Cookie Consent byPrivacyPolicies.comTour de France des centres dentaires Low Cost - Eugenol

Tour de France des centres dentaires Low Cost

colza2

09/07/2014 à 18h59

chicot29 écrivait:
------------------
> colza2 écrivait:
> ----------------
>
> > dans les premiers contrats en 2012 il y avait des minima à faire pour les
> > dentistes (40000/mois pour les cmu etc...) , le cdo les a retoqués.
> > maintenant cela n'apparait plus.
> > mais l'objectif est toujours là et de plus en plus élevé pour le dentiste
> (les
> > briefings journaliers, la réunion avec les chefs, la pression des vendeuses
> > etc...).
>
> 40 000 euros par mois en low cost il faut avoir un taille crayon de compétition.
> Ou alors faire de la re-cotation (vive le tiers payant !)


les différents directeurs de centre qui parlent dans la presse disent que pour faire ces chiffres c'est une simple question d'organisation.
je résume: il faut 2 outils, un taille crayon et une calculatrice.

- un exemple: 1 i core 122 + 1ccm 375 = 500 en arrondissant
- 40000 / 500 = 80 i core-couronne/mois
- 4j de travail par semaine = 16 j par mois
- 80 i core couronne / 16 j = 5 / jour

chiffre ridicule ( 5/j, même pas 1/ heure ) , c'est pour ça que 40000 est le minimum.

si tu n'as que le taille crayon , ça ne marche pas.
consulte un coach il t'amènera à travailler utilement avec la calculatrice.


youn

09/07/2014 à 19h07

bond écrivait:
--------------
> Si tu as un plan pour travailler à l'étranger .
> English friendly!

C'est pour moi ça? Y a pas de bon plan, il suffit de faire ses valises. C'est ultra simple.


--
www.dentaltradegroup.com


Doc sans color fnywoc - Eugenol
bond

09/07/2014 à 19h16

Trouvé ce jour sur http://dentalemploi.com, l'annonce suivante:

"Clinique à Lille et Aubagne, cherche chirurgien-dentiste Manager. Vos tâches : assurer le management d'une équipe composée de chirurgiens paro- implantologistes, omnipraticiens et assistantes qualifiées, plans de traitement, premières consultations. Temps plein salarié. Merci d'envoyer parcours et lettre de motivation à [email protected]"

Mon Rêve à portée de Clic!!


eusebius

09/07/2014 à 19h21

merci pour le partage de l'offre d'emploi :-))))


olivier

09/07/2014 à 22h32

bond écrivait:
--------------
> Trouvé ce jour sur http://dentalemploi.com, l'annonce suivante:
>
> "Clinique à Lille et Aubagne, cherche chirurgien-dentiste Manager. Vos tâches :
> assurer le management d'une équipe composée de chirurgiens paro-
> implantologistes, omnipraticiens et assistantes qualifiées, plans de traitement,
> premières consultations. Temps plein salarié. Merci d'envoyer parcours et lettre
> de motivation à [email protected]"
>
> Mon Rêve à portée de Clic!!


c est nickel avec ton profil...


Capture d  cran 2015 03 12 12.28 - Eugenol
chicot29

10/07/2014 à 00h11

colza2 écrivait:
----------------

> - un exemple: 1 i core 122 + 1ccm 375 = 500 en arrondissant
> - 40000 / 500 = 80 i core-couronne/mois
> - 4j de travail par semaine = 16 j par mois
> - 80 i core couronne / 16 j = 5 / jour
>
> chiffre ridicule ( 5/j, même pas 1/ heure ) , c'est pour ça que 40000 est le
> minimum.
>
> si tu n'as que le taille crayon , ça ne marche pas.
> consulte un coach il t'amènera à travailler utilement avec la calculatrice.

