Cookie Consent byPrivacyPolicies.comabcès récurrent - Eugenol

abcès récurrent

Chiot 1.femelle. - Eugenol
alice

27/08/2014 à 18h33

Bonjour,

j'ai vu en avril dernier un jeune patient (quasiment six ans à l'époque) qui se plaignait de douleurs dans le secteur 2 ; à l'examen, la muqueuse en distal de 26 n'était pas adhérente et la palpation était douloureuse. J'ai donc anesthésié puis incisé, et là, trombes du niagara version pus... pas sexy donc. Je l'ai collé sous clamoxyl, un bisou et bye bye.

Je croyais l'affaire réglée, après tout on n'est jamais à l'abri d'un accident d'évolution.

Mais 3 mois et demi plus tard, le bougre refait son apparition avec le même abcès.

Que dire, sinon que la 26 est vitale, j'avais extrait 65 quelques mois plus tôt pour cause de carie radiculaire (sans nécrose), j'avais adressé ce jeune garçon à un pédo qui ne voyait pas l'interêt de poser un mainteneur d'espace (ce que je regrette) ? Je ne trouve toujours pas la cause de cet abcès, et comme tout le monde le sait, jamais deux sans trois, ce qui veut donc dire que je vais encore me trouver dans une impasse.

Quelqu'un a-t-il une idée de la cause de cet abcès ? Je joins la pano, sur laquelle on voit une sorte de pic osseux en distal de 26, mais est ce qu'on peut imputer ces infections à ce pic ? et quoi faire pour éviter une troisième récidive ??

Merciiiiiiiiiiiii

1181 x 20131210 163732 xkh6i9vduda 4 k4uzw1 - Eugenol
P1 f49pn2 - Eugenol

damienB

27/08/2014 à 22h16

pas évident, voici qq pistes :
- apex résiduel de 65 ?
- infection du sac péri coronaire de 25 ou 24
- il me semble voir une zone radio claire au niveau de la racine DV de 26, mais ce n'est pas assez précis sur la pano.
un CB-CT de la région me parait tout indiqué pour élucider l'affaire...


G-P

28/08/2014 à 00h22

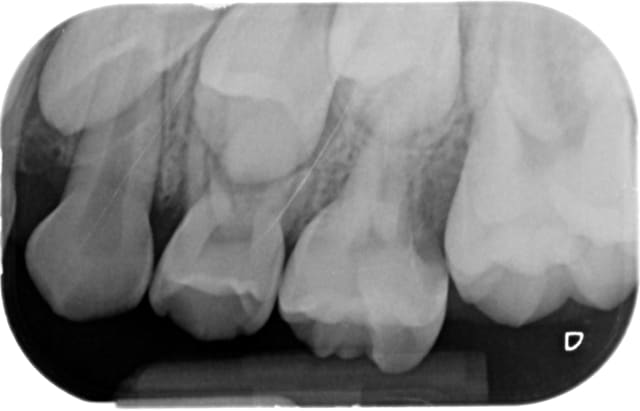
J'aimerais bien une rétro de 26-27 y'a un souci non ?


chipoundine

28/08/2014 à 01h15

ya comme une atteinte de la furcation.

Cone beam direct!


doagui

28/08/2014 à 11h59

La 27 semble refoulée en distal par un obstacle, et sur la racine distale de la 26 il y a un halo radioclaire...

Scanner et on en saura plus, mais a priori y'a un souci.


6szjws718sv1jksw54v4mpj3a6cu - Eugenol
vulpi

28/08/2014 à 14h13

Et bien vous aimez les rayons!
La 26 est en malposition, voir avec un ortho pour la remettre à sa place, cela devrait faire disparaître la pseudo-poche en distal et libérer le chemin d'évolution de 25.
Sur la pano le germe de la 27 semble symétrique à celui de la 17.