Cookie Consent byPrivacyPolicies.comçà va être galère!!! - Eugenol
Photo pluton1b h9n4ea - Eugenol
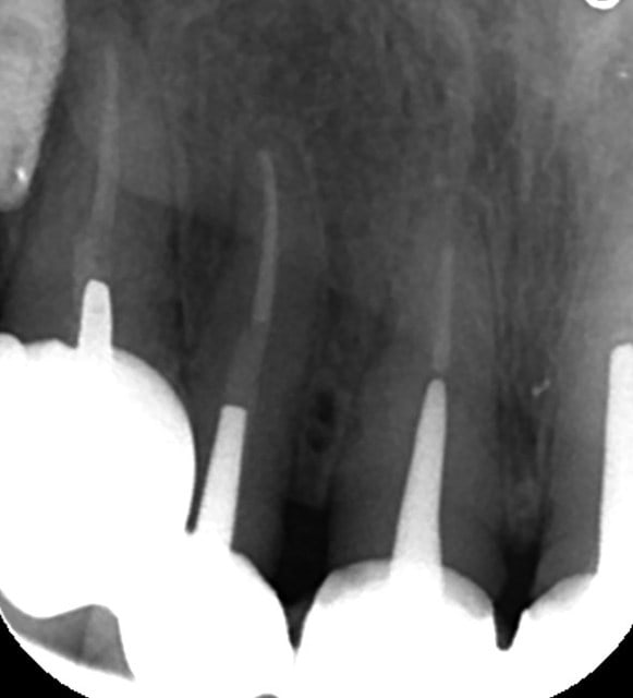
pluton

21/10/2014 à 16h45

bon, c'est le cas clinique d'un pote (sera peut être plus ensuite, qui sais...) qui c'est décidé de venir me voir suite à un problème sensé être réglé par son praticien habituel au niveau de sa 12 (et 11)

j'attends les images scan pour voir l'ampleur de problème, mais c'est pas jojo...
c'est fistualisé donc c'est plus douloureux...n'empêche qu'il va y avoir du sport amha...

je pense que dans un premier temps, il va falloir aller nettoyer tout çà (et virer le cône de gutta qui dépasse) donc voie chir, obturation à rétro des 2 dents dans la séance
à ce sujet j'ai plus de MTA mais j'ai de la biodentine, et j'aimerais savoir si l'un d'entre vous s'en est déjà servi dans ce genre de cas...

ensuite comblement ou non (je crois qu'en général on met rien) peut être une petite membrane pour protéger et éviter une invagination...le but est surtout de ne plus perdre d'os au cas où...la solution implantaire soit la seule issue...

merci de vos lumières et avis

Panorex tgmcph - Eugenol
R tro t4pirg - Eugenol

Nouveau image bitmap fz77zh - Eugenol
Sethef

21/10/2014 à 16h53

Je n'ai pas testé personnellement la biodentine, mais de mémoire je crois que le temps de prise, c'est 12 min au sec: sur un abord chirurgical, ça paraît compliqué. Avant le MTA, c'était eugenate ou amalgame, avec des taux de réussite corrects.
Sinon, je crois que c'est Aterman qui avait posté une étude montrant 90% de taux de réussite avec une obturation composite à retro.


malaire

21/10/2014 à 16h54

Biodentine, je sais pas mais un simple IRM donne déjà de bons résultats.
La membrane c'est surtout s'il y a une grosse fenestration osseuse amha.
Sinon comblement avec un biomatériau, mais beaucoup n'aiment pas...
Par contre l'aspect moucheté des apex n'est pas bon signe (gruyère ?) et tu risques d'être obligé de couper un bon morceau de racine pour trouver quelque chose de sain.


Icon poker h4nm2d - Eugenol
jeff

21/10/2014 à 17h26

Question administrative : comment tu fait pour être honoré de plus de 40 euro pour une de taff ?

(Imagine que ce n'est pas un pote )

Car, normalement, c'est opposable , non ?


malaire

21/10/2014 à 17h30

Le comblement est HN ...


Vw campersurfvan bmnk1q - Eugenol
enlaye

21/10/2014 à 17h57

miam miam


Tumblr nbpd8ntwip1rsb3deo1 1280 hyinig - Eugenol
Enki

21/10/2014 à 18h15

J'ai remplacé le MTA par la Biodentine pour les obturations à rétro avec des résultats équivalents.

