Cookie Consent byPrivacyPolicies.comUn avis paro SVP - Eugenol

Un avis paro SVP

Smirnoff

23/08/2014 à 16h19

Bonjour,
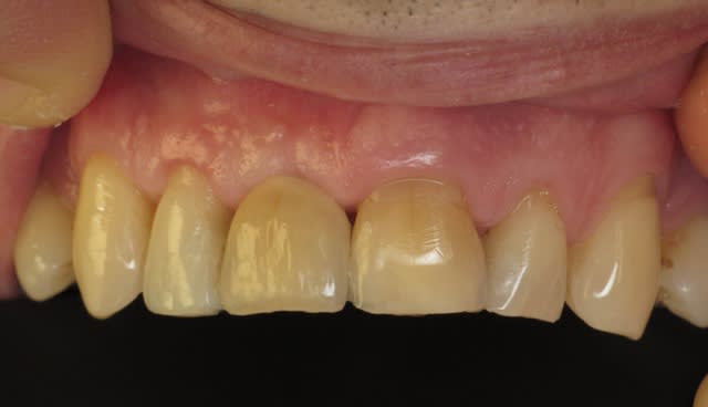
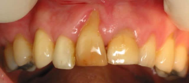
J'ai vu cette patiente en consultation hier, qui a fait ce bridge antérieur il y a 2-3 ans. Elle souhaiterait combler le déficit osseux en regard de 21. Avant la pose du bridge et après l'extraction de la racine le confrère qui s'est occupé d'elle avait tenté un comblement osseux ( pas plus de précision mais cela n'a pas marché et la patiente en avait plein la bouche les semaines qui ont suivi.)
Que peut on proposer a cette dame ? pensez vous qu'on puisse intervenir sans déposer le bridge ?
Cela n'est absolument pas visible mais la patiente voudrait vraiment faire quelque chose.
je pense l'orienter vers un paro mais j'avais envie de me faire une idée avant d'envoyer.
merci d'avance

Photo 1  3  bap1lo - Eugenol
Photo 2  4  xdej9x - Eugenol
Photo 3  4  pxpr4q - Eugenol

malaire

23/08/2014 à 16h55

Bon, c'est peut-être une connerie mais j'essayerai bien de faire un conjonctif enfoui mais en le glissant par le haut (ou un peu latéralement) puisqu'elle à l'air de découvrir facilement et que l'abord par le fond du vestibule à l'air possible.

Par contre prévenir la patiente du risque d'hématome post-op.
Faudrait peut-être aussi se fabriquer un décolleur avec la partie travaillante coudée pour décoller la muqueuse de haut en bas sans la déchirer.

J'ai déjà fait cela sous un bridge mandibulaire avec succès.

Voir aussi si on n'a pas un abord palatin possible auquel cas un comblement osseux peut-être tenté mais esthétiquement le conjonctif enfoui donnera un meilleur résultat.

Dans tout les cas, je ne tenterai surtout pas de déposer le bridge.


Smirnoff

23/08/2014 à 23h30

Merci c'est cool. J'ai pensé à ça aussi car j'ai vu il n'y a pas longtemps un article sur le conjonctif enfoui dans ce grand journal qu'est l'ID :-)
Mais je pensais que la lacune était trop importante ici.
Je vais montrer ça a une paro que je dois voir bientôt. Je montrerai les photos si elle fait qq chose.


damienB

28/08/2014 à 14h42

ma devise : "pas d'os => pas de gencive !"
un conjonctif améliorera la situation, mais le problème réapparaitra probablement dans le temps car vue la photo il y a une perte complète de la table externe.

à mon humble avis et après confirmation par un CB CT du secteur, une petite greffe osseuse en onlay donnerait un excellent résultat car elle serait bien stabilisée entre les reliefs osseux des collatérales.

quant à déposer le bridge, ce serait plus pratique pour faire la chirurgie, mais on doit pouvoir faire sans en incisant en palatin et en décollant délicatement avec un décolleur à papilles très fin en passant sous le pontique (sportif !)

ci jointes qq photos d'un cas similaire traité par bridge collé (le patient ne voulait pas d'implant)

Img 2970 btilya - Eugenol
Img 3206 gv8bwm - Eugenol
Photo 023 tbjvla - Eugenol
Photo 042 ublcum - Eugenol

paradoxe

28/08/2014 à 18h49

damienB écrivait:
-----------------
> un conjonctif améliorera la situation, mais le problème réapparaitra
> probablement dans le temps

Greffon ou os, il y a un risque de 'récidive'.
Mais cela n'empêche pas de recommencer la même ou autre technique quelques années plus tard.
Rien n'est eternel dans notre bas monde..