Cookie Consent byPrivacyPolicies.comFLAPLESS ou l'implantologie sans lambeau. - Eugenol

FLAPLESS ou l'implantologie sans lambeau.

fabricebolland

04/09/2014 à 11h59

Bonjour à tous,

Je prépare pour la mi octobre une conférence sur l'implantologie dite "Flapless" donc sans lambeau.

J'aurais voulu partager votre expérience, vos espoirs et/ou déceptions...

Ceci me permettrait de rendre ma conférence plus interactive et attachée à la réalité clinique de nos pratiques quotidiennes.

Merci à vous!


Photo pluton1b h9n4ea - Eugenol
pluton

04/09/2014 à 13h23

tu peux préciser?

parce que c'est limité pour moi comme indication...

les cas où on a des kilomètres de gencive attachée de grande épaisseur et une crête bien large dessous...c'est pas ce qui courre les rues...
ou alors pour poser 4 mini-implants pour stabiliser un complet...?
ou pour les extractions/implantations immédiates?...encore que, bien souvent il faut faire un petit greffon conjonctif....


fabricebolland

04/09/2014 à 16h22

Merci pour la réponse

Justement c'est ce genre de point de vue qui m'intéresse

Certains en sont inconditionnels et l'utilisent quasiment partout comme Byung-Ho Choi qui a publié un livre sur le sujet...

D'autres en limitent les indications aux cas les plus évidents (bcp d'os bcp de gencive...)

Des guides à appui muqueux comme Nobeguide ou Simplant aussi implique aussi souvent l'absence de lambeau.

Il ne s'agit par contre pas d'évoquer les extractions implantations immédiates ou les mini- implants..


Photo pluton1b h9n4ea - Eugenol
pluton

04/09/2014 à 17h06

çà ne m'enlève pas de l'idée que sans avoir un biotype gingival en or, c'est amha une technique dangereuse...

à moins d'avoir fait au préalable une chir d'augmentation gingivale...mais du coup où se trouve l'intérêt? (hormis le fait que les suites post op seront plus simples...)

quand à la pose, oui, c'est clair que sans guide il est difficile de savoir se qui se passe dessous et de vérifier qu'on est pas en train de faire une connerie...seulement voilà, un guide à appui muqueux...bof bof comme précision...(tissus pouvant être mobiles/dépressibles)
dentaire, c'est déjà mieux...le top reste un guide à appuis osseux...mais du coup, il n'y a plus de flapless...;-)

sans parler du coût global pour le patient...une chir guidée vs classique, c'est pas tout à fait le même budget...ou alors il faut utiliser un système implantaire prévu pour ce type d'intervention, petits diamètres, la plupart du temps monoblocs, comme ce qui se fait avec les implants champions
http://www.fr.championsimplants.com/

il n'y a pas de forage à proprement parler...c'est plus une mise en forme du logement implantaire avec des forets condenseurs...

pas forcément une mauvaise technique...simple, peu mutilante, peu invasive, économique (en temps et en € pour la patient)...reste que les possibilités prothétiques sont vite atteintes...amha...
quand au recul clinique...çà reste assez récent...


Avatar jt8tlq - Eugenol
bogenom

06/09/2014 à 10h51

Bonjour,heureux que tu t'interesses au sujet
Je suis adepte de la chirurgie guidée et pour moi c'est outil formidable qui me semble indispensable à tout implantologiste moderne
Je l'utilise dans 20% de mes cas
la chirurgie flapless est indiquée à mon sens pour tous les cas ou il y a un minimum de G.A. comme l'a bien dit Pluton mais pas des montagnes non plus
Le plus important est de connaître les limites des systemes avec les degres d'erreur (enfoncement, angulation)
un systeme juxta ou sous crestal sera le plus indiqué pour moi

Réaliser les M.C.I. en appui muqueux est un Must mais la preparation est tres importante, le guide radio sera réalisé tel un complet (empreinte primaire, secondaire, RIM, essayages esthetique, occlusal) sinon resultat catastrophique garanti

Ensuite anguler des implants pour chercher le peu d'os residuel est un atout non negligeable

Mettre des implants parfaitement parallèles et utiliser des pilier droits, c'est interessant niveau gain de temps et d'argent pour la prothese d'usage

La question du cout est veritablement le centre et le frein de cette technique pour les implantos qui ne croient pas en cette technique

Alors que c'est tout le contraire n'est ce pas Pluton

exemple d'un cas réalisé il y a 4 ans


Photo pluton1b h9n4ea - Eugenol
pluton

06/09/2014 à 11h47

bogenom, le sujet c'est le flapless...pas la chir guidée...

