Cookie Consent byPrivacyPolicies.comQui a pu tester le quicksleeper 5? - Eugenol

Qui a pu tester le quicksleeper 5?

G-P

13/10/2015 à 12h16

chicot29 écrivait:
------------------

> En attendant sur les 8 du haut je ne pète plus de tubérosités vu que la force
> exercée est palato-vestibulaire.

Ouais enfin entre une tubérosité et une table osseuse vestibulaire, je pète la tubérosité.


P2eqdh3csim6s7nb09ktdq3e7ev8 - Eugenol
barbabapat

13/10/2015 à 12h46

foxname écrivait:
-----------------

J'en ai un peu marre (et mes patients aussi
> surtout) des "olala je bave ça va durer jusqu'à quand docteur?", "il va falloir
> anesthésier?? oh mon dieu noooon",

Le représentant de chez septodont parle depuis un certain temps d'un antagoniste à l’anesthésie à injecter pour réduire la durée d’anesthésie après les soins.

Je ne parle pas du mésusage possible chez des journalistes.


Capture d  cran 2015 03 12 12.28 - Eugenol
chicot29

13/10/2015 à 14h20

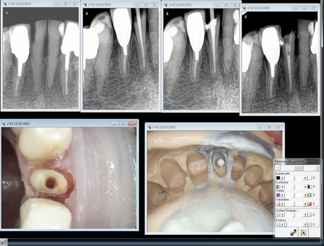
1h pour cette 41 (endo taille empreinte provisoire)

Quicksleeper 5 ostéocentrale en distal. Silence opératoire instantané et le léger engourdissement de la lèvre était dissipé à la fin de la séance.
SX sur entran, largo 3 sur double bague verte pour ouvrir l'entrée.
S1 sur endomaster alterné avec réciproc R 25 ( canal pas perméable du tout au cathétérisme à la lime 10) pour atteindre la LT.
Finition au R25.
Cone scellé au tubuli seal, thermo compaction mac spaden.
Empreinte en mordu.
Note : la 32 date de 2003 à cette époque j'alesais au 50 ca me prenait un peu plus de temps ! -)))))

Propre et net, mais très français comme dentisterie.-)))))


Capture d e cran 2015 10 13 12.17 - Eugenol
Capture d e cran 2015 10 13 12.31 - Eugenol

Avatar hjdsnm - Eugenol
TiGabi

13/10/2015 à 20h49

Chicot29 : les points d'injection que tu montres sont ceux préconisés il y a une dizaine d'années, un peu "complexes".
Les recommandations actuelles sont une simple intraseptale entre 2 dents, à 45° du grand axe.


Capture d  cran 2015 03 12 12.28 - Eugenol
chicot29

13/10/2015 à 20h58

Qu' est ce que tu veux je me fais vieux, j'achète du matériel obsolète ! -)))

J'aurais plutot pensé me faire critiquer sur aux choix :

1.La non conservation de la vitalité de la dent.
2. l'ic coiffe.
3. Le mordu.

Mais bon des fois on est surpris ! -))))

Un petit cadeau de formation continue pour ta fac ......;

http://mydentalhitec.com/NoticeAOC-V01-09-2012-FR.pdf

LOL !


Avatar eugenol pe0ymx - Eugenol
nicklebenou

13/10/2015 à 23h42

chicot29 écrivait:
------------------
> nicklebenou écrivait:
> ---------------------
> > chicot29 écrivait:
> > ------------------
> > > Extraction 18 (Par contre ca n'anesthésie pas en vestibulaire, il a senti la
> > > pression du physic forceps) endo 37....... dommage en 30 mn j'ai pas eu le
> > temps
> > > de me faire la 36. -)))))
> > > Par contre ca n'anesthésie pas en vestibulaire
> >
> > pour la 37. à quel endroit as tu fait ton intra-osseuse?
> > inter radiculaire ou en distal de la 7?
>
> Au niveau du trigone rétro molaire décalé légèrement en vestibulaire ca rentre
> comme dans du beurre si bien localisé ( petite dépression osseuse).

merci chef.
j'ai déjà eu quelques échecs d'anesthésie avec cette technique mais c'était avec les anciennes aiguilles qui sont plus courtes me semble t'il que les jaunes


Avatar eugenol pe0ymx - Eugenol
nicklebenou

13/10/2015 à 23h43

je préfére quand c est possible l'interradiculaire. 0 échec dans ce cas là


lachica

14/10/2015 à 00h24

En pédo, il n'y a pas un risque de léser le germe?


