Cookie Consent byPrivacyPolicies.comVous auriez fait quoi? - Eugenol

Vous auriez fait quoi?

Photo thumb 45 lnhuvp - Eugenol
wakrap

31/07/2014 à 04h02

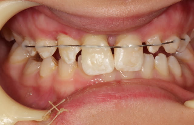
Historique: hier soir 18H coup de fil chez moi du parent d'un enfant de 12 ans, mon fils s'est cassé 3 dents en chutant. Donc je lui donne rendez vous ce matin.
Bilan: 11 21 fracturées mais la 22 est semi expulsée, collée à la gencive. Je me dis que je vais faire une réimplantation mais je découvre, en la prélevant, qu'elle a été fracturée . Reste donc la moitié de la racine que j'arrive à extraire avec une curette en laissant l'os et la racine intacte. J'ai traité le canal et recollé les deux morceaux et réimplanté.
Vous pensez que j'ai fait un truc inutile ou que le gamin a une chance?
Ces gens quittent le territoire dans une semaine et vont habiter vers Chalons je crois. Quelqu'un qui peut surveiller la suite?

A3 ijgdzp - Eugenol
A6 qstiuv - Eugenol
A7 kdm686 - Eugenol
A3 jkq9zt - Eugenol
A8 jz7zm0 - Eugenol
A5 eefxtl - Eugenol
A9 g5gzfh - Eugenol

Images oecc9d ijdijh - Eugenol
Akrobat

31/07/2014 à 10h35

"La seule chose promise d'avance à l'échec, c'est celle que l'on ne tente pas."
J'aurai fait la même chose tout en sachant que la latérale fracturée est fichue a court terme. Ça laisse le temps au parents de se faire à cette idée. Et a toi aussi. Et avec beaucoup de chance pt être que....
T'as bien travaillé.


Avatar transparent iqadnc - Eugenol
adhoc

31/07/2014 à 11h30

Impressionnant! Comment as tu collé les deux fragments de racine? Composite avec le protocole habituel ?(pas beaucoup de surfaces de contact!)


Avatar hjdsnm - Eugenol
TiGabi

31/07/2014 à 11h57

Le plus urgent dans ce cas me semble être la préservation de la vitalité de 11 et 21.
A cet âge, les cornes pulpaires sont très proéminentes : une contamination a lieu très rapidement.

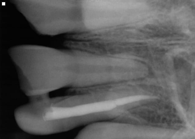
- Pour la 11 : il me semble voir une exposition de la corne pulpaire mésiale. A J+12h, j'aurai fait une pulpotomie de 1-2 mm pour cette corne et placé de la biodentine.

- Pour la 21 : une fracture juxta-pulpaire même sans exposition doit être recouverte dans les 24h. J'aurai placé un fond de CVI puis un composite.

- Pour la 22 : impossible de prédire avec certitude la suite. Une résorption externe est très probable avec une perte de la dent dans un délai de 6 mois à 6 ans.
Il faudra surveiller régulièrement l'absence d'infection : une perte d'os compliquerait l'implant à venir. Avulsion au moindre signe (radio, clinique) infectieux.
L'acte est joli et audacieux. Si la surveillance est régulière, je ne vois pas de risque particulier. Le bénefice est évident... Ce sera au moins une bonne temporisation pour attendre la fin de croissance.

Pour la contention, il me semble voir sur la radio un plot de résine entre 21 et 22. Cela ne tient jamais et saute rapidement dès que l'enfant mastique. Il aurait mieux valu une contention avec un fil souple qui solidarise des dents dans des plans différents : en l'absence des canines, contention de 4 à 4. Et alimentation molle sur une semaine.

As-tu pensé au CMI ?