bien qu'à mon sens le flapless ne devrait pas être dissocié de la chir guidée pour d'évidentes raisons de sécurité et de mise en place dans les règles...

reste le coût de cette technique combinée flapless/guide qui est en effet l'un des nerfs de la guerre...
reste aussi les différents types de guides, et malheureusement tous ne se valent pas...et çà on le montrera le 18 septembre prochain...
donc ne pas oublier, outre l'imprécision que tu avoues des systèmes, tu dois aussi rajouter l'imprécision inhérente au système de guidage...erreurs/déformations d'images scan ou conebeam...différences de résultats scan/conebeam...différences du traitement des images par les logiciels qui eux non plus ne se valent pas...çà en fait des erreurs mises bout à bout, tu ne crois pas?

quand on voit déjà ce à quoi parfois on peut aboutir comme déviation avec un guide osseux top à cause d'une corticale osseuse récalcitrante, je n'ose même pas imaginer avec un appuis muqueux...tiré d'un conebeam, même de toute dernière génération...
ne pas oublier non plus les différences entre les guides au niveau de l'irrigation...là non plus tous ne sont pas équivalents...pas très grave sur du D3 D4, il y a peu de risque d'échauffement...il n'en est pas de même sur du D1 D2...

donc, parenthèse fermée et retour au sujet du flapless...;-)


Utilisateur banni

06/09/2014 à 13h00

FLAPLESS ou FLAP, résultats cicatriciels de tissues moues


La technique sans lambeau est présentée comme une méthode offrant de meilleurs résultats de cicatrisations des tissues moues, voici un cas de mise en charge immédiate en technique FLAP...

Mise en chage imm diate 034 gczpbk - Eugenol

Avatar jt8tlq - Eugenol
bogenom

06/09/2014 à 14h46

Effectivement Pluton j'ai occulté le Flapless sans guide ou Robodent, mais la parenthèse ne doit pas se refermer et le vrai sujet est la maitrise de l'imprecision et l'erreur est de croire en une simplification des protocoles, je precise que les guides Simplant ne sont pas la panacée cher Posit contrairement à ce que tes photos pourraient laisser croire (je te taquine)


Logo m4n3gc - Eugenol
drmarcus

06/09/2014 à 15h11

Désolé mais je fais aussi un tour sur cette question avec un rappel sur le consensus actuel.
Attention Posit à la définition du Flapless. Ecarter, ne serait ce sur la crête la gencive, et ce n'est plus du Flapless. Tes photos ne sont pas convaincantes en ce sens. Ensuite avec du Flapless on oublie l'appui osseux.....automatiquement.
Bref je salive déjà des échanges d'idées.

--
"La seule chose promise d'avance à l'échec, c'est celle que l'on ne tente pas" Paul Emile VICTOR


Utilisateur banni

06/09/2014 à 15h41

Le sujet étant le FLAPLESS bogemon, j’ai fait une erreur de ne pas préciser que la chirurgie était réalisée notamment avec un guide chirurgical POSITDENTAL, précision rectifiée.

Marc
FLAPLESS sans lambeau
FLAP avec lambeau
Si je ne fais pas d’erreur ?

Mise en chage imm diate 035 vwfxlz - Eugenol

Photo pluton1b h9n4ea - Eugenol
pluton

06/09/2014 à 15h54

en implanto, rien n'est immuable et la technologie évolue à grand pas...
les possibilités informatiques font des progrès spectaculaires et s'il y a une technologie qui permettra à chacun de poser d'une manière de plus en plus sûre et précise c'est celle là!!!

bogenom, les guides de posit ne sont pas fait avec simplant, mais avec un logiciel spécifique bien plus évolué et précis!!!

quand à l'avenir, je crois d'avantage à çà (cf pièce jointe)
je m'y étais intéressé l'année dernière...mais 50/60k€ çà m'avait refroidit...
la nouvelle version est à la fois plus compacte, plus évoluée (la vache!!! les lunettes en réalité augmentée!!! la "vision de superman" dont tout le monde rêve...enfin tout implanto...) et moins chère (annoncé pour environ 20k€...mais amha sans les lunettes...)
allez dans 5 ans çà coûtera pas plus cher qu'un bon moteur d'implanto...

je reste néanmoins persuadé de l'intérêt du flap vs flapless pour l'optimisation de la GA autour de l'implant...mais avec çà, c'est clair que l'on pourra ouvrir à minima!!!


