Cookie Consent byPrivacyPolicies.comtechnique gutta condensors - Eugenol

technique gutta condensors

Gabriel Dufay

21/06/2014 à 11h55

Bonjour,

y-aurait-il un livre, un numéro de revue, qui décrive précisément la technique d'utilisation des gutta condensors maillefer?


Capture ddc6bm - Eugenol
sumble

21/06/2014 à 12h12

Pas besoin. Pourquoi tu veux perdre ton temps avec ça? Chacun doit avoir ses petites habitudes pour l'obturation.

40,000 rpm sans eau, tu commences à tourner quand tu as "calé" ton/tes cône(s).

Tu peux faire des essais sur des dents extraites.


Index vakr2r - Eugenol
pgc

21/06/2014 à 12h54

idem
+ pas d'instruments trop fins qui patinent sur place et n'accrochent pas la gutta
pas trop de ciment canalaire
pousser un peu en direction apicale
puis laisser remonter
je pense pas qu'il y a vraiment besoin d'un livre mais si c'est pour connaître les bases pourquoi pas
meilleure méthode d'apprentissage pour cette technique modeste = sur dts extraites
c'est essentiellement une méthode manuelle il n'y a pas un protocole hyper-précis
si tu as besoin d'un protocole très rigide calibré au 10ème de mm ce n'est pas la technique d'obturation que tu choisiras


Gabriel Dufay

21/06/2014 à 13h23

bon, alors on y va pour des questions:
-quel diamètre d'instruments choisir, je finis les préparations à 6% jaune heroshaper, j'imagine que les instruments trops fins cassent
-quelle longueur de travail: l-3,L-4?
-j'ai remarqué que la méthode pouvait amener une fusion de la pate à l'apex même à l-4 (et les éventuelles soucis qui vont avec si proximité structures sensibles), il y a donc transmission des forces latérales en forces verticales. faut-il mettre moins de pâte (j'en mets très peu sur 3mm), n'y-a-t-il pas un risque de sous obturation entre le cone sans pâte et l'action du condensor?


doagui

21/06/2014 à 14h06

Gabriel Dufay écrivait:
------------------------
> bon, alors on y va pour des questions:
> -quel diamètre d'instruments choisir, je finis les préparations à 6% jaune
> heroshaper, j'imagine que les instruments trops fins cassent

C'est vrai que ça casse mais c'est pas le souci, dans ce cas normalement ça casse hyper haut et tu n'as qu'à tirer dessus pour le retirer, un peu comme un Largo. Non le truc c'est qu'il faut prendre assez large pour que ça "accroche" la gutta, si c'est trop fin ça va te faire voltiger ton cône et c'est tout.

> -quelle longueur de travail: l-3,L-4?

Ca dépend des praticiens, LT-4 me semble raisonnable, mais certains vont plus pres de l'apex. Commence avec ça et il sera toujours temps d'aller plus loin si tu le souhaites quand tu seras plus à l'aise avec la méthode.

> -j'ai remarqué que la méthode pouvait amener une fusion de la pate à l'apex même
> à l-4 (et les éventuelles soucis qui vont avec si proximité structures
> sensibles), il y a donc transmission des forces latérales en forces verticales.
> faut-il mettre moins de pâte (j'en mets très peu sur 3mm), n'y-a-t-il pas un
> risque de sous obturation entre le cone sans pâte et l'action du condensor?

Le protocole est simple : tu mets un cone calibré et tu vérifies bien que tu as une résistance au retrait. C'est ça qui t'éviteras les fusées de gutta, cette résistance au niveau de l'apex. Ensuite tu ne mets pas trop de ciment sinon le cône va glisser et tu risques de le sortir avec le guttacondensor. Tu poses ton instrument à l'entrée du canal, sur le côté du cône, tu tournes à grande vitesse (40000) sans eau, tu attends de voir que la gutta fond à l'entrée du canal et là tu vas sentir que ton instrument avance sans aucune résistance. Tu vas jusqu'à LT-4, puis tu ressors. Pas de panique, en général l'instrument est tapissé de gutta, on a l'impression d'en ressortir pas mal mais normalement pas de souci, c'est juste l'excédent. Tu compactes l'entrée avec un fouloir classique, grand diamètre, et c'est tout.