Blocperso talon jer3sl - Eugenol
mrquentin

31/07/2014 à 12h24

pour moi, étant donné que la colle composite n'est pas biocompatible (ce n'est pas du titane) on va forcément avoir une mise à distance de l'os, et donc entrainer une perte osseuse supérieure que si on avait juste enlevé la racine, qui va venir au minimum jusqu'au trait de fracture.
en plus, je pense qu'il y a tjrs un peu de colle (adhésif ou compo) qui aura été laissé sur la surface de la racine, donc ca induira une perte osseuse encore plus basse. Si en plus on prend en compte les histoires d'espace biologie, ca risque d'amener la perte encore plus loin.
Je pense que si j'avais voulu tenter un truc du genre, j'aurais immobilisé completement le fragment mobile par une contention, fait l'endo à travers les deux fragments, et tenté de mettre un tenon composite en transfixant les deux morceaux. mon souhait serait d'essayer d'avoir un cal ostéo dentinaire qui se forme. Le pb, c'est que (de mémoire) ca se fait lorsque les deux morceau n'ont pas été explusés de l'alvéole.
Mais tout ca, c'est une réflexion purement intellectuelle, et je salue la volonté de vouloir le meilleur pour le patient.


cy2

31/07/2014 à 18h25

si tu as retiré les fibres desmodontales de la racine, pas de possibilité d'accroche et donc échec à la réimplantation.


Photo thumb 45 lnhuvp - Eugenol
wakrap

31/07/2014 à 19h59

Je vais tenter de répondre à tous.
Pour le collage, j'ai, autant que possible, placé l'adhésif avec une microbrush en évitant les bords ext, photo, puis placé un compo fluide avec une microbrush toujours à distance des bords externes. J'espère qu'ainsi il y aura un minimum de compo au contact de l'os.
Je n'ai pas cureté la racine, simplement soigneusement nettoyée pour tenter de préserver les fibres.
Pour les 11 et 21, je vais voir aujourd'hui. J'ai pris la décision de prioriser la 22 en me disant que si je pouvais la sauver elle passait avant. J'ai profité de l'anesthésie pour sonder les zones de fracture et je n'ai pas vu de mise à jour pulpaire.
La biodentine j'ai pas, et personne n'a autour de moi, y a pas chez le fournisseur dans mon île.
Donc sur 21 ce sera CVI compo et sur la 11 on a, en plus de la fracture, de sacré fissures. Je vais placer un CVI sur la zone de fracture et directement planter une couronne cerec emax fine en gardant un max d'email pour un collage parfait. Au pire il suffira d'un trou pour la bio en palatin et à refaire à la majorité après son ortho à venir. D'ailleurs pour l'ortho, la 22 risque de poser problème.
La contention c'est pour 24H, je revois ça tout à l'heure, mais c'est un sacré problème car la 21 a été lingualée, elle va rapidement reprendre sa place simplement par contact occlusaux. Je suis dubitatif sur la fait même de la contention, je vois pas comment m'en sortir à cause de cette 21 qui va migrer. D'un autre côté, la 22 s'est parfaitement insérée et est absolument stable.


Avatar hjdsnm - Eugenol
TiGabi

31/07/2014 à 20h47

Ne mets pas la 21 dans la contention qui n'a d'intérêt que pour stabiliser la dent reimplantée. Tu as une cotation équivalente à SC40 pour cela.
Bravo, ce petit a eu de la chance de tomber...
...sur toi.
Si tu peux, tiens nous au courant de la suite.


cy2

31/07/2014 à 21h23

TiGabi écrivait:
----------------

> Bravo, ce petit a eu de la chance de tomber...
> ...sur toi.
> Si tu peux, tiens nous au courant de la suite.


+1


Photo thumb 45 lnhuvp - Eugenol
wakrap

31/07/2014 à 21h58

Je viens de cogiter en scoot en allant au taf.

Je sens pas du tout la contention étendue: pas de canine, la 21 légèrement lingualée suite au choc et la 11 en céram.

Je pars du principe qu'il faut une contention sur une période courte, Votre avis? une ou deux semaines. Le gosse prend l'avion dans 1 semaine.