Avatar jt8tlq - Eugenol
bogenom

06/09/2014 à 20h09

Sympa les lunettes Pluton
Le choix de l'implant reste fondamental pour le flapless car si tu as un implant qui peut être sous crestal avec joint pseudo étanche avec l'arsenal prothétique qui va bien tu n'hésiteras pas à mettre un implant plus court plus profond ce qui ne sera pas gérable avec un implant juxta osseux


fabricebolland

09/09/2014 à 11h07


Voici mon avis
Pour les guides, on pourrait aussi parler des appuis dentaires ou de la pose de mini implants préalables...qui permettent un placement du guide plus précis et moins d'imprécisions par la suite.

Cependant si on se reconcentre sur le sujet (le flapless), quels est votre expérience en matière de complications?

Pensez vous avoir eu plus de problèmes après sélection de vos cas en flapless par rapport au chirurgies traditionnelles ou non?

Pensez vous que les suites opératoires (douleurs, gonflement) sont plus agréables pour le patient?

Pensez vous qu'il faut élargir les indications du flapless?

Etc

Merci à vous

...


Scan10030 ukikhq - Eugenol
vava

11/09/2014 à 21h34

fabricebolland écrivait:
------------------------
>
> Voici mon avis
> Pour les guides, on pourrait aussi parler des appuis dentaires ou de la pose de
> mini implants préalables...qui permettent un placement du guide plus précis et
> moins d'imprécisions par la suite.
>
> Cependant si on se reconcentre sur le sujet (le flapless), quels est votre
> expérience en matière de complications?
>
elle peuventétre importante


> Pensez vous avoir eu plus de problèmes après sélection de vos cas en flapless
> par rapport au chirurgies traditionnelles ou non?

non

>
> Pensez vous que les suites opératoires (douleurs, gonflement) sont plus
> agréables pour le patient?

non

>
> Pensez vous qu'il faut élargir les indications du flapless?
>

la mode passera
ce sont les industriels qi promouvoient cette technique pour que plus de dentistes fassent de la chirurgie.

> Etc
>
> Merci à vous
>
> ...


Bazaruto 2007 ircsez - Eugenol
jumpingjackflash

23/09/2014 à 19h15

pluton écrivait:
----------------
> en implanto, rien n'est immuable et la technologie évolue à grand pas...
> les possibilités informatiques font des progrès spectaculaires et s'il y a une
> technologie qui permettra à chacun de poser d'une manière de plus en plus sûre
> et précise c'est celle là!!!
>
> bogenom, les guides de posit ne sont pas fait avec simplant, mais avec un
> logiciel spécifique bien plus évolué et précis!!!
>
> quand à l'avenir, je crois d'avantage à çà (cf pièce jointe)
> je m'y étais intéressé l'année dernière...mais 50/60k€ çà m'avait refroidit...
> la nouvelle version est à la fois plus compacte, plus évoluée (la vache!!! les
> lunettes en réalité augmentée!!! la "vision de superman" dont tout le monde
> rêve...enfin tout implanto...) et moins chère (annoncé pour environ 20k€...mais
> amha sans les lunettes...)
> allez dans 5 ans çà coûtera pas plus cher qu'un bon moteur d'implanto...
>
> je reste néanmoins persuadé de l'intérêt du flap vs flapless pour l'optimisation
> de la GA autour de l'implant...mais avec çà, c'est clair que l'on pourra ouvrir
> à minima!!!

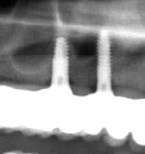
pour illustrer les propos pluton

cas d'un patient mâle caucasien 65 ans
sous plavix opéré de deux artères fémorales bouchées
interdiction d'interrompre le plavix
porte une PAT du haut depuis 30 ans
veut une prothèse fixe
radio de la zone délicate

implant placé avec Pilot version 2008 travaillant en lumière visible
forage 2mm flapless puis expansion


--
bluesky

Pano pre op htougx - Eugenol
16 zjcua2 - Eugenol
16 2y fp2kqt - Eugenol
Img 0807 fqw9d3 - Eugenol
Screenshot873 cjnffd - Eugenol
Img 2463 spx6gr - Eugenol

Aiguille cyboyt - Eugenol
fatboy

25/09/2014 à 13h49

Pas compris le truc du pilot...
Au final, ca revient a avoir un type qui t'assiste par visioconf?
C'est vrai qu'a 50 patates, ca fait cher.
@jumpingjackflash, superbe le positionnement.


Amibien

25/09/2014 à 17h05

Oublie le flapless