Cookie Consent byPrivacyPolicies.comDites moi pas que c'est pas vrai - Eugenol

Dites moi pas que c'est pas vrai

Avatar transparent iqadnc - Eugenol
adhoc

16/10/2014 à 13h08

Tu oublies la piece maitresse, casa, le tank Tiger (un vrai, hein)pour aller ramasser les loyers, pffff :-))


Little shop of horrors brzqjx - Eugenol
chatondecarte

16/10/2014 à 13h15

chicot29 écrivait:
------------------
> chatondecarte écrivait:
> -----------------------
>
> > Tu mets exactement le doigt sur le noeud du problème.
> > Notre ami chicot admet lui même qu'il adapte sa pratique cmu à ce que la secu
> > exige (panier de soin) donc toute endo se transforme en inlay core ccm.
>
> Non, SC33 CCM à 122,55 l'inlay core ( sauf évidemment quand il y en a trop, ca
> fait perdre du temps)on ne va pas gacher son ratio IC/SC33 pour des clopes et
> puis il faut bien équilibrer si on veut rentrer dans les cases du système-))))
>
>
> On ne
> > vois pas les photos initiales mais si ça se trouve ces dents auraient pu être
> > restaurées avec de simples compo ou des inlay. Grâce à notre fabuleux système,
> > 95% des dentistes sont tellement formatés à automatiquement couronner toutes
> > dents dévitalisées qu'ils ne voient même plus le surtraitement.
>
> Tout à fait, mais vois tu je n'ai pas envie de facturer des actes le tiers du
> prix du prothésiste pour un reste à charge également nul pour le patient. C'est
> pas une question de formatage uniquement une question de survie.
>
>
> > Donc des 1900e en 2h c'est grâce au soins opposables que ça existe. Sinon ça
> > serait beaucoup moins cher et générerait autant de bénéfice car moins de
> frais.
> >
> > La solution au problème est connu.
>
> C'est évident et c'est beaucoup d'argent pour si peu de temps, je propose de
> diminuer la rémunération de ces actes. Il faudra encore aller plus vite, ceux
> qui ne trouveront pas la solution disparaitront.
>
> Sinon en soins conservateurs au tarif opposable je n'ai pas encore trouvé la
> solution pour dépasser le seuil de rentabilité du cabinet, quelqu'un a une idée
> ? -))))


Attention, soyons clair, je te fais absolument aucun reproche. Je veux juste illustrer mes propos en reprenant l'exemple que casa a choisi. Tu n'as pas choisi les règles du jeu, tu suis celle imposées par la sécu, c'est bien normal.

Système actuelle :

Tu choisis de faire des couronnes car dents dévitalisées, et surtout tu veux pas déposer le bilan.

2000€ pour 2h soit 1000€/h on retire les fournitures prothétiques (4 ccm/ inlay core (90+30)x4 avec un proto pas cher) Bénéfice 1520€ pour 2h de boulot moins 2h de cab a 150/h = 1220 pour 2h. (610€ de l'heure)
Reste à charge pour un patient (pas cmu, ça c'est un autre problème)environ 1300€.

Levons l'opposabilité :

Tu choisi de faire 4 compos après avoir dévitaliser les dents car les couronnes et les tenons c'est iatrogène et les compos c'est moins long à faire et aussi efficace. Et en plus si soucis on peut réparer.

admettons tu prends : 150€/endo pm + 100€/compo total = 1000€ pour une heure de boulot. moins 1h de cab à 150 = 850€ pour 1h.
Reste à charge pour le patient environ 720€. (moins le temps perdu pour venir une fois de plus)
Impact carbone un allez/retour au cab en moins.

Donc si on lève l'opposabilité :
Plus de benef, moins cher pour la sécu, moins cher pour les mutuelles, moins de reste à charge pour le patient, plus écologique et mieux pour la santé publique.
J'ai pas encore compris pourquoi il y en a encore qui ne veulent pas de cette solution qui coûte rien à la sécu et qui modernise la dentisterie.

