Cookie Consent byPrivacyPolicies.comImpossible de désopturer - Eugenol

Impossible de désopturer

Hollande portrait nu x0motm - Eugenol
DocteurCuir

15/10/2014 à 15h44

Bonjour à tous,

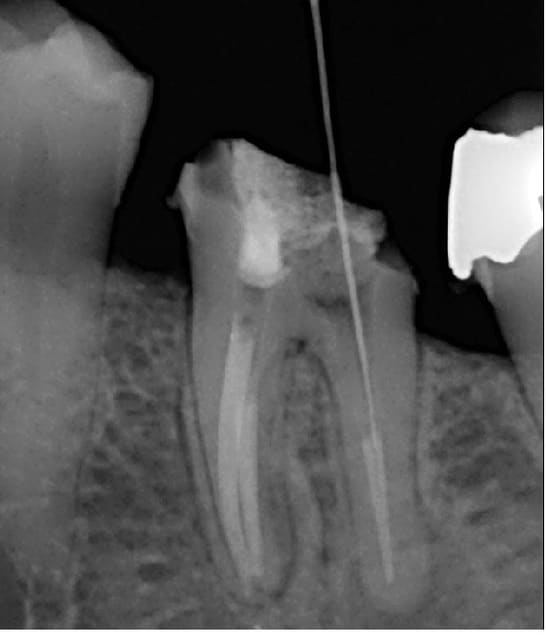
Je me permet de vous demander un conseil; suite à la découverte d'une image sur une 36 je me suis lancé dans la dépose et le retraitement, sauf que je ne progresse absolument pas... J'utilise les protapers de retraitement et rien ne se passe, malgré tous les solvants essayés : essence d'orange, eucalyptus ou rockle's (acétate de dexaméthasone).

Quelles sont les solutions restantes ? amputation, implant ?

La patiente m'a juste dit que ça précédente dentiste a passé plus de 15 heures sur cette dent, il y a 5/6 ans...

D'avance merci

Endogalere2 lsfpkf - Eugenol
Endogalere o7y83x - Eugenol

Utilisateur banni

15/10/2014 à 15h51

Le canal est large, bien droit, avec un ET25 sous contrôle visuel c'est sans problème.


Marque a3 orange fyvhyq - Eugenol
Marc Apap

15/10/2014 à 15h53

1/ Ce n'est sûrement pas avec le genre de lime qu'il y a sur la radio que tu va progresser
2/ Il faut commencer par éliminer toute la pâte/ciment mécaniquement,au dessus du niveau de progression de cette lime
3/ une radio sans digue dans ces conditions, c'est une chance supplémentaire d'ensemencer le canal et d'aggraver encore la situation
4/ il est possible que le canal soit plat et qu'il soit perméable sur le côté et pas au milieu


Morgan ztbb1b - Eugenol
BONNET jc

15/10/2014 à 16h03

Si c'est obturé avec de la "SPAD" (bakélite), tu enduis ton lentulo de vaseline et tu tournes rapidement dans le canal en appuyant un peu; La Spad va se ramollir au bout de 2 à 3 minutes ( parfois plus long- 10 minutes en donnant des mouvements de va et vient). Vieux truc.


malaire

15/10/2014 à 16h06

Comme Neb: inserts ultrasons satelec ET20 ou ET25 + bon éclairage (et si possible aide optique) pour voir où on va et ça devrai passer.

Par contre, le canal est surement ovale ou plat ce qui expliquerait la pêche à cause d'une zone non obturée.
Peut-être aussi un autre canal d'où l'intérêt des aides optiques.
En endo la vision est capitale.

Et Comme Marc Apap: la digue +++

Bon courage.


Edit: en fait je pencherai plutôt pour un delta apical qu'on devine sur la radio.


Utilisateur banni

15/10/2014 à 16h06

Tant qu'à brûler le patient j'y serais allé au fer à souder, histoire d'économiser un lentulo.