Cookie Consent byPrivacyPolicies.comreciproc ou wave one ? - Eugenol

reciproc ou wave one ?

dentilove

13/10/2014 à 12h03

Bonjour à tous,

pourriez me donner vos retours d'expérience concernant ces deux systèmes. Je suis au protaper et j'en suis assez content à part le fait que la séquence est un peu longue...

Merci


dent2669

13/10/2014 à 12h34

Après une formation d'endo au cours de laquelle j'ai pu essayer le wave one (réciprocité) et le one shape (rotation continue) j'ai abandonné les pro-taper pour le wave one et le moteur qui va bien !

C'est un plaisir !! ça dépote un max ! par contre, faut pas oublier de passer du temps à irriguer !

Le moteur X-smart-plus est facile à utiliser et il a les paramètres des pro-tapers pré-enregistrés aussi donc au pire si tu veux terminer tes stocks, ce sera encore mieux !

En gros, je suis bien content du changement !!


Ulysse 31 nono le petit robot tjdbmb - Eugenol
ptitrobot

13/10/2014 à 12h40

dent2669 écrivait:
------------------
> Après une formation d'endo au cours de laquelle j'ai pu essayer le wave one
> (réciprocité) et le one shape (rotation continue) j'ai abandonné les pro-taper
> pour le wave one et le moteur qui va bien !
>
> C'est un plaisir !! ça dépote un max ! par contre, faut pas oublier de passer du
> temps à irriguer !
>
> Le moteur X-smart-plus est facile à utiliser et il a les paramètres des
> pro-tapers pré-enregistrés aussi donc au pire si tu veux terminer tes stocks, ce
> sera encore mieux !
>
> En gros, je suis bien content du changement !!

+1 ^-^


le figou

13/10/2014 à 14h09

dentilove écrivait:
-------------------
> Bonjour à tous,
>
> pourriez me donner vos retours d'expérience concernant ces deux systèmes. Je
> suis au protaper et j'en suis assez content à part le fait que la séquence est
> un peu longue...
>
> Merci

petit investissement mais grand progrès; le protaper next avec 2 instruments tu en fais beaucoup .


G-P

13/10/2014 à 14h27

Le reciproc est mieux que le wave one, mais il faut essayer les deux. Certains préfèrent le wave one.
Le reciproc est beaucoup plus efficace pour les retraitements, mais aussi un peu plus rigide...


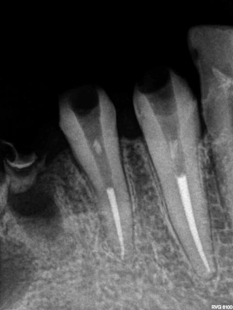
Capture d  cran 2015 03 12 12.28 - Eugenol
chicot29

13/10/2014 à 14h57

Oui pour éliminer la concurrence, le réciproc par sa rapidité d'action est plus indiqué. -))))
Il peut envoyer sa loi à la con le Macron, je suis dans les startings blocs.

Les 4 en une heure et quart pulpec, taille, empreinte, provisoires. Tarif CMU, rentable ! -)))))

4 zvkifx - Eugenol
5 obhiok - Eugenol
7 ix4kkx - Eugenol
8 kloqft - Eugenol
9 sugvfe - Eugenol

Images jm2g2g - Eugenol
dr_0le

13/10/2014 à 15h09

chicot29 écrivait:
------------------
> Oui pour éliminer la concurrence, le réciproc par sa rapidité d'action est plus
> indiqué. -))))
> Il peut envoyer sa loi à la con le Macron, je suis dans les startings blocs.
>
> Les 4 en une heure et quart pulpec, taille, empreinte, provisoires. Tarif CMU,
> rentable ! -)))))

le petit coup de faucille sur la 45 valait bien 30 balles quand meme =)


Capture d  cran 2015 03 12 12.28 - Eugenol
chicot29

13/10/2014 à 15h47

Je ne suis pas mesquin ! Pour les détails, ce sera réglé au bloc, c'est pas que les dents seront difficiles à enlever, c'est plutot les bombes à retardement sous jacentes le probleme ! -)))))

1 xw6yrt - Eugenol

Images jm2g2g - Eugenol
dr_0le

13/10/2014 à 15h49

oh pinaise.. c'est pire que le l’Irak ton bazar !!


youn

13/10/2014 à 16h27

Reciproc 1000x!!!! Sans comparaison.