Marque a3 orange fyvhyq - Eugenol
Marc Apap

21/06/2014 à 14h17

Je pense qu'avant de toucher aux gutta condensor, tu devrais, oui, lire et intégrer un bon livre d'endodontie qui explique les buts et les techniques d'une préparation canalaire convenable et réussi.
Finir ses préparations avec un heroshaper jaune (numéro 20) est inacceptable dans tous les cas, même à 6 %.
Après, il faut apprendre à se servir du GC, mais ce n'est pas un livre qui va te dire la sensation qu'il faut avoir au bout des doigts.


Capture ddc6bm - Eugenol
sumble

21/06/2014 à 14h35

Marc Apap écrivait:
-------------------
> Je pense qu'avant de toucher aux gutta condensor, tu devrais, oui, lire et
> intégrer un bon livre d'endodontie qui explique les buts et les techniques d'une
> préparation canalaire convenable et réussi.

On n'a pas à faire à un étudiant, je pense que les bases, il les connait.


> Finir ses préparations avec un heroshaper jaune (numéro 20) est inacceptable
> dans tous les cas, même à 6 %.

Je ne suis pas d'accord. Je ne vois rien, de mon expérience, qui justifie d'aller au delà de 20 (foramen avant prep inf à 20 bien entendu); et des LIPOE, j'en ai "résorbées".


> Après, il faut apprendre à se servir du GC, mais ce n'est pas un livre qui va te
> dire la sensation qu'il faut avoir au bout des doigts.

C'est juste.


RookMoot

21/06/2014 à 14h35

Le risque majeur avec un gutta condensor c'est de le faire tourner à l'envers. Sur certains fauteuils la rotation inversée est très facile à activer et alors c'est le drame : ton gutta condensor va se visser à la vitesse de l'éclair et casser au delà de l'apex...

Sinon l'instrument est assez fragile, mais lors d'une fracture durant la condensation il suffit de recommencer la condensation avec un gutta condensor neuf et le morceau fracturé remonte de lui même.


rv59

21/06/2014 à 14h41

Je suis surpris que vous parliez de 40000 tours.
Perso je tourne aux alentours de 17000.
Sur les plaquettes Maillefer indique même 8000.


Darmon - Eugenol
Latin

21/06/2014 à 14h44

Il me semble effectivement que le gold standard actuellement pour la préparation c'est conicité 6% et diamètre 30.


doagui

21/06/2014 à 15h12

A moins que 40000 personnellement je n'arrive pas à apporter assez de chaleur pour faire fondre la gutta, mais peut être que c'est possible et que je m'y prends mal.


Capture ddc6bm - Eugenol
sumble

21/06/2014 à 15h15

Idem. Pour avoir essayer à 10,000 rpm, j'ai pas réussi à faire fondre. Peut être pas assez patient...


Marque a3 orange fyvhyq - Eugenol
Marc Apap

21/06/2014 à 16h16

Sumble, ne se baser que sur son expérience clinique, cela correspond à une vision de la médecine du 18ème siècle.
Je constate avec tristesse, que malgré les années qui passent, peu de progrès ont été accomplis dans l'esprit de certains.
Bref, élargir le canal à 20 est insuffisant dans 99,9 % des cas pour le nettoyer correctement. Ce n'est pas l'expérience clinique qui le dit, mais les centaines, peut-être les milliers de publications parues sur le sujet depuis au moins 40 ans.


Utilisateur banni

21/06/2014 à 16h43

Tout à fait. Tu pourras le répéter sans fin. C'est bien triste tout ça.


rv59

21/06/2014 à 16h47

sumble écrivait:
----------------
> Idem. Pour avoir essayer à 10,000 rpm, j'ai pas réussi à faire fondre. Peut être
> pas assez patient...

C'est vrai qu'il y a un petit moment où tu as l'impression qu'il ne se passe rien, mais c'est très court, je dirais 3 à 5 secondes.
Par contre à 10000 je n'y arrivais pas.
J'essaie de trouver la vitesse la plus faible permettant d'avoir le résultat, car j'ai toujours une réticence à amener un instrument à 40000 dans un canal. Surtout quand le constructeur te dit 8000.