Démonstration, parfaite que la prothèse est accessible aux plus démunis tout en étant rentable. Si ils veulent un coup de pouce je veux bien intervenir également en tant que coach pour former leurs salariés en endo pour qu'ils perdent un minimum de temps pour ces actes peu rentables. ( endo taille empreinte provisoire pour 2 mono radiculées en 1H, pause café comprise). Note : les molaires (particulièrement sup) font un peu chuter la moyenne par le temps perdu et un remboursement médiocre ( 230 euros) le sujet ne sera donc pas traité ici.-))))
C'est donc vraiment un minimum car avec une communication et une campagne médiatique autorisée au top, on peut meme taille crayonner des patients avec des mutuelles haut de gamme avec toujours bien sur un reste à charge nul, on est pas là pour entuber les patients quand meme !-)))
Avec un bon coach pour motiver les troupes ( indispensable car c'est monotone à la longue)
on peut donc faire une moyenne de 15 cérams par jour ( 7500 euros / jour) , à ce niveau CMU ou pas n'a plus guère d'importance.

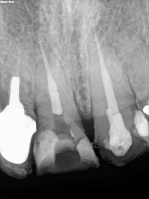
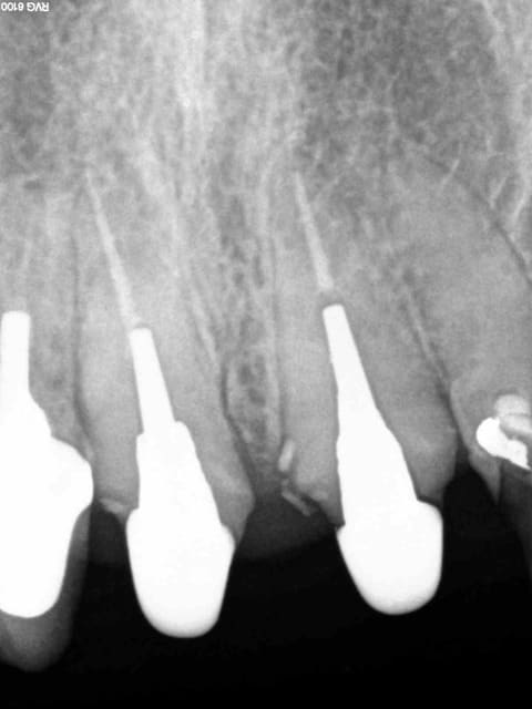
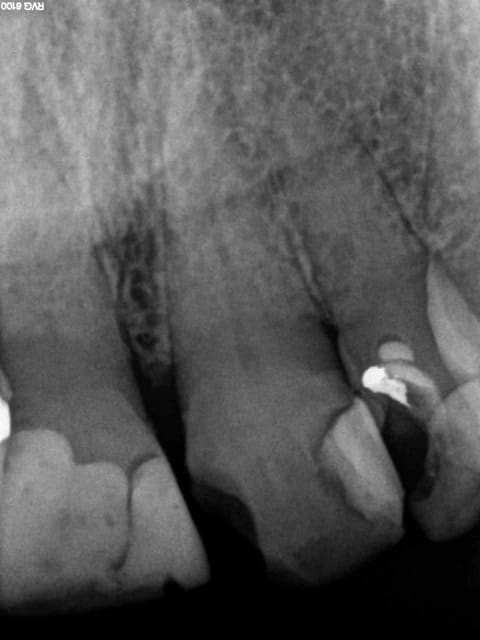
11 21 de la balle crjq1n - Eugenol
Pose 2 ic coiffe 10 mn mxgarl - Eugenol
11 21 endo turbo so1akt - Eugenol

colza2

10/07/2014 à 09h13

chicot29 écrivait:
------------------
. ( endo taille empreinte provisoire pour 2 mono radiculées en 1H, pause café comprise).

toi si tu travaillais en centre dentaire éthique , tu te ferais limite engueuler le soir au débrief par une agent immobilier ou une bts tourisme parce que pendant ta pause café tu aurais pu mettre une ccm en place. :-))))