Prenez un wave one et un reciproc, pliez les en deux et vous verrez. le reciproc en usage unique ne pète jamais.

Et Chicot, sérieux tu les trouve ou tes patients?..C'est le tiers monde autour de chez toi?


Capture d  cran 2015 03 12 12.28 - Eugenol
chicot29

13/10/2014 à 16h32

Je n'ai meme pas coté un status complet (j'en cote plus aucun d'ailleurs) . Je me méfie des fois qu'il ne soit pas justifié. -))))


Gonzo k0qhwz - Eugenol
matten

13/10/2014 à 17h14

Waveone pedale dans la semoule et reciproq arrache a fond.

Meme impression que de passer du Profile au Mtwo


Capture d  cran 2015 03 12 12.28 - Eugenol
chicot29

13/10/2014 à 17h18

N° 5 aujourd'hui, suivant....... Je ne comprend pas pourquoi certains se plaignent, des couilles en or ce boulot en France . -)))))

2 vo0nfp - Eugenol
3 cjxj6h - Eugenol
4 av1ldm - Eugenol
1 ynzexe - Eugenol

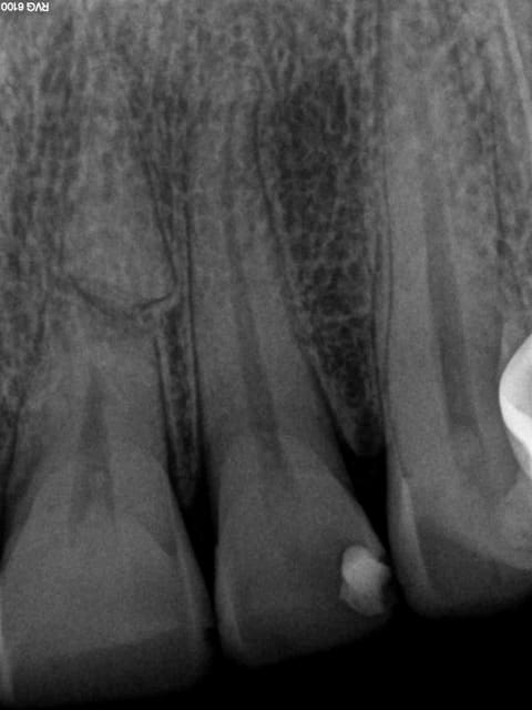
X ray 03 medium zvq18j - Eugenol
cyber_quenottes

13/10/2014 à 17h18

chicot29 écrivait:
------------------
> Je n'ai meme pas coté un status complet

=================
forcement

ca n'existe plus

par contre là tu as bien 14 à 15 secteurs

soit près de 110 € de clichés


Capture d  cran 2015 03 12 12.28 - Eugenol
chicot29

13/10/2014 à 17h22

cyber_quenottes écrivait:
-------------------------
> chicot29 écrivait:
> ------------------
> > Je n'ai meme pas coté un status complet
>
> =================
> forcement
>
> ca n'existe plus

Ben si, 10 radios = status. Ceci dit avec le Z 56 il suffisait d'une radio non justifiée pour le foutre par terre.-)))
J'ai compté 8 secteurs. Ici secteur 42 41 32 31 non justifié. Un secteur justifié montre une pathologie, sinon pas justifié. -))))


Capture d  cran 2015 03 12 12.28 - Eugenol
chicot29

13/10/2014 à 19h09

Bien sur dans les secteurs antérieurs,selon la HAS, jamais les radios ne sont justifiées hors signes d'appels. A l'instant : aucune douleur, ras vous ne trouvez pas. ? -))))

