Cookie Consent byPrivacyPolicies.comAide sur mon cas clinique d'implanto - Eugenol

Aide sur mon cas clinique d'implanto

Dent clr a8dwyo - Eugenol
Lounille

21/09/2014 à 17h23

Bonjour,

Je dois poser deux implants dans 3 semaines, sur une patiente de 25 ans sur qui j'ai déjà posé un implant maxillaire sans problème.

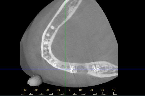
Il y a eu une extraction de 34 il y a 2 ans, et une extraction très délabrante sans comblement osseux, suite à abcès sur la 36, il y a un an.

J'ai des questions sur les deux poses :

-- Pour la 34 :

Faut il opter pour un implant de longueur 8x4.3 ou 10x4.3 (je pose du Nobel Replace CC), au vue des scanners ?
Je ne sais pas si un 8 mm suffit mais au vu du scanner (les implants dessinés font les vrais longueurs, cad 8.6 et 10.6mm.) je trouve que le trou mentonnier est proche...sachant que les forets sont encore plus longs que l'implant.
Je serais donc plus partante pour un 8mm, le 10mm me mettrait mal à l'aise dans ma faible expérience.


--- Pour la 36 :

Malgré la temporisation de un an, je trouve que la densité osseuse semble anormal au niveau du site d'extraction.
Vous qui avez plus de recul, pensez vous qu'il s'agit d'un os cicatrisé, juste moins dense, ou alors de vraies lacunes osseuses ?
Dans ce cas, moi qui pensait poser un 5x10mm, pensez vous que je doive envisager une greffe de comblement par biooss et membrane pendant la chirurgie, ou bien ouvrir, mettre l'os et la membrane et refermer pour attendre encore, ou bien que la pose de l'implant sera possible, sans os.


Merci pour votre aide avisée,

Lounille




--
Lounille

Scanner1 xgzz4z - Eugenol
Scanner2 dkssn3 - Eugenol
Scanner 34 avec un 8 mm hb4pob - Eugenol
Scanner 34 avec un 8 mm coupe ozt7vu - Eugenol
Scanner pour 34 avec un 10 mm x9x1yq - Eugenol
Scanner 36 no7szy - Eugenol

aterman

21/09/2014 à 19h24

Bridge 37-34 avec extension sur 34?

Bridge 37- 35 et implant en 34? Ca t eviteras peut etre des problemes au niveau de 36...


malaire

21/09/2014 à 19h29

Pas mieux.
Pourquoi se compliquer avec un implant en 36 d'autant que 37 est bonne à couronner.


Dent clr a8dwyo - Eugenol
Lounille

21/09/2014 à 19h33


Oui pardon j'aurais du commencer par ca.

La patiente refuse fermement les bridges.
--
Lounille


Smile beach jgh0a1 - Eugenol
Céramik

21/09/2014 à 21h43

Bridge sur une patiente de 25 ans ? On est encore en 1980 ?

8 mm c'est ok pour la 34
Pour la 36, l'os semble moche, à toi de voir si tu fais ostéotension ou greffe ou pose sans forêt pour condenser vs creuser...



--
Céramik


Dent clr a8dwyo - Eugenol
Lounille

21/09/2014 à 21h53

Oui effectivement sans avoir vraiment de lacune osseuse on a clairement un os de densité pourave.
Poser l'implant sans forer?
Je crois bien que je ne saurais pas faire ça...
Et sous forer., ? Genre passer mes forêts pr le 4.3 et poser un 5?
--
Lounille


Smile beach jgh0a1 - Eugenol
Céramik

22/09/2014 à 04h27

Tu peux même sous sous forer ! pas plus que 2.5 mm pour un 4.5mm

Sans foret, veux dire en expansion, foret de 1.5-2.0 mm puis avec vis d'expansion, puis implant, c'est en fait assez facile.



--
Céramik


S2y2o1v7q53ws4r5wy6ou8czrpom - Eugenol
pxav

22/09/2014 à 08h54

c'est même beaucoup plus facile que de forer...
Et le fait de ne pas "consommer" d'os est plus sympa.

