Cookie Consent byPrivacyPolicies.comCone Beam Carestream CS 8100 3D - Eugenol

Cone Beam Carestream CS 8100 3D

Loukoumparisien

08/10/2014 à 15h25

Pratiquant la chir exclusive, je vais incessamment sous peu acquérir une CS 8100 3D et voici les infos que j'ai pu récolter:

- fabriquée en France près de Marne la Vallée
- gabarit ultra réduit par rapport à la CS 9000
- poids léger (structure aluminium)
- pano en 12sec et reconstruction mode scan en 2.5mn
- prix de 60 000 TTC ( "offre ADF 2014")
- machine CAD CAM compatible (possible de scan d'une empreinte et envoi à une machine outil pour réalisation de la prothèse)
- possible prise en 8*9 4*4 5*4 8*5
et on reste sur du 75 micro en précision pour du 4*4

si quelqu'un a des infos supplémentaires ou bien des retours sur cette machine n'hésitez pas
merci d'avance!


129 fucieh - Eugenol
rs4

08/10/2014 à 18h40

étant donné les retours ici sur caretream, j'y reflechirai bien à 2 fois

mois j'ai choisi morita et j'en suis bien content :)


G-P

08/10/2014 à 19h02

Je te conseille morita ou planmeca.


Morgan ztbb1b - Eugenol
BONNET jc

08/10/2014 à 19h09

J'ai vu le logiciel de Sirona qui a l'air facile d'utilisation pour les implants mais je ne connais pas les autres.


Loukoumparisien

08/10/2014 à 21h00

j'ai entendu sur eugenol pas mal de critique sur le SAV mais à ce jour tout mon matos de radio (long cone pano et développeur cs7600) fonctionne bien et le sav est correctement fait par mon installateur

il est vrai que l'installateur avec qui je travaille ne fait que du carestream et n'a pas d'autres marques pour le cone beam

quels sont les prix de planmeca et morita aujourd'hui?


X ray 03 medium zvq18j - Eugenol
cyber_quenottes

08/10/2014 à 22h43

des retours kodak carestream

ha ca oui il y en a


et je peux te dire qu'ils te laissent bien dans la merde

et c'est pas d'hier

un exemple peu connu ?
les bras trophy des vieux tubes radios ont fait l'objet d'une declaration de vice caché

carestream l'a dévoilé en disant "de toutes façons on ne les fabrique plus mais on vous fait un geste sur du matos neuf"


mais le matos neuf quand il va lacher ???

kodak = carestream = de la merde = sav 0


3f3boxni50k58rq7e9ce9ddqrxgk - Eugenol
dentiste57

08/10/2014 à 22h54

si tu fais de la chir exlusive, tu ne devrais même pas te poser la question.
pour ma part c'est morita et il n’existe aucune machine sur le marché qui l'égal.
le prix est certes un peu élevé, mais si c’était à refaire, je n'hésiterai pas une seconde à me racheter la même, même avec 10.000 de plus!

ensuite vient planméca avec son lot d'artéfacts vis a vis du métal... mais reste une bonne machine bien que son champ 8*8 soit pour moi trop petit par rapport à morita avec un champ de 10*8.

loin, très loin dernière vatech et ses prix attractifs (il n'y a que ça de bien d'ailleurs)

pour carestream,... j'y toucherai pas pour rien au monde.


G-P

08/10/2014 à 23h40

Le morita il est a 90k mais le planmeca est a peine plus cher que ton carestream


Morgan ztbb1b - Eugenol
BONNET jc

09/10/2014 à 12h59

cyber_quenottes écrivait:
-------------------------
> des retours kodak carestream
>
> ha ca oui il y en a
>
>
> et je peux te dire qu'ils te laissent bien dans la merde
>
> et c'est pas d'hier
>
> un exemple peu connu ?
> les bras trophy des vieux tubes radios ont fait l'objet d'une declaration de
> vice caché
>
> carestream l'a dévoilé en disant "de toutes façons on ne les fabrique plus mais
> on vous fait un geste sur du matos neuf"
>
>
> mais le matos neuf quand il va lacher ???
>
> kodak = carestream = de la merde = sav 0


L'avantage d'un Eugenol ouvert à tous c'est ton message trés clair et en connaisseur,(en en réponse à un de tes précédents blogs, sur un Eugenol fermé).


