Cookie Consent byPrivacyPolicies.comInlays / onlays en technique semi directe - Eugenol

Inlays / onlays en technique semi directe

chipoundine

18/08/2014 à 23h18

Salut je voudrais savoir si certains d'entre vous pratiquent cette technique ?

Pour ceux qui pratiquent, j'ai quelques questions :

Quel type d'empreinte et quel silicone de coulée utiliser ? selon mes recherches je n'ai trouvé que le quick die et le mach 2, mais je ne sais pas qui le distribue

Une fois le modèle en silicone coulé, quel type de composite faut-il utiliser , un compo fauteuil ou un compo de labo si oui est-ce difficile à mettre en oeuvre?

Faut-il utiliser une chambre de photopolymérisation , pour une meilleure dureté du compo ?

Enfin la question qui tue , peut on coter un ONLAY HBMD055 ? Le libéllé est Restauration d'une dent sur 3 faces ou plus par matériau incrusté [inlay-onlay] , il n'est en aucun cas mentionné que le matériau doive provenir d'un labo ? une sorte de cadcam maison ?


Marque a3 orange fyvhyq - Eugenol
Marc Apap

18/08/2014 à 23h55

Oublie : ça n'offre pas le moindre début d'intérêt.
En revanche, pour faire des "inlays cores " en composite et tenon fibré en méthode indirecte, je trouve que ça peut rendre des services, parfois (empreinte en Impregum, pas en silicone, bien sûr)
GrandioSO Inlay System (Voco)


chipoundine

19/08/2014 à 00h00

peux tu développer ?

J' y vois quand même pas mal d'avantages :

- rendez-vous longs / 1 seul rdv
- Gestion des pts de contact
- diminution du facteur C
- Se faire honorer des soins à leur juste valeur


Marque a3 orange fyvhyq - Eugenol
Marc Apap

19/08/2014 à 01h25

Je te conseille d'essayer, ce sera le meilleur moyen pour toi de comprendre les obstacles.
Trop long, trop difficile d'avoir un résultat de qualité. A chacun son métier.


G-P

19/08/2014 à 02h02

Achète un Cerec :)


Decapfour

19/08/2014 à 19h51

Bonjour,
Je ne connais pas cette technique, il s'agit de faire une surempreinte coulée en silicone afin de réaliser directement l'inlay au labo pendant que le patient est la?


Marque a3 orange fyvhyq - Eugenol
Marc Apap

19/08/2014 à 21h45

Je ne dirais pas ça comme ça.
Il s'agit de prendre une empreinte (en alginate ou en polyéther) de la dent préparée. On coule immédiatement dans cette empreinte un silicone fluide en cartouche pour pistolet qui durcit bien et très vite.
On réalise dans ce modèle en silicone (qui reste assez souple pour pouvoir en extraire la pièce prothétique) une pièce prothétique en composite que l'on photopolymérise (attention, on n'a pas l'occlusion car il n'est pas question de mettre en articulateur ou en occluseur)
Une fois démoulée, la pièce est collée dans la dent du patient.

Etant donné les nombreuses manipulations, la difficulté de réaliser assez vite un jolie pièce prothétique bien polie avec des rapports d'occlusion bien réglés, je considère cette méthode comme une douce utopie.
Quant à faire patienter le patient pour lui poser l'objet dans la séance, je doute que ce soit bien réaliste.


Sierra Tango

20/08/2014 à 13h22

chipoundine écrivait:
---------------------
> Salut je voudrais savoir si certains d'entre vous pratiquent cette technique ?

Yes ! Environ une vingtaine de cas réalisés de la sorte. Dont un posé ce matin.

> Pour ceux qui pratiquent, j'ai quelques questions :
> Quel type d'empreinte et quel silicone de coulée utiliser ? selon mes
> recherches je n'ai trouvé que le quick die et le mach 2, mais je ne sais pas qui
> le distribue

Je prends un simple mordu, avec une dose unique d'alginate (une cuillère, ça paraît peu lorsque l'on malaxe et qu'ensuite on charge le mordu, on serait d'ailleurs bien tenté d'en mettre plus, mais au final c'est la dose idéale et on en met pas partout).
Je "coule" l'empreinte aussitôt avec un silicone rouge qui s'appelle tout simplement "Die Silicone" de chez Voco. Je crois que mon assistante le commande chez Henri Schein (Australie).

