Cookie Consent byPrivacyPolicies.comComblement sinusien au BioOss qui tourne court... - Eugenol

Comblement sinusien au BioOss qui tourne court...

Pépélaratiche

07/09/2014 à 22h15

Vous allez adorer ça...

Promis !!!!!!!!!!!!!!!

--
Pp, bon en rien, mauvais en tout ...
Sed Fortuna audaces iuvat ...


Pépélaratiche

07/09/2014 à 22h18

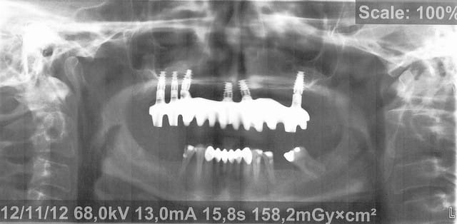
Voici donc les panos pour vos petits yeux ébahis
Profitez bien : elles sont ds l ordre chronologique...

:-)))))))))))))))))

--
Pp, bon en rien, mauvais en tout ...
Sed Fortuna audaces iuvat ...

Pano 1 sdjwoa - Eugenol
Pano 2 h2rj1y - Eugenol
Pano 6 zly0xd - Eugenol
Pano 3 uabzfq - Eugenol
Pano 4 nwdxmg - Eugenol
Pano 5 mck7il - Eugenol
Pano 7 08 07 2014 xforge - Eugenol

Mario ycg44a - Eugenol
Mario180

08/09/2014 à 00h31

Et quelle est ton analyse du cas ?

(On est loin de tout comprendre sur les panos un peu floue, si ce n'est qu'à la fin totu est perdu)


Pépélaratiche

08/09/2014 à 01h03

Ben regarde avec tes yeux Mario...

Pas besoin de voir les détails d une série de panos scannées à partir de copies papiers pour se rendre compte de se qui se passe

Oculos habent sed non vident ...

--
Pp, bon en rien, mauvais en tout ...
Sed Fortuna audaces iuvat ...


Pépélaratiche

08/09/2014 à 01h05

Mario180 écrivait:
------------------
> Et quelle est ton analyse du cas ?
>
> (On est loin de tout comprendre sur les panos un peu floue, si ce n'est qu'à la
> fin tout est perdu)

Moi perso l analyse je l ai mais je vais pas la donner comme ça puisque ce sera plus amusant si vous essayez tous de comprendre ce qui s est passé ...

Allez j attends les copies avec impatience

--
Pp, bon en rien, mauvais en tout ...
Sed Fortuna audaces iuvat ...


Dr Shaman

08/09/2014 à 01h13

On aimerait connaître la (les!!!) suites....


Moustache asiatique 2 b9rsxq - Eugenol
goupil

08/09/2014 à 01h36

Nous pourrions vous en montrer aussi beaucoup qui fonctionnent sur le long terme. Alors votre petite pub anti sinus-lift et pro basale à propos d'un cas vous pouvez vous la carrer dans le séant.

il existe des statistiques qui montrent un grand taux de succès des sinus-lift lorsque les protocoles sont respectés. Le contestez-vous ?


Pépélaratiche

08/09/2014 à 08h46

goupil écrivait:
----------------
> Nous pourrions vous en montrer aussi beaucoup qui fonctionnent sur le long
> terme. Alors votre petite pub anti sinus-lift et pro basale à propos d'un cas
> vous pouvez vous la carrer dans le séant.
>
> il existe des statistiques qui montrent un grand taux de succès des sinus-lift
> lorsque les protocoles sont respectés. Le contestez-vous ?

Absolument pas mais plutôt que de râler explique nous pourquoi c est foiré ici ...


--
Pp, bon en rien, mauvais en tout ...
Sed Fortuna audaces iuvat ...


chipoundine

08/09/2014 à 09h50

11 dans la fosse nasale ?


Pépélaratiche

08/09/2014 à 10h40

chipoundine écrivait:
---------------------
> 11 dans la fosse nasale ?

Quand bien même l apex d un implant touche légèrement une fosse nasale on s en fiche cela ne compromet pas le ttt et en plus cela corticalise l apex du dit implant


--
Pp, bon en rien, mauvais en tout ...
Sed Fortuna audaces iuvat ...


Pépélaratiche

08/09/2014 à 10h41

Je vous donne une petite info : le comblement au BioOss a échoué largement...et on lui propose des greffes crâniennes à présent

Qu en pensez vous ??????????

--
Pp, bon en rien, mauvais en tout ...
Sed Fortuna audaces iuvat ...


Pépélaratiche

08/09/2014 à 10h42

goupil écrivait:
----------------
> Nous pourrions vous en montrer aussi beaucoup qui fonctionnent sur le long
> terme. Alors votre petite pub anti sinus-lift et pro basale à propos d'un cas
> vous pouvez vous la carrer dans le séant.
>
> il existe des statistiques qui montrent un grand taux de succès des sinus-lift
> lorsque les protocoles sont respectés. Le contestez-vous ?

