Cookie Consent byPrivacyPolicies.comle scandale des rémunérations centres mutualistes - Eugenol

le scandale des rémunérations centres mutualistes

Capture d  cran 2015 03 12 12.28 - Eugenol
chicot29

25/09/2014 à 10h30

"Cela aurait pu être un succès de la pensée libérale si les technocrates avaient compris que la concurrence devait être liée à la liberté d’entreprise ; mais alors cela aurait conduit à nier toute légitimité au technocrate"

Voilà. Quand améli dit que nous sommes libres de nous déconventionner il se dit libéral en nous laissant le choix. Si on avait vraiment le choix, il n'existerait pas.


Capture d  cran 2015 03 12 12.28 - Eugenol
chicot29

25/09/2014 à 15h10

chicot29 écrivait:
------------------
> J'aimerais bien arrêter de radoter. J'en vois tous les jours.

Encore aujourd'hui. Et pour le meme tarif que la merde antérieure.
Dis donc le mutualiste tu poses la digue de temps en temps ? ou le fait de faire des tarifs de cerams au raz des pâquerettes t'en empêche ? Ou ton directeur socialiste ne veut pas ?

1 kjoluu - Eugenol
2 bspc2o - Eugenol
5 z51ked - Eugenol
6 l7dh0w - Eugenol
7 ioasxs - Eugenol
8 jvtrc3 - Eugenol

S8ysxdzhdqgw00w4q6m07a5d47q2 - Eugenol
Gai-Luron

25/09/2014 à 15h29

oui, Casa.... Chicot29 raconte toujours les mêmes salades, les mêmes "amalgames au pouce", "peinture canalaire", etc...
Et il nous montre toujours les belles photos de ses belles endos avec de belles obturations....
C'est sûr, ceux qui font pas comme lui sont des nuls, des cons, des escrocs.

Bah, faut le laisser dans son 29, il doit y être bien.
Par contre, je plains son assistante, si il raconte toujours la même chose...


RépondreCiter
Capture d  cran 2015 03 12 12.28 - Eugenol
chicot29

25/09/2014 à 15h41

La différence entre le libéral et l'exercice en mutuelle, c'est que la décision d'achat de matos pour progresser est instantanée et on ne demande pas à l'abruti d'ex-syndicaliste de directeur qui n'y entrave que dalle. Je sais de quoi je parle, j'ai bossé 2 ans en mutuelle.
Ces endos c'est" finguer in the nose "si on est bien équipé. Rares sont les canaux qui résistent. Encore faut il dégager suffisamment de bénéfice pour acheter le matos. A 3 ou 4000 euros par mois de BNC tu ne vas pas craquer la moitié ou la totalité de ton revenu d'un mois pour acheter un joujou d'endo ou une camera vu qu'endo à l'apex ou pas c'est le meme tarif.


S8ysxdzhdqgw00w4q6m07a5d47q2 - Eugenol
Gai-Luron

25/09/2014 à 15h48

non, tu ne sais pas de quoi tu parles.
Tu parles uniquement de ton expérience de 2 ans, et tu extrapoles.
C'en est même ridicule, primaire.
Mais on te laisse à tes certitudes. Qui ne sont d'ailleurs pas que les tiennes.

Au fait, à part tes endos, tu montres autre chose, parfois???


Orezza gazeuse verre litre ocoxey - Eugenol
casa

25/09/2014 à 16h13

Haaa mais voilà , chicot n'y est pour rien en fait , tout vient du matos .... sa dextérité , ses 6 ans d'études , son expérience .et ben ça sert à rien .. qu'on se le dise .... tu débourses 3 ou 4000 €
et hop t'es un Dieu de l'endo et tu publies tes photos , radios , à toutes les occasions , sur tous les posts , et à propos de n'importe quoi ..... Imparable ... Gai luron , t'y piges que dalle à la dentisterie moderne .... "t'as les biftons t'es un champion" ! et pi c'est tout !