Index vakr2r - Eugenol
pgc

21/06/2014 à 16h58

rv59 écrivait:
--------------
> Je suis surpris que vous parliez de 40000 tours.
> Perso je tourne aux alentours de 17000.
> Sur les plaquettes Maillefer indique même 8000.

J'ai appris 40 000 par le Dr Bal que j'ai eu la chance d'avoir comme prof quand j'étais étudiant. Maillefer peut écrire ce qu'il veut je resterai à 40 000, diamètre 45 ou plus. J'en casse un tous les 3 ans et encore, et ça casse très haut donc c'est très facile à sortir.
Ne marcher qu'à l'empirisme, c'est désastreux. Ne marcher qu'à la théorie pure et dure, c'est s'exposer à des déceptions et au découragement. Je suppose qu'une attitude raisonnable consiste à avoir de solides bases théoriques, et à s'en servir en situation clinique, sans s'entêter à les appliquer à la lettre. Les gold-standard changent tous les 5 ans.
LT - 3 ou 4 ou 5 ou 10? Sur canal droit, courbe, très courbe? Comment répondre définitivement à ça? On ne peut pas mettre un stop sur un McSpadden.
Prépare une dizaine de dents sèches tu te feras une idée.
Si tu vois que c'est pas pour toi, utilise une autre méthode.


Index vakr2r - Eugenol
pgc

21/06/2014 à 17h00

rv59 écrivait:
--------------
>...
> car j'ai toujours une réticence à amener un instrument à 40000 dans un canal.
> Surtout quand le constructeur te dit 8000.


Sur les boîtes d'anesthésiques il est dit qu'un quart de carpule c'est OK pour un soin. Or 99 fois sur 100, c'est faux.
Que faire?


Index vakr2r - Eugenol
pgc

21/06/2014 à 17h19

Marc Apap écrivait:
-------------------
> ... Ce n'est pas l'expérience clinique qui le dit, mais les centaines,
> peut-être les milliers de publications parues sur le sujet depuis au moins 40
> ans.


Moi ça ne me dérange pas que la médecine ne soit pas une science exacte. Le travail fondamental est toujours le bienvenu. Mais il ne faut pas stériliser la pratique au prétexte de la rationaliser. J'alèse un canal avec une conicité importante et un diamètre à l'apex important quand je peux le faire, c'est à dire dans la grande majorité des cas. Quand je n'y arrive pas, je ne vais pas me pendre parce que j'ai laissé un apex à 20.
Si Gabriel Dufay est heureux avec ses préparation à 6% diam. 20, pourquoi lui tordre le bras dans le dos pour le faire passer à 30 ou à 40?


Capture ddc6bm - Eugenol
sumble

21/06/2014 à 17h37

Marc Apap écrivait:
-------------------
> Sumble, ne se baser que sur son expérience clinique, cela correspond à une
> vision de la médecine du 18ème siècle.

Pas d'accord. Et quand je dis de mon expérience, c'est du constat clinique que je fais: la biologie est le seul juge de l'efficacité d'un traitement. L'objectif de l'endo est le maintient de la dent le plus longtemps sur l'arcade en évitant l'infection. Si ma technique d'endo permet d’éliminer une infection présente, alors ma technique est suffisante (dans la limite de l'efficacité par l’accès orthograde).



> Je constate avec tristesse, que malgré les années qui passent, peu de progrès
> ont été accomplis dans l'esprit de certains.

On est d'accord. Je garde l'esprit aussi ouvert que possible, et cela passe, entre autre, en restant rationnel par la non soumission à un climat socio-économique (dans social je met certains conférenciers de renommée internationale qui peuvent dire des conneries) et en gardant le cap sur mes objectifs. C'est cet état d'esprit qui, par exemple, m'a fait abandonner les tenons métalliques (donc IC) et apporté beaucoup plus que ce que tu peux imaginer.

> Bref, élargir le canal à 20 est insuffisant dans 99,9 % des cas pour le nettoyer
> correctement. Ce n'est pas l'expérience clinique qui le dit, mais les centaines,
> peut-être les milliers de publications parues sur le sujet depuis au moins 40
> ans.