alex33

09/10/2014 à 13h18

Loukoumparisien écrivait:
-------------------------
> Pratiquant la chir exclusive, je vais incessamment sous peu acquérir une CS 8100
> 3D et voici les infos que j'ai pu récolter:
>
> - fabriquée en France près de Marne la Vallée
> - gabarit ultra réduit par rapport à la CS 9000
> - poids léger (structure aluminium)
> - pano en 12sec et reconstruction mode scan en 2.5mn
> - prix de 60 000 TTC ( "offre ADF 2014")
> - machine CAD CAM compatible (possible de scan d'une empreinte et envoi à une
> machine outil pour réalisation de la prothèse)
> - possible prise en 8*9 4*4 5*4 8*5
> et on reste sur du 75 micro en précision pour du 4*4
>
> si quelqu'un a des infos supplémentaires ou bien des retours sur cette machine
> n'hésitez pas
> merci d'avance!
>

Je me renseigne aussi de mon cote'. A 60 ke tu n'est pas loin d'avoir la panmeca, idem piur instrumentarium dont j'aurai l'offre adf sous peu. Je suis les propos des collegues au sujet de carestream kodak, sav tres moyen, mon installateur ne l'a propose meme plus, que ce soit en 2d ou 3d. Pour vatech tu as eu un prix ou pas?
Element supplementaire, kodak offre une garantie 1 an, planmeca 5 et instrumentarium 5 +2 il me semble, parametre non negligeable sur ce type de machine.


roy1

09/10/2014 à 13h50

On me propose CS 8100 3D 60ke, garantie 5ans avec mises à jour, et la planmeca 67ke, garantie et mises à jour 3 ans


Mario ycg44a - Eugenol
Mario180

09/10/2014 à 14h05

Il y a eu quelques histoire avec carestream qui en ont laissé sur le carreau.

Maintenant pour le sav courant et non exceptionnel, pas de souci, et le matos fonctionne bien, pour ce que je peux en dire personnellement.

Auprès des radiologues, le matériel carestream est (pour les 2 avis que j'ai pu obtenir) plutôt bien considéré.

Cela n'est pas le cas du matériel planmeca, dont les résultats étaient (en 2013 lorsque je me suis équipé) nettement en dessous.

Voilà sur carestream : bon clichés, bon matériel (c'est comme en implanto ou en automobile, chacun aura un jour son histoire sombre).

Pas un jour n'est passé où j'ai regretté.


Image r6habu - Eugenol
Thomas Crown

09/10/2014 à 14h40

Heu.. vous m'inquiétez un peu ..
Je dois passer commande d'un capteur 5100 Carestream demain..
C' est pareil pour la qualité et le sav??
nul= zéro??


damienB

09/10/2014 à 16h04

j'ai eu une des première RVG Trophy (celle avec la boite à pizza comme PC !): RAS pendant au moins 15 ans.

j'ai un CBCT kodak 9000 3D depuis 2010 : aucun problème depuis l'installation.

j'avais hésité avec le planmeca à l'époque, je ne regrette pas du tout.
le seul bémol : le logiciel d'analyse qui est moins ergonomique qu'un véritable logiciel de planification comme le nobel clinician par exemple.
pour les cas pointus, j'importe les dicom dans nobel clinician et le tour est joué ;-)


129 fucieh - Eugenol
rs4

09/10/2014 à 21h18

quand on achete une pano 3D pour de nombreuses années

on ne regarde pas 60000 ou 65000

la différence de leasing est minime entre les 2 prix

priorité à la qualite de la machine et donc de l'image


Mario ycg44a - Eugenol
Mario180

09/10/2014 à 22h09

Thomas Crown écrivait:
----------------------
> Heu.. vous m'inquiétez un peu ..
> Je dois passer commande d'un capteur 5100 Carestream demain..
> C' est pareil pour la qualité et le sav??
> nul= zéro??

Non, lis-moi : qualité d'image excellente, et matériel sans problème en 1 an (encore heureux).

Je trouve le logiciel bon : plutôt intuitif, refilable par cd à un correspondant, bibliothèque d'implant tres vaste et de bonne qualité.

Le logiciel planmeca est anti-intuitif, à la limite de l'utilisable : rien à voir faut essayer.

Damienb : t'as les maj ? Le logiciel évolue bien.


bf

09/10/2014 à 23h19

propriétaire de2 capteurs rétro alv 6100 KODAK et un CBCT KODAT 9300

à ce jour 0 pbs
le seul bémol :service commercial nul

mais bon une fois la machine vendue , les autres boites sont peut être identiques


damienB

09/10/2014 à 23h37

Mario180 écrivait:
------------------

>
> Damienb : t'as les maj ? Le logiciel évolue bien.

ça fait un moment que je les ai pas faites (je suis en 3.1.9).
tu as raison, je vais me renseigner. merci du tuyau.