Je vois 2 options : je réalise en thermoformage un nightguard sur la mandibule, épais,affiné au regard des 31-32 33 à porter 24/24 sauf les repas semi liquides durant 1 ou deux semaines avec contention 21-22 à faire sauter dans une à deux semaines

Sinon, deuxième option: toujours contention 22-21 et je modifie la face palatine de la 11 pour lui donner un bombé protégeant cette position lingualée de la 21 durant 1 semaine et dans une semaine je retravaille en bouche cette face palatine qui aura un polissage mécanique et non un glaçage et je fais sauter la contention.

Votre avis?


Avatar transparent iqadnc - Eugenol
adhoc

31/07/2014 à 23h34

Je suis d'accord avec tigabi; mettre une contention classique sur une 21 palatinisée est risquée tant que les rapports molaires ne sont pas satisfaisants (contacts incisifs 21-31 trop marqués par version traumatique palatine de 21); cette dent risque d’être bloquée dans sa mauvaise position, avec les risques futurs de résorption d'une racine déjà traumatisée.
La gouttière transparente risque aussi d'entrainer un surcontact supplémentaire non désiré. Ou alors une gouttière maxillaire complète dans laquelle tu pourrais juste évider la zone de surocclusion 21-31 . Ces gouttières type invisalign sont très souples.
En mettant une très fine épaisseur de cavit sur la face vestibulaire de 21 avant la prise empreinte, le mouvement naturel palato vestibulaire pourrait etre restauré avec le port de cette gouttière qui laissera un degré de liberté palato vestibulaire . C'est sans douleur, esthétique et peut se porter plus longtemps que 15 jours! Ton travail sur 22 sera protégé et aura une meilleure chance de survie!

Cas très difficile, il faut le reconnaître!


Photo thumb 45 lnhuvp - Eugenol
wakrap

31/07/2014 à 23h43

adhoc, très intéressant ton approche. Je ne partais pas dans ce sens par principe pour éviter une prise d'empreinte en haut, la désinsertion m'inquiète, mais faut avouer que le résultat final semble la meilleure option.
Reste cette empreinte qui m'inquiète, à la fois douleur de la zone et risque d'aspi ou mobilisation de la 22. Je vais peut-être faire un gros cavit entre 21 et 22 pour éviter le plus possible le risque de mobilisation à la désinsertion et alginate bien fluide.


Avatar transparent iqadnc - Eugenol
adhoc

31/07/2014 à 23h49

... et vaseline ou huile quelconque sur toutes les dents antérieures.


Avatar hjdsnm - Eugenol
TiGabi

01/08/2014 à 00h46

Si la contention est souple et laissée en place seulement 3 semaines, je ne pense pas qu'elle empêchera la remise en place progressive des dents en position normale.

Ci-dessous : cas de réimplantation incomplète et sans contention faite aux urgences. Patient vu plusieurs jours plus tard : on aurait pu enlever les dents avec 2 doigts...

Img 2787 j0scqr - Eugenol

6szjws718sv1jksw54v4mpj3a6cu - Eugenol
vulpi

01/08/2014 à 01h35

Pour ton cas je ne sais pas, mais en PAP quand je prends une empreinte avec des dents très alvéolisées (mob 4+++) dans le but de réaliser extractions + proth provisoire immédiate, je mets une goutte de relyX unicem au niveau des points de contacts, et un compo souple type telio que je ne polymérise pas dans les contre-dépouilles, ça marche bien.