--
xbk
"Si tous ceux qui croient avoir raison n'avaient pas tort, la vérité ne serait pas loin" Dac Pierre


Img 0812 mvp6i0 - Eugenol
jeamba

22/09/2014 à 11h48

En 36 tu n'as pas d'os, c'est du tissu mou et tu ne pourras pas stabiliser ton implant car proximité du NDI en apical( j'ignore combien tu as de marge). Avant de tenter les implantations tu devrais vérifier par un lambeau d'exploration c'est plus raisonnable.


Icon poker h4nm2d - Eugenol
jeff

22/09/2014 à 13h22

Pour le bridge, en plus du fait que la patiente ne veux pas, la pulpec 37 n'est pas au bout : reprise , pas reprise ? kyste et extraction et bridge poubelle au bout d'un an ?...

pour 36, tu doit simplent etre pret a tout : tu fais l'implant 34, et tu vois en 36.

- curetage tissu mou + ROG
- meme chose avec la pose de l'implant si tu vois que la stabilité primaire peut etre bonne.

La patiente doit juste etre prevenu que tu ne mettra peut etre pas l'implant.


Utilisateur banni

22/09/2014 à 13h32

Tu parle d’examen scanner, mais j’ai l’impression que c’est un examen cone beam ?


Dent clr a8dwyo - Eugenol
Lounille

22/09/2014 à 13h34

posit écrivait:
---------------
> Tu parle d’examen scanner, mais j’ai l’impression que c’est un examen cone beam
> ?


Oui c'est bien un cone beam.
Cela change t'il qqchose ?

--
Lounille


Utilisateur banni

22/09/2014 à 13h53

Avec un cone beam tu n’a pas la densité osseuse exacte et selon la machine utilisé la vision du volume et de la qualité peut être fausse. Dans un premier temps tu peux modifier les réglages d’apparence en te basant sur le rendu d’opacité des racines, ton ressenti sur la zone à implanté pourrai être différent. Seulement au moment de la clinique tu aura la réponse.


Mario ycg44a - Eugenol
Mario180

22/09/2014 à 15h03

posit écrivait:
---------------
> Avec un cone beam tu n’a pas la densité osseuse exacte et selon la machine
> utilisé la vision du volume et de la qualité peut être fausse. Dans un premier
> temps tu peux modifier les réglages d’apparence en te basant sur le rendu
> d’opacité des racines, ton ressenti sur la zone à implanté pourrai être
> différent. Seulement au moment de la clinique tu aura la réponse.

Effectivement, la nullité du cone beam concernant la densité osseuse est très variable selon la machine utilisée. De simplement moyen à très mauvais, la discrimination entre les différents tissus dur est parfois difficile à établir, en tous cas le type d'os est parfois mal identifié. Tu peux parfois envisager un os correct et te retrouver dans la mélasse.

Bref, toujours avoir un plan B, et être capable de rallonger un peu ou de compacter plutôt que de forer bêtement.


3f3boxni50k58rq7e9ce9ddqrxgk - Eugenol
dentiste57

22/09/2014 à 18h57

rhoooo! les belles images du cone beam Morita


Dent clr a8dwyo - Eugenol
Lounille

23/09/2014 à 12h28

Mince vous êtes ironiques concernant les coupes

Je pensais vraiment que le cone beam était mieux qu'un scanner. Que ce soit en terme d'analyse du volume 3D et du reste.
Je tombe sur le c** ...
:(

--
Lounille


Utilisateur banni

24/09/2014 à 14h51

Bonjour Lounille, mon intension n’est pas que tu sois déçue de ton acquisition mais de te faire par uniquement des observations que j’ai pu faire des deux types d’acquisition d’un massif facial. Ces observations sont donc seulement celle d’un technicien spécialisé en modélisation 3D. Je vois une trame de structure différente au niveau du site d’extraction 36 que tu as pratiqué il y a 2 ans par rapport au reste du volume osseux. Généralement un cone beam me permet d’observer précisément cette trame mais ne m’indique pas la densité de cette partie alors qu’avec un scan cette information est clairement définie.


Dent clr a8dwyo - Eugenol
Lounille

24/09/2014 à 15h09

Ok c'est noté posit

Je vais modifier le devis en disant que he deciderais une fois en bouche.

Merci

--
Lounille


alex33

24/09/2014 à 15h16

dentiste57 écrivait:
--------------------
> rhoooo! les belles images du cone beam Morita

Tres impressionnant en effet!