Cookie Consent byPrivacyPolicies.comMigration apicale inexpliquée de la 15! - Eugenol

Migration apicale inexpliquée de la 15!

Vw campersurfvan bmnk1q - Eugenol
enlaye

21/10/2014 à 12h40

elle ne le sait pas ç est quand elle dort


Vw campersurfvan bmnk1q - Eugenol
enlaye

24/10/2014 à 14h19

j ai repensé a ton affaire oui oui je confirme la parafonction.
si je pouvais avoir une photo en occlusion et meme mieux une photo en occlusion des modeles en platres ....
Je pense meme a un sur contact de l autre coté.
meme si tu as verifié en oim ou en fonctionnel.....ce n'est pas avec du papier a articuler que tu peux voir si c est bon.
Surtout quand il y a melange dent naturelle et implant.


Capture ddc6bm - Eugenol
sumble

25/10/2014 à 00h59

Tavéca écrivait:
----------------
> sumble écrivait:
> ----------------
> > Étonnant.
> > Autre hypothèse. Extrusion légère de la 15 due au provisoire (mastication avec
> > les antérieures pour éviter de solliciter les implants?), puis retour à la
> > position précédente.
>
> je ne pense pas, l'occlusion a été réglé le jours de la pose.


A vouloir être trop concis, j'ai mal exprimé mon idée. Vu la qualité des cas que tu as l'habitude de nous montrer, un mauvais réglage d'occlusion ne m'a pas traversé l'esprit.

Mon hypothèse est que cela c'est joué pendant la période de temporisation. Je ne pense pas à un problème occlusal du provisoire. A la vue de tes radio, il semble voir un sinus lift avec pose implant dans un second temps, ce qui nous donne minimum 6-8 mois sous provisoire (sans compter l’éventuelle période avant le sinus lift). L'égression "orthodontique" serait alors du à la façon dont ta patiente a (dys)fonctionné. En ayant un contact trop prononcé sur les antérieures (et donc désocclusion en post), par un mouvement de bascule, on obtiendrait une égression de la prémo. Le jour de la pose des définitives, tout va bien. Seulement la prémo n'ayant pas de "contention", récidive. Les points de contact un peu fort limiterai l'égression "physiologique".

Tout ça au conditionnel.

5 ans entre la pose des définitives et ces radio, tu avais vu la patiente durant ce laps de temps?


Vw campersurfvan bmnk1q - Eugenol
enlaye

25/10/2014 à 03h21

sumble écrivait:
----------------

patiente a (dys)fonctionné. En ayant un contact trop prononcé sur les antérieures (et donc désocclusion en post), par un mouvement de bascule, on obtiendrait une égression de la prémo.

j ai du mal a le croire ça. comment une supraclusion provoque une egression d une pm ???


Capture ddc6bm - Eugenol
sumble

25/10/2014 à 11h03

Supraclusion??? Qui a parlé de supraclusion et où vois tu une supraclusion?


Vw campersurfvan bmnk1q - Eugenol
enlaye

25/10/2014 à 11h15

S il n y a plus de contacts postérieure le sur contact ant s appelle une supra clusion.
Sauf si bout a bout. Mais si tu veux on l appellera sur contact ant avec augmentation du recouvrement.bref cela n explique pas l régression de la PM pendant cette période.
De toute façon il manque les photos pour mieux causer


carident

25/10/2014 à 11h23

Hypothèse 1 : soit la patiente mâchouille son stylo au niveau de la 15 (recherche d'une sensation proprioceptive rassurante, voir plaisante...).

Hypothèse 2 : interposition linguale suite à un édentement de longue durée (la langue s'est étalée) => Si c'est le cas, la langue devrait avoir une forme caractéristique sur le côté droit (empreinte des dents).


Vw campersurfvan bmnk1q - Eugenol
enlaye

25/10/2014 à 11h53

Et oui .


