Cookie Consent byPrivacyPolicies.comPalais femme enceinte + hygiène inexistante - Eugenol

Palais femme enceinte + hygiène inexistante

Erasmus2 n92rjx - Eugenol
Lancel

10/10/2014 à 23h09

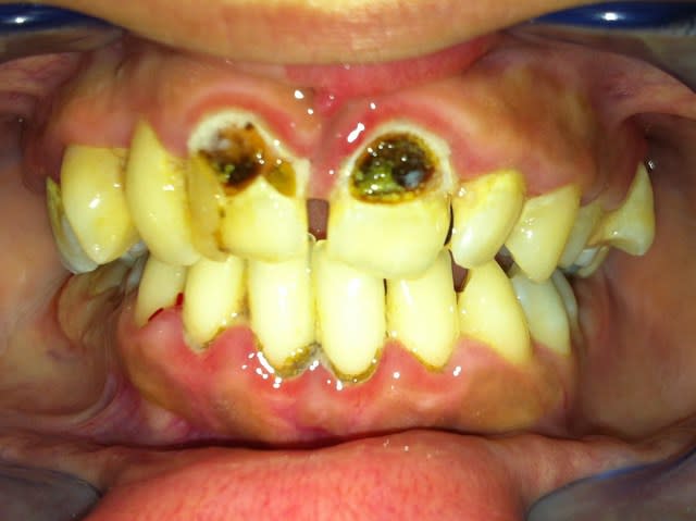
Bon, les photos suffisent.
Cash, la patiente a avoué ne pas se brosser les dents. Du tout.
Enceinte de 6 mois de son 3e à 21 ans.
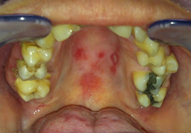
Elle vient pour "la grosse aphte au palais" qui lui fait mal.
Des idées?

NB : tabac : 1,5 paquets/jour

Img 3796 rhpa3s - Eugenol
Img 3799 ab7etp - Eugenol
Img 3801 brs1wq - Eugenol
Img 3802 tmlfu1 - Eugenol

doagui

10/10/2014 à 23h30

Lancel écrivait:
----------------
> Des idées?


Un sermon et un coup de pied au cul.

Si le dentiste ne lui met pas les points sur les I, qui va le faire ?

Ne rien dire c'est accepter et c'est de la non assistance à personne en danger, si pas elle au moins ses enfants qui auront cet exemple de chiotte pour référence.

Hormis ça j'ai pas trop d'idée sur ce que ça peut être. Tu peux tenter de prescrire du hyalugel, ou bien tu peux être plus pessimiste et l'envoyer au centre hospitalier le plus proche pour vérifier que c'est pas plus grave que ça n'en a l'air... Après tout c'est pas impossible étant donné le profil (tabagisme +++).


Nouveau image bitmap fz77zh - Eugenol
Sethef

10/10/2014 à 23h35

-c'est dégueulasse
-antibios+bdb+brosse à dent
-gestion des urgences jusqu'à l'accouchement
-puis tu lui couronnes les 2 arcades, mon petit doigt me dit que ça ne devrait pas lui revenir trop cher.

Si t'as la flemme, tu l'envoies à la mutuelle la plus proche et tu la revoies dans 10 ans pour le complet haut et bas. Il est probable qu'à ce moment là, elle te dira que quand même, le dentiste c'est cher, et pourquoi les implants c'est pas pris en charge par la carte verte?


Erasmus2 n92rjx - Eugenol
Lancel

10/10/2014 à 23h52

Non j'ai pas la flemme. J'aimerais ne pas la perdre de vue parce que j'ai une bonne activité en pedo et y'a 3 gamins en jeu là...
J'ai cru comprendre qu'elle avait vu déjà plusieurs confrères avant d'arriver chez moi qui pouvait pas la toucher parce enceinte... (De ses dires)
Aujourd'hui j'ai fait un "déplaquage" et j'ai fait les photos et après on a parlé pendant 20 minutes.
Contrat : elle se brosse les dents, elle vient à l'heure, a tous les rendez-vous.; et moi je lui fais des soins et des prothèses après son accouchement en attendant on temporise les urgences.
Je la revois la semaine prochaine. Si c'est de nouveau degeu, elle est prévenue, c'est dehors.

Oui c'est du 100% sécu. Mais bon les brosses a dents c'est pas encore remboursé dans le pack CMU c :)


Nouveau image bitmap fz77zh - Eugenol
Sethef

11/10/2014 à 00h05

Bon ben on voit les choses de la même manière alors.
J'ai quelques cas dans le même genre qui ont bien fonctionné, d'autres que je n’ai jamais revus. C'est pour ça qu'il faut à mon sens bien poser les choses dès le premier rendez vous.

A ce stade là, elle a encore toutes ses dents, il est possible de faire quelque chose de fiable si l'hygiène suit. J'ai la couronne facile dans ce genre de boulot.


Nouveau image bitmap fz77zh - Eugenol
Sethef

11/10/2014 à 00h11

Récemment, j'en ai eu une dans le même état, envoyée par une connaissance, pas cas soc', sa 36 à ex la gênait mais le reste ça va, merci, si on pouvait ne pas toucher ce serait bien. Dans ce cas, la barrière est psy, et je pense ne jamais la revoir.
A l'inverse, des cas comme le tien, des fois personne n'a jamais songé à leur dire qu'il faut se frotter les ratiches. Tu leur dis, ils se motivent, et sont hyper assidus par la suite. Y compris pour les mouflets, parce que surtout, ils n'ont pas envie qu'il leur arrive la même chose.


