Cookie Consent byPrivacyPolicies.comcherche séquence simple - Eugenol

cherche séquence simple

Nouveau image bitmap fz77zh - Eugenol
Sethef

31/07/2014 à 17h13

En théorie pas de sté, la bague empêche la réutilisation.
Dans la pratique, chez moi, usage unique sur molaires, et je fais 5 canaux pour les autres (pour le reciproc et le S1).

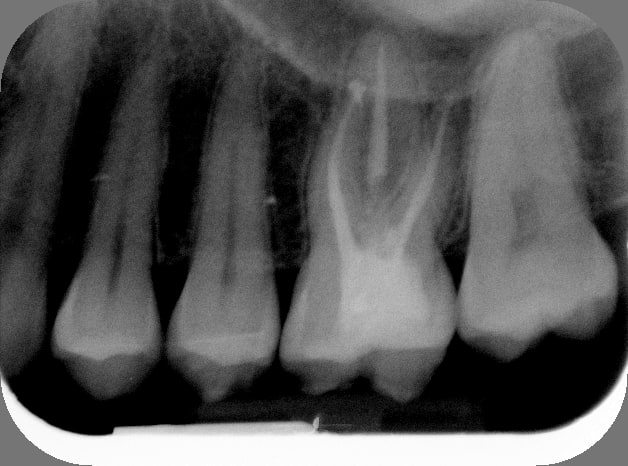
Les 2 de l'aprem, 45min chacune incluant la reconstruction, pas de couronnes pour aujourd'hui!
Par honnêteté, sur la 37, j'ai dû négocier l'apex du MV en manuel.


La lime peut évidemment casser après plusieurs utilisations, même si elle est relativement robuste; elle perd surtout rapidement en puissance de coupe, tu es alors tenté de forcer, et c'est là qu'arrive le gag.
Pour exemple, sur la 37, je commençais à être mal à l'aise et ai hésité à changer de lime avant la fin. Mais longueur de travail importante+courbure, j'ai dû récapituler 3 fois S1+R25 avant d'arriver à l'apex.


(et edit parce que je n'y avais pas fait attention, le machin radio opaque en distal, c'est un artefact hein, mes films digora sont dégueulasses mais j'ai rien cassé aujourd'hui)

37 v40jxp - Eugenol
26 y2m5tg - Eugenol

Grueavatar nptrc9 - Eugenol
Le Choixpeau magique

31/07/2014 à 17h31

TTDAM écrivait:
---------------
> Salut à tous,
>
> Je modifie également ma séquence, et vous m'avez tous convaincu , j'achète un
> moteur en réciprocité .
> Pratiquement,, le wave one et/ ou le Réciproc

Le Reciproc est beaucoup mieux, sans aucun doute, plus efficace, pas besoin d'une lime plus fine pour aller partout.

> , la lime c'est du jetable après
> une utilisation ou du sterilisable ?

J'ai commencé en faisant sauter la bague et en stérilisant et puis je me suis dit à quoi bon ? 13 euros sur le prix d'une couronne ce n'est pas insurmontable. Le confort d'avoir un instrument neuf (qui travaille quand même beaucoup) à chaque fois est appréciable.


Grumpy cat ifik8s - Eugenol
radich_a_tord

31/07/2014 à 18h05

Je fais 10 canaux avec (je fais sauter la bague).

La plupart du temps je fais 1/3 par 1/3 en sortant, irriguant, récapitulant au pathfile. Et je brosse en direction de la paroi de sécurité. En faisant comme ça, j'ai encore jamais cassé.


Dog wwyerg - Eugenol
TTDAM

31/07/2014 à 21h54

Ok merci, je me sens moins bête (encore que!!) et surtout dans certains forums, poser cette question (in english of course) ça fait pauvre français qui n'a pas les moyens :-((


--
TTDAM


Bibidule

03/09/2014 à 18h19

cathétérisme manuel +wave one depuis 2 ans, je réutilise mes limes 2 fois, aucun souci, c'est la simplicité et l'efficacité en endo.


Gaudi parc guell lezard  ntokms - Eugenol
lezard

03/09/2014 à 18h43

Si ça interesse certains: moteur réciproc à 1000 € sur dental éco



12