Mais puisque tu as des statistiques ( uniquement des positives je suppose ) dis nous donc où est le bug pour que ça ait foiré de la sorte ...


--
Pp, bon en rien, mauvais en tout ...
Sed Fortuna audaces iuvat ...


Azerty06

08/09/2014 à 11h55

manque de collagène dans le greffon ?


Moustache asiatique 2 b9rsxq - Eugenol
goupil

08/09/2014 à 12h30

Pépélaratiche écrivait:
-----------------------
> goupil écrivait:
> ----------------
> > Nous pourrions vous en montrer aussi beaucoup qui fonctionnent sur le long
> > terme. Alors votre petite pub anti sinus-lift et pro basale à propos d'un cas
> > vous pouvez vous la carrer dans le séant.
> >
> > il existe des statistiques qui montrent un grand taux de succès des sinus-lift
> > lorsque les protocoles sont respectés. Le contestez-vous ?
>
> Absolument pas mais plutôt que de râler explique nous pourquoi c est foiré ici


PP, je ne suis pas votre élève mais celui de l' Evidence-Based Medicine

la réponse s'y trouve


Mario ycg44a - Eugenol
Mario180

08/09/2014 à 20h17

Pépélaratiche écrivait:
-----------------------
> Ben regarde avec tes yeux Mario...
>
> Pas besoin de voir les détails d une série de panos scannées à partir de copies
> papiers pour se rendre compte de se qui se passe
>
> Oculos habent sed non vident ...
>
> --
> Pp, bon en rien, mauvais en tout ...
> Sed Fortuna audaces iuvat ...

J'ai regardé avec tous mes organes et j'ai rien vu sur tes panos. La définition est pourrave, et comme je suis pas un vieux de la vieille, j'extrapole mal la 2D floue.


Pépélaratiche

08/09/2014 à 20h39

Azerty06 écrivait:
------------------
> manque de collagène dans le greffon ?

il est vrai que le biooss n est pas collagéné mais ce n est pas la raison mais c est bien d essayer


--
Pp, bon en rien, mauvais en tout ...
Sed Fortuna audaces iuvat ...


Pépélaratiche

08/09/2014 à 20h41

goupil écrivait:
----------------
> Pépélaratiche écrivait:
> -----------------------
> > goupil écrivait:
> > ----------------
> > > Nous pourrions vous en montrer aussi beaucoup qui fonctionnent sur le long
> > > terme. Alors votre petite pub anti sinus-lift et pro basale à propos d'un
> cas
> > > vous pouvez vous la carrer dans le séant.
> > >
> > > il existe des statistiques qui montrent un grand taux de succès des
> sinus-lift
> > > lorsque les protocoles sont respectés. Le contestez-vous ?
> >
> > Absolument pas mais plutôt que de râler explique nous pourquoi c est foiré ici
>
>
> PP, je ne suis pas votre élève mais celui de l' Evidence-Based Medicine
>
> la réponse s'y trouve

Tu veux sans doute dire que ceux qui ne greffent pas n ont pas droit à l evidence based medicine ;-)))))))))))


--
Pp, bon en rien, mauvais en tout ...
Sed Fortuna audaces iuvat ...


Pépélaratiche

08/09/2014 à 20h42

Mario180 écrivait:
------------------
> Pépélaratiche écrivait:
> -----------------------
> > Ben regarde avec tes yeux Mario...
> >
> > Pas besoin de voir les détails d une série de panos scannées à partir de
> copies
> > papiers pour se rendre compte de se qui se passe
> >
> > Oculos habent sed non vident ...
> >
> > --
> > Pp, bon en rien, mauvais en tout ...
> > Sed Fortuna audaces iuvat ...
>
> J'ai regardé avec tous mes organes et j'ai rien vu sur tes panos. La définition
> est pourrave, et comme je suis pas un vieux de la vieille, j'extrapole mal la 2D
> floue.

Tu dois voir seulement qques détails bien saillants qui ne sont pas du tout ds le flou

Regarde avec un esprit logique les évolutions entre les différents clichés et cela va devenir évident


--
Pp, bon en rien, mauvais en tout ...
Sed Fortuna audaces iuvat ...


Pépélaratiche

08/09/2014 à 20h44

Pépélaratiche écrivait:
-----------------------
> Azerty06 écrivait:
> ------------------
> > manque de collagène dans le greffon ?
>
> il est vrai que le biooss n est pas collagéné mais ce n est pas la raison mais c
> est bien d essayer

Mais cherche car c est bien du côté du BioOss que la foirade se trouve
>
>
> --
> Pp, bon en rien, mauvais en tout ...
> Sed Fortuna audaces iuvat ...


--
Pp, bon en rien, mauvais en tout ...
Sed Fortuna audaces iuvat ...