Je devrais donc lors de contrôle radio de cicatrisations osseuses 99.9% de lésions encore en place. Ce n'est pas le cas.
Permet moi d'être critique avec les publications, qui même si elles sont nombreuses ne permettent pas d'être aussi affirmatif que tu l'es (pour ce point précis dont on parle). Les concepts de préparation de A à Z varient dans le temps. Il y a fort à parier que certains principes "obligatoires" pour certains seront jugés plus tard comme non indispensables pour le succès du traitement.

Pourquoi j'irai instrumenter à 30 alors que l'ai galéré pour gagner les 2-3 derniers mm avec mes 08 et 10? Pour préciser(et oui, c'est important sur ce forum où on conclu trop facilement), je ne néglige pas la préparation du foramen.


Marque a3 orange fyvhyq - Eugenol
Marc Apap

21/06/2014 à 18h47

Excuse-moi, tu es certainement honnête et consciencieux. Mais il te manque (à mon avis, d'après ce que tu écris) une formation scientifique qui te ferait voir les choses autrement. Pour l'instant, je vois surtout quelqu'un qui est une fashion victim de certains fabricants, relayés par certains leaders d'opinion, qui instillent dans l'esprit des praticiens des informations de nature à leur faire acheter ce qu'ils veulent.
Les tenons en titane n'ont jamais entrainé plus de casse des racines que les autres et coutent 5 à 10 fois moins cher que ceux en fibre de verre (pas inutiles, mais pas toujours indispensables) sans se corroder.
Quant au pb de la préparation apicale, je te concède que tout le monde n'a pas un microscope électronique à sa disposition pour voir à quoi elle ressemble, ni même un microscope opératoire pour se rendre compte de l'état des parois canalaires une fois la préparation achevée. Je peux te dire qu'ayant bénéficié de ces deux outils, je ne me hasarde pas à avancer des affirmations aussi péremptoires que les tiennes.
Ah, pour finir : si tu avais une formation scientifique, tu saurais qu'en endo tout au moins, rien n'est tout blanc ou tout noir et que la guérison peut survenir même quand tout n'est pas parfait et réciproquement. Quoique cela, tu l'aies déjà constaté de ta simple expérience clinique.


Capture ddc6bm - Eugenol
sumble

22/06/2014 à 10h38

Marc Apap écrivait:
-------------------
> Excuse-moi, tu es certainement honnête et consciencieux. Mais il te manque (à
> mon avis, d'après ce que tu écris) une formation scientifique qui te ferait voir
> les choses autrement. Pour l'instant, je vois surtout quelqu'un qui est une
> fashion victim de certains fabricants, relayés par certains leaders d'opinion,
> qui instillent dans l'esprit des praticiens des informations de nature à leur
> faire acheter ce qu'ils veulent.
> (...)

Je savais bien que mon diplôme des beaux arts n’avait pas de valeur, j’attend avec impatience Pessoa pour me mettre à niveau.
Cependant entre ce que j’écris et ce que tu interprètes, il y a un gap. Peut être qu’avec une relecture tu verra que je ne suis pas une fashion victim. Sauf si ta définition de fashion victim est la prise en compte de la biologie, de la biomécanique, de se rapprocher ce que Dieu par/ou (raye la mention que tu préfères) l’évolution (à peine quelques millions d’années) a créé, alors tu peux m’appeler comme ça. J’irai pas jusqu'à dire que mon obsession est mise en place des fonctions orales sinon je perdrai à tes yeux toute crédibilité en tant que dentiste :)


Capture ddc6bm - Eugenol
sumble

22/06/2014 à 10h38

Marc Apap écrivait:
-------------------
> (...)
> Les tenons en titane n'ont jamais entrainé plus de casse des racines que les
> autres et coutent 5 à 10 fois moins cher que ceux en fibre de verre (pas
> inutiles, mais pas toujours indispensables) sans se corroder.
> (...)

Oui, un matériau qui a un module d’élasticité 5 à 6 fois plus élever que la dentine doit rester un standard ;).

36 wcy3hf - Eugenol
36 photo zz29gy - Eugenol

Capture ddc6bm - Eugenol
sumble

22/06/2014 à 10h39

Marc Apap écrivait:
-------------------
>(...)
> Quant au pb de la préparation apicale, je te concède que tout le monde n'a pas
> un microscope électronique à sa disposition pour voir à quoi elle ressemble, ni
> même un microscope opératoire pour se rendre compte de l'état des parois
> canalaires une fois la préparation achevée. Je peux te dire qu'ayant bénéficié
> de ces deux outils, je ne me hasarde pas à avancer des affirmations aussi
> péremptoires que les tiennes.
> (...)