> Une fois le modèle en silicone coulé, quel type de composite faut-il utiliser ,
> un compo fauteuil ou un compo de labo si oui est-ce difficile à mettre en
> oeuvre?

J'utilise mon bon vieux Filtek, j'en ai même fait un avec du Miris. Je m'amuse à mettre une couche d'émail en surface pour finir. Chauffer le composite aide pas mal à le fouler dans la cavité (je laisse alors le tube sur le scialitique, et ça va pas plus mal, mais j'ai également dans un composite heater qui fait l'affaire.) Sur les MOD par exemple, il est important de ne pas le fouler trop en force, afin de prendre garde à ne pas déformer légèrement les parois, et ainsi de ne pas obtenir un onlay trop gros. C'est pourquoi, chauffer un peu le composite aide dans ce cas ; autre astuce, je recouvre le plancher et /ou les parois, avec un peu de composite "flow" afin de ne pas déformer l'empreinte, puis ensuite je monte mon composite body/enamel.

> Faut-il utiliser une chambre de photopolymérisation , pour une meilleure dureté
> du compo ?

Je n'en utilise pas. Maintenant, peut être que je devrais ?!

> Enfin la question qui tue , peut on coter un ONLAY HBMD055 ? Le libéllé est
> Restauration d'une dent sur 3 faces ou plus par matériau incrusté [inlay-onlay]
> , il n'est en aucun cas mentionné que le matériau doive provenir d'un labo ? une
> sorte de cadcam maison ?

Là, exerçant en Australie je ne peux pas te répondre ! Ici, il y a une nomenclature assez détaillé, et pour cet acte j'utilise "tooth-coloured restoration, X surface (ça va de 1 à 5) - indirect". Que l'onlay soit en céramique ou en composite, c'est le même item. Et pour le prix, c'est libre, donc je fais en fonction de la difficulté et du temps passé.

Pour résumer, c'est une technique que j'aime bien, qui rend service, et qui permet d'obtenir un résultat très satisfaisant. Certes, ça ne remplace pas un Cerec ou un onlay fait par un (bon) prothésiste, mais cela peut avoir ses indications.
Cela dit les inconvénients énoncés par Marc, qui ne semble pas être emballé, sont réels. Ca prend du temps, ça demande quand même un tour de main qui n'est pas évident au départ, le réglage de l'occlusion n'est pas toujours évident (même si on peut couler le silicone de l'antagoniste de telle façon que l'on arrive souvent assez bien à enregistrer l'occlusion, ce qui permet ensuite de monter son composite en s'approchant pas mal du résultat idéal).
Le faire au fauteuil devant le patient reste tout à fait faisable, ils sont d'ailleurs souvent sensibles au travail réalisé, ou encore à la morphologie de la pièce réalisée, et ils apprécient aussi ce moment de détente entre la préparation et la phase de collage sous digue. Est-ce rentable ? Utile ? Valable ? A chacun de voir. Pour moi ça l'est.

Sinon, autre variante, je fais énormément (poir ne pa


Sierra Tango

20/08/2014 à 13h22

chipoundine écrivait:
---------------------
> Salut je voudrais savoir si certains d'entre vous pratiquent cette technique ?

Yes ! Environ une vingtaine de cas réalisés de la sorte. Dont un posé ce matin.

> Pour ceux qui pratiquent, j'ai quelques questions :
> Quel type d'empreinte et quel silicone de coulée utiliser ? selon mes
> recherches je n'ai trouvé que le quick die et le mach 2, mais je ne sais pas qui
> le distribue

Je prends un simple mordu, avec une dose unique d'alginate (une cuillère, ça paraît peu lorsque l'on malaxe et qu'ensuite on charge le mordu, on serait d'ailleurs bien tenté d'en mettre plus, mais au final c'est la dose idéale et on en met pas partout).
Je "coule" l'empreinte aussitôt avec un silicone rouge qui s'appelle tout simplement "Die Silicone" de chez Voco. Je crois que mon assistante le commande chez Henri Schein (Australie).

