Cookie Consent byPrivacyPolicies.comRéhabilitation prothétique bruxomane - Eugenol

Réhabilitation prothétique bruxomane

alena

12/07/2014 à 11h35

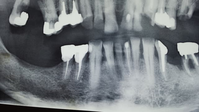
Bonjour,le patient s'est présenté au cabinet pour une réhabilitation prothétique, sa principale préoccupation étant le secteur incisif mandibulaire très usé par le bruxisme. Ci joit son ancienne pano (des soins ont été déjà effectués depuis par son ancien dentiste extraction 36 ccm 34).Le secteur incisif mandibulaire étant très délabré j envisagais une réhabilitation prothètique fixe de 33 à 43 avec élévation de la DV. Les incisives réstantes ne sont pas mobiles mais très abimées. Qui serait pour des ccm solidarisées sans 33 43 sans extractions? Ou pensez vous qu un bridge 33 43 après extraction 31 ,41 serait plus judicieux? Merci beaucoup pour vos avis.

20140712 150913 tcq204 - Eugenol

doudou59000

12/07/2014 à 11h47

et en haut tu laisses comme ça????


Vw campersurfvan bmnk1q - Eugenol
enlaye

12/07/2014 à 11h57

À mon avis ce n est pas un bruxoman mais un fracassé.
On ne peut parler de dvo s il n'y a pas de secteurs post .
Pas de secteurs post =pas de centrée.
Commence par derrière
Un cas comme ça c est tout ou rien.


Vw campersurfvan bmnk1q - Eugenol
enlaye

12/07/2014 à 12h10

Quand aux 31 et 41 tu peux les garder sans problème
http://www.eugenol.com/sujets/406035-1ere-fois-que-ca-m-arrive?page=29
Il y a sûr ce post 2 photos de bloc antérieur tailles sur un cas très dechausse
En haut tu es limite de tout enlever si pas d implants


South park   craig te7bfk - Eugenol
CRAIG

12/07/2014 à 14h02

Classique....Le patient qui veut des jolies dents devant....

Toujours expliquer qu'on ne peut avoir un secteur antérieur correct que si le postérieur est correct!

Les fondations de la maison sont toujours construites avant la maison....CQFD


Avant de t'attaquer au devant attaque toi au fond!....Sinon tu vas au delà de certains soucis!


Index vakr2r - Eugenol
pgc

12/07/2014 à 14h06

En l'absence de calage postérieur c'est l'échec garanti. Pour ce patient ce sera tout, ou rien. A expliquer avec fermeté et délicatesse.


Avatar 46 aoi1yc - Eugenol
HononLulu

12/07/2014 à 15h29

heu....Alena, tu es dentiste ?


Index vakr2r - Eugenol
pgc

12/07/2014 à 16h00

Ce n'est pas le bruxisme qui a usé les dents, c'est la classe II div.2 associée à la perte des dents postérieures.


paradoxe

12/07/2014 à 17h52

C'est une demande incohérente !!!
Si il veut de l'esthétique -> faut refaire le haut, et ensuite ou en même temps le bas.
Si il veut mieux mastiquer, il faut refaire les secteurs post.
Si il veut être tiptop, il faut tout faire.
Si il a des pb posturo, faut remettre une oclluso correcte.
Refaire le bas ?
Bizarre cette demande.. ya pas une anguille sous roche ?? genre je te paye en liquide faux, ou alors cheque en bois ou de quelquu'un d'autre, ou alors il déménage dans 1 mois ?
Ou le mec qui croit qu'il va devenir beau qu'avec 2 dents en bas et qui va t'emmerder parce qu'il est toujours pas beau..