Android jyzura - Eugenol
Tavéca

25/10/2014 à 13h12

Discussion très intéressante !
Je reviendrai dessus la semaine prochaine avec des photos du quadran 1 car j'ai fait le ménage en bas!


Capture ddc6bm - Eugenol
sumble

25/10/2014 à 13h46

enlaye écrivait:
----------------
> S il n y a plus de contacts postérieure le sur contact ant s appelle une supra
> clusion.
> Sauf si bout a bout. Mais si tu veux on l appellera sur contact ant avec
> augmentation du recouvrement.bref cela n explique pas l régression de la PM
> pendant cette période.
> De toute façon il manque les photos pour mieux causer

??? Supraclusion c'est recouvrement dentaire excessif, quasi toujours incisif. Même avec un recouvrement incisif normal, avec ce bridge pro bien réalisé de 15 à ... (ant? secteur 2?), une position mandibulaire plus avancée ou en latéralité gauche suffirait à créer une force d'égression sur la prémo.

Ce fil est intéressant. Un brain storming qui permet de s'enrichir des sensibilités de chacun.


Capture ddc6bm - Eugenol
sumble

25/10/2014 à 15h07

carident écrivait:
------------------
> Hypothèse 1 : soit la patiente mâchouille son stylo au niveau de la 15
> (recherche d'une sensation proprioceptive rassurante, voir plaisante...).
>

Autant une egression ortho est plutôt simle est rapide, autant une ingression peut être moins simple et surtout plus long. Hypothèse peu probable, a moins qu'elle garde son stylo toute la journée pendant de longs mois....

> Hypothèse 2 : interposition linguale suite à un édentement de longue durée (la
> langue s'est étalée) => Si c'est le cas, la langue devrait avoir une forme
> caractéristique sur le côté droit (empreinte des dents).

C'est à dire? Elle garde sa langue entre les dents et fait la ingresser, ou la pulsion latérale de la langue est convertie en force intrusive?


Vw campersurfvan bmnk1q - Eugenol
enlaye

25/10/2014 à 16h49

Symble on va oublier l régression de la PM pendant la phase d attente........par contre ton histoire de dérapage en latéral ca c est fort possible .mais dans ce ca il ne peut y avoir d égression même temporaire.
Le coup de la langue après prothèse finie est plausible mais forcément la PM se barre aussi en vestibulaire.
Avec les moulages je te promet que je peux te retrouver l historique des mouvements.et avec les moulages c est plus facile qu avec une vision de dents en réel.y a pas photo c est le cas de le dire.
Affaire a suivre .


Android jyzura - Eugenol
Tavéca

07/11/2014 à 09h38

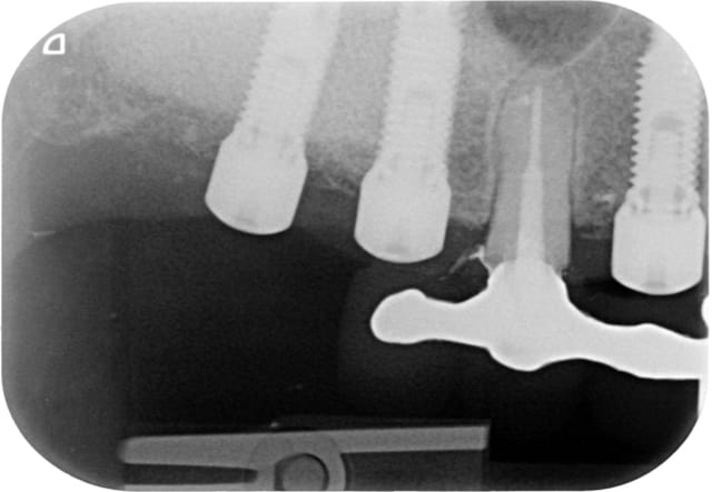
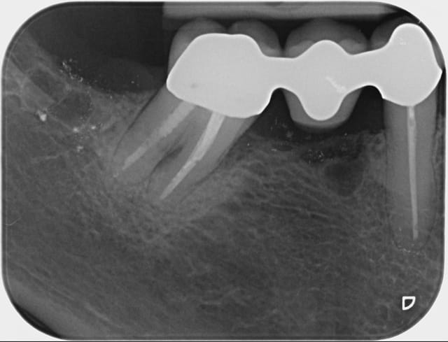
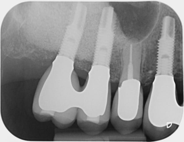
Bon alors revenons a cette 15.
On voit bien sur l'historique radio que la migration apicale a débuté entre janvier et mai 2014. Date à laquelle j'ai dû changer la 14.
J'aime bien les points de contacts assez serrés et là j'ai le souvenir qu'il était très costaud.
Je pense donc que la migration est dû a une compression de la 15 par effet de coin comme la supputer Shadow.
De toute manière maintenant elle ne bougera plus!

