Cookie Consent byPrivacyPolicies.comQualité et système de soins bucco-dentaires français - Eugenol

Qualité et système de soins bucco-dentaires français

Mug2dm79f9axozneagomtszjwylf - Eugenol
Piccalilly

21/10/2014 à 10h20

Bonjour à tous,
Voici ma contribution à l'analyse du système de soins bucco-dentaires français, sous l'angle de la Qualité, avec des pistes de solutions à explorer.

https://www.dropbox.com/sh/2065faucqytkp2u/AAA2_usv5Z7vQqVKPCFe-JbFa?dl=0

Bonne lecture, et merci de vos remarques.


Capture d  cran 2015 03 12 12.28 - Eugenol
chicot29

21/10/2014 à 11h44

C'est pas le système qui fait la qualité mais les praticiens. Par contre le système est responsable des orientations thérapeutiques retenues en fonction des remboursements dont on peut dire, dans ce pays foutu, qu'ils sont franchement mal ciblés : plus vous bousillez les dents et plus on rembourse et quand il n'y a plus de dents on ne rembourse plus.


Marque a3 orange fyvhyq - Eugenol
Marc Apap

21/10/2014 à 13h47

Parfaite analyse, Chicot29 !


Avatar transparent iqadnc - Eugenol
adhoc

21/10/2014 à 14h01

>C'est pas le système qui fait la qualité mais les praticiens<

Picadilly a cité "il n'est de richesse que les Hommes....". Ca se rejoint!


ameli

21/10/2014 à 16h42

Je te félicite pour la belle qualité de ton travail !
... même si j'ai un regret, celui qui fait que tu n'as abordé que le système français, sans noter qu'il est de moins en moins français, et de plus en plus "interétatique". Sans doute penses-tu que l'état ou la sécu fixe les règles, et choisit sa qualité.

En fait, les investisseurs potentiels fixent les règles. La qualité est choisie en fonction de son rapport.
Les états-providence sont malades, et cèdent le terrain dentaire aux autres. Les autres font ce qu'ils veulent...


Capture d  cran 2015 03 12 12.28 - Eugenol
chicot29

21/10/2014 à 16h55

Ah ouais ? Cette nomenclature de merde qu'on nous impose à nous patients et praticiens via ce monopole d'état qu'est la sécu( quoique sous régime privé) date d'hier peut être ?


ameli

21/10/2014 à 17h35

chicot29 écrivait:
------------------
> Ah ouais ? Cette nomenclature de merde qu'on nous impose à nous patients et
> praticiens via ce monopole d'état qu'est la sécu( quoique sous régime privé)
> date d'hier peut être ?

La sphère de l'économie échappe à l'emprise de l'état-nation, a fortiori dans les états-providence. Tu n'as pas remarqué que les règles changent, que toute l'organisation change, que les réglementations disparaissent, que tout s'assouplit, qu'on attire tant les étudiants étrangers que les investisseurs assuranciels ou dentaires ? Le monde dentaire bouge, vite !
Ce qui était en place disparait, vite, et discrètement.
Les nouvelles normes vont être des normes de rentabilité, et non des normes de qualité. Et comme il y a une disjonction entre l'économie et la territorialité, ce ne sont plus les états qui restent les souverains. Tout est devenu international, européen ou mondial.
L'objectif de la CCAM, c'était quoi ? ... c'était faire comme les autres pays, c'était attirer d'autres payeurs. Ils veulent bien payer, s'ils y gagnent. Ah tu croyais que la CCAM, c'était pour le bonheur des dentistes et pour la qualité, à la demande de l'HAS, de l'Ordre, de la sécu... et tu y crois toujours ?
Ce monopole, en dentaire, c'est du passé (pas un seul dentiste-conseil embauché à la sécu depuis plus de 10 ans, un monopole ?). Ce monopole reste dans l'état d'esprit public, et dans le tien, dans les jurisprudences, et dans les apparences. Dans les faits, on est passé dans le monde du commerce, autrement plus retors.


vmdeugénol

21/10/2014 à 18h06

Pour amener un peu d'eau au moulin d'Améli, je viens de faire un petit tour en Europe de l'Est ( Bulgarie,Hongrie, Roumanie)
Pour le boulot et oui on fait les couillons souvent sur nonol, mais on fait aussi des trucs sérieux.

J'ai rencontré des universitaires, des doyens...
Par exemple en Roumanie il y a une production de 1200 à 1400 dentistes locaux par an, 800 se destinent à l'export vers la France, la GB, la Belgique.
Ils ont des réseaux de brooker de cabinets et tout va bien.
Pourquoi ils viennent?
Ils gagneraient autant chez eux mais en travaillant beaucoup plus avec des complications maximales avec les assurances toutes privées de leurs patients.
Ici le client tombe tout seul, il y a la sécu et les mutu et en travaillant 3J/semaine ils peuvent partir souvent en vacances...

En fait en les écoutant décrire leur exercice dans leurs pays j'ai l'impression qu'ils me racontaient ce qui est entrain de se passer ici, et que par ailleurs ils ignorent encore.


Mug2dm79f9axozneagomtszjwylf - Eugenol
Piccalilly

21/10/2014 à 18h57

Cher Chicot29

Comme beaucoup ici, je suis fan de tes endos, et aussi de tes raccourcis très directs et percutants. Je partage ton point de vue, ce sont d'abord les praticiens qui font la qualité.


Mug2dm79f9axozneagomtszjwylf - Eugenol
Piccalilly

21/10/2014 à 18h57

Cher ameli,

(Pardon pour tous ces "cher" mais à force de vous lire, vous me devenez chers)
Merci pour ton compliment.
Je partage aussi ton point de vue. C'est la raison pour laquelle j'ai prévu de regarder ce qui se passe ailleurs maintenant, et de réfléchir à comment on pourrait s'affranchir des diktats de ceux que tu appelles les investisseurs potentiels.