L'idée de mettre une membrane que s'il y a une fenestration....mais il y en a une quand on intervient ;)

Si il y a une fistule tu as un périoste inflammatoire qui ne remplira pas son rôle de barrière, au contraire. Il m'est arriver de me retrouver dans la merde pour implanter parce qu'il y avait une invagination de la muqueuse dans l'espace laissé par la lésion. Depuis, quand je n'ai pas un périoste intacte, je comble au phosphate tricalcique et protège avec une membrane collagène. Si le périoste est intacte je compte sur lui pour faire le taf et je me contente d'éponges de collagènes dans le trou. Si celui ci est vraiment important mais que mon périoste est intacte, comme c'est le cas quand on intervient sur un kyste, je comble et je mets un treillis résorbable en Vicryl tenu par des pins.

Note : je fais également comblement+membrane sur les canines incluses par voie palatine pour les même raisons (si un implant doit être placé dans le secteur).


Vw campersurfvan bmnk1q - Eugenol
enlaye

21/10/2014 à 18h46

mon dieu que c est compliqué tout ça .


Orezza gazeuse verre litre ocoxey - Eugenol
casa

21/10/2014 à 19h28

Enlaye , c'est un cas pour toi ! et hop !


Vw campersurfvan bmnk1q - Eugenol
enlaye

21/10/2014 à 19h37

miam-miam


Avatar jt8tlq - Eugenol
bogenom

27/10/2014 à 15h56

Pourquoi ne pas refaire un beau traitement endo bien étanche
ton cone qui dépasse devrait sortir facilement ensuite une apexification, ou ton Mta directe avec accès occlusal ou une bonne vieille technique du cône moulé à voir et ensuite si echec chir endo
Bon courage


Photo pluton1b h9n4ea - Eugenol
pluton

27/10/2014 à 16h29

bogenom écrivait:
-----------------
> Pourquoi ne pas refaire un beau traitement endo bien étanche

bon pour faire court...
ce n'est pas moi qui l'ai suivi jusqu'à maintenant...

le passé est "lourd" sur ces dents, traitement endo, retraitements (plusieurs au moins 2 ou 3 pour chacune)
chir apicale aussi

bref, çà traine depuis un long long moment...

donc: intervention de la "dernière chance" si les images 3D sont pas trop cata...
au minimum: aller cureter tout çà + chir à rétro avec pourquoi pas comblement/membrane
le but: ne plus perdre d'os...parce qu'amha çà va se finir avec du titane....


Images 1 vwmtnm - Eugenol
Castor

27/10/2014 à 21h44

A mon avis, tu extrais, tu combles, tu mets une membrane, un bridge provisoire (j'ai l'impression que les dents de part et d'autres sont dévitalisées), tu attends 6 mois et tu poses 2 interactives...
Franchement vu la tronche que cas là un rte, une chir apicale etc etc c'est faire supporter beaucoup au patient pour un pronostic plus que médiocre...
Je ne dis pas que c'est infaisable mais les chances de succès sont minces et je pense que dans bien d'autres cas tu extraits pour moins que ça...


Utilisateur banni

27/10/2014 à 22h04

Alors , plus de motivation : un bon coup de davier la dedans ....


Images mg2jvu - Eugenol
zorg

28/10/2014 à 00h01


> Franchement vu la tronche que cas là un rte, une chir apicale etc etc c'est
> faire supporter beaucoup au patient pour un pronostic plus que médiocre...

Bah pas d'accord. Chir apicale avec obtu à rétro le pronostic est plutôt bon surtout sur une antérieure maxillaire. Si on est amené à faire une résection assez basse, dans le cas particulier on peut conjoindre les 2 couronnes qui ne manqueront pas d'atterrir dessus.
Biodentine= prise trop longue, j'aime bien les verres ionoméres en compule.
Je ne trouve pas que le patient ait à supporter plus que extraction comblement membrane implant.


Vw campersurfvan bmnk1q - Eugenol
enlaye

28/10/2014 à 01h00

y a longtemps que j aurais enlevé les 2 dents , nettoyé l os et remis les dents et basta .


