Cookie Consent byPrivacyPolicies.comconseils techniques - Eugenol

conseils techniques

Homer simpson wallpaper brain 1024 f4t8dv - Eugenol
Jpeg

05/09/2014 à 20h16

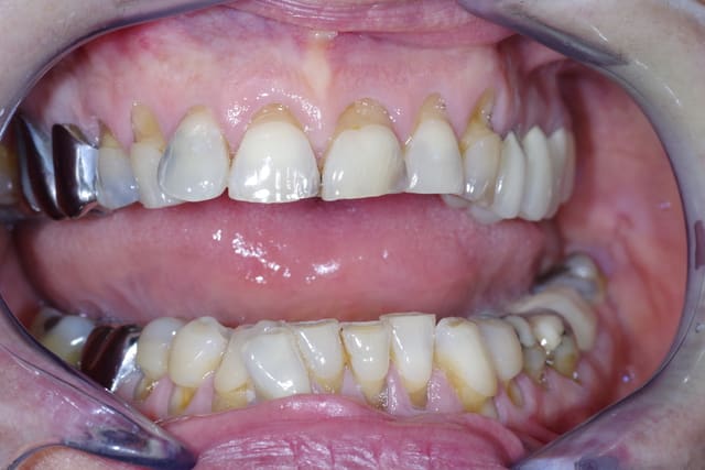
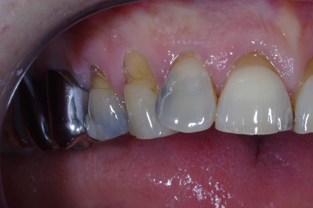
bonjour la communauté !

Je souhaiterais savoir comment vous gérer ces cas de mylolyses/érosions importantes sur les antérieures.
Pour le cas iconographié, je pensais à des facettes (histoire de donner une seconde jeunesse au sourire), mais je me demande comment réaliser mes préparations, s'il faut combler au compo pour éviter de surtailler autour, etc.
Pourriez-vous m'indiquer votre protocole dans ces cas ?
Merci par avance !

 igp0149 dt8nla - Eugenol
 igp0151 bcttt5 - Eugenol
 igp0152 lfj3gw - Eugenol
 igp0153 qezhwp - Eugenol

G-P

05/09/2014 à 20h58

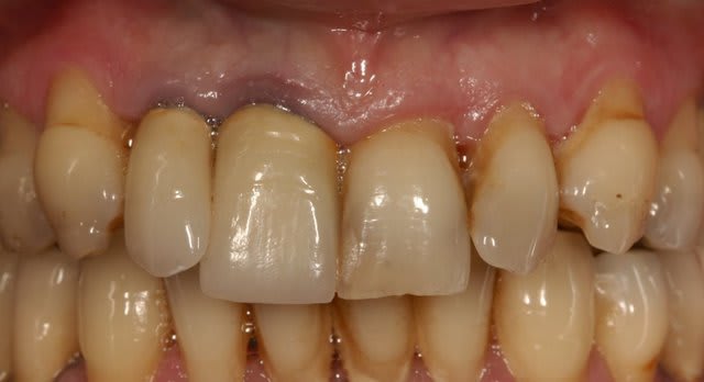
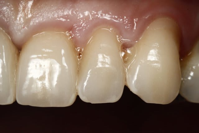
Salut, en général commencer par des plasties gingivales pour récupérer une position correcte des collets.

Après phase prothétique, mock-up en résine pour valider avec le patient, puis un mix couronne, facettes, composites, et j'ai commencé à faire des facettes palatines.

En gros principe d'économie tissulaire, si tu peux faire compo + facette c'est mieux qu'une couronne. T'es souvent obligé de mettre des compos en proximal et sous la facette (collet) pour ce type de cas.

Tu as des photos en occlusal ?


003 penrd2 - Eugenol
Cingulum

05/09/2014 à 21h09

Les collets sont pas si mal placés. Il faut faire un wax up pour voir la forme finale des dents. Bien aussi regarder où se situe le bord libre par rapport aux lèvres. si il est au bon endroit on peut en venant sur les racines redonner la forme naturelle aux dents.
En cervicale il n'y aura quasiment pas de préparation.
C'est une indication de facette.
Garder à l'esprit que sur cette dentine cervicale tu colleras moins bien.



--
Dr Cingulum
-----Ancien interné----
----Attaché à l'apex----
http://www.clinic-all.fr/ formation par passion


doagui

05/09/2014 à 21h21

Faut surtout voir ce que veut la patiente ! On parle d'une personne qui a des couronnes métalliques plein la bouche, alors avant de se lancer dans quoi que ce soit il faut déjà discuter budget j'en ai peur...


003 penrd2 - Eugenol
Cingulum

05/09/2014 à 21h21

Un cas avec des collets... traité avec Couronne emax et Facettes....