Merci pour vos réflexions.

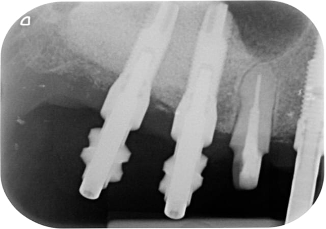
A 10 mars 2008 hjqdhq - Eugenol
B 22 mai 2009 fhhmrm - Eugenol
C 04 juin 2009 vjcx5r - Eugenol
D 15 juin 2009 od7vwg - Eugenol
E 25 juin 2009 hht4ji - Eugenol
F 18 novembre 2009 hhywkg - Eugenol

Android jyzura - Eugenol
Tavéca

07/11/2014 à 09h39

la suite...

G 21 janvier 2011 xurlrw - Eugenol
H 19 fevrier 2013 tvy4db - Eugenol
I  21 janvier 2014 gyys5o - Eugenol
J 21 mai 2014 i8zdgv - Eugenol
Jj 16 octobre 2014 clat7g - Eugenol
Jjj 16 otobre 2014 yevkyg - Eugenol

Android jyzura - Eugenol
Tavéca

07/11/2014 à 09h40

la fin.

K  6 novembre 2014 lfkxbg - Eugenol
L  6 novembre 2014 gcsqeq - Eugenol
M  6 novembre 2014 gc5q3z - Eugenol
P  6 novembre 2014 cy54gy - Eugenol
Q  6 novembre 2014 vtispk - Eugenol
R  6 novembre 2014 nrhlqf - Eugenol

Vw campersurfvan bmnk1q - Eugenol
enlaye

07/11/2014 à 10h08

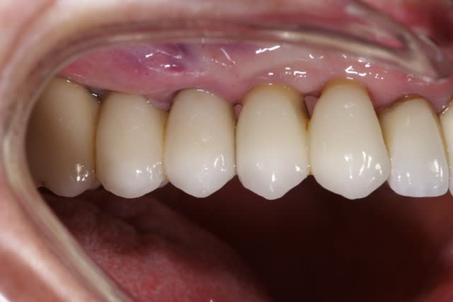
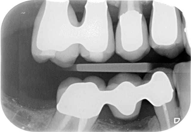
Photo des moulages de face en occlusion ?
Pas encore réfléchi mais ça m a bien l air occlusal ton affaire.....
Toi tu crois qu elle est partie xomme une savonette dans la douxhe?


Android jyzura - Eugenol
Tavéca

07/11/2014 à 13h22

enlaye écrivait:
----------------
> Photo des moulages de face en occlusion ?

Tiens mon lapin!

> Pas encore réfléchi mais ça m a bien l air occlusal ton affaire.....

Je pense pas, sinon comment expliquer que cela se déclenche 4 ans après!

> Toi tu crois qu elle est partie xomme une savonette dans la douxhe?

