Cookie Consent byPrivacyPolicies.comQui a pu tester le quicksleeper 5? - Eugenol

Qui a pu tester le quicksleeper 5?

Capture d  cran 2015 03 12 12.28 - Eugenol
chicot29

08/10/2015 à 21h32

Recu et testé cet aprèm. Sortant du QS3 avec une expérience mitigée je confirme que ca n'a rien à voir. Il semble avoir beaucoup plus de couple et l'ergonomie est super.
4 sur 4 de réussies avant c'était 1 sur 4.


tictac

08/10/2015 à 21h39

J'ai le 4 et je suis assez decu. L'ergonomie deja. C'est vraiment gros et piquer au dela de distal d'un 6 est une challenge (la commisure labiale bloquant le qs si on veut le mettre dans l'axe)

Mais le plus pb, c'est pas le 100% de reussite. Meme quand il y a un edentement et qu'il est facile d'injecter, ca dort pas toujours!

Et puis sa vitesse d'injection bordel, t'as le temps de faire une ou 2 belottes


Capture d  cran 2015 03 12 12.28 - Eugenol
chicot29

08/10/2015 à 22h06

tictac écrivait:
----------------
> J'ai le 4 et je suis assez decu. L'ergonomie deja. C'est vraiment gros et piquer
> au dela de distal d'un 6 est une challenge (la commisure labiale bloquant le qs
> si on veut le mettre dans l'axe)


Anesthésie palatine ou trigone rétro molaire ( j'en ai fait une, signe de vincent direct ! ) .
Par contre quand ca rentre ca dort toujours. le problème c'est de rentrer ! -))))


dock

08/10/2015 à 22h25

Tu l'as acheté ou il est possible de le tester avant?


tictac

08/10/2015 à 22h32

bof, je vois pas bien l'interet du qs pour le maxillaire, ca dort tres bien


Capture d  cran 2015 03 12 12.28 - Eugenol
chicot29

09/10/2015 à 00h28

La gueule en vrac en sortant de chez le dentiste, tu as oublié comment c'est agréable ? -)))
Et puis j'attends un peu que ca prenne, non, j'ai pas assez attendu ......je colle 2 carpules au lieu d'une..... je fais un rappel palatin ......
Je vais attendre un peu avant de me prononcer sur le 5. Le 3 je l'utilisais rarement dans des cas récalcitrants. Mais déjà la prise en main est nettement meilleure.


Samo62

09/10/2015 à 00h45

QS5 acheté en mars, formation en avril.
Aujourd'hui c'est 90a 95% de mes anesthésies.
Très agreable à utiliser après prise en main Biensur comme toute nouvelle technique.

Ça change l'activité , je n'ai plus de crainte pour une endormir une pulpite...


Capture d  cran 2015 03 12 12.28 - Eugenol
chicot29

12/10/2015 à 16h07

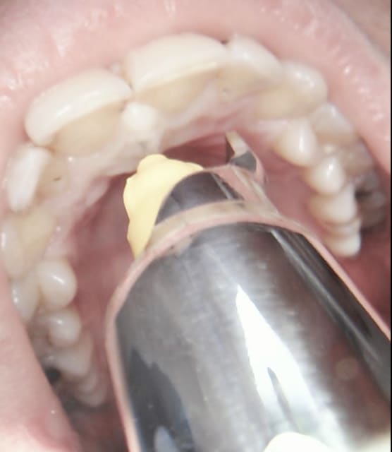
En test, 5 anesthésies et 5 succès ( contrairement au QS 3 que j'avais avant). Je pense que les nouveaux conteneurs y sont pour quelque chose.
Bloc antérieur pris instantanément et pas de lèvre anesthésiée, confort total pour le patient.

Capture d e cran 2015 10 12 14.01 - Eugenol

tictac

12/10/2015 à 16h09

je l'utilise jamais au maxillaire. Tu pourrais faire des photos de la maniere dont tu piques à la mandibule?


Capture d  cran 2015 03 12 12.28 - Eugenol
chicot29

12/10/2015 à 16h28

Trigone rétro molaire en général.


Capture d  cran 2015 03 12 12.28 - Eugenol
chicot29

12/10/2015 à 17h07

Aussitot dit aussitot fait. -))))

Signe de vincent mais pas la langue en vrac. C'est simple c'est tout droit au fond et en vestibulo distal de la dernière molaire tu sens une petite dépression au pouce l'os y est plus tendre. -)))))

Capture d e cran 2015 10 12 15.11 - Eugenol

tictac

12/10/2015 à 17h23

Merci, tres rapide en effet. Ca marche que pour les 7/8 ou ca endort les 6 aussi?


Capture d  cran 2015 03 12 12.28 - Eugenol
chicot29

12/10/2015 à 17h44

Ca endort tout ( signe de vincent) . J'ai soigné la 6.