Capture d  cran 2015 03 12 12.28 - Eugenol
chicot29

10/07/2014 à 10h32

Tu es dans le vrai c'est exactement la façon de raisonner de ma femme qui a un BTS tourisme. Franchement on a des lacunes dans notre formation initiale pour rendre la prothèse accessible à tous.-)))))


colza2

10/07/2014 à 10h36

tu m'étonnes john, heureusement que ces entrepreneurs vont nous remettre en place , ainsi on finira vite comme en Espagne où on sera salarié (10%) mais avec les inconvénients du libéral (rcp, ordre etc... à ta charge)


olivier

10/07/2014 à 10h41

colza2 écrivait:
----------------
> tu m'étonnes john, heureusement que ces entrepreneurs vont nous remettre en
> place , ainsi on finira vite comme en Espagne où on sera salarié (10%) mais avec
> les inconvénients du libéral (rcp, ordre etc... à ta charge)

ben comme les avocats collaborateur


Capture d  cran 2015 03 12 12.28 - Eugenol
chicot29

10/07/2014 à 10h57

olivier écrivait:
-----------------
> colza2 écrivait:
> ----------------
> > tu m'étonnes john, heureusement que ces entrepreneurs vont nous remettre en
> > place , ainsi on finira vite comme en Espagne où on sera salarié (10%) mais
> avec
> > les inconvénients du libéral (rcp, ordre etc... à ta charge)
>
> ben comme les avocats collaborateur

Ils sont gérés par des associations loi 1901 les cabinets d'avocats ?


olivier

10/07/2014 à 11h11

non mais ils vont payer l AJ sur le CA ....c'est comme si on payait une taxe sur notre ca pour les CMU


eusebius

10/07/2014 à 13h42

à priori la taxe serait pour ceux ne prenant pas les AJ...



je suis toujours épaté par le nombre de cas de patients "fidélisés" que Chicot29 nous présente...


olivier

10/07/2014 à 14h28

eusebius écrivait:
------------------
> à priori la taxe serait pour ceux ne prenant pas les AJ...
>
>
>
> je suis toujours épaté par le nombre de cas de patients "fidélisés" que Chicot29
> nous présente...

Ben tu m étonnes : superbes endos présentées sur Eugenol (y connait pas le fx canal et va toujours à l'apex...) Ah le genre de gars qui te fait les créneaux d'un main et qui arrive toujours à viser la poubelle ....la classe quoi :))


eusebius

10/07/2014 à 14h34

pas spécialement la qualité de ses endos, mais surtout le nombre de patients ayant besoin d'endo ou de rtt....

mais ils étaient où ces patients avant de se faire soigner??


Doc sans color fnywoc - Eugenol
bond

10/07/2014 à 15h10

Il est vrai que la tendance serait d'être le plus conservateur possible et donc moins d'endos.( gradient thérapeutique oblige).
Mais, pour ma part, le premier effet de conserver les dents vivantes avec la pose de moult inlays et overlays fut une baisse de C.A.!!
Il faut vraiment garder la foi pour ne pas retomber du côté obscur!!


P2eqdh3csim6s7nb09ktdq3e7ev8 - Eugenol
barbabapat

10/07/2014 à 15h53

olivier écrivait:
-----------------
> mais comment passer du non lucratif aux bénéfices et les cd qui bossent là bas
> sont ils responsables de leurs actes sur chaque patients ou bien couverts au
> niveau responsabilités par l association?

Il y a une réponse simple à cette question. Que se passe-t-il quand un avion s'écrase. Est-ce la faute de la compagnie, de l'appareil ou des pilotes.

Un fusible est un composant fragile qui sert à endosser la responsabilité. Donc les praticiens seront chargés par les centres pour leur permettre de se défausser de leurs responsabilités.


olivier

10/07/2014 à 16h03

bond écrivait:
--------------
> Il est vrai que la tendance serait d'être le plus conservateur possible et donc
> moins d'endos.( gradient thérapeutique oblige).
> Mais, pour ma part, le premier effet de conserver les dents vivantes avec la
> pose de moult inlays et overlays fut une baisse de C.A.!!
> Il faut vraiment garder la foi pour ne pas retomber du côté obscur!!

Oui quand tu te fais plaisir tu perds de l'argent ...pareil avec les implants si tu ne dépasse un certains nombre par an....
Tu aurais fait un tandem IC+CCM à la place de chaque inlay les patients auraient été remboursés et toi un meilleur CA.