En effet que le point de contact fort entre deux implants la chassée en apical.

Dsc 8424 imuo3z - Eugenol

Vw campersurfvan bmnk1q - Eugenol
enlaye

07/11/2014 à 14h23

J 'y crois pas trop a ton histoire de 15 qui se prend pour un suppositoire .
Ou alors …..et même,...non j''y crois pas .
Par contre il manque grave du décalage latéral immédiat surtout a gauche, a cela on rajoute une supra clusion du bloc ant.
Je la vois comme ca l histoire :
elle est bloquée en latéral a gauche . Pour se décontracter ,elle essaye de partir devant.elle ne peut pas non plus. Elle déporte a fond a droite et en arrière pour se caler sur la 45+46, comme par hasard elle a perdu la 46 ?bientot elle va perdre les 2 centrales en egressant et en partant en eventail,
quand elle se cale elle est capable de se mettre en occlusion croisée coté droit,et si ce que je te dis est vrai tu vas avoir une fracture de ceram eu haut a droite.....
A mon avis tu as augmenté la dvo et tu as bien fait mais + tu augmentes la dvo + il faut donner de la laxité latérale posterieure,
elle a jamais eue mal aux atm ou torticolis ?


Android jyzura - Eugenol
Tavéca

07/11/2014 à 14h48

enlaye écrivait:
----------------
> elle est bloquée en latéral a gauche . Pour se décontracter ,elle essaye de
> partir devant.elle ne peut pas non plus. Elle déporte a fond a droite et en
> arrière pour se caler sur la 45+46, comme par hasard elle a perdu la 46 ?

pour probleme paro

bientot
> elle va perdre les 2 centrales en egressant et en partant en eventail,

Ca fait 10 ans quelle les a comme ça ces centrales


> quand elle se cale elle est capable de se mettre en occlusion croisée coté
> droit,et si ce que je te dis est vrai tu vas avoir une fracture de ceram eu haut
> a droite.....
> A mon avis tu as augmenté la dvo et tu as bien fait mais + tu augmentes la dvo +
> il faut donner de la laxité latérale posterieure,
> elle a jamais eue mal aux atm ou torticolis ?

Pas que je sache

Quand on veut voir de l'occluso on en voit!

Comment expliques-tu les 4 premieres années sans problèmes puis lorsque je refait la 14 que ça arrive?


Vw campersurfvan bmnk1q - Eugenol
enlaye

07/11/2014 à 14h51

la 14 a ete la goutte qui a fait deborder le vase


Blocperso talon jer3sl - Eugenol
mrquentin

07/11/2014 à 16h47

bon, vu qu'il n'y a pas de raison évidente, on va essayer les raisons tirées par les cheveux.
Les points de contacts étaient très très forts. A chaque fois qu'elle mange, elle comprime son ligament, et la dent migre un tout petit peu en apical. Mais à cause de la friction +++, le ligament ne peut pas se "detendre" et la dent retrouver son plan d'occlusion normal car les points de contats trop forts empechent la remontée de la dent. compression du ligament, donc orthodontie mineur. Le ligament se recréé un peu, mais plus bas. Puis à nouveau elle mange, le ligament se comprime, la dent descend un peu etc. AMHA c'est parce que les points de contacts sont trop forts et que la dent ne peut pas "redescendre" tout seule. En plus, c'est la seule racine de l'hémi arcade, donc sa proprioception est très faible, elle doit serrer assez fort