Capture d  cran 2015 03 12 12.28 - Eugenol
chicot29

25/09/2014 à 16h31

Ben tu vois gai machin, je ne suis qu'un dentiste de base qui rattrape les merdes d'autres dentistes de base pour le meme tarif. Ma clientèle n'est pas du genre à avoir les moyens de s'offrir des bridges complets sur implants et de la dentisterie collée. Donc, pour les photos de ce type d'actes (je viens d'acheter ma camera) tu attendras un peu.
Tiens mon choupinet mutualiste.-))))

1 tb1o4a - Eugenol
2 h2rofr - Eugenol
3 coffage direct mta ltbyrx - Eugenol
3 vkykm8 - Eugenol
4 bhp3yo - Eugenol
8 baccbn - Eugenol

Images qct94b - Eugenol
themumbly

25/09/2014 à 16h54

Continue de poster tes cas chicot, ils sont magnifiques , moi je les regarderai!!!


Orezza gazeuse verre litre ocoxey - Eugenol
casa

25/09/2014 à 17h09

Waouh ... je suis subjuguée tant de dextérité chez un seul homme !.. encore encore .... parce en plus t'as du public ... fais tu disparaître des dents ? parce moi ça, je sais faire , et hop ! c'est même enlaye qui les remet après !!


RépondreCiter
Capture d  cran 2015 03 12 12.28 - Eugenol
chicot29

25/09/2014 à 17h11

casa écrivait:
--------------
> Haaa mais voilà , chicot n'y est pour rien en fait , tout vient du matos .... sa
> dextérité , ses 6 ans d'études , son expérience .et ben ça sert à rien .. qu'on
> se le dise .... tu débourses 3 ou 4000 €
> et hop t'es un Dieu de l'endo et tu publies tes photos , radios , à toutes les
> occasions , sur tous les posts , et à propos de n'importe quoi ..... Imparable
> ... Gai luron , t'y piges que dalle à la dentisterie moderne .... "t'as les
> biftons t'es un champion" ! et pi c'est tout !

Pas forcément avec de la dextérité on y arrive aussi.








Tu as un problème avec l'argent casa, vas y expliques on peut peut être t'aider.-))))


Capture d  cran 2015 03 12 12.28 - Eugenol
chicot29

25/09/2014 à 17h15

casa écrivait:
--------------
> Waouh ... je suis subjuguée tant de dextérité chez un seul homme !.. encore
> encore .... parce en plus t'as du public ... fais tu disparaître des dents ?
> parce moi ça, je sais faire , et hop ! c'est même enlaye qui les remet après !!

A ton avis combien le v3 ring pour des points de contacts en composite impeccables ?
Combien t'en faut il pour tenir la journée ? La dextérité n'y est pour rien, il faut des bifetons !
mais si tu te démerdes bien et accélères le mouvement avec tes amalgames au pouce , peut etre que tu dégageras assez de bénéfice pour t'en acheter,..........dans 10 ans.
T'inquiètes les amalgames au pouce je sais faire aussi, surtout quand un gros crade en a posé avant.
On te laisse avec ta bite et ton couteau casa, tes patients te remercieront.


ny162

25/09/2014 à 18h04

themumbly écrivait:
-------------------
> Continue de poster tes cas chicot, ils sont magnifiques , moi je les
> regarderai!!!

+1000


Capture d  cran 2015 03 12 12.28 - Eugenol
chicot29

25/09/2014 à 18h07

Merde, chicot qu'est ce que tu fais de tes journées à part des soins conservateurs ?

De la prothèse et heureusement, gros naze.


South park   craig te7bfk - Eugenol
CRAIG

25/09/2014 à 18h25

Moi j'ai un plus gros kiki que toi et j'ai une plus grosse voiture que toi et mon papa à moi il est policier et il va te mettre en prison tellement tes amalgames ils sont caca boudins....


malaire

25/09/2014 à 18h35

Ah enfin un concours de bite ...
je vais pouvoir participer :)))


Orezza gazeuse verre litre ocoxey - Eugenol
casa

25/09/2014 à 18h38

28 Jours !!! oui 28 jours .... 8300 messages à raison de 5 mn par message (il tape avec 2 doigts !) ..... champion toute catégorie ... devinez qui ? hey Craig, Gai luron , vous voulez rivaliser avec ça ?..... impossible ... t'as pas une petite photo le champion ?


