Cookie Consent byPrivacyPolicies.comFormation Emax / Photo Nantes - Eugenol

Formation Emax / Photo Nantes

003 penrd2 - Eugenol
Cingulum

02/09/2014 à 18h10

J'organise une session de deux jours sur Nantes les 10 et 11 octobres ... Il reste 5 places.
Au programme, travaille sur dent pulpée, emax, collage et tp photo ....
Si cela vous interesse, vous pouvez renvoyer le flyer pour vous inscrire....


OG

--
Dr Cingulum
-----Ancien interné----
----Attaché à l'apex----
http://www.clinic-all.fr/ formation par passion

Clinic all nantes octobre iv69wz - Eugenol

G-P

02/09/2014 à 18h36

Je ferais bien une formation un peu plus "avancée" photo + e.max, ça à l'air de s'adresser aux gens qui font peu de céramique sur dent vivante, et qui veulent s'y mettre, non ?


003 penrd2 - Eugenol
Cingulum

02/09/2014 à 18h51

C'est un tour d'horizon du travail sur dent pulpée.

Les indications: comment savoir si on garde la dent vivante ou pas. Quelles précaution, comment temporiser...
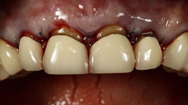
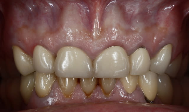
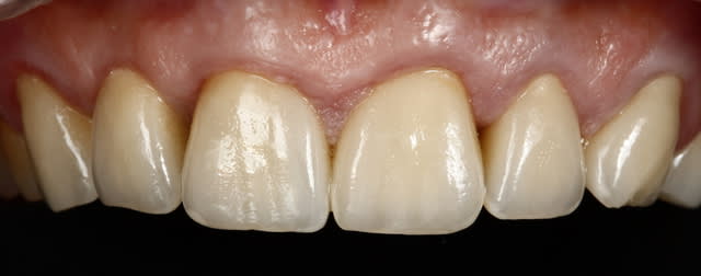
Les utilisations de l'emax: couronne, onlay facette. Rappelle sur les protocoles de collage.
Et une session sur la photo avec choix du materiel et apprendre simplement a faire des photos exploitables en bouche (diagnostique, communication patient, communication labo...)

--
Dr Cingulum
-----Ancien interné----
----Attaché à l'apex----
http://www.clinic-all.fr/ formation par passion


003 penrd2 - Eugenol
Cingulum

02/09/2014 à 19h45

mais il y aura aussi de la dent dépulpée ;)


--
Dr Cingulum
-----Ancien interné----
----Attaché à l'apex----
http://www.clinic-all.fr/ formation par passion

 mg 3286 m6zoj5 - Eugenol
 mg 3705 si77ut - Eugenol
 mg 4223 ub0buw - Eugenol
 mg 4466 zjg1mi - Eugenol
 mg 6799 tza9jd - Eugenol

Img 0052 dkvbyu - Eugenol
Tubercule de carabelli

14/09/2014 à 23h04

Bonsoir cingulum,étant un habitué de tes formations sur lyon,j'aimerais savoir s'il est prévu une session sur "la dent vivante" en 2015?
Merci de m'en informer pour que j'organise mon année de formations


003 penrd2 - Eugenol
Cingulum

14/09/2014 à 23h56

Bonsoir, oui il est prévu de refaire cette journée en 2015.
Nous sommes en train de bloquer les dates pour le programme de l'année prochaine, je te le fais passer dés qu'il est prêt...

--
Dr Cingulum
-----Ancien interné----
----Attaché à l'apex----
http://www.clinic-all.fr/ formation par passion