Les seuls qui n'y trouveraient pas leurs comptes serait eventuellement les prothésistes. Et encore pas tous.


Orezza gazeuse verre litre ocoxey - Eugenol
casa

16/10/2014 à 13h30

@chatondecarte , on devrait comme pour nos élus, faire une déclaration de patrimoine avant de discuter sur eugénol , ça permettrait de clarifier le débat je dirais ... on a pas tous les mêmes valeurs et le même seuil de rentabilité , là est la question et de là a dire que ça oriente nos choix "thérapeutique" ... je m'avance grandement ....

Pour le tank .... heu oui mais avec ou sans allume cigare !


Little shop of horrors brzqjx - Eugenol
chatondecarte

16/10/2014 à 13h36

casa écrivait:
--------------
> @chatondecarte , on devrait comme pour nos élus, faire une déclaration de
> patrimoine avant de discuter sur eugénol , ça permettrait de clarifier le débat
> je dirais ... on a pas tous les mêmes valeurs et le même seuil de rentabilité ,
> là est la question et de là a dire que ça oriente nos choix "thérapeutique" ...
> je m'avance grandement ....
>


Tu serais déçue...

Mais j'ai pas compris en quoi c'est un argument contre la levée de l'opposabilité, et en quoi ça justifie qu'une couronne à 600€ remboursée 75 serait moins scandaleux qu'un compo à 100€ remboursé 30.


Orezza gazeuse verre litre ocoxey - Eugenol
casa

16/10/2014 à 13h53

Ca ce n'est pas une levée d'opposabilité .. parce que ce sera toujours remboursé 30 par contre les prix de ton compo dependront de ....allez je vais mettre "l'âge du capitaine" et c'est là que l'histoire recommence ... tu libères les prix... tout s'envole ...Ce que tu réclames est une augmentation des tarifs de soins et là tu vas pas trouver grand monde contre ..à part le payeur .. c'est à dire nous en fait ... heu..... tu me suis ....


Capture d  cran 2015 03 12 12.28 - Eugenol
chicot29

16/10/2014 à 14h46

casa écrivait:
--------------
> @chatondecarte , on devrait comme pour nos élus, faire une déclaration de
> patrimoine avant de discuter sur eugénol , ça permettrait de clarifier le débat


Pas de problèmes, on va partir sur les memes bases qu'eux. Mais non de dieu tout le monde ne claque pas le fric comme eux au fur et à mesure car vu leurs émoluments leur patrimoine est rikiki pour la plupart !
Je te ferais une déclaration de patrimoine comme eux c'est à dire "les yeux dans les yeux" genre je n'ai que ma résidence principale et si elle vaut cher c'est pas de ma faute c'est l'immobilier qui a flambé.
Ma pauvre Casa tu penses comme un lapin de 6 semaines. -)))


Capture d  cran 2015 03 12 12.28 - Eugenol
chicot29

16/10/2014 à 14h49

casa écrivait:
--------------
> Ca ce n'est pas une levée d'opposabilité .. parce que ce sera toujours remboursé
> 30 par contre les prix de ton compo dependront de ....allez je vais mettre
> "l'âge du capitaine" et c'est là que l'histoire recommence ... tu libères les
> prix... tout s'envole ...Ce que tu réclames est une augmentation des tarifs de
> soins et là tu vas pas trouver grand monde contre ..à part le payeur .. c'est à
> dire nous en fait ... heu..... tu me suis ....

Ben non les prix dépendront de la qualité de travail effectué. Mais tu seras libre de continuer à faire de la merde au tarif opposable si tu veux .-))))


Orezza gazeuse verre litre ocoxey - Eugenol
casa

16/10/2014 à 14h58

Merci chicot pour ton auto évaluation et le mienne (non?)en conséquence mais qui t'empêchera de faire de la merde à prix fort ... et si t'es sympa et beau parleur tu pourras même refaire ta merde 5 ans après ... pfff . à moins qu'on instaure des critères de qualité !! faudra passer des test .. cabinet niveau 1 , 2 ,3 ....Bref , si on "nous" fait confiance , les patients sont mal barrés , si "on" leur fait confiance , "nous" sommes mal barrés ... Mince , je ne sais plus où me situer !


