Cookie Consent byPrivacyPolicies.comTraitement dents riziformes - Eugenol

Traitement dents riziformes

benj

01/09/2014 à 15h33

Bonjour,

J'aurai souhaité des avis concernant ce plan de traitement auquel je suis confronté pour la 1ère fois..
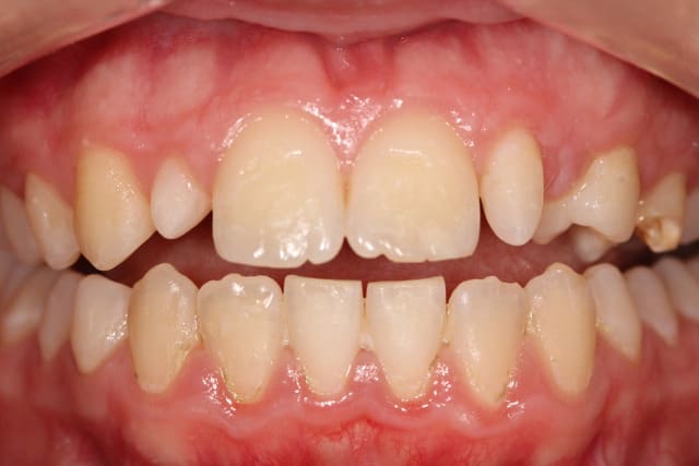
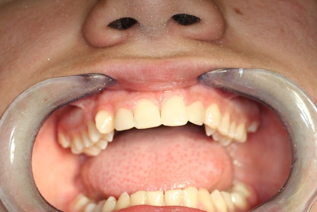
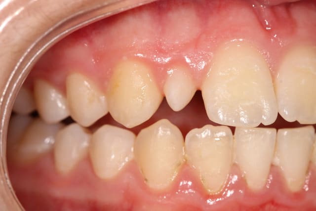
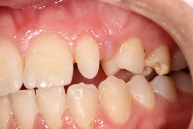
J'ai reçu ce matin une patiente de 14 ans adressée par son ortho pour prise en charge de 12 22 riziformes.
La patiente présentait une inclusion de la 23, dont la traction ortho a "échoué" d 'après la patiente et a été extraite.
On a donc une cl I secteur 1 et cl II secteur 2 avec déviation des milieux inter inc à droite.
Un espace correct sur la 12 et bien sur un espace très important sur la 22.

La demande de la patiente est surtout esthétique, elle ressort de 3 ans de traitement ortho..

Ma 1ère question concerne l'âge de la patiente. Un peu tôt pour des prothèse d'usage mais résultat esth. compliqué en temporisation.

Pour la suite :
1) Wax up de simulation
2) Compo pour limiter la dépouille et taille réduite + prov
3) collage des Cr
Et bien sur tt de la carie sur 25..

Quelques photos et radios pour illustrer.

Merci

Img 0306 hibix7 - Eugenol
Img 0308 xwa3en - Eugenol
12 m2vvwb - Eugenol
Img 0307 dyldd1 - Eugenol
22 vpmkrl - Eugenol

Img 5097 lxchd7 - Eugenol
Queixal

01/09/2014 à 16h02

Je te pose un cas semblable gamine 12 ans trés complexée.
Mon plan de traitement 4 composites pour restituer l´estetique attendre la fin de croissance et faire des facettes ou couronnes.

1 g6wl7t - Eugenol
2 wgfhul - Eugenol

cy2

01/09/2014 à 16h29

chouette travail. Si je peux me permettre n'aurais-tu pas pu faire la 13 aussi? Sauf si ttt ortho à venir.


malaire

01/09/2014 à 16h36

+1 pour les reconstitutions en composite: ça va tenir une bande d'années et d'ici là, la technique permettra de faire des choses encore plus belles qu'aujourd'hui.


Darmon - Eugenol
Latin

01/09/2014 à 20h54

La demande esthétique de ta patiente est à relativiser vu l'aspect gingival qui ne témoigne pas d'une HBD optimale. Excusable si elle a été débaguée la veille.

Ensuite niveau esthétique je dirais qu'il faudrait commencer par faire retirer minutieusement tous les restes de colle et faire faire un joli polissage. Certes ça prend du temps mais l'aspect global sera déjà bien meilleur.

Ensuite il est quand-même dommage qu'il n'ait pas été possible d'aligner les centres inter incisifs. En effet, cela aurait pu permettre d'avoir plus de place au niveau de la 12 en ouvrant un peu l'espace pour faire une jolie reconstitution comme celle montrée par Queixal de dimensions équivalentes à la 22. Dommage également qu'il n'ait pas été possible d'amener la 24 à la place de la 23 vu que tu décris un espace énorme entre 22 et 24 qu'il sera difficile de compenser de manière esthétique.

En principe l'ortho amène les dents dans une situation idéale dans un but esthétique et fonctionnel et gage de stabilité etc etc etc... Quand ce n'est pas possible il est alors temps de demander au patient de consulter son omnipraticien pour décider à trois du traitement de compromis.

Tu vas me dire que tout cela ne va pas beaucoup t'avancer, mais au moins dit-toi qu'à l'impossible nul n'est tenu. En effet, dans ce cas tu hérites d'une situation pas idéale dont tu n'es nullement responsable. Une bonne communication entre confrères (omni et ortho) peut beaucoup faciliter la gestion de ce genre de cas. Bon courage ici!

Sinon évidemment +1 pour les compos dans un premier temps si vraiment il n'y a plus rien à tenter du côté de l'ortho...


benj

01/09/2014 à 21h34

Merci pour vos réponses.

Effectivement le traitement par stratification au compo me semble la plus adaptée dans un 1er temps vu l âge de la patiente.

Pour l hygiène, une motivation Hbd est bien sur prévue.
Concernant le traitement ortho, je n ai pas encore eu de contact avec l'ortho, mais la patiente sort de 3-4 ans de tt et n ai donc pas très motivée pour recommencer.
La patiente est bien entendu prévenue que des compromis esthétiques seront nécessaires.