Mosquitogif zt3c7k - Eugenol
mosquito

21/10/2014 à 21h19

ameli écrivait:
---------------

> L'objectif de la CCAM, c'était quoi ? ... c'était faire comme les autres pays,
> c'était attirer d'autres payeurs. Ils veulent bien payer, s'ils y gagnent. Ah tu
> croyais que la CCAM, c'était pour le bonheur des dentistes et pour la qualité, à
> la demande de l'HAS, de l'Ordre, de la sécu... et tu y crois toujours ?
> Ce monopole, en dentaire, c'est du passé (pas un seul dentiste-conseil embauché
> à la sécu depuis plus de 10 ans, un monopole ?). Ce monopole reste dans l'état
> d'esprit public, et dans le tien, dans les jurisprudences, et dans les
> apparences. Dans les faits, on est passé dans le monde du commerce, autrement
> plus retors.
--------------


Le discours d'Améli ne varie pas depuis qq années et la réalité s'en rapproche de plus en plus.
Quand les complémentaires ont voulu être à la négociation conventionnelle elles ont mis un gros paquet de sous sur la table pour ne plus être"payeur aveugles". Il va falloir qu'elles rentrent dans leur investissement. La CCAM est là pour ça.

J'ai parlé ce weekend avec un hospitalier hollandais ( gynéco) qui m ' a appris des petites choses sur le dentaire hollandais qu'il a suivi comme patient .
Le numerus closus a augmenté chez eux, du coup ils ont du modifier leurs horaires de travail;Avant c'était 8/16 h et les patients devaient s'adapter, maintenant c'est plutôt jusque vers 20-21h il y a plus de concurrence.
Libéralisation des prix qui ont grimpé donc instauration de sorte de réseaux mais la population n'a pas apprécié la perte du libre choix, retour en arrière partiel sur ce point.

pour mutuelles et mondialisation c'est ici dans un mois.

http://evenements.infopro-digital.com/argus/conference-mutuelles-2014-716

Le mouvement mutualiste doit participer à la mondialisation de la protection sociale.


Capture d  cran 2015 03 12 12.28 - Eugenol
chicot29

21/10/2014 à 21h38

ameli écrivait:
---------------

> L'objectif de la CCAM, c'était quoi ? ... c'était faire comme les autres pays,
> c'était attirer d'autres payeurs. Ils veulent bien payer, s'ils y gagnent.

Tiens encore un cas tout frais. A ton avis pronostic sur cette 14, surement fracturée ?
Le vrai payeur c'est le patient, ca fait 12 ans que la mutuelle de cette patiente n'a pas déboursé un centime en dentaire. A ton avis combien va elle être remboursée pour les 2 implants qui s'imposent alors que ca fait 12 ans qu'elle se fait plumer par sa complémentaire d'une somme largement supérieure au cout de ces implants, Hein ?
La solution retenue sera elle de fritter la canine et de faire un bridge 4 éléments et être mieux remboursée par ton système de merde ? Surement pas par moi en tout cas je le lui ai formellement déconseillé.
Tes payeurs mutualistes et assurantiels ne paient rien du tout ( a part des pubs télé), ils s'attellent seulement à imposer des tarifs au raz des pâquerettes avec leur réseaux, pour recruter un max de pigeons payeurs chez un minimum de dentistes pigeons partenaires ( réseaux fermés) , mais ne débourseront pas un centime de plus. Au mieux ils baisseront les remboursements chez des dentistes non partenaires au détriment du choix du patient.

1 yfhmbp - Eugenol

Capture d  cran 2015 03 12 12.28 - Eugenol
chicot29

21/10/2014 à 21h55

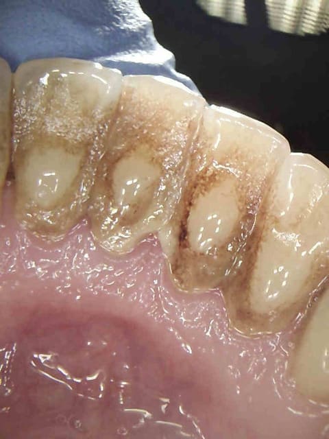
Tiens casa, encore un status justifié ( antécédents de soins intensifs) 2mn, et un détartrage ( 5mn).
Par contre le temps consacré au consentement éclairé et à tailler un short à la sécu et à sa complémentaire santé ( je ne prends aucun risque vu les remboursements de merde qu'elle va avoir) a été beaucoup plus long et gratuit !. -)))))

1 ocha6c - Eugenol
2 brskuo - Eugenol
3dscreenshot101 iezb58 - Eugenol

Doc Mav

22/10/2014 à 00h34

regardez le prix de l'inscription pour la journée de foramtion chez les mutualistes :
http://evenements.infopro-digital.com/argus/conference-mutuelles-2014-716,tarifs

1194 € TTC la journée....
où se trouve l'argent ?
à méditer....


Capture d  cran 2015 03 12 12.28 - Eugenol
chicot29

22/10/2014 à 02h15

Le programme c'est quoi ?

- Comment attirer le jambon en lui faisant miroiter des tarifs "négociés" chez les dentistes partenaires ?
- Etablir une grille de remboursements de prestations la plus opaque possible genre pourcentages de remboursements alléchants avec * renvoyant en bas de page sur des plafonds annuels merdiques se rapprochant le plus possible de la cotisation annuelle ?
- Ou simplement se taper un gueuleton au frais des assurés ? Après tout ce sont des organismes à but non lucratifs.

Fumiers !