymandibulie?
Tu as les télé face/profil? (même d'il y a 2 ans?)


Images 1 qtgoxf - Eugenol
ciwil

18/06/2014 à 21h16

j'avais pas vu la planche.
tu pourrais lever la supra avec un d-gainer et coller le bas en inserant un arc à courbe inversée pour niveler la courbe de Spee et mettre les prémos en fonction masticatrice


Icon poker h4nm2d - Eugenol
jeff

18/06/2014 à 21h24

C'est pareil en rc ( pas de déviation en pim ). je n'ai pas fait de télé de face. la télé de profil est dans le dossier donné au patient, donc, plus dispo. je peux leur envoyer un courrier pour refaire face , profil, pas de probleme.

Je n'avais rien fait en dévérouillage. Il y a eu grosse inflammation au niveau du bihelix et j'ai tout enlevé.

A quel moment tu décide de faire la disjonction ? Au niveau chirurgie, c'est accessible a un omni qui sait utiliser un piezo, ou c'est maxillo direct ?


Icon poker h4nm2d - Eugenol
jeff

18/06/2014 à 21h26

ciwil écrivait:
---------------

> tu pourrais lever la supra avec un d-gainer et coller le bas en inserant un arc
> à courbe inversée pour niveler la courbe de Spee et mettre les prémos en
> fonction masticatrice


cela suffirais a relancer une croissance transversale de la mandibule ?


Images 1 qtgoxf - Eugenol
ciwil

18/06/2014 à 21h31

si c'est une brachymandibulie, tu peux lui poser une plaque avec un vérin mandibulaire mais assure-toi qu'il ne s'agit pas d'une version alvéolaire aggravée par le scissor-bite


Images 1 qtgoxf - Eugenol
ciwil

18/06/2014 à 21h37

jeff écrivait:
--------------

> cela suffirais a relancer une croissance transversale de la mandibule ?

l'analyse de Delaire sur une téléradio de face te donnera la confirmation d'une micromandibulie vraie ou pas


Darmon - Eugenol
Latin

18/06/2014 à 21h47

Sans la radio de face je pense que c'est difficile d'opter d'emblée pour la distraction chir. Surtout si c'est unilatéral. En plus j'ai l'impression que tu as une belle version corono linguale à droite.

Il n'y a aucune chance que ça marche si tu ne lèves pas le verrouillage.

Donc planas, de manière à déverrouiller l'occlusion et à induire une propulsion mandibulaire, je crois que c'est une bonne idée. Ou des gouttières avec des bielles, et un petit vérin antérieur, enfin, ce que tu préfères.


Darmon - Eugenol
Latin

18/06/2014 à 21h49

ciwil écrivait:
---------------
> jeff écrivait:
> --------------
>
> > cela suffirais a relancer une croissance transversale de la mandibule ?
>
> l'analyse de Delaire sur une téléradio de face te donnera la confirmation d'une
> micromandibulie vraie ou pas

De profil tu veux dire. Et de face tu verras si tu a vraiment un déficit transversal basal.

Je pense que si tu libères l'occlusion, ça va repartir. Encore mieux si tu aides un peu la nature avec des pistes ou des bielles pour la dimension sagittale.


Darmon - Eugenol
Latin

18/06/2014 à 21h55

Dans tous les cas c'est un joli cas pour une interception!
Dommage que cela n'ait pas marché il y a 2 ans.


Capture ddc6bm - Eugenol
sumble

18/06/2014 à 22h22

Qu'est ce qu'elle est verrouillée...

Une autre piste:

- un activateur bien modifié, avec de bons bourrelets en postérieurs
+
- s'il te reste des temporaires dans chaque secteur (je vois pas bien sur les photo), un collage de compo pour lever la supra après 2 mois d'activateur.

Je sais bien que t'es pas vraiment emballé par l'approche fonctionnaliste. Tu ne perds rien en la faisant travailler cet été avec...


Images 1 qtgoxf - Eugenol
ciwil

18/06/2014 à 23h32

regarde sur la radio de face s'il y a un problème basal transversal ou s'il y a linguoversion alvéolaire


Icon poker h4nm2d - Eugenol
jeff

19/06/2014 à 00h29

Merci pour vos messages.. Je vais la recontacter pour de nouvelle radio.

Je pense partir pour des pistes. Le collage de cale + SB me semble difficile, puisque l'on est en surplomb latéral , donc, la cale serai unilatéral .

Peut être après les pistes un pul avec verrin mandibulaire . Le verrin mand existe sur la fiche laboratoire, mais je ne l'ai jamais utilisé .


Darmon - Eugenol
Latin

19/06/2014 à 01h20

Pour moi le problème du pul c'est que tu ne te retrouves pas forcément avec une inocclusion totale. Là c'est vraiment important il me semble de libérer au maximum le verrouillage. Donc des pistes de Planas avec un vérin antérieur mandibulaire et des pistes réglées pour un proglissement mandibulaire pour stimuler sa croissance sagittale seraient peut-être plus indiquées. A moins qu'il soit possible de lever totalement les interférences occlusales avec un pul.

