Cookie Consent byPrivacyPolicies.comtechnique gutta condensors - Eugenol

technique gutta condensors

Marque a3 orange fyvhyq - Eugenol
Marc Apap

22/06/2014 à 11h48

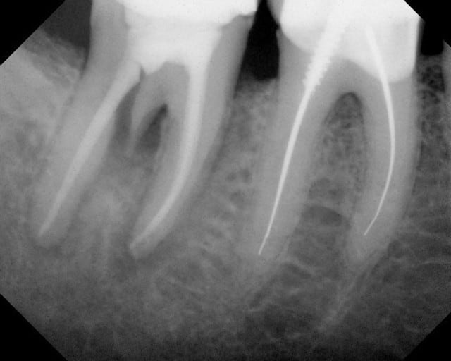
Tiens, un cas à moi: une dent dépulpée par mes soins qui casse au bout de 5 ans, sans tenon radiculaire. Et une autre obturée avec des cônes d'argent et un screw post qui a résisté après je ne sais combien d'années.
Est-ce que ça prouve que les cones d'argent et le scew post sont plus fiables que la gutta chaude et un composite sans tenon ?
Un cas clinique n'est qu'une anecdote, pas un preuve scientifique.
La cause d'un succès ou d'un échec endodontique n'est pas toujours ce qui saute aux yeux au premier abord

09 09 2009 i3urzh - Eugenol
31 05 2014 xf3te0 - Eugenol

Ico v for vendetta08 jzhpep - Eugenol
o⅁ pnɐuɹ∀

22/06/2014 à 12h07

Ce n'est pas avec lui que tu n'es pas d'accord mais avec l'endodontie.

Les 6% permettent davantage à l'aiguille de la seringue d'approcher la zone la plus sensible, la zone apicale et de l'irriguer avec ta solution désinfectante.
C'est la théorie car pour peu que le canal soit courbe, donc très souvent, tu es très loin de l'apex et ce sont les instruments qui vont permettre le renouvellement de la solution dans la zone apicale.
En la sous instrumentant en diamètre le désinfectant fonctionnera moins bien dans le réseau 3D apical.

En 6 % il faut aller jusqu'au 25, plus si la constriction est atteinte (nécrose). 30% en 4%, au-delà si le diamètre de la constriction l'exige ou que tu veuilles élargir la préparation d'un delta apical souillé‚ nécrose.

À propos des nécroses en thermocompaction, même avec un cône doublement calibré, test de la lime K du dernier diamètre d' instrument, test de résistance au retrait du cône, tu as des surprises de dépassement de ciment. L'usage de la technique mixte, latérale de un à trois cônes et thermocompacteur résoudra le problème.

La LT du thermocompacteur est 1-2mm de la constriction si tu veux ramollir jusqu'au bout ta gutta ‚ à comparer aux 3-4 de la verticale. Pas de problème si tu respectes les règles et si c'est possible bien sûr ‚ pas de canal courbe.


doagui

22/06/2014 à 13h40

sumble écrivait:
----------------

> Oui, un matériau qui a un module d’élasticité 5 à 6 fois plus élever que la
> dentine doit rester un standard ;).

C'est un brin simpliste cet argument. Disons au minimum qu'il y a d'autres critères qui rentrent en ligne de compte (longueur du tenon par rapport au niveau osseux, par exemple), et que finalement plus que l'outil utilisé ce qui compte c'est de bien savoir s'en servir.


Gabriel Dufay

23/06/2014 à 17h20

et au fait, quel serait le meilleur livre pour faire le point?


12