Vw campersurfvan bmnk1q - Eugenol
enlaye

16/10/2014 à 15h04

casa écrivait:
--------------
" ..à part le payeur .. c'est à
dire nous en fait ... heu..... tu me suis ...."

et voila ,pas con la Casa ,non?
en 2,3 post elle soulève tous les problèmes qui s imbriquent de telle façon que l'on se mord la queue!
Ce qui arrange les uns penalise les autre et par effet rebond.....

ç est une equation avec une seule constante :le tarif secu
et pleins mais alors plein de parametres variables et une grosse inconue:(combien faut il gagner pour etre heureux!!??)


Orezza gazeuse verre litre ocoxey - Eugenol
casa

16/10/2014 à 15h13

et voilà enlaye :le bonheur n'a pas de prix ! alors là c'est de la haute voltige pour certains !!! Bonheur /prix/ cotation sécu .... je suis toute tourneboulée maintenant !


P2eqdh3csim6s7nb09ktdq3e7ev8 - Eugenol
barbabapat

16/10/2014 à 15h35

casa écrivait:
--------------
> Ca ce n'est pas une levée d'opposabilité .. parce que ce sera toujours remboursé
> 30 par contre les prix de ton compo dependront de ....allez je vais mettre
> "l'âge du capitaine" et c'est là que l'histoire recommence ... tu libères les
> prix... tout s'envole ...Ce que tu réclames est une augmentation des tarifs de
> soins et là tu vas pas trouver grand monde contre ..à part le payeur .. c'est à
> dire nous en fait ... heu..... tu me suis ...

Avant de dire des conneries, il serait déjà bien de comprendre qu'un tarif doit refléter les charges nécessaires à l'établissement d'un acte.

Par exemple, selon toi est il normal qu'un praticien en zone franche ou en zrr fasse payer les soins au même tarif sans faire bénéficier ses patients du bénéfice des exonérations fiscales qui lui sont accordées.

Or même dans ce cadre là les soins sont déficitaires. Plus de 50% de la profession a plus de 51 ans, a en grande partie remboursé son appareil de production ( locaux et matériel) et pourtant même avec un taux de charge moyen qui prend en compte ces paramètres, les soins sont déficitaires.

Avant de mettre en-avant l'âge du capitaine les tarifs doivent refléter les coûts de production.


Orezza gazeuse verre litre ocoxey - Eugenol
casa

16/10/2014 à 16h02

MOA je dis des conneries , Môa je dis des conneries ... ? Non mais dis donc .... un peu des respect !!!! va falloir revoir la définition du mot "connerie" parce que là aussi on est pas d'accord !


Little shop of horrors brzqjx - Eugenol
chatondecarte

16/10/2014 à 16h14

casa écrivait:
--------------
> MOA je dis des conneries , Môa je dis des conneries ... ? Non mais dis donc
> .... un peu des respect !!!! va falloir revoir la définition du mot "connerie"
> parce que là aussi on est pas d'accord !


Ah merde.... on en est arrivé là au niveau de l'argumentaire??


Capture d  cran 2015 03 12 12.28 - Eugenol
chicot29

16/10/2014 à 16h18

enlaye écrivait:
----------------
> une grosse inconue:(combien faut il gagner pour etre heureux!!??)

Ca j'en sais foutre rien. Ce que je sais par contre c'est que plus ton patrimoine grossit, plus tu es emmerdé dans ce pays foutu et a tous les niveaux, a commencer par l'ex mari de ta femme qui te fait chier ! ( 10 ans après ton patrimoine atterrit sur le bureau d'un juge pour une histoire de garde alternée).