> Une fois le modèle en silicone coulé, quel type de composite faut-il utiliser ,
> un compo fauteuil ou un compo de labo si oui est-ce difficile à mettre en
> oeuvre?

J'utilise mon bon vieux Filtek, j'en ai même fait un avec du Miris. Je m'amuse à mettre une couche d'émail en surface pour finir. Chauffer le composite aide pas mal à le fouler dans la cavité sans trop appuyer (je laisse alors le tube sur le scialitique, et ça va pas plus mal, mais j'ai également dans un composite heater qui fait l'affaire.) Sur les MOD par exemple, il est important de ne pas le fouler trop en force, afin de prendre garde à ne pas déformer légèrement les parois, et ainsi de ne pas obtenir un onlay légèrement trop gros. C'est pourquoi, chauffer un peu le composite aide dans ce cas ; autre astuce, je recouvre le plancher et /ou les parois, avec un peu de composite "flow" afin de ne pas déformer l'empreinte lorsque je foule ensuite mon composite body/enamel.

> Faut-il utiliser une chambre de photopolymérisation , pour une meilleure dureté
> du compo ?

Je n'en utilise pas. Maintenant, peut être que je devrais ?!

> Enfin la question qui tue , peut on coter un ONLAY HBMD055 ? Le libéllé est
> Restauration d'une dent sur 3 faces ou plus par matériau incrusté [inlay-onlay]
> , il n'est en aucun cas mentionné que le matériau doive provenir d'un labo ? une
> sorte de cadcam maison ?

Là, exerçant en Australie je ne peux pas te répondre ! Ici, il y a une nomenclature assez détaillé, et pour cet acte j'utilise "tooth-coloured restoration, X surface (ça va de 1 à 5) - indirect". Que l'onlay soit en céramique ou en composite, c'est le même item. Et pour le prix, c'est libre, donc je fais en fonction de l'humeur, de la difficulté et du temps passé.

Pour résumer, c'est une technique que j'aime bien, qui rend service, et qui permet d'obtenir un résultat très satisfaisant. Certes, ça ne remplace pas un Cerec ou un onlay fait par un (bon) prothésiste, mais cela peut avoir ses indications.
Cela dit les inconvénients énoncés par Marc, qui ne semble pas être emballé, sont réels. Ca prend du temps, ça demande quand même un tour de main qui n'est pas évident au départ, le réglage de l'occlusion n'est pas toujours évident (même si on peut couler le silicone de l'antagoniste de telle façon que l'on arrive souvent assez bien à enregistrer l'occlusion, ce qui permet ensuite de monter son composite en s'approchant pas mal du résultat idéal).
Le faire au fauteuil devant le patient reste tout à fait faisable, ils sont d'ailleurs souvent sensibles au travail réalisé, ou encore à la morphologie de la pièce réalisée, et ils apprécient aussi ce moment de détente entre la préparation et la phase de collage sous digue. Est-ce rentable ? Utile ? Valable ? A chacun de voir. Pour moi ça l'est.

Sinon, autre variante, je fais énormément d'onlays en composites en technique directe (en fait, à part les petites classes II, je fais presque TOUT mes composites ainsi). C'est à dire que je ne prend pas d'empreinte, mais je foule mon compo directement dans la cavité, sans adhésif bien sûr, je le modèle, le polymérise, le retire (plus ou moins facilement selon le design de la cavité... d'où la technique semi-directe, que je réserve en général aux MOD ou aux cavités "pénibles", souvent les plus petites), le sculpte, le polie puis le colle sous digue. La technique est finalement très semblable à celle utilisant le die silicone mais ça va un peu plus vite, et là, l'occlusion est quasi nickel du début.


chipoundine

20/08/2014 à 13h52

Cool merci , je vais commander, ce qu 'il faut pour tester !