S8ysxdzhdqgw00w4q6m07a5d47q2 - Eugenol
Gai-Luron

25/09/2014 à 18h50

En fait, si je comprends bien, tu ne publies que pour montrer que les autres font des merdes et que toi tu rattrapes leurs merdes.
Qu'est-ce qu'on ferait si tu n'étais pas là... !!!!

Je te sens un peu plus vindicatif, là, non?

Au fait, t'as oublié la digue, pour ton compo. Une merde, quoi...


RépondreCiter
Capture d  cran 2015 03 12 12.28 - Eugenol
chicot29

25/09/2014 à 19h44

Gai-Luron écrivait:
-------------------
> En fait, si je comprends bien, tu ne publies que pour montrer que les autres
> font des merdes et que toi tu rattrapes leurs merdes.
> Qu'est-ce qu'on ferait si tu n'étais pas là... !!!!
>
Certains, disons suffisamment pour que toi et moi n'allons pas nous faire soigner dans un cabinet au pif. J'ai tord ?
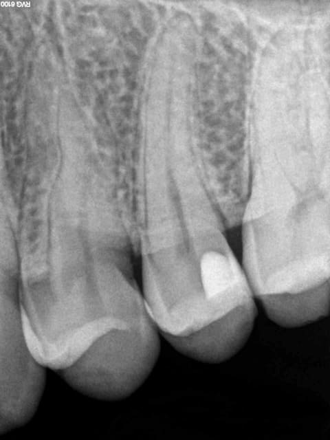
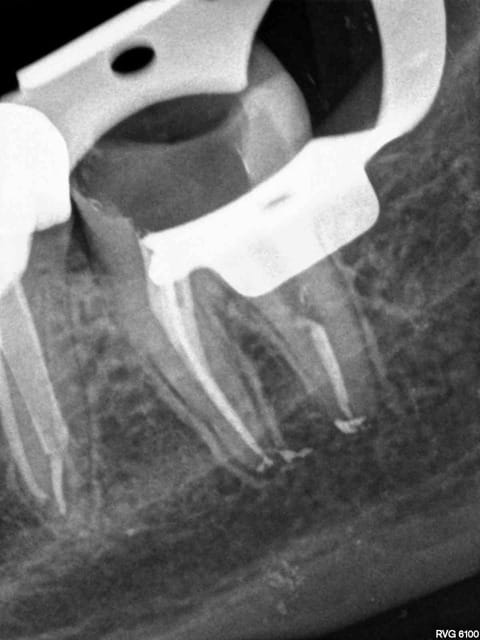
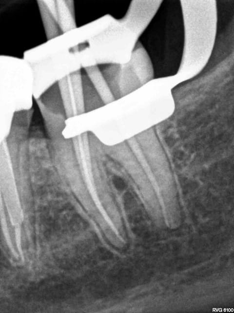
Pour la digue, sur les endos molaire seulement, il existe d'autres moyens moins chiants à poser pour les compos, il est en effet autrement plus chiant de poser la digue sur une demi arcade et surtout de façon compatible avec les matrices ( le v3 ring n'aime pas les clamps à ailettes). Mais tu devrais le savoir non ?
J'y travaille pour trouver un moyen simple et efficace pour poser la digue dans toutes les situations comme celle ci dessous. Tiens c'est tout frais, endo sc33 en 1 temps, 1H 15 et encore je n'ai pas d'assistante au fauteuil.
Pour les posts et bien comme je n'ai pas les félicitations de la sécu en travaillant pour des tarifs de soins de merde, j'en cherche ailleurs .
Et puis ca me change de taper sur la CNSD. -)))))

1 wplwrq - Eugenol
2 wsiybw - Eugenol
3 rtjocg - Eugenol
4 sar9kl - Eugenol
5 t7grpl - Eugenol
6 zvylju - Eugenol
7 grtcbn - Eugenol
8 qx0d70 - Eugenol

Orezza gazeuse verre litre ocoxey - Eugenol
casa

25/09/2014 à 20h03

Houla .... mes chers confrères , vous ne trouvez rien à redire la dessus ? pose de l'indication ? traitement ? choix de la reconstitution ? j'irai pas jusqu'à évaluer la dextérité de l'opérateur je n'oserais pas une telle offense .... je suis dubitative .... et bien sûr ce cher patient va avoir droit à une belle céramique ? hein dis je me trompe .... je vais chercher où j'ai mis ma bite (!) et mon couteau !
à vos claviers : par ici la critique .....