Orezza gazeuse verre litre ocoxey - Eugenol
casa

16/10/2014 à 16h31

Mince chicot , t'as divorcé .. oh ben m'en voilà toute retournée , normal pour un lapin de 6 semaines tu me diras .. (j'avion pas lu ! petit cachottier !) c'est sur un lapin de 6 semaines contre un loup de quelques années ça fait pas le poids , je rentre dans mon clapier ! tu vois chatonde... j'ai plus d'argument là !


Little shop of horrors brzqjx - Eugenol
chatondecarte

16/10/2014 à 16h55

casa écrivait:
--------------
> Ca ce n'est pas une levée d'opposabilité .. parce que ce sera toujours remboursé
> 30 par contre les prix de ton compo dependront de ....allez je vais mettre
> "l'âge du capitaine" et c'est là que l'histoire recommence ... tu libères les
> prix... tout s'envole ...Ce que tu réclames est une augmentation des tarifs de
> soins et là tu vas pas trouver grand monde contre ..à part le payeur .. c'est à
> dire nous en fait ... heu..... tu me suis ....

C'est exactement ça une levée de l'opposabilité!! Le prix dépend du praticien (sa compétence et son plateau technique) le remboursement secu est fixe.

Quelques post plus haut ameli avance l'argument que libérer les prix ouvre la voie au low cost. Toi c'est l'envol des prix. Essayez de vous mettre d'accord.

Je pense que tu estimes sincèrement que 29€ est un juste prix pour un compo. C'est là que je trouve les choses inquiétantes. Réalises tu tes compo dans les règles? Souhaites tu seulement pouvoir le faire (veux tu te former pour ça)?

Si les tarifs deviennent libres, est ce que ta pratique changera? Pose toi juste cette question. Si la réponse et oui c'est que tes choix thérapeutiques sont influencés par le système secu et non par la maladie.


Little shop of horrors brzqjx - Eugenol
chatondecarte

16/10/2014 à 16h56

Et franchement j'attends toujours un seul argument de n'importe qui, qui m'expliquerait pourquoi un compo à 100€ remboursé 30 serait moins accepté par le patient qu'une ccm à 600€ remboursé 75.

Un seul argument qui ne soit pas une idéologie de merde.
Ameli a même le droit de participer.


Little shop of horrors brzqjx - Eugenol
chatondecarte

16/10/2014 à 17h07

casa écrivait:
--------------
> Merci chicot pour ton auto évaluation et le mienne (non?)en conséquence mais qui
> t'empêchera de faire de la merde à prix fort ... et si t'es sympa et beau
> parleur tu pourras même refaire ta merde 5 ans après ... pfff .

En gros de la merde au prix fort c'est scandaleux et de la merde à bas prix c'est acceptable??

Comme quoi c'est vrai que la meilleure réponse à un piètre argument c'est de le laisser se développer.
On parle de la santé des gens. Faire de la merde n'est pas une option. Même gratuitement.


Capture d  cran 2015 03 12 12.28 - Eugenol
chicot29

16/10/2014 à 17h25

Pour l'instant je me contente de faire en sorte que les patients soient bien remboursés c'est pas forcément tout le temps l'indication clinique ( quoique ici ca l'était) mais ca va faire hurler les adeptes du no post no crown ( je me demande d'ailleurs comment il font pour faire accepter leurs devis avec notre nomenclature de merde).
Ici par exemple ic à 200 % ( mut ss 200 %) Et ceram à 400 %. Seul reste à charge 107,5 euros sur la molaire qui est remboursée à 300 % ( dents postérieures)
Les provisoires sont offertes -)))
Ca reste effectivement une dentisterie agricole.
une heure de rdv de a à z. Ca amortit la perte de temps des endos.

