Cookie Consent byPrivacyPolicies.comLe cas du 20 décembre - Eugenol

Le cas du 20 décembre

Tooth4ever

15/10/2014 à 17h48

Bonjour à tous, pour changer de la CCAM, un petit cas réalisé.
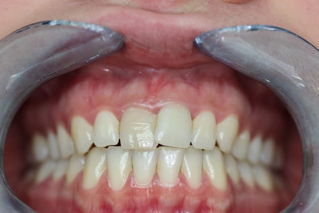
Patiente de 25 ans, qui consulte le vendredi 20 décembre, pour sa dent 21, qu'elle a entendu craquer..
Et pour faciliter la chose, m'explique qu'elle part le 15 janvier pour 8 mois au canada..

diagnostic: 21 fracture horizontale, 11 déjà dévitalisée, suite à une chute de cheval, remontant à ses 15 ans.

Plan de traitement retenu: Extraction implantation immédiate et mise en charge de la 21
puis à son retour: CCC sur 11 et 21, pour réaligner les centrales, et traiter la dyschromie de 11.

Intervention prévue le 2 janvier.
Extraction, implantation, utilisation de la couronne naturelle évidée et rebasée autour d'un pilier provisoire titane.
Chirurgie flapless, et sans suture.
Controle à 10 jours, papille légèrement rétractée.
Controle à 8 mois: papille revenue, mais visibilité du pilier sur 21..
Réalisation des couronnes céramiques, avec mise en place d'un pilier céramique sur base titane pour l'implant.

Merci de vos remarques pour me permettre d'avancer.

11 a9nvl3 - Eugenol
1 rdsimp - Eugenol
3 jroegm - Eugenol
4 y6910d - Eugenol
5 euqslc - Eugenol
6 swj2mj - Eugenol
7 gsbuab - Eugenol
8 kjjrsg - Eugenol
9 qjosfy - Eugenol
10 ogdxiy - Eugenol

tottenio67

15/10/2014 à 19h15

Salut
j'aurai juste une petite remarque pourquoi ne pas avoir gardé le chevauchement initial que je trouve plus esthétique


Tooth4ever

15/10/2014 à 19h23

demande de la patiente, qui voulait en profiter pour réaligner... moi aussi je préférais, parce que du coup on a une asymétrie des centrales, et mois naturel je trouve..
ce que femme veut...


G-P

15/10/2014 à 19h31

Peut-être qu'une provisoire plus en U aurait permis d'avoir une papille plus haute. Il aurait été nécessaire de réaligner les collets également avant de faire la prothèse. Sur la photo le jour de la chirurgie on voit la papille mésiale sectionnée ou c'est moi ?

Les céramiques sont bof, trop grises, forme trop carrée, e.max non maitrisée par prothésiste ?


Amibien

15/10/2014 à 21h36

flapless et sans suture....


Nouveau image bitmap fz77zh - Eugenol
Sethef

16/10/2014 à 00h36

Bon, c'est plus facile de critiquer à posteriori, j'aurais peut-être pas fait mieux.
Effectivement, c'est au stade de la prothèse que ça a merdé à mon sens.
Il aurait fallu:
-aligner les collets
-améliorer largement la morpho et la stratif des cérams, côté prothésiste
-et pourquoi pas un petit stripping sur les latérales, histoire de récupérer un peu de place.

Aucun avis sur la part chir, je laisse ça aux implantos


Images 1 vwmtnm - Eugenol
Castor

17/10/2014 à 21h46

Vous etes dur qd même!
Moi je trouve ça très bien!


Nouveau image bitmap fz77zh - Eugenol
Sethef

17/10/2014 à 22h39

Oui et non. Soyons clairs, j'ai fait des cas bien pires que ça, et pourtant plus simples à la base. Mais je trouve, et c'est valable pour moi aussi, que c'est la critique (constructive) plus que les compliments qui fait progresser, ce qui est tout de même le but.

Mais si ça peut rassurer le tooth4ever, moi je ne pose pas d'implants, donc il est déjà meilleur que moi d'entrée de jeu.

Et merci à tous ceux qui postent encore des cas, la CCAM c'est chiant.


Images 1 vwmtnm - Eugenol
Castor

18/10/2014 à 20h53

Puisqu'il faut faire de la critique "constructive"...plus que le non alignement des collets moi ce qui me pose problème est la forme et la teinte des couronnes (mais ça c'est du ressort du prothésiste)...
Trop carrées, trop grise...
Par contre tu as bien fait de les aligner ;)


Tooth4ever

20/10/2014 à 12h31

Bonjour à tous, merci de vos réponses..

désolé de répondre tardivement, j'étais totalement effondré..

Sans plaisanter, je vais répondre à tout le monde:

1-Flapless et sans suture... effectivement un petit pléonasme.. mais critique très constructive//

2- Alignement des collets: effectivement, j'aurais pu ou du, les aligner, même si le décalage est très mineur quand même. Mais c'est certain, cela aurait du être corrigé. Par contre, la patiente venant de loin, et ayant réalisé le travail total en 4 rdv, je ne sais pas à quelle étape j'aurais pu travailler sur le collet. Mais pour mes prochains cas, je prendrais le temps.

3- La forme des dents: par rapport à la place disponible, vu l'encombrement initial, un stripping des 12 22 auraient certainement arrangé le résultat final. En même temps, la patiente ne voulait déjà pas trop toucher la 11.. il a fallu lui expliquer qu'on avait pas trop le choix, mais j'aurais du toucher les latérales, c'est de ma faute j'assume.

4- teinte des céramiques: la qualité des photos n'est pas un reflet de la réalité, car en vrai, vraiment aucun problème de dent grise.. il faut absolument que j'arrive à corriger mon problème de flash, ou d'appareil. Mais c'est vrai, qu'en y regardant de plus près sur l'ordi, avec les photos publiées, on ne voit pas la stratification.

5- la provisoire en U: j'avoue ne pas avoir saisi l'astuce, peux tu m'expliquer ce que tu entends par la? Merci d'avance.

Sinon, le principal c'est que la patiente soit contente et n'ai pas vu tous les défauts..;)

En tout cas, merci de vos remarques, cela permet d'avancer, et étant au tout début du chemin c 'est important pour moi.