Tous les forums
Migration apicale inexpliquée de la 15!
17/10/2014 à 14h00
Les 2 premières radios datent de 2009, la dernière d'hier.
Patiente de 73 ans, très bon état générale.
L'occlusion est bonne, douleurs modérées à la pression et mobilité type 1-2.
Quelle est la cause de cette migration selon-vous?
17/10/2014 à 14h19
expliqué par le soutien paro faible je pense. en occlusion dynamique rien de particulier? c'est quand même surprenant..
17/10/2014 à 14h46
enlaye écrivait:
----------------
> qu appelles tu migration apicale ?
> la pneumatisation des sinus ?
Non il doit vouloir dire que la dent naturelle s'est enfoncée par rapport aux implants
17/10/2014 à 15h03
ah oui merde j avais pas vu , merci olivier.
entre 2009 et today le bas est le meme?
17/10/2014 à 15h03
Ben avant elle bossait dur , maintenant , elle se repose , ça me parait naturel , place aux jeunes !!!
17/10/2014 à 15h03
enlaye écrivait:
----------------
> qu appelles tu migration apicale ?
> la pneumatisation des sinus ?
Non de la 15, j'ai changé le titre, j'avais omis de le préciser
17/10/2014 à 15h05
dr_0le écrivait:
----------------
> expliqué par le soutien paro faible je pense. en occlusion dynamique rien de
> particulier?
Non
c'est quand même surprenant..
Je sais bien et je ne l'explique pas!?
17/10/2014 à 15h12
probablement une parafonction dessus.
aucune sensation en haut et elle passe son temps a se titiller la 15.
pour verifier que tout est en ordre style toc .
ou alors une coquine qui aime se faire du bien avec sa 15
17/10/2014 à 16h48
En toute logique si la 15 n est pas en sur occ aujourd'hui c est qui elle l était avant !!!!
Ben oui puiqu ell e était plus basse .
A moins que le bas a été modifié entre temps .
17/10/2014 à 16h52
enlaye écrivait:
----------------
> En toute logique si la 15 n est pas en sur occ aujourd'hui c est qui elle l
> était avant !!!!
> Ben oui puiqu ell e était plus basse .
> A moins que le bas a été modifié entre temps .
En toute logique , oui!
Mais si cela avait été une banale sur-occlusion statique ou dynamique en latéralité T ou NT je l'aurais vu.
C'est justement ce qui est bizarre!
17/10/2014 à 17h00
pas de proprioception sur les implants, sur-sollicitation de la 15 (proprioception++) et ingression, elle s'est mise à l'abris d'une certaine façon, la dernière RX n'a pas le même angle ce qui doit amplifier le phénomène avant après.
17/10/2014 à 17h01
La sur occ ca ne se voit pas
ca se sent en posant le doigt dessus
Ou ca s écoute
Et il faut un papier très très gros pour y voir un peu
17/10/2014 à 17h03
enlaye écrivait:
----------------
> La sur occ ca ne se voit pas
> ca se sent en posant le doigt dessus
> Ou ca s écoute
> Et il faut un papier très très gros pour y voir un peu
Ca se suce? ;)
17/10/2014 à 17h21
vulpi , on est d'accord , elle a pris sa retraite après avoir bien bossé pendant des années et pas forcément dans le sens qu'elle aurait aimé ! repos bien mérité , foutez lui la paix !
17/10/2014 à 17h41
Une force légère, continue et obstinée en direction apicale.
Les implants sont fixes et ne s'enfonceront jamais, et la résistance à l'enfoncement de la 15 étant faible... je dirais que la dame mange bien.
Surtout qu'avec des implants, on ne sent pas sa force de mastication.
Comme vulpi
Marrant ton cas.
17/10/2014 à 18h37
Quelque chose d'étrange : l'obtu endo n'a pas changer par rapport à l'apex donc pas de résorption apicale, donc la dent est soit vestibulo versée soit palato versée. "L'ingression" peut également être accentuée par un sinus qui a grandi, doc rx pas assez nombreux. une mesure exact de la longueur dentaire serait intéressant.
Egalement qu'en est-il de l'ordre de pose des couronnes et bridges? Je sais bien que des implants ne sont pas censés bouger mais si l'on prend le postulat que 15 est prise en sandwich entre 14 et 16 qui basculent vers elle alors on a un effet coin qui enfonce 15 (voir le point de ctct au fil dentaire)
17/10/2014 à 18h43
Étonnant.
Autre hypothèse. Extrusion légère de la 15 due au provisoire (mastication avec les antérieures pour éviter de solliciter les implants?), puis retour à la position précédente.
21/10/2014 à 11h50
vulpi écrivait:
---------------
> Il y a quoi en antagoniste, et a t'elle un contact en occlusion?
Oui, elle était en occlusion mais il n'y avais pas de contact je le répète en latéralité travaillante ou non travaillante. L'occlusion était propre.
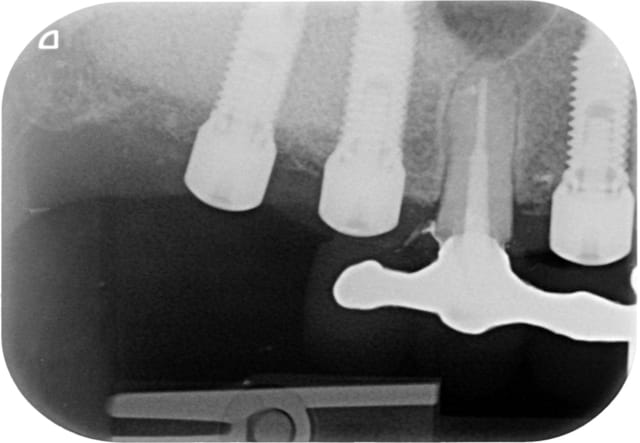
Voici la radio lors de la pose.
21/10/2014 à 11h51
sumble écrivait:
----------------
> Étonnant.
> Autre hypothèse. Extrusion légère de la 15 due au provisoire (mastication avec
> les antérieures pour éviter de solliciter les implants?), puis retour à la
> position précédente.
je ne pense pas, l'occlusion a été réglé le jours de la pose.
21/10/2014 à 11h55
Shadow écrivait:
----------------
> Quelque chose d'étrange : l'obtu endo n'a pas changer par rapport à l'apex donc
> pas de résorption apicale, donc la dent est soit vestibulo versée soit palato
> versée.
Ni l'un, ni l'autre elle est dans l'axe normal
"L'ingression" peut également être accentuée par un sinus qui a grandi,
> doc rx pas assez nombreux. une mesure exact de la longueur dentaire serait
> intéressant.
Ouai, bof, pourquoi pas
> Egalement qu'en est-il de l'ordre de pose des couronnes et bridges? Je sais bien
> que des implants ne sont pas censés bouger mais si l'on prend le postulat que 15
> est prise en sandwich entre 14 et 16 qui basculent vers elle alors on a un effet
> coin qui enfonce 15 (voir le point de ctct au fil dentaire)
C'est la seule explication qui me semble plausible, d'autant plus que les points de contact étaient réglés assez fort