2 zsbg5c - Eugenol
3 pu11rd - Eugenol
1 dg8mjl - Eugenol

Orezza gazeuse verre litre ocoxey - Eugenol
casa

16/10/2014 à 17h57

@ chaton : tu trouves personne pour te contredire , donc tu as raison ... chapeau bas ! et pour répondre à ta question je soigne les patients du mieux que je peux et je ne tiens compte d'aucune autre donnée ... tu arrives à comprendre ça ? j'ai été élevée comme ça ..un petit lapin de 6 semaines, mais je suis jeune tu sais , je risque de me faire bouffer pas des méchants loups , j'en conviens ! quant à la théorie des prix qui flambent ... et bien ameli et moi on se rejoint ... les prix flambent , la concurrence arrive les méchants loups flairent le bon coup et hop au revoir le petit chaperon rouge ! malin ce loup, comme chicot , t'as vu son dernier cas ? un champion toute catégorie , il donne toutes les recettes de la réussite , y'a plus qu'à suivre le mode d'emploi ! et tous les jours t'as un exercice d'application !
Ps : tu l'aurais couronnée cette 6 ? non hein ..? trop tendre , tu es ....et puis les remboursements mutuelles , tu ne sais même pas combien elles remboursent toi ? non ? si ? voilà les bonnes questions à se poser ! Suis le maître !


sloop

16/10/2014 à 18h23

je ne vois ce que l'on peux reprocher a chicot29, j'aurais fait idem .


Little shop of horrors brzqjx - Eugenol
chatondecarte

16/10/2014 à 18h25

casa écrivait:
--------------
> @ chaton : tu trouves personne pour te contredire , donc tu as raison ...

Si si, je t'ai trouvé pour me contredire. Par contre vu que tu es incapable d'avancer le moindre argument qui le donnerai tord, alors oui, j'ai raison.


> chapeau bas ! et pour répondre à ta question je soigne les patients du mieux que
> je peux et je ne tiens compte d'aucune autre donnée ... tu arrives à comprendre
> ça ? j'ai été élevée comme ça ..un petit lapin de 6 semaines, mais je suis jeune
> tu sais , je risque de me faire bouffer pas des méchants loups , j'en conviens !

Vraiment? Pas de compromis? La digue sur toutes les endos? La digue sur tous les collages? Double fil de rétraction pour chaque couronne? Jamais de couronne sur des dents qui aurait pu être restaurées par compo ? (au moins la moitié des dents couronnés habituellement). Jamais d'inlay core ? (Inutile 9 fois sur 10). Le tout au tarif opposable? Sans jamais côter 3 faces au lieu de 2? Sans côter un sc12 pour avoir gratter 5 min la face linguale de 4 dents?

Tu fais chier avec ton lapin de 6 semaines. C'est pas moi qui t'ais traité de ça. CC'et sûr que c'est plus simple de tout tourner à la dérision.


> quant à la théorie des prix qui flambent ... et bien ameli et moi on se rejoint
> ... les prix flambent , la concurrence arrive les méchants loups flairent le bon
> coup et hop au revoir le petit chaperon rouge ! malin ce loup, comme chicot ,
> t'as vu son dernier cas ? un champion toute catégorie , il donne toutes les
> recettes de la réussite , y'a plus qu'à suivre le mode d'emploi ! et tous les
> jours t'as un exercice d'application !


Bien sûr chicot applique la recette pour survivre dans le système que TU défends. Je suis sur qu'il préférerait gagner sa vie en stratifiant des compo sous digue plutôt qu'en passant des dents au taille crayon.
mois je te prouve par A + B que l'opposabilité des soins est la plus grosse connerie qu'on peut trouver dans le système de santé car il pousse vers le plus invasif. Toi tu ne veux même pas essayer de comprendre quelque chose d'aussi simple.


> Ps : tu l'aurais couronnée cette 6 ? non hein ..? trop tendre , tu es ....et
> puis les remboursements mutuelles , tu ne sais même pas combien elles
> remboursent toi ? non ? si ? voilà les bonnes questions à se poser ! Suis le
> maître !