Capture d  cran 2015 03 12 12.28 - Eugenol
chicot29

11/10/2014 à 00h19

Des fois je me dis que c'est parce que les soins opposables sont à un tarif de merde qu'on les voit arriver dans cet état.


Erasmus2 n92rjx - Eugenol
Lancel

11/10/2014 à 00h47

J'ai un très mauvais souvenir de la dernière fois ou j'ai passé un "pacte d'hygiène" avec une patiente. Elle était venue pour une pulpite. J'ai géré la pulpite durant cette première consult et après on a parlé. (Sa vie, sa depression, son rsa .... J'ai écouté et j'ai rassuré en mettant les points sur les i concernant l'hygiène)
Rdv d'après, elle vient pas... Grosse déception pour moi.
La semaine après elle reprend un rdv encore en urgence. La secrétaire cède. Je la revois et là elle a été odieuse avec moi quand je lui ai demandé le pourquoi du lapin de la semaine d'avant. "Je lui ai fait mal avec la piqure, j'ai osé lui dire qu'elle avait des dents a faire peur, ça se dit pas, je lui ai même pas donné de brosse a dent." ....
Je l'ai dirigée vers la porte de sortie.
Elle a vociféré des insultes jusque dans la rue.

j'ai la tête qui me dit que ce cas là, ça va être pareil et le cœur qui me dit de lui laisser sa
Chance.

Bon , pour son palais ça a l'air d'une grosse aphte, je lui filerai du hyalugel si elle revient.

La santé ça se mérite.


Darmon - Eugenol
Latin

11/10/2014 à 00h50

Tu lui fera son ttt Ortho aussi parce que du point de vue occlusal c'est pas la joie.

Mais j'ai comme la petite idée que le non pris en charge ne sera pas au programme. Ce qui ne semble pas lui poser de problème pour financer ses 30 cigarettes par jour.

Malheureusement pour ses enfants en bas âge et celui a venir il ne faut pas se faire trop d'illusion quand on a une mère aussi cradingue.

D'ailleurs c'est étonnant que la sélection naturelle ne joue pas plus son rôle, ca serait pas plus mal d'ailleurs pour ses gosses et la société en général. Je n'ose même pas imaginer comment on peut procréer quand on a une bouche pareil. Elle a sûrement des secrets cachés.

Fin de la médisance, mais je dis tout ça parce que j'en ai vu plein des comme ça et parfois on arrive à saturation.

Il y en a quand-même pour lesquels j'ai réussi à tout remettre en état, ce qui est plaisant, même si le plus dur c'est de les faire venir 10 semaines d'affilé quand il faut absolument tout (re)faire

Pour revenir a la lésion palatine et pour ne pas uniquement poluer le fil de discussion, j'ai justement vu la même cette semaine (le reste était nickel par contre). Est-ce que ça peut être l'évolution d'une lésion érosive? (Je ne développe pas). Des avis?


malaire

11/10/2014 à 01h11

Malheureusement, j'ai bien peur qu'elle ne fasse rien une fois l'urgence soulagée.
J'ai toujours été déçu quand je me suis investi avec ces patients 'négligents', à une exception près quand même.

Bon courage.



PDF

11/10/2014 à 01h18

je pense que cette jeune femme s est peut être droguée et doit avoir des addictions (coca et autres) perso 3 eme enfant à 21 ans et ce tableau clinique fleure bon une jeune fille paumée.....
perso je l adresserai à un dermato ayant de bonnes connaissances des lésions buccales car peut être pourra t il avoir moins de mal à enquéter sur son mode de vie et ses antécédents !


levm

11/10/2014 à 03h26

Ca ne sert à rien d'etre attaché aux dents d'un patient plus que ce dernier.
Tu fais ton boulot , tu expliques qu'elle va finir avec un berlingot payé par la CMU (paslifix.... ca se dit comme cà en CMU) si elle ne fait rien .
T as certains qui changent et qui sont pret à revoir une brosse à dent comme un vieil ami qu'on a pas vu depuis 5 ans .
Et beaucoup d'autres , une fois la douleur passée , reviennent pour la prochaine douleur .
Faut voir le coté positif , ca fera du travail pour les ouvriers dentistes made in pessoa.


Darmon - Eugenol
Latin

11/10/2014 à 09h59

NkIE écrivait:
--------------

> http://jonhson63.free.fr/M%C3%A9decine/atlas%20de%20maladies%20buccales/04%20Blessures%20m%C3%A9caniques.pdf

Fig.71 à laquelle NkIE fait référence.

Fig 71 fh1pcg - Eugenol

Erasmus2 n92rjx - Eugenol
Lancel

11/10/2014 à 10h10

Oui c'est fort ressemblant... Sigh... Il faut supprimer la cause traumatique....


Scrapbook clip 1413011007111 u97r3d - Eugenol
Frisou31

11/10/2014 à 11h25

Brulure ou herpes?.Le probleme, cest la grossesse+aciclovir, cf avec un homeopathe, Ça marche sur le chronique, mais vu la négligence...


 mg 0207 xwjxcl - Eugenol
Tillc

12/10/2014 à 11h17

Tiens poste sur ce groupe. Tu auras plein de spécialiste a porté de click
https://www.facebook.com/groups/358494870928319/