Avatar transparent iqadnc - Eugenol
adhoc

14/10/2015 à 00h35

>Chicot29 : les points d'injection que tu montres sont ceux préconisés il y a une dizaine d'années, un peu "complexes".
Les recommandations actuelles sont une simple intraseptale entre 2 dents, à 45° du grand axe.<

Heuh, si je peux me permettre, tigabi, on a ici une belle lyse osseuse horizontale (age ou parodontopatie) contre-indiquant un peu l'intraseptale!!!.

L'intracorticale assez basse ou tout betement la para-apicale sont dans ce cas particulier des indications de choix pour nos anesthésies.


Capture d  cran 2015 03 12 12.28 - Eugenol
chicot29

15/10/2015 à 12h35

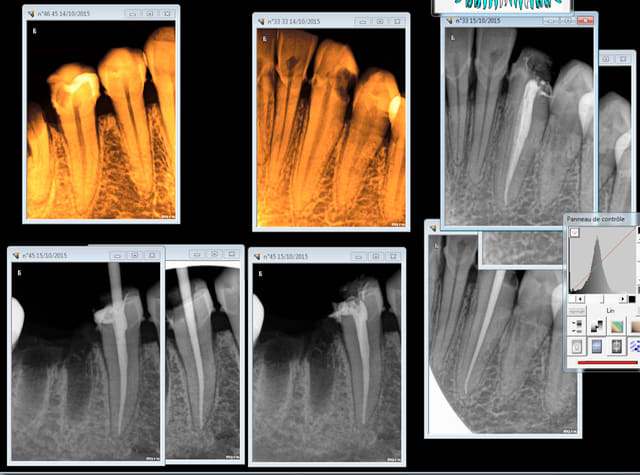
Premier echec en distal de cette 33. Ca rentre mais difficilement du début à la fin, on sent pas la pénétration "par étages" je pense vu l'épaisseur du septum qu'une trans corticale aurait été plus judicieuse.
Par contre en mésial de 44 septum large pas de soucis.

Capture d e cran 2015 10 15 10.29 - Eugenol

moritooth

15/10/2015 à 13h11

Donc en pourcentage, le taux d'echec est à combien ?


Capture d  cran 2015 03 12 12.28 - Eugenol
chicot29

15/10/2015 à 13h19

1 sur 15 mais indication de la technique mal posée. C'est quand meme curieux l'aiguille était à la garde pourtant mais aucune sensation de tomber dans un trou ni de descente par étages à la perforation.


lachmar

15/10/2015 à 13h25




en fait tu es resté dans la corticale

tu n'as pas trouvé l'os spongieux (finalement tu n'es pas aussi fort que je pensais ... c'est rassurant)

dans ce cas je reviens à la bonne vieille méthode de l'injection vestibulaire perpendiculaire à la dent en visant bien là ou je pense trouver l'os spongieux

injecter dans la corticale super difficile (bouchon garatnti) et risque de necrose


Capture d  cran 2015 03 12 12.28 - Eugenol
chicot29

15/10/2015 à 13h30

lachmar écrivait:
-----------------
>
>
>
> en fait tu es resté dans la corticale
>
> tu n'as pas trouvé l'os spongieux (finalement tu n'es pas aussi fort que je
> pensais ... c'est rassurant)
>

Moi je pense au contraire qu'il faut etre très fort pour ne rester que dans la corticale. -))))


Capture d  cran 2015 03 12 12.28 - Eugenol
chicot29

20/10/2015 à 17h03

caries 17, 15 + 25 à virer :

1. para apicale 25
2. quick sleeper palais entre 16-15
3. amg 17 15
4. ext 25

20 mn.

Mais c'est qu'il nous fait une dentisterie de grand papa le chicot ! -))))
Tarif de merde soins de merde ( mais ca va quand meme tenir 30 ans je pense) C'est ca ou faire des tarifs de prothèse hors de prix pour rattraper le déficit des compos sous digue.