1 rdscif - Eugenol

X ray 03 medium zvq18j - Eugenol
cyber_quenottes

13/10/2014 à 19h22

chicot29 écrivait:
------------------
> cyber_quenottes écrivait:
> -------------------------
> > chicot29 écrivait:
> > ------------------
> > > Je n'ai meme pas coté un status complet
> >
> > =================
> > forcement
> >
> > ca n'existe plus
>
> Ben si, 10 radios = status.
======================
bin non 10 radios = radios de 10 secteurs


chicot29 écrivait:
------------------
Ceci dit avec le Z 56 il suffisait d'une radio non
> justifiée pour le foutre par terre.-)))
> J'ai compté 8 secteurs. Ici secteur 42 41 32 31 non justifié. Un secteur justifié montre une pathologie, sinon pas justifié. -))))

=====================

bin dis donc ils t'ont bien formaté la tête

je savais que t'avais eu des soucis sur ce point mais de là à annuler les clichés sans pathologie

et de 1 : une patho sans radio on la voit comment ?

et de 2 : une radio n'a jamais permis autre chose qu'une "interprétation" d'un cliché
jamais un diag complet qui doit se baser sur autre chose

enfin bref , t'as pas de bol , il y a un cow boy dans l'ouest !


--
--------------------------------------------------
paiement d'astreinte 75 € <= signé + applicable
supplément dimanche 30 € <= signé + applicable

=> pourquoi pas encore appliqué ?
=> quelles sanctions ?
=> Que fait le syndicat signataire ?

format C:\NSD
entrée


Capture d  cran 2015 03 12 12.28 - Eugenol
chicot29

13/10/2014 à 19h30

C'est bien ca basé sur un "signe d'appel" ou d' un "antécédent de soins intensifs"? pas de signe d'appel ni de "soins intensifs" pas de cotation ( pour une rétro alvéolaire bien sur, les rétro coronaires c'est différent ) , a moins bien sur que la radio non justifiée ne montre une pathologie (voir ci dessus) .
On est d'accord ? Sinon tu as encore des progrès à faire dans l'interprétation des textes, une piqure de rappel s'impose ! -))))


4a338550 6a5b 47ea b2a7 d3cb675c5076 oni5gh - Eugenol
fistule69

13/10/2014 à 23h02

Bonsoir Chicot,
Comment tu gères ta préparation sous gingivale sans saignements ?
Merci et à bientôt !
😉


Capture d  cran 2015 03 12 12.28 - Eugenol
chicot29

13/10/2014 à 23h57

Anesthésie, fraise fine, Bistouri électrique + expasyl.

Tapez pas trop fort ! -))))


dentilove

14/10/2014 à 17h33

est ce que tu passes les limes pathfile p1 et p2 comme préconisé par le prospectus protaper next ou as tu une alternative?

Merci


Capture d  cran 2015 03 12 12.28 - Eugenol
chicot29

14/10/2014 à 18h16

S1 pour moi sur endo master à la LT. Limes manuelles exceptionnellement ( notamment en cas de butée sur RTE).


machu

21/10/2014 à 22h53

je viens de faire ma première endo en reciproc, je crois que je suis amoureuse:)

J'avais essayé sur 2 dents sèches avant et franchement en bouche c'est super agréable, ça change beaucoup de la rotation continue et le canal était assez large pour que ça se passe sans difficultés et sans que ça débraye. Je suis super contente, déjà que j'aimais bien l'endo...


aterman

21/10/2014 à 23h24

Axis Sybron...


Bonta mvdcrm - Eugenol
Bracier

08/11/2014 à 20h21

J'hésite moi aussi entre les deux limes. Le reciproc alèse allègrement, mais la lime la plus fine fait du 25/100e en 8% alors que le waveone peut préparer en 20/100e en 6%.
Sur les canaux fins, où les démons de la préparation mécanisée ressurgissent toujours (déplacement d'apex, fractures de racines,etc.), faudrait-il utiliser les deux en complément ? A ce moment comment déterminer si un canal est trop fin ? Si la LK10 est difficile à passer, comme dans 80% des canaux MV ?


--
- ping -t 127.0.0.brain
- ... sending packets ...
- délai d'attente de la demande dépassé
- délai d'attente de la demande dépassé


12