--
Dr Cingulum
-----Ancien interné----
----Attaché à l'apex----
http://www.clinic-all.fr/ formation par passion

 mg 2141 giquu4 - Eugenol
Img 0307 hl7cf4 - Eugenol
Img 1303 f9kjea - Eugenol
 mg 2143 bv2naj - Eugenol
 mg 2146 p5hynx - Eugenol
 mg 2148 toq0mk - Eugenol

003 penrd2 - Eugenol
Cingulum

05/09/2014 à 21h29

doagui écrivait:
----------------
> Faut surtout voir ce que veut la patiente ! On parle d'une personne qui a des
> couronnes métalliques plein la bouche, alors avant de se lancer dans quoi que ce
> soit il faut déjà discuter budget j'en ai peur...


C'est un éternel problème.

1. J'arrive pas à savoir combien ça va couter sans savoir ce que je vais faire pour solutionner le problème...
2. Le patient ne peut savoir quel effort il est prêt à faire financièrement si on ne lui explique/propose/montre pas, ce vers quoi on peut arriver....

Donc on trouve les solutions aux problèmes des dents, et ensuite on cherche à répondre à la question de l'argent non ?...

--
Dr Cingulum
-----Ancien interné----
----Attaché à l'apex----
http://www.clinic-all.fr/ formation par passion


Bebe 038 nf8eum - Eugenol
danteyeah

06/09/2014 à 03h17

Jpeg écrivait:
--------------
> bonjour la communauté !
>
> Je souhaiterais savoir comment vous gérer ces cas de mylolyses/érosions
> importantes sur les antérieures.
> Pour le cas iconographié, je pensais à des facettes (histoire de donner une
> seconde jeunesse au sourire), mais je me demande comment réaliser mes
> préparations, s'il faut combler au compo pour éviter de surtailler autour, etc.
> Pourriez-vous m'indiquer votre protocole dans ces cas ?
> Merci par avance !

Chouette cas de réhabilitation fonctionnelle…..puis esthétique.
Un joli mélange de bruxisme/parafonction, réhabilitation "au p'tit bonheur".
Avant d'envisager la moindre facette, il va falloir je pense revoir l'occlusion de ta patiente: courbe de Spee foirée à gauche, parafonction 21,22, vestibulo-version 12 suite DDM inf.
Bien analyser tous ça avant d'envisager la moindre facette, et évidement si tu pars sur une notion de "seconde jeunesse au sourire", il faudra inévitablement dégager le métal apparent.

Gros point positif ici: la patiente semble avoir une hygiène impeccable et dégage assez peu les collets au sourire, d'où une certaine facilité à gérer l'esthétique "rose".

Bonne chance, il y a ici moyen de transfigurer le sourire de la dame.

Après pour la partie technique pure au niveau antérieur, tout dépend de l'état d'usure palatine, et de lq stabilisation du bruxisme/parafonction, (comme demandé plus haut par GP) une photo occlusale peut nous guider pour connaître la meilleur thérapeutique à adopter, et l'éventail est large: du simple composite à la couronne périphérique en passant par la facette bilaminaire (au fait Gp se serait sympa de partager ce genre de cas avec les Nonoliens ;-)).


G-P

06/09/2014 à 12h44

Faut avoir des cojones bien accrochées pour partager un cas face à la critique anonyme. Je prends photo sur photo et le jour où je réussis un cas parfait avec des photos parfaites je partagerai.


olivier

06/09/2014 à 14h18

Dis moi tu lui as dis quoi pour prendre la photo n°2 (avec la langue) :))))


Homer simpson wallpaper brain 1024 f4t8dv - Eugenol
Jpeg

06/09/2014 à 16h55

Merci pour vos réponses .
Les couronnes métalliques seront bien entendu reprises.
Ma question est purement technique. En palatin on ne note pas d'usure. Comment gérer la profondeur à rattraper, sur 23 par exemple, et comme tu l'indiques, Cingulum, quid de la qualité du collage sur ce type de dentine sclérosée? Avez-vous des trucs et/où astuces ?

J'ai fait faire un Wax-up, il ne semble pas que les collets nécessitent d'être repositionnés. Je ferai des clichés lundi


Bebe 038 nf8eum - Eugenol
danteyeah

06/09/2014 à 17h24

G-P écrivait:
-------------
> Faut avoir des cojones bien accrochées pour partager un cas face à la critique
> anonyme.

Et c'est pas le cas? ;-)
Bon et bien vivement que ça vienne.


G-P

07/09/2014 à 00h40

danteyeah écrivait:
-------------------
>
> Et c'est pas le cas? ;-)
> Bon et bien vivement que ça vienne.

Difficile de trouver un cas suffisamment intéressant et faisable pour le patient. Les cas comme le premier post, ayant les moyens pour faire autre chose que des couronnes c'est vraiment pas courant.