Photo pluton1b h9n4ea - Eugenol
pluton

08/09/2014 à 20h52

Mario180 écrivait:
------------------
> Pépélaratiche écrivait:
> -----------------------
> > Ben regarde avec tes yeux Mario...
> >
> > Pas besoin de voir les détails d une série de panos scannées à partir de
> copies
> > papiers pour se rendre compte de se qui se passe
> >
> > Oculos habent sed non vident ...
> >
> > --
> > Pp, bon en rien, mauvais en tout ...
> > Sed Fortuna audaces iuvat ...
>
> J'ai regardé avec tous mes organes et j'ai rien vu sur tes panos. La définition
> est pourrave, et comme je suis pas un vieux de la vieille, j'extrapole mal la 2D
> floue.

alors là, s'il y a bien un truc que je vois...c'est qu'on n'y voit strictement rien tellement ces panos sont dégueu...

si je devais donner un avis, c'est uniquement celui de changer de matos pour un modèle numérique digne de se nom pépé...parce que là, nous dire qu'il y a échec du comblement sinusien, je veux bien, mais nous, on n'y voit rien, à la limite on peut presque se demander s'il y en a vraiment eu un...


003 penrd2 - Eugenol
Cingulum

08/09/2014 à 21h13

- On y voit un manque flagrant de densité du greffon
- On y voit une perte d'un implant sans changement de plan de traitement, on se retrouve avec un seul implant du coté où mastique le patient
- On y voit une armature qui baille sur le seul implant qui reste secteur 2, et donc manque de passivité
- On y voit ce qui devait arriver,

Mais je vois aucun rapport entre l’échec et la nature du matériau mis en place dans le sinus....
mais tu vas nous montrer ;)


--
Dr Cingulum
-----Ancien interné----
----Attaché à l'apex----
http://www.clinic-all.fr/ formation par passion


Mm goodteeth2 ex0rr1 - Eugenol
Jules

08/09/2014 à 21h25

Il est prévu de déposer également l'implant en position 26, ou bien a-t-il été laissé pour une raison précise ?


Pépélaratiche

08/09/2014 à 21h55

pluton écrivait:
----------------
> Mario180 écrivait:
> ------------------
> > Pépélaratiche écrivait:
> > -----------------------
> > > Ben regarde avec tes yeux Mario...
> > >
> > > Pas besoin de voir les détails d une série de panos scannées à partir de
> > copies
> > > papiers pour se rendre compte de se qui se passe
> > >
> > > Oculos habent sed non vident ...
> > >
> > > --
> > > Pp, bon en rien, mauvais en tout ...
> > > Sed Fortuna audaces iuvat ...
> >
> > J'ai regardé avec tous mes organes et j'ai rien vu sur tes panos. La
> définition
> > est pourrave, et comme je suis pas un vieux de la vieille, j'extrapole mal la
> 2D
> > floue.
>
> alors là, s'il y a bien un truc que je vois...c'est qu'on n'y voit strictement
> rien tellement ces panos sont dégueu...
>
> si je devais donner un avis, c'est uniquement celui de changer de matos pour un
> modèle numérique digne de se nom pépé...parce que là, nous dire qu'il y a échec
> du comblement sinusien, je veux bien, mais nous, on n'y voit rien, à la limite
> on peut presque se demander s'il y en a vraiment eu un...

Hello Pluton

lis moi bien : ce sont des copies papier d une prise numérique qui m ont été envoyées par la patiente !!!!

De tte façon il n y aucun besoin de voir des détails fins tellment c est gros lollllllllll


--
Pp, bon en rien, mauvais en tout ...
Sed Fortuna audaces iuvat ...


Pépélaratiche

08/09/2014 à 21h58

Cingulum écrivait:
------------------
> - On y voit un manque flagrant de densité du greffon
> - On y voit une perte d'un implant sans changement de plan de traitement, on se
> retrouve avec un seul implant du coté où mastique le patient
> - On y voit une armature qui baille sur le seul implant qui reste secteur 2, et
> donc manque de passivité
> - On y voit ce qui devait arriver,
>
> Mais je vois aucun rapport entre l’échec et la nature du matériau mis en place
> dans le sinus....
> mais tu vas nous montrer ;)

C est bien ça Cngulum tu es le premier à voir tout ce qui se voit sans avoir besoin de dire que les panos sont floues

On s en fout qu elles soient floues

Mais je persiste et je te dis que la nature du BioOss pose problème ds tous je dis bien tous les sinus lifts et même les autre endroits

Il faut chercher ds son mode de fabrication chez les Suisses hypersécuritaires
>
>
> --
> Dr Cingulum
> -----Ancien interné----
> ----Attaché à l'apex----
> http://www.clinic-all.fr/ formation par passion


--
Pp, bon en rien, mauvais en tout ...
Sed Fortuna audaces iuvat ...


Pépélaratiche

08/09/2014 à 21h59

Jules écrivait:
---------------
> Il est prévu de déposer également l'implant en position 26, ou bien a-t-il été
> laissé pour une raison précise ?

Il a été "abandonné" là mais il est douloureux et va être déposé sous peu

--
Pp, bon en rien, mauvais en tout ...
Sed Fortuna audaces iuvat ...


12