RépondreCiter
South park   craig te7bfk - Eugenol
CRAIG

25/09/2014 à 20h11

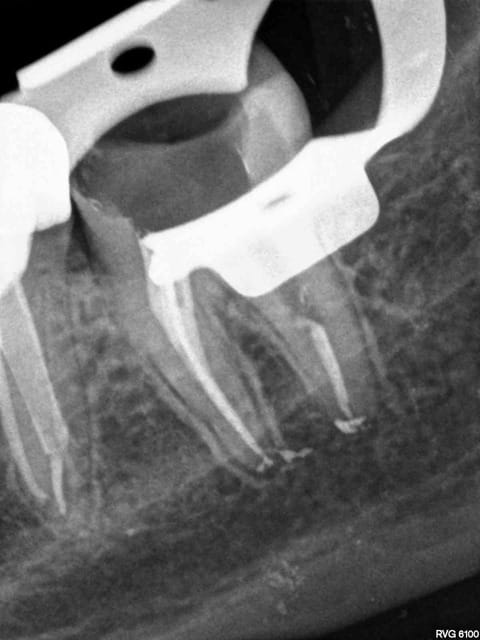
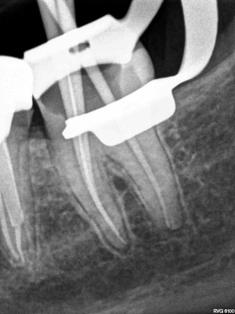
Technique "Monocône"....C'est un peu "has been" je trouve.... ;-)


Capture d  cran 2015 03 12 12.28 - Eugenol
chicot29

25/09/2014 à 20h13

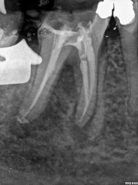
Pulpite indication endo. perte de substance: Indication onlay , mais pas dans le panier de soins donc sc 33, couronne coulée : patiente CMU.


S8ysxdzhdqgw00w4q6m07a5d47q2 - Eugenol
Gai-Luron

25/09/2014 à 20h36

non, mais tu bosses bien, on n'a jamais dit le contraire...
Simplement, arrête de prendre les autres pour des merdes, c'est tout...
Je vois autant de merdes qui viennent de confrères libéraux que tu dois en voir qui viennent d'ailleurs....
Comme tout le monde.


Orezza gazeuse verre litre ocoxey - Eugenol
casa

25/09/2014 à 21h01

Dis donc chicot t'es peut être le roi de l'endo mais au niveau économie tissulaire , ouverture de chambre , tu utilises un black et decker comme contre angle ?... t'y vas pas de main morte ... t'aurais peut être pu éviter le tenon alors , et qui sait la couronne .... et puis un genre screw post titane ? avec un matériau plastique perso je trouve pas ça terrible ... mais je ne suis qu'une petite dentiste qui utilise encore l'amalgame ... houuuu la méchante .....bon et puis la (ou le ) mitrailler comme ça pendant le soin juste pour nous montrer , faut pas tu sais , tu perds un temps fou ... après le temps de poster tout ça ..... t'imagines le temps perdu pour la rentabilité du cabinet ....
C'est la saint chicot aujourd'hui ? mince faudra y penser !


RépondreCiter
dock

25/09/2014 à 21h53

Tes dernières photos sont prises avec quelle caméra Chicot?


Capture d  cran 2015 03 12 12.28 - Eugenol
chicot29

25/09/2014 à 21h56

CRAIG écrivait:
---------------
> Technique "Monocône"....C'est un peu "has been" je trouve.... ;-)

Surtout mono-cone sans ciment. mais c'est vrai que quand on ne fait pas d'essayage de cones on ne risque pas de voir pas la différence.-))))
Mais je ne me cache pas que je les scelle de temps en temps. Mais manque de bol pas là. Thermo compactés au mac spaden. Tu vois peut être la différence non ?
Allez sans rancunes craig.-)))))

1 dbo6ys - Eugenol
2 qqbyka - Eugenol

1...4567