Cookie Consent byPrivacyPolicies.comVous auriez fait quoi? - Eugenol

Vous auriez fait quoi?

fabzaidi

10/09/2014 à 11h17

Salut
Tu t'es cassé l'oignon pour essayer de sauver cette ratiche et voila comment les gens vous remercie. C'est a se flinguer.


Photo thumb 45 lnhuvp - Eugenol
wakrap

10/09/2014 à 18h53

Ah, non, les parents ont fait ce qu'ils pouvaient, mois d'août, cabinets fermés, liste d'attente infinie pour ceux qui sont ouverts.
Je ne relève que l'attitude de cette consoeur qui s'avère être roumaine.


Photo thumb 45 lnhuvp - Eugenol
wakrap

15/01/2015 à 21h46

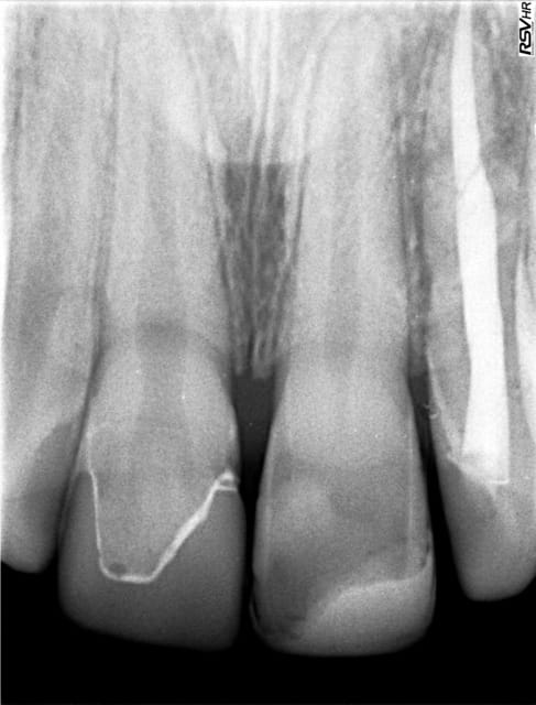
Voilà une radio (photo de la radio faite par la patient) à 6 mois.
Je vais contacter le confrère qui le suit, et aussi l'ortho qui va démarrer un trt, pour avoir plus de détails.

Dsc 0004 convertimage mzs2no - Eugenol

Vw campersurfvan bmnk1q - Eugenol
enlaye

15/01/2015 à 22h50

Joli, wakrap !!!!
Dommage que l'on ait pas une belle rétro alveolaire , pour matter l espace ligamentaire .
Beaucoup de guignols vont te parler d ankylose , mais je n'en ai jamais eu lors d'une extraction reimplantation .( à ne pas confondre avec une reimplantation tardive ).
Lors d 'un controle l'autre jour , je me suis même demandé si il y avait un ligament ou plutôt une attache fibreuse .
À la radio on voit un truc épais qui ferait penser à un ligament lache alors que la tenue est beton ...même apres une force ortho avec un élastique .
Asta louidge.


Photo thumb 45 lnhuvp - Eugenol
wakrap

15/01/2015 à 23h23

Oublie pas le RDV pour le pastaga fin juin, tu te charges des cagoles!


Photo thumb 45 lnhuvp - Eugenol
wakrap

22/10/2015 à 02h53

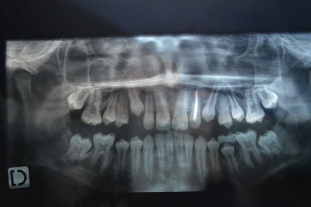
Nous sommes à 16 mois.
Je viens juste de recevoir une radio du confrère fort aimable qui le suit en métropole.

Il suspecte un début d'ankylose et aussi un début de rhizalyse. Un moyen pour détecter et valider l'ankylose?
Normalement l'ortho devrait démarrer dans quelques mois.

21102015 b8eu7f - Eugenol

Aiguille cyboyt - Eugenol
fatboy

22/10/2015 à 16h43

C'est sympa du dentiste de t'envoyer le suivi, j'ai pas mal de patient qui demenagent sur lesquelles je me suis sorti les doigts dont j'aimerai bien avoir des nouvelles.


Img 9301 q0yyqn - Eugenol
Art-dent

22/10/2015 à 23h10

Ce qui est a noter sur la rétro du confrère, c'est la différence du volume pulpaire entre 11 et 21 :
- 21 a continué son développement (volume pulpaire réduit)
- 11 : le volume pulpaire est resté identique malgré la proximité du soin ce qui suggère que le développement s'est arrêté et donc que la dent s'est nécrosée. Malheureusement tant qu'il n'y a pas de lésion visible radiologiquement, la vitalité sera compliquée à évaluée.


--


Photo thumb 45 lnhuvp - Eugenol
wakrap

22/10/2015 à 23h57

Je n'avais pas du tout pensé à regarder à ce niveau Art dent. Mais j'ai du mal à voir ce que tu décris par rapport à la radio de 2014.


Img 9301 q0yyqn - Eugenol
Art-dent

23/10/2015 à 09h20

Oui excuse moi, je n'ai pas été clair dans mon post en fait :
Sur la 11, compte tenu de la proximité pulpaire du soin initial, on aurait dû avoir soit une apposition dentinaire (principe du coiffage) soit un recul pulpaire vis à vis de "l'agression" du soin (chose que l'on remarque quotidiennement sur des soins volumineux)
Or, sur la radio de contrôle, le volume de la pulpe est resté vraiment identique, donc qu'à priori me tissus pulpaire n'a pas pu créer cette barrière de dentine en regard du soin, ce qui pourrait justement faire penser à la nécrose.

Sinon tres bonne gestion du cas!

--


12