Aiguille cyboyt - Eugenol
fatboy

10/10/2014 à 10h55

J'ai le cbct carestream 9000 acheté en 2012.
Je suis très très déçu. le champ en 5x5 est petit mais acceptable. La qualité des images est moyenne en pano et en CBCT,le problème c'est les artefacts du métal qui en rendent pas mal complètement illisibles.
Le capteur m'a lâché en septembre, devis 12000E.
J’hésite vraiment a le remplacer, surtout quand certains patients m’amènent des scans faits avec instrumentarium ou morita.


Mario ycg44a - Eugenol
Mario180

10/10/2014 à 15h08

fatboy écrivait:
----------------
> J'ai le cbct carestream 9000 acheté en 2012.
> Je suis très très déçu. le champ en 5x5 est petit mais acceptable.

Ca c'est pas une surprise...

La qualité
> des images est moyenne en pano et en CBCT,le problème c'est les artefacts du
> métal qui en rendent pas mal complètement illisibles.

J'en connais pas qui font pas d'artefacts avec le métal (sauf à appliquer une moulinette informatique qui dégrade forcément la précision, genre vatech)


> Le capteur m'a lâché en septembre, devis 12000E.

C'est pas de bol. Ca fait pas partie des griefs contre carestream, la fiabilité du capteur du 9000 ?

> J’hésite vraiment a le remplacer, surtout quand certains patients m’amènent des
> scans faits avec instrumentarium ou morita.

En fait c'est ça : faut comparer, et s'assurer que le revendeur est quelqu'un de connu et fiable pour la maintenance. Point barre.

Les querelles de clocher entre cette marque c'est de la camelote et ça c'est top,... j'y crois guère : faut palper la bête, et une fois à la maison, fini les comparaisons : on est juste content.


Mario ycg44a - Eugenol
Mario180

10/10/2014 à 15h11

damienB écrivait:
-----------------
> Mario180 écrivait:
> ------------------
>
> >
> > Damienb : t'as les maj ? Le logiciel évolue bien.
>
> ça fait un moment que je les ai pas faites (je suis en 3.1.9).
> tu as raison, je vais me renseigner. merci du tuyau.

Suis en 3.3.9

J'avais encore la semaine dernière une 3.2.x, et je pestais contre l'informaticien inconpétent qui m'avait rétrogradé alors que ça marchais nickel avant.

bcp plus rapide au chargement, en fonctionnement, et sans bug notable.


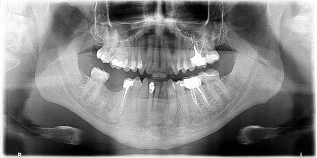
Aiguille cyboyt - Eugenol
fatboy

18/10/2014 à 08h26

Pano avec le kodak 9000
Le patient est bien placé, il n'a pas bougé, et pourtant c'est inexploitable.

P1 ozmdre - Eugenol

Sierra Tango

18/10/2014 à 10h47

fatboy écrivait:
----------------
> Pano avec le kodak 9000
> Le patient est bien placé, il n'a pas bougé, et pourtant c'est inexploitable.
Si je peux me permettre fatboy ton patient n'a pas la langue au palais sur ton cliché, erreur très répandue qui est responsable du large dôme sombre qui s'étale entre le dos de la langue et le palais osseux. Demande au patient de 'sucer' la tige sur laquelle il mord (je te laisse libre de trouver la formule verbale qui convient et ne le fera ni rougir ni éclater de rire...), cela permet en général de lui faire plaquer la langue au palais correctement et la lecture de la région apicale est nettement améliorée.
Cela dit, dans mon cabinet précédent javais moi aussi une pano Kodak qui m'avait beaucoup déçue. Le cliché que tu présentes là étant quasiment le top de ce que j'arrivais à obtenir. Leurs capteurs RVG étaient par contre très bons.


folofrine

07/11/2014 à 11h28

Cet exemple de pano 9000 est en train de me refroidir sévèrement.
Je sais que la pano 8000 est la pire de tous les temps en termes de qualité d'image...
J'avais prévu l'achat de la 8100 3D car seule elle et la planmeca ne rentrent dans le local que j'ai crée pour.
Comme la planmeca crache trop de rayons mon choix s'est porté sur la 8100 3D.
Quelqu'un d'entre vous aurait il la grande bonté de diffuser un ou 2 clichés panoramiques de la 8100 3D?
Merci par avance.


78bp

11/11/2014 à 13h52

Bonjour,

Le cone beam Morita est très compact (100 x 130, rotation comprise)

Slt


12...