Cookie Consent byPrivacyPolicies.comRhizalyse d'une latérale par une canine incluse - Eugenol

Rhizalyse d'une latérale par une canine incluse

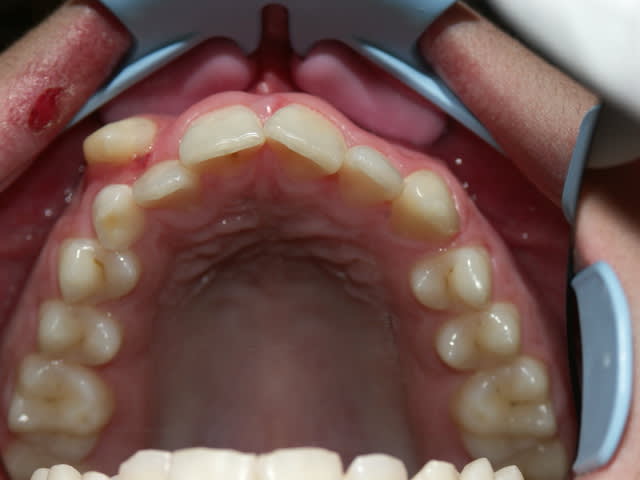
Images 1 qtgoxf - Eugenol
ciwil

21/08/2014 à 14h36

la canine n'est pas incluse et le problème de résorption radiculaire de la 12 ne se pose pas, mais ça donne une idée du type de mécanisme possible
et rien n'empêche de donner un torque à la latérale pour éloigner sa racine de la couronne de la canine

A4 puhlyn - Eugenol
A16 grhwyl - Eugenol
A13 esyt5s - Eugenol

G MAIL

21/08/2014 à 15h37

Oui,les BRK Speed.


Images 1 qtgoxf - Eugenol
ciwil

21/08/2014 à 15h55

G MAIL écrivait:
----------------
> Oui,les BRK Speed.

tu as raison, je dois les voir dans 3 semaines et j'en profiterai pour me renseigner sur leurs auto-ligaturants.
leurs bk linguaux antérieurs avec une séquence d'arcs simplifiée sont sympas.

A5 bbixj6 - Eugenol
A10 duovrv - Eugenol

G MAIL

21/08/2014 à 17h37

Je te conseille leur site,trés bien fait et riche en idées.


Mmmm

22/08/2014 à 09h56

ciwil écrivait:
---------------
> Mmmm écrivait:
> --------------
> > depuis je prends quasi toujours en charge la latérale!
>
> dans le cas de 3 incluse, après avoir créé un ancrage en .020 acier avec la 2 en
> place, j'ajoute un fil secondaire niti thermique ou pas sur des danchimon de la
> 6 à la 3 opposée.
> si vous connaissez des brackets à prix raisonnable qui incorporent un slot
> secondaire, merci de partager l'info ;)

J'utilise les bk de speed.


Darmon - Eugenol
Latin

22/08/2014 à 10h50

Et vous pensez quoi de l'utilisation d'un ATP comme ancrage pour débuter la traction? Soit avec une chaînette directement sur l´ATP ou en utilisant un bras palatin qui permet de débuter la traction a peu près dans la direction voulue? Pour les canines palatines bien sûr.
Hormis l'encombrement je trouve que c'est plutôt mieux que de tracter directement en prenant appui sur l'arc, même avec un astucieux arc secondaire de stabilisation monrré plus haut par Ciwil.


S8ysxdzhdqgw00w4q6m07a5d47q2 - Eugenol
Gai-Luron

23/08/2014 à 12h00

le QH neutre est préférable à l'ATP dans la mesure où il offre plus de possibilités d'ancrage.


Avatar transparent iqadnc - Eugenol
adhoc

23/08/2014 à 12h20

Utiliser un QHelix ou un transpalatin pour tracter (commencer à) une canine palatine incluse ne risque -t- il pas d'orienter la direction résultante de traction vers le palais? (ce qui n'est pas désirable!). Je n'ai pas trouvé de littérature à ce sujet sur le net US , et je n'oserais pas faire.


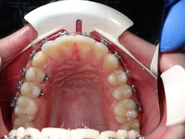
Images 1 qtgoxf - Eugenol
ciwil

23/08/2014 à 14h12

comme GL, ma préférence va à un QH ou un arc de Nance avec une extension soudée qui passe en vestibulaire, plutôt qu'une minivis moins encombrante mais moins fiable


S8ysxdzhdqgw00w4q6m07a5d47q2 - Eugenol
Gai-Luron

23/08/2014 à 20h18

Je suis d'ac avec Ciwil.


Darmon - Eugenol
Latin

23/08/2014 à 22h40

Gai-Luron écrivait:
-------------------
> le QH neutre est préférable à l'ATP dans la mesure où il offre plus de
> possibilités d'ancrage.

Je pensais à un ATP avec des bras latéraux justement.

On peut aussi utiliser un sectionnel vestibulaire qui part de la 6 pour "partir à la pêche" de la canine. Je ne l'ai jamais fait mais l'idée est de prendre appuis sur des dents avec un bon ancrage pour réduire les effets secondaires qu'on peut parfois observer au niveau des dents adjacentes à la dent incluse quand on la tracte un peut trop tôt directement avec l'arc principal.

Ce qui est sympa en ortho c'est qu'il n'y a pas de dogmes mais de multiples manières d'arriver au même résultat!


fredglagla

22/11/2014 à 13h36

Bonjour,

Si le patient est en classe II, j'extrais la 12 et mets la 13 en place de 12
Si le patient est en classe I, je laisse la 12 sans dévitaliser et mets la 13 en place. Lorsque la 12 rendra l'âme, quelques années seront passées et l'implant sera toujours possible, grâce à la conservation osseuse.

Ciao


calou340

22/11/2014 à 13h49

c'est exactement ce que je proposerais egalement...


12