Encore oui, péremptoire de penser que la biologie a le dernier mot.


Capture ddc6bm - Eugenol
sumble

22/06/2014 à 10h39

Marc Apap écrivait:
-------------------
> (...)
> Ah, pour finir : si tu avais une formation scientifique, tu saurais qu'en endo
> tout au moins, rien n'est tout blanc ou tout noir et que la guérison peut
> survenir même quand tout n'est pas parfait et réciproquement. Quoique cela, tu
> l'aies déjà constaté de ta simple expérience clinique.

Suffit de demander…

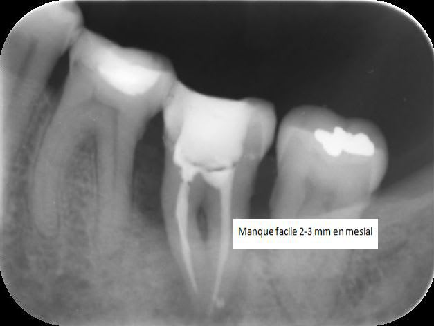
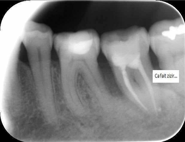
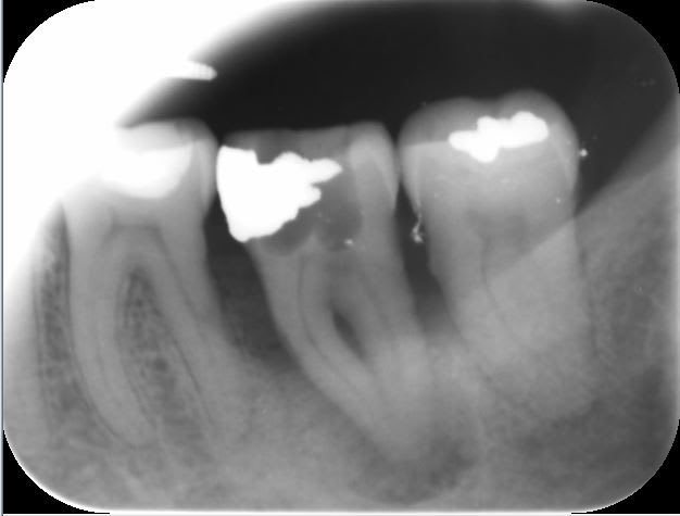
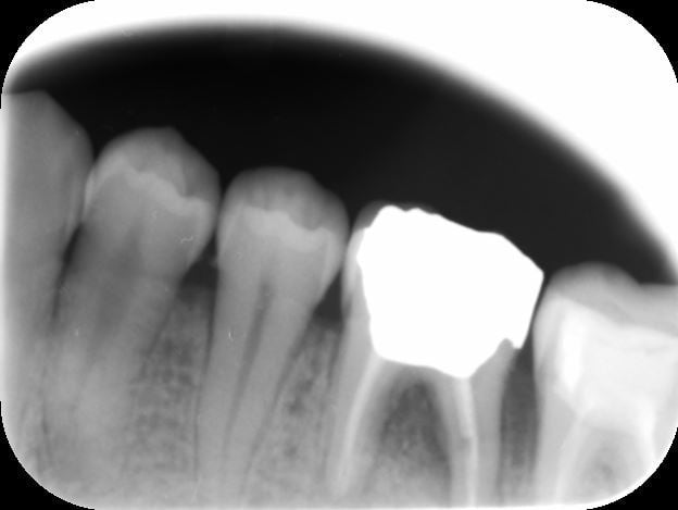
Lesion endo paro bdwn58 - Eugenol
J 0 obturation bof.. - Eugenol
J   3 mois  bonne surprise ya7tbg - Eugenol

Capture ddc6bm - Eugenol
sumble

22/06/2014 à 10h39

Bref, j’en ai fini avec ce petit interlude avec Marc Apap. Je t'aime bien, même si je ne suis pas d'accord avec toi sur certains points.


12