Ce sera forcément mieux que des cales.


Capture ddc6bm - Eugenol
sumble

19/06/2014 à 12h22

jeff écrivait:
--------------
> (...)
>
> Je pense partir pour des pistes. Le collage de cale + SB me semble difficile,
> puisque l'on est en surplomb latéral , donc, la cale serai unilatéral .
>
>(...)

Au contraire, ce surplomb empêchant la croissance transversale, en collant tu supprimes la supra et tu engages les secteurs 5 et 8 dans la mastication. En faisant sortir les cuspides inf vest et en rentrant les palatines (contact versants vest des cuspides palatines et versants linguales des cuspides vest) tu stimules la croissance transversale.

Pour l'activateur, plutôt un Sodis (j'opterai pour un conformateur arrondi) qu'un SB pour le repose langue et le Staminalène qui semble être plus intéressant (et meilleur goût).


cy2

19/06/2014 à 13h36

disjonction maxillaire possible (présence de suture palatine); disjonction mandibulaire??? Sans sutures comment est-ce possible???

Disjonction au piézo : conséquences? recul sur la répercussion sur les ATM?


Darmon - Eugenol
Latin

19/06/2014 à 15h09

Les deux bourgeons mandibulaires sont soudés à l'âge de 1 an de mémoire. D'où l'obligation de faire une distraction chirurgicale quand l'indication est posée. L'indication peut être posée dans des syndromes Brodie. Mais ça reste rare comme intervention.

On verra s'il y a un déficit transversal basal sur la télé de face.


1 eugenol dmj5np - Eugenol
Dancha

20/06/2014 à 22h26

jeff écrivait:
--------------
> Petite patiente, 9 ans et demi.
>
> j'avais essayé deux mois un bihélix mandibulaire il y a deux ans. Echec complet.
>
> Je la revois aujourd'hui. Evidement, cela ne s'est pas arrangé.
>
> J'avoue etre en panne d'option thérapeutique, a part la disjonction médiane au
> piezo. Des plaques à pistes ?
>
> D'autres idées ? si chirurgie, vers quel age ?

Pas d’affolement, commence par une traction sur élastiques croisés avec surélévations en CIV de l'autre coté et il y a de fortes chances que ta "micromandibulie" se corrigera toute seule. C'est un cas relativement classique.

Voici un exemple. Cela peut paraître gênant mais c'est beaucoup moins encombrant qu'un berlingot..

Daniel

Micro 1 brglpq - Eugenol
Micro 2 jonttv - Eugenol
Micro 3 zxwbjy - Eugenol

Eucata

28/06/2014 à 13h07

Bonjour

Il faut déjà levée la supraclusion pour libérer la mandibule, tu peux le faire avec un multibague puis une fois la supra lévée, tu peux utiliser un propulseur mandibulaire de type PUL (cela marche très bien) et il est bien tolérée.


Picture1111 zburnd - Eugenol
saidkholoki

28/06/2014 à 13h28

Eucata écrivait:
----------------
> Bonjour
>
> Il faut déjà levée la supraclusion pour libérer la mandibule, tu peux le faire
> avec un multibague puis une fois la supra lévée, tu peux utiliser un propulseur
> mandibulaire de type PUL (cela marche très bien) et il est bien tolérée.
>

Mais dans ce cas il ne s'agit pas d'une vraie supraclusio! C'est une infralaterale mandibulaire, donc il ne faut surtout pas ingresser le haut mais plutot egresser les secteurs lateraux mandibulaires! Le plan occlusal maxillaire est presque droit, mais le plan occlusal mandibulaire presente une marche d'escalier terrible (entre le bloc incisivo-canin et les dents posterieures).

--
A suivre...
Said


Darmon - Eugenol
Latin

28/06/2014 à 17h25

D'où l'intérêt de lever le verrouillage occlusal et de favoriser la croissance transversale et la propulsion mandibulaire+/- stimuler sa croissance sagittale.

Déverrouiller en antérieur pour permettre une propulsion de la mandibule si tant est qu'elle est actuellement en rétro pulsion permettrait de régler au moins partiellement le problème dû au déficit transversal mandibulaire. (Si l'arcade mandibulaire avance l'évolution des rapports inter arcades sera favorable).


Icon poker h4nm2d - Eugenol
jeff

16/07/2014 à 14h49

Voici les radios de face et profil.

Analyse de face, j'en ai fait une fois en fac, et c'est tout. Donc, j'en laisse le commentaire à ceux qui en ont l'habitude.

Capucine face vrac9k - Eugenol
Capucine profil rswyjp - Eugenol

12