Notez le bilan rétro coronaire indiqué dans ce cas à risque carieux faible ! -))))

Capture d e cran 2015 10 12 15.44 - Eugenol

Capture d  cran 2015 03 12 12.28 - Eugenol
chicot29

12/10/2015 à 21h20

Extraction 18 (Par contre ca n'anesthésie pas en vestibulaire, il a senti la pression du physic forceps) endo 37....... dommage en 30 mn j'ai pas eu le temps de me faire la 36. -)))))
Par contre ca n'anesthésie pas en vestibulaire

Capture d e cran 2015 10 12 19.15 - Eugenol
Capture d e cran 2015 10 12 19.18 - Eugenol

Capture d  cran 2015 03 12 12.28 - Eugenol
chicot29

12/10/2015 à 21h30

Bref pour une première journée c'est un succès. Autant ca merdait avec le QS 3 autant avec le 5 ca marche.
On verra par la suite si ca se confirme.


tictac

13/10/2015 à 00h18

tu utilises aussi les physics forceps? Perso je suis aussi mega decu, surtout sur les molaires, j'ai jamais ressenti le "pop". Apres si c'est pour separer et tout toutim, autant resortir ses vieux instruments


Marque a3 orange fyvhyq - Eugenol
Marc Apap

13/10/2015 à 00h26

J'ai vraiment du mal à croire que ça puisse marcher : même en l'absence de ligament, la rétention offerte par de longues racines dans un alvéole étroit est considérable. Et je ne parle pas de celles qui sont courbes. J'aime bien les gens de chez Wam, mais là, j'ai plutôt l'impression que c'est un attrape gogos


tictac

13/10/2015 à 00h29

C'est en effet un attrape gogos, j'en ai fait l'amer experience


Avatar eugenol pe0ymx - Eugenol
nicklebenou

13/10/2015 à 01h30

chicot29 écrivait:
------------------
> Extraction 18 (Par contre ca n'anesthésie pas en vestibulaire, il a senti la
> pression du physic forceps) endo 37....... dommage en 30 mn j'ai pas eu le temps
> de me faire la 36. -)))))
> Par contre ca n'anesthésie pas en vestibulaire

pour la 37. à quel endroit as tu fait ton intra-osseuse?
inter radiculaire ou en distal de la 7?


Capture d  cran 2015 03 12 12.28 - Eugenol
chicot29

13/10/2015 à 01h32

C'est un peu comme le quick sleeper 3 je dirais , des fois ca marche des fois ca marche pas. -))))
J'ai le kit postérieur qui n'est pas le plus facile à utiliser l'appui vestibulaire étant déporté par rapport au mord.

En attendant sur les 8 du haut je ne pète plus de tubérosités vu que la force exercée est palato-vestibulaire.
Celle là est pas trop mal , on peut trouver pire c'est certain.

Capture d e cran 2015 10 12 23.30 - Eugenol

Capture d  cran 2015 03 12 12.28 - Eugenol
chicot29

13/10/2015 à 01h36

nicklebenou écrivait:
---------------------
> chicot29 écrivait:
> ------------------
> > Extraction 18 (Par contre ca n'anesthésie pas en vestibulaire, il a senti la
> > pression du physic forceps) endo 37....... dommage en 30 mn j'ai pas eu le
> temps
> > de me faire la 36. -)))))
> > Par contre ca n'anesthésie pas en vestibulaire
>
> pour la 37. à quel endroit as tu fait ton intra-osseuse?
> inter radiculaire ou en distal de la 7?

Au niveau du trigone rétro molaire décalé légèrement en vestibulaire ca rentre comme dans du beurre si bien localisé ( petite dépression osseuse).

Capture d e cran 2015 10 12 23.47 - Eugenol

foxname

13/10/2015 à 11h19

Bonjour,
Je fais parti du groupe 1 des novices. Je suis assez intéressé par le quicksleeper à priori, si cela permet réellement de supprimer engourdissement et douleur, est-ce bien le cas?? J'en ai un peu marre (et mes patients aussi surtout) des "olala je bave ça va durer jusqu'à quand docteur?", "il va falloir anesthésier?? oh mon dieu noooon", des douleurs en cas d'anesthésie palatine, sans parler que je fais pas mal de pédo et 1- sur les enfants très sage ça fait de la peine de voir la larme au coin de l'oeil qui goutte des fois! et 2- sur les enfants craintif... bah vous connaissez la suite.

La durée d'injection est pour moi secondaire, et je suis prêt à mettre le prix si ça marche vraiment...

Je ne l'ai vu qu'une seule fois à l'utilisation, pendant mes études, en pédo, sur enfant très agité, et ça avait l'air miraculeux : enfant pas effrayé par le joujou et absolument aucune douleur... Mais c'était une fois.

Et quid du SleeperOne?

Merci d'avance


Avatar transparent iqadnc - Eugenol
adhoc

13/10/2015 à 11h37

> enfant pas effrayé par le joujou<

heuuuuh :-)

Sinon, il est vrai que le temps d'injection n'est pas plus long que celui produit par une intraligamentaire ,qui fonctionne aussi bien mais qui n'économise pas (du tout) tes tendons et ton canal carpien!
Le trigone retromolaire : son accessibilité est plus ou moins difficile selon la typologie faciale du patient. Sur certains , ca reste du sport, mais c'est pareil avec une autre anesthesie manuelle!


foxname

13/10/2015 à 11h46

adhoc écrivait:
---------------
> > enfant pas effrayé par le joujou<
>
> heuuuuh :-)
>

Le "je vais te faire voir mon stylo magique" avait l'air de passer beaucoup mieux que la vision inopinée d'une seringue déclenchant les réactions qu'on sait... Mais bon encore une fois, je ne l'ai vu qu'une fois à l'usage...


Avatar transparent iqadnc - Eugenol
adhoc

13/10/2015 à 12h03

Arf, mon stylo avec son cordon, son look qui fait plus gros marqueur que waterman, son capuchon de protection, l'aiguille qu'on voit a travers, les catecholamines qu'on disperse a tout va , n'est pas vraiment magique a cet instant fatidique, meme avec 14 ans de QS et plein de morveux!

Un peu tard pour prendre des cours avec Frayne!

Sinon, évidemment, je ne m'en passerais pas....




123...