Capture d e cran 2015 10 20 14.47 - Eugenol
Capture d e cran 2015 10 20 14.48 - Eugenol

lachmar

20/10/2015 à 17h33



ça doit faire 25 ans que je n'ai pas posé un amalgame

c'est qui le grand père ?


Capture d  cran 2015 03 12 12.28 - Eugenol
chicot29

20/10/2015 à 18h36

Bien, et tous sous digue les composites je suppose ? c'est sympa de donner raison à la sécu qui paye les compos au meme tarifs de merde que les amalgames. Faut pas venir râler après !
A tarif du tiers monde boulot du tiers monde ( ce qui ne veut pas dire que ca ne va pas tenir, je dirais meme que la longévité d'un amalgame est largement supérieure à celle d'un composite de merde ( en 1 couche sans digue comme c'est couramment pratiqué))

Comme je l'ai déjà dit qui peut le plus peut le moins.


lachmar

20/10/2015 à 19h15



je suis convaincu que l'amalgame est techniquement le meilleur produit dont on dispose et qu'il n'a , à ce jour aucun subsitut viable économiquement

je suis convaincu qu'un composite, même posé sous digue et même avec une technique sandwich ne pourra pas avoir la perennité d'un amalgame

mais je suis convaincu aussi de la toxicité des amalgames pour des raisons qu'il serait trop long d'expliquer et je me refuse d'empoisonner les gens pour des raisons économiques

pour ce qui est de la digue , peux-tu imaginer que tu n'es pas le seul en France à travailler sous digue ?

relis un peu tes messages et tu verras que tu es un peu insultant .


Capture d  cran 2015 03 12 12.28 - Eugenol
chicot29

20/10/2015 à 19h40

lachmar écrivait:
-----------------

> pour ce qui est de la digue , peux-tu imaginer que tu n'es pas le seul en France
> à travailler sous digue ?
>
> relis un peu tes messages et tu verras que tu es un peu insultant .

Rien d'insultant je ne mets la digue pour les endos molaires. Par contre TOUS mes patients me demandent ce que c'est quand je la mets.
Tu n'étais pas particulièrement visé, lol !


Samo62

20/10/2015 à 19h51

Si pas d'amalgame, et pas de composite, penser au CVI. Cest rapide et ça marche bien !


P2eqdh3csim6s7nb09ktdq3e7ev8 - Eugenol
barbabapat

20/10/2015 à 20h02

Samo62 écrivait:
----------------
> Si pas d'amalgame, et pas de composite, penser au CVI. Cest rapide et ça marche
> bien !
>

J'aime bien le CVI, mais c'est pas un matériaux de longue durée et dernièrement, j'ai niqué un planché pulpaire à cause d'une ré-infiltration sous un CVI qui finalement avait mal collé.

Si c'est pour passer du CVI à l’implant sans passer par la couronne, c'est pas toujours un service à rendre au patient.


lachmar

20/10/2015 à 20h03



le CVI était indispensable pour les sandwich, surtout en sous gingival ... tu as raison .. pour les obturations importantes , mécaniquement ils sont trop limites

mais j'ai decouvert (fortuitement) que le biodentine était l'arme absolue pour les limites sous gingivales ... et j'oublie les CVI


tictac

20/10/2015 à 21h27

je suis decu que tu n'es pas tenter une couronne sur la 25 chicot, je t'ai deja vu faire des ccm avec des truc bien plus profonds
Sinon c'est bizarre ta methode de piquer au palais. Pourquoi tu fais pas d'intraosseuse classique (voie vestibulaire à 45 degré sur la papille)


Capture d  cran 2015 03 12 12.28 - Eugenol
chicot29

20/10/2015 à 21h57


Je fais aussi, mais cet endroit est plus direct.

Capture d e cran 2015 10 20 19.56 - Eugenol

Capture d  cran 2015 03 12 12.28 - Eugenol
chicot29

22/10/2015 à 13h50

Gamin 8 ans (son premier soin) , pulpo 84, osteo centrale avec aiguille verte pas de mise en rotation.

Commentaire du petit patient : ca fait des guili ton appareil ! -)))


1234...