Mais comment tu veux que je sache si je l'aurais couronnée cette dent?? Je l'ai pas vu avant la préparation. Je travaille essentiellement en no post no crown (ce qui me coûte suffisement cher chaque jour pour être irrité lorsque tu sous entends que mon unique but est de faire du chiffre) donc j'aurais tendance à dire que j'aurais pas couronné. Mais en vrai je ne peux pas savoir avec ces photos.

Et la technique pour gagner sa vie dans le système actuel je la connais parfaitement pour l'avoir pratiqué mes 4 premières années d'exercice. Puis j'ai découvert le travail des kouby, attal, tirlet, magne etc... et là impossible de revenir en arrière.


Capture d  cran 2015 03 12 12.28 - Eugenol
chicot29

16/10/2014 à 18h33

casa écrivait:
--------------

> Ps : tu l'aurais couronnée cette 6 ? non hein ..? trop tendre , tu es ....et
> puis les remboursements mutuelles , tu ne sais même pas combien elles
> remboursent toi ? non ? si ? voilà les bonnes questions à se poser ! Suis le
> maître !

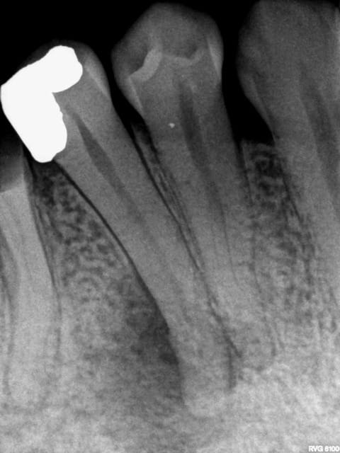
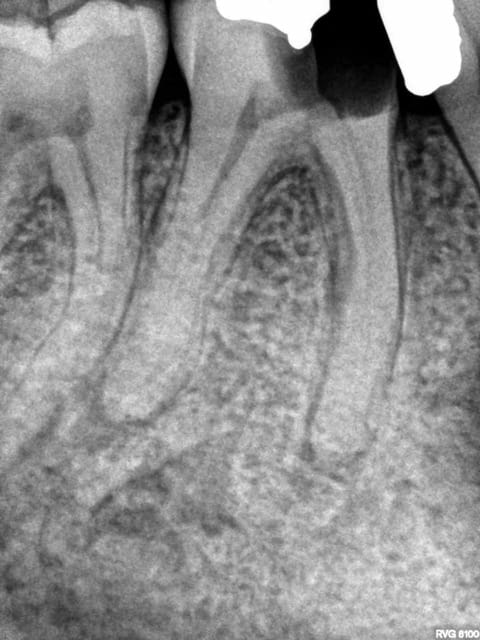
Les radios initiales quand meme. Pour les adeptes des soins conservateurs opposables. -))))
Pas la peine d'inventer de la prothèse elle est servie sur un plateau. -))))

1 iwwonp - Eugenol
2 ljgiht - Eugenol

Orezza gazeuse verre litre ocoxey - Eugenol
casa

16/10/2014 à 18h57

Je vois que ça énerve ce que je dis ... faut pas tu sais .. je n'en vaux pas la peine ! encore une fois prends exemple sur chicot et tout ira bien pour toi , praticien , parce que en tant que patient je suis moins sure , j'aurais peur qu'elle pète cette 6 et là ça fait un mal de chien ! et puis elles ont de pêches ces dents , ouille ouille ouille !
Au fait c'est quoi le no post no crown ? tu postes pas sur eugenol , tu peux pas faire de couronne ? !!!! faut vraiment que je me recycle moi , tu me conseilles quoi : Robuchon , Ducasse ou Veyrat ?


Little shop of horrors brzqjx - Eugenol
chatondecarte

16/10/2014 à 19h12

casa écrivait:
--------------

> faut vraiment que je me recycle moi , tu me conseilles
> quoi : Robuchon , Ducasse ou Veyrat ?

Je te suggère plutôt la poubelle jaune.


1...111213