Cookie Consent byPrivacyPolicies.comAYE ! j'ai vu mon premier bridge CMU CCAM.-)))) - Eugenol

AYE ! j'ai vu mon premier bridge CMU CCAM.-))))

Capture d  cran 2015 03 12 12.28 - Eugenol
chicot29

29/09/2014 à 18h55

Full zircone 24 25 26. 26 en pulpite.-)))))


Images cu89bm - Eugenol
Tizott

29/09/2014 à 19h04

Moi aussi, j'aimerais bien le voir ton brigde.
Des photos peut-être ?


Dsc05680 medium aphmfg - Eugenol
BasArtDentaire

29/09/2014 à 19h12

ça doit faire mal ... au moral. ;)


Capture d  cran 2015 03 12 12.28 - Eugenol
chicot29

29/09/2014 à 19h13

Avancée "structurée et structurante" de la CNSD.-))))


el diablo

29/09/2014 à 19h16

et la full zircone fait partie du panier cmu maintenant, la 26 y a le droit? waouh!!! vive la cmu!


Prehome gif anime lfnqnl - Eugenol
fredledragon

29/09/2014 à 19h17

amusant le cas, dentiste bio concervateur qui ne dévitalise pas lui car c'est mal et c'est toi qui récupère la pulpite :)


Capture d  cran 2015 03 12 12.28 - Eugenol
chicot29

29/09/2014 à 19h19

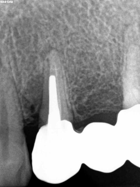
Patiente vue en 2011 et partie dans la nature........

1 ql5klh - Eugenol
2 yp1yue - Eugenol

Capture d  cran 2015 03 12 12.28 - Eugenol
chicot29

29/09/2014 à 19h22

.........Et revenue aujourd'hui en urgence avec un magnifique bridge CCAM-CMU + pulpite sur 26 en option. (bridge 1 mois). Option pèche sur 14 à venir sous l'ic également.
J'y ai collé un amalgame au pouce histoire de faire plus vrai.-)))))
Costaud le full zircone

3 xxpjof - Eugenol
4 ltru3w - Eugenol
5 wbxezn - Eugenol
6 vxygpm - Eugenol
7 xrxwdl - Eugenol
1 av3slf - Eugenol

Capture d  cran 2015 03 12 12.28 - Eugenol
chicot29

29/09/2014 à 19h23

Tu vois casa je sais faire des cavités d'accès discrètes quand je veux.-))))


Sourire01

29/09/2014 à 19h28

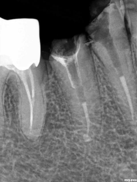
Je veux pas être rabat-joie mais tu es sûr que tu n'as pas traité la 6 pour rien, au vu de la lésion en mésial de 4, je pencherais pour une fracture de la racine...


Capture d  cran 2015 03 12 12.28 - Eugenol
chicot29

29/09/2014 à 19h34

Sourire01 écrivait:
-------------------
> Je veux pas être rabat-joie mais tu es sûr que tu n'as pas traité la 6 pour
> rien, au vu de la lésion en mésial de 4, je pencherais pour une fracture de la
> racine...

Douleur +++ au froid sur 26 à sauter au plafond + douleurs spontanées, pas de sensibilité percussion sur 14. Mais ca va chauffer un de ces 4 c'est sur.-))))
Pas grave je virerais 14 + taille crayon sur 23 et 26 vu qu'elle n'est plus reconstituable durablement. -))))))
+ Un petit NR sur 25 ou 24. Macho j'ai bon ? -)))))


M-

29/09/2014 à 20h14

chicot29 écrivait:
------------------
> Patiente vue en 2011 et partie dans la nature........

> .........Et revenue aujourd'hui en urgence avec un magnifique bridge CCAM-CMU +

> Costaud le full zircone

Question bête, pourquoi se faire ierch à faire tout ça et pas retour au précédent ?


ny162

29/09/2014 à 20h18

chicot29 écrivait:
------------------
> Tu vois casa je sais faire des cavités d'accès discrètes quand je veux.-))))

Comment tu fais pour qu'elles soient si "nettes"? Tu passes un truc sur le plancher?


Gaudi parc guell lezard  ntokms - Eugenol
lezard

29/09/2014 à 20h53

De la cire d'abeille ??



Capture d  cran 2015 03 12 12.28 - Eugenol
chicot29

29/09/2014 à 20h58

Fraise boule sur CA en remontant pour virer les surplombs, sinon j'utilise "canal pro NAOCL EXTRA" de chez coltène, pour l'irrigation ultra efficace.


ny162

29/09/2014 à 21h00

chicot29 écrivait:
------------------
> Fraise boule sur CA en remontant pour virer les surplombs, sinon j'utilise
> "canal pro NAOCL EXTRA" de chez coltène, pour l'irrigation ultra efficace.

Ok, je vais essayer :)


Capture d  cran 2015 03 12 12.28 - Eugenol
chicot29

29/09/2014 à 21h03

Merde, gai luron va encore dire que je ne fais que de l'endo.-))))


Vw campersurfvan bmnk1q - Eugenol
enlaye

29/09/2014 à 21h12

par hasard ce n etait pas un syndrum du septum tout simplement?
meme si au final tu as eu raison de faire l endo!


X ray 03 medium zvq18j - Eugenol
cyber_quenottes

29/09/2014 à 21h16

ny162 écrivait:
---------------

> Comment tu fais pour qu'elles soient si "nettes"? Tu passes un truc sur le plancher?

================
un coup d'biniou


Capture d  cran 2015 03 12 12.28 - Eugenol
chicot29

29/09/2014 à 21h17

3 aujourd'hui avec celle là, petite journée -)))))

1 gyexyo - Eugenol
2 rmfjqv - Eugenol
3 yk9voc - Eugenol
5 s5asfw - Eugenol

Orezza gazeuse verre litre ocoxey - Eugenol
casa

29/09/2014 à 21h23

chicot29 écrivait:
------------------
> Tu vois casa je sais faire des cavités d'accès discrètes quand je veux.-))))

Ah ben tu vois que tu peux bien bosser , sinon l'amalgame : c'est pour faire joli ?
A part ça , il parait que tu vas souvent aux "cabinets" , tu nous montres jamais tes cas !!! (voilà, il fallait que je la fasse c'est fait, c'était ma contribution scato !)
A demain pour une nouvelle endo !

PS: la cire et le biniou : clap clap !


X ray 03 medium zvq18j - Eugenol
cyber_quenottes

29/09/2014 à 21h24

c'est quoi ton capteur ?

quels reglages sur ta minuterie ? kV mA et tps ?
merci

en option modele GEN X


Vw campersurfvan bmnk1q - Eugenol
enlaye

29/09/2014 à 21h27

ha ha casa tu fais caguer


Prehome gif anime lfnqnl - Eugenol
fredledragon

29/09/2014 à 21h28

cyber son capteur c'est comme le port salut, c'est marqué dessus :)


Capture d  cran 2015 03 12 12.28 - Eugenol
chicot29

29/09/2014 à 21h29

casa écrivait:
--------------

> Ah ben tu vois que tu peux bien bosser , sinon l'amalgame : c'est pour faire
> joli ?

oui, c'est très classe sur une zircone, ca fait plus vrai surtout quand le reste de la bouche en est farci.-))))
Sinon, c'est pas encore interdit que je sache, c'est meme conseillé par la CNSD. -)))))