Vw campersurfvan bmnk1q - Eugenol
enlaye

01/08/2014 à 02h29

Wacrap je n ai pas bien compris ou est le problème de la 21qui est lingualee. Si elle est lingualee c est que l os est fracturé. Pourquoi ne pas réduire la fracture en la vestibulant puis faire une contention compo.
Surtout pas de contention gouttière qui est trop souple.
Les cellules souches ne peuvent declancher les integrines si il y a le moindre mouvement et donc pas de differentiation cellulaires


Photo thumb 45 lnhuvp - Eugenol
wakrap

01/08/2014 à 02h43

Je ne crois pas à une fracture, plutôt à une compression de l'os maxillaire dans cette zone, le déplacement de la dent est réduit, 1/1.5 mm, et elle est assez peu mobile. J'ai eu envie hier de pousser la 21 mais j'ai eu peur de flinguer le paquet vasculaire. Tu en penses quoi, pas de risque pour le paquet si je repousse la dent? Et si l'os est déformé par écrasement en vest, remettre de la pression dessus en sens inverse, je le sens pas trop?
En tout cas l'alvéole de la 22 est intacte, aucune mobilité quand je l'ai replacée hier
Bon, je démarre dans une heure, je verrai au feeling.


Photo thumb 45 lnhuvp - Eugenol
wakrap

01/08/2014 à 05h34

Ces personnes vont habiter à Sully sur Loire, vers Orléans, Gien.
Un confrère dans le coin?


Photo thumb 45 lnhuvp - Eugenol
wakrap

01/08/2014 à 07h17

Bon, le gosse était épuisé malgré son courage, j'ai pas pu tout faire, la 21 est très très douloureuse. La 11 va au poil à priori.
J'ai pris l'emp pour faire la gouttière mais je le reverrai demain ou lundi quand il ira mieux pour déposer la contention 21-22 et lui donner la gouttière.

Img 3524 ph3h89 - Eugenol
Img 3526 c6yakr - Eugenol

Vw campersurfvan bmnk1q - Eugenol
enlaye

01/08/2014 à 09h55

A wakrap trop bo . on dirait même tes dents !
Tu vois que c est rigolo l extraction réimplantation.
Par contre je n ai pas d expérience aves une mise en charge quasi immédiate. Tu fais plus fort que moi
Cas a suivre .onfaitsacom.


Photo thumb 45 lnhuvp - Eugenol
wakrap

01/08/2014 à 09h58

Oh, tu te réveilles en forme! Tu as du en faire des mouvements répétitifs cette nuit!


King lcqqit - Eugenol
King of PAP

01/08/2014 à 11h00

Pour les contentions il y a un nouveau produit qui s'appelle Brush Dip, commercialisé par Tokuyama qui fait le super Bond. C'est e même principe, avec une certaine souplesse qui favorise les micro mouvements dus au desmodonte.
Ca marche très bien et tu n'es pas obligé de retoucher les dents adjacentes.


Vw campersurfvan bmnk1q - Eugenol
enlaye

01/08/2014 à 11h12

quand tu poses un implant il ne faut pas de micro mouvement pour une extraction reimplantation c est pareil .
faut pas que ca bouge du tout .


6szjws718sv1jksw54v4mpj3a6cu - Eugenol
vulpi

01/08/2014 à 19h47

J'ai vu passer un cas d'expulsions, endo, réimplantations, 21,11, ça a tenu plus de 25 ans, la patiente avait 18 ans lors de son accident. Toutefois, les dents étaient en fin de vie, comme il y avait ankylose, elle n'étaient plus alignées et la gestion par implants nécessitait une greffe osseuse conséquente, pas revu la patiente.


Photo thumb 45 lnhuvp - Eugenol
wakrap

10/09/2014 à 10h54

C'est une nouvelle indirecte que j'ai du cas. J'aurai certainement plus très bientôt, mais je vous laisse apprécier le message de la maman :

"J'ai donc fait retirer la résine entre les 2 dents de Mattéo le 19 août par un dentiste roumain qui ne savait pas de quoi je lui parlais. Je lui avais pourtant demandé de consulter votre mail, ce qu'elle n'a pas fait.
Pour le moment, j'en suis là. Je vais cette semaine trouver un dentiste là où j'habite, "


12