Vw campersurfvan bmnk1q - Eugenol
enlaye

09/11/2014 à 21h10

Tu disais dans un autre post que tu maîtrisais les mathématiques,
je pense que quand il y avait physique t'y allais a l école , que pour manger a la cantine , les triangles en chocolat,,,tu te souviens des triangle en chocolat ? Le 1er de la classe se prenait tjs des taquets s'il ne voulait pas donner le sien .
Parce que au niveau des forces ça ne tient pas la route ton histoire a la suppositoire,
Pour que la dent bouge a cause d une tension ,il faudrait que cette tension soit permanente par un phénomène ELASTIQUE .ç est le principe même du ressort qui date de l 'époque Ming.
Or quand tu as mis la 14 ,il ne pouvait y avoir de ressort en distal de la 15,le seul phénomène élastique serait la paroi vestibulaire de la 15 . Pourtant elle ne s'est pas trop barrée en vestibulaire.
Ne t inquiètes pas les points de contacts de coiffes sur implants ne sont jamais forts ç est la raison pour laquelle on solidarise les coiffes entre les implants........
T' Avais K' a pas tailler les cours de physiques .pour te goinfrer de chocolat......lol..

le garenne de 12 livres
au fait tu as perdu la 46 pour raison paro et ça ne t interpelle pas ?


Android jyzura - Eugenol
Tavéca

10/11/2014 à 10h06

mrquentin écrivait:
-------------------
> bon, vu qu'il n'y a pas de raison évidente, on va essayer les raisons tirées par
> les cheveux.
> Les points de contacts étaient très très forts. A chaque fois qu'elle mange,
> elle comprime son ligament, et la dent migre un tout petit peu en apical. Mais à
> cause de la friction +++, le ligament ne peut pas se "detendre" et la dent
> retrouver son plan d'occlusion normal car les points de contats trop forts
> empechent la remontée de la dent. compression du ligament, donc orthodontie
> mineur. Le ligament se recréé un peu, mais plus bas. Puis à nouveau elle mange,
> le ligament se comprime, la dent descend un peu etc. AMHA c'est parce que les
> points de contacts sont trop forts et que la dent ne peut pas "redescendre" tout
> seule. En plus, c'est la seule racine de l'hémi arcade, donc sa proprioception
> est très faible, elle doit serrer assez fort

Je ne sais pas si la cinétique est telle que tu la présente mais grosso modo je pense aussi que c'est la cause.


Vw campersurfvan bmnk1q - Eugenol
enlaye

10/11/2014 à 10h27

wait and see.


Android jyzura - Eugenol
Tavéca

10/11/2014 à 12h10

enlaye écrivait:
----------------
> Tu disais dans un autre post que tu maîtrisais les mathématiques,
> je pense que quand il y avait physique t'y allais a l école , que pour manger a
> la cantine , les triangles en chocolat,,,tu te souviens des triangle en
> chocolat ? Le 1er de la classe se prenait tjs des taquets s'il ne voulait pas
> donner le sien .
> Parce que au niveau des forces ça ne tient pas la route ton histoire a la
> suppositoire,
> Pour que la dent bouge a cause d une tension ,il faudrait que cette tension soit
> permanente par un phénomène ELASTIQUE .ç est le principe même du ressort qui
> date de l 'époque Ming.
> Or quand tu as mis la 14 ,il ne pouvait y avoir de ressort en distal de la 15,le
> seul phénomène élastique serait la paroi vestibulaire de la 15 . Pourtant elle
> ne s'est pas trop barrée en vestibulaire.
> Ne t inquiètes pas les points de contacts de coiffes sur implants ne sont jamais
> forts ç est la raison pour laquelle on solidarise les coiffes entre les
> implants........
> T' Avais K' a pas tailler les cours de physiques .pour te goinfrer de
> chocolat......lol..
>
> le garenne de 12 livres
> au fait tu as perdu la 46 pour raison paro et ça ne t interpelle pas ?



Bon en math mais pas super en physique, j'ai jamais compris pourquoi d'ailleurs!
Le problème de l'occluso, dont j'aimerais être mieux formé, c'est qu'il y a plusieurs écoles et encore plus de théories, peu démontrables, et peu ou pas de consensus.
Tu es peut être dans le vrai, ou pas!
La 46? Simple coïncidence ou dommage collatéral?