Photo pluton1b h9n4ea - Eugenol
pluton

28/10/2014 à 08h44

pour les pessimistes des chances de succès de ce genre d'intervention.... tenez, relisez ce sujet là...

http://www.eugenol.com/sujets/387973-et-bien-la-on-est-pas-dans-la-m

à l'époque, je me suis fais taillé un costard par tillc sur ma manière de procéder...

on est 3 ans 1/2 post intervention, j'ai revu le patient en urgence pas plus tard qu'hier...pour la 26 qu'il vient de s'exploser...
la 12? elle se porte comme un charme, mobilité physiologique alors que j'avais du la coller pour éviter de l'extraire simplement lors du passage des limes endo...

dans le cas présent, la 11 n'est pas mobile et la 12 a une très légère mobilité...pour moi çà me semble nettement plus favorable...

enlaye, ton approche "différente" je ne l'ai jamais testé, hormis des réimplantations après traumas
problème: à ce jour, çà c'est toujours fini en ankylose avec +ou- de résorption radiculaire...pas trop envie de tester sur un pote donc je vais faire ce que je sais faire, même si je dois l'avouer, c'est nettement plus compliqué...


Photo pluton1b h9n4ea - Eugenol
pluton

28/10/2014 à 16h38

bon, suite...

je viens d'avoir les images...

autant sur la 11 çà paraît jouable...autant sur la 12 je pense que c'est mort!!!

faux canal, il ne reste quasi plus rien de la partie vestibulaire de la dent...

point positif: il semblerait que j'ai encore de quoi ancrer une vis sous les fosses nasales en apical de cette 12...
donc amha çà sent l'EII avec mise en vitrine immédiate...et si c'est le cas, je ne ferai pas de quartier à la 11...elle passera elle aussi à la trappe vu le risque de récidive et/ou de contamination du biomat qu'il me faudra mettre pour éviter que tout ne s'effondre...

J12 lfzcki - Eugenol
J11 xzyf3h - Eugenol

Images 1 vwmtnm - Eugenol
Castor

28/10/2014 à 19h43

Merci qui?
Merci Jacquie et Michel...
Tu vois je te l'avais dit ;)


carident

28/10/2014 à 20h52

Mon petit cas galère du moment...

Péri-implantite 14 et 26.
25 explosée.
Infection apicale 13, 12, 33 (chaque 2 mois sous antibio depuis pas mal de temps...)

Et gros bouchon de fugy de 2 à 3 mm au fond du logement de l'inlay core, que j'ai dû traverser à la fraise diamantée pour pouvoir retraiter la 13 et la 12... :-)


Screenshot112 bar0ce - Eugenol
Screenshot109 zmpp3m - Eugenol
Screenshot108 dfy8xy - Eugenol
Screenshot107 ktxup1 - Eugenol
Screenshot110 n0ohun - Eugenol
Screenshot111 cn23nd - Eugenol
Screenshot113 yxvnbv - Eugenol

Images cu89bm - Eugenol
Tizott

28/10/2014 à 21h23

carident écrivait:
------------------
> Mon petit cas galère du moment...
>
> Péri-implantite 14 et 26.
> 25 explosée.
> Infection apicale 13, 12, 33 (chaque 2 mois sous antibio depuis pas mal de
> temps...)
>
> Et gros bouchon de fugy de 2 à 3 mm au fond du logement de l'inlay core, que
> j'ai dû traverser à la fraise diamantée pour pouvoir retraiter la 13 et la 12...
> :-)

Tu as de la chance, après tu pourras embrayer sur la 33 puis ensuite la 36...
C'est plus une bouche, c'est une grille de Loto :))


Darmon - Eugenol
Latin

28/10/2014 à 22h20

Un loto gagnant alors, parce qu'il y a eu un sacré investissement de fait!

Quand je vois des panos comme ça je me dis : soit c'est un CMU, soit il a une bonne mutuelle.


carident

28/10/2014 à 22h33

Latin écrivait:
---------------
> Un loto gagnant alors, parce qu'il y a eu un sacré investissement de fait!
>
> Quand je vois des panos comme ça je me dis : soit c'est un CMU, soit il a une
> bonne mutuelle.

Bonne mutuelle (450% sans plafond)... mais malheureusement pour elle pas bon dentiste!
Des pano comme ça, j'en vois tous les deux jours, avec des lésions apicales un peu partout.
Là, le dentiste (retraité depuis peu) a tout couronné, mis deux implants en plus pour rien, puis un stellite avec attachement (avec les implants en dessous qui ne servaient à rien...).


3f3boxni50k58rq7e9ce9ddqrxgk - Eugenol
dentiste57

28/10/2014 à 23h43

jolies les endo! quel est le système que tu utilises ? gutta chaude ? système ??

pour pluton,
il semble qu'il te reste un léger volet osseux..
magnes toi d'extraire pendant qu'il existe encore.


HDent

29/10/2014 à 00h00

elle sont belle les peri implantites

j'adore la pose des implants sous stellite avant la retraite,

je dois m'en inspirer


12