Mais bon tu ne fais pas ce métier uniquement pour l'argent ???


colza2

10/07/2014 à 16h09

... à la différence de la plupart des nouvelles associations à but non lucratif 1901, qui ne jurent que par le tableau de bord ( celui en euros pas celui du pilote) du fauteuil....


olivier

10/07/2014 à 17h02

colza2 écrivait:
----------------
> ... à la différence de la plupart des associations à but non lucratif 1901, qui
> ne jurent que par le tableau de bord( celui en $ par celui du pilote) du
> fauteuil....


Tssss t'es mauvais ;-) J'invite les "patrons" (ou leurs avocats....) de ces centres qui fréquentent nos forums, d'apporter leur point de vue contradictoire


Capture d  cran 2015 03 12 12.28 - Eugenol
chicot29

10/07/2014 à 17h13

eusebius écrivait:
------------------
> pas spécialement la qualité de ses endos, mais surtout le nombre de patients
> ayant besoin d'endo ou de rtt....
>
> mais ils étaient où ces patients avant de se faire soigner??

J'en sais rien mais depuis quelque temps au cabinet c'est la cour des miracles. La conséquence des pas en avant de la CNSD sans doute.-))))


Capture d  cran 2015 03 12 12.28 - Eugenol
chicot29

10/07/2014 à 17h18

olivier écrivait:
-----------------
> eusebius écrivait:
> ------------------
> > à priori la taxe serait pour ceux ne prenant pas les AJ...
> >
> >
> >
> > je suis toujours épaté par le nombre de cas de patients "fidélisés" que
> Chicot29
> > nous présente...
>
> Ben tu m étonnes : superbes endos présentées sur Eugenol (y connait pas le fx
> canal et va toujours à l'apex...) Ah le genre de gars qui te fait les créneaux
> d'un main et qui arrive toujours à viser la poubelle ....la classe quoi :))

Ben ouais, il faut surtout se tenir au courant de l'évolution technologique en matière d'endo qui a fait un bond en avant depuis quelque temps. Mais attend un peu je vais poster l'endo non à l'apex qui va surement arriver un de ces 4 ou l'instrument fracturé, il faut bien une exception qui confirme la règle. ( ca fait trop longtemps que j'ai une chance insolente) -)))


olivier

10/07/2014 à 17h44

c'est vrai quand tu fais le tiers payant tu travaille au tire-nerfs et au lentulo....



chicot29 écrivait:
------------------
> olivier écrivait:
> -----------------
> > eusebius écrivait:
> > ------------------
> > > à priori la taxe serait pour ceux ne prenant pas les AJ...
> > >
> > >
> > >
> > > je suis toujours épaté par le nombre de cas de patients "fidélisés" que
> > Chicot29
> > > nous présente...
> >
> > Ben tu m étonnes : superbes endos présentées sur Eugenol (y connait pas le fx
> > canal et va toujours à l'apex...) Ah le genre de gars qui te fait les créneaux
> > d'un main et qui arrive toujours à viser la poubelle ....la classe quoi :))
>
> Ben ouais, il faut surtout se tenir au courant de l'évolution technologique en
> matière d'endo qui a fait un bond en avant depuis quelque temps. Mais attend un
> peu je vais poster l'endo non à l'apex qui va surement arriver un de ces 4 ou
> l'instrument fracturé, il faut bien une exception qui confirme la règle. ( ca
> fait trop longtemps que j'ai une chance insolente) -)))


Capture d  cran 2015 03 12 12.28 - Eugenol
chicot29

10/07/2014 à 17h52

Je travaille toujours au tire nerf et au lentulo : le tire nerf enrobé de coton pour sécher les puits de tenons des inlay core ou sc 33, le lentulo pour propulser le ciment de scellement des tenons et ancrages radiculaires.
Pour l'instant mon "gate control" tient bon et m'évite de faire de la merde, il devrait résister encore 5 ans je pense.-)))


Doc sans color fnywoc - Eugenol
bond

10/07/2014 à 17h52

Je me disais qu'après l'esthétique je pouvais pose qq. implants .
Si tu me dis que ce n'est pas rentable!
1000 euros pour 30 minutes au fauteuil!!
En tout cas ça me changera des détartrages.