Sierra Tango

16/09/2014 à 04h02

Bonjour,
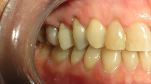
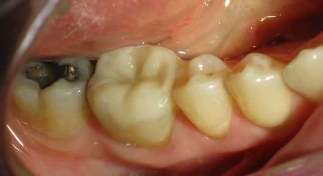
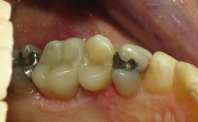
Je reviens sur ce post pour montrer un cas recent fait avec la technique dont nous parlions plus haut. Sur cette patiente j'ai fait la 15 et la 46 en technique directe (sans empreinte, le composite etant polymerise sans colle dans sa cavite puis retire, sculpte, fini et ensuite colle sous digue au composite chauffe).
Pour la 16, j'ai par contre utilise le ''die silicone'' pour faire donc ce composite en technique dite semi-directe.
Bon, ca vaut ca que ca vaut ; ce n'est pas aussi bien qu'un onlay Emax, ce n'est pas non plus du standard de ce que l'on voit sur style italiano ou autre chef d'oeuvre que l'on trouve sur Internet, mais cela peut rendre service de temps a autre et le resultat est, je l'espere, acceptable.
Tout ceci est ensuite bien entendu colle au composite pre-chauffe, et sous digue.

Img 2286 gtyfs8 - Eugenol
Img 2287 um41ca - Eugenol
Img 2288 bzp0zn - Eugenol
Img 2290 l64jcr - Eugenol
Img 2297 ujvnrg - Eugenol
Img 2300 rlnmq4 - Eugenol
Img 2302 bg1n1i - Eugenol
Img 2303 w7wp1a - Eugenol
Img 2305 zwlin8 - Eugenol

tout_schuss

21/03/2019 à 14h56

Avec cette fantastique nouvelle convention je pense que les inlays vont faire une entrée en force!
Je déterre ce post de 2014: quelqu'un utilise-t'il cette technique?
il y en a qui utilisent d'autres silicones que le Die Silicone de Voco?
Des trucs et astuces ?
(OK je sais j'ai qu'à prendre la Medit et une usineuse...)
Merci par avance pour vos partages!


Ylfwcw979cz1jnx9gfqeaxndiuzk - Eugenol
Algi

21/03/2019 à 15h53


Mouais plutôt d'accord avec Marc....

M'en suis frappé un ce matin.... Passé plus de 30 min à monter le machin, le régler et le polir pour finalement un résultat bof bof.

Plus rapide de tailler faire une empreinte poser un clip en provisoire et redonner rdv pour poser l'onlay fait au labo.

Nonobstant si j'en faisais plus souvent....

Or y'a comme une opportunité qui se profile....

--
On a toujours le choix mais entre quoi et quoi?
Vas-y boulégue et l'avenir te le dira!


tout_schuss

21/03/2019 à 16h39

Algi t'as utilisé quels produits (empreinte, silicone pour modèle, composite pour monter l'inlay, colle ...)
Je pense que si t'en fais 2 par patient ou plus ça peut être RAC0 compatible!
Merci Algi


leplombier

21/03/2019 à 17h16

A supposer que ça prenne environ 20 minutes à faire si on est entrainé: 20minutes de cab ça vaut 70€ environ...soit plus que la facture de labo pour un inlay compo : pourquoi s'embêter? J'ajoute qu'avec la caméra l'empreinte est réalisé en 45secondes, transmise directe au labo et l'inlay est livré qq jours après.


Ylfwcw979cz1jnx9gfqeaxndiuzk - Eugenol
Algi

21/03/2019 à 17h26

Onlay direct pour rafistoler une 11 fracturée...

Ai utilisé moule transparent pour coiffes provisoire...

Résultat un provisoire potable et comme c'est le fils d'une copine il aura une chip céramique pour podzob.


--
On a toujours le choix mais entre quoi et quoi?
Vas-y boulégue et l'avenir te le dira!