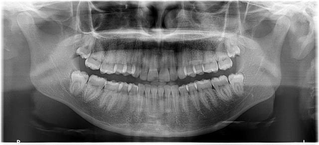
Cookie Consent byPrivacyPolicies.compéricoronarite sur la 48 - Eugenol

péricoronarite sur la 48

tT

25/10/2014 à 21h53

bonjour .

P1 n7tj5p - Eugenol

Méladig

25/10/2014 à 22h46

Je proposerai l'avulsion des 4 dents de sagesse en 1 séance en milieu spécialisé
D'évidence y pas de place ,ça va récidiver et le reste est impeccable !


Images jm2g2g - Eugenol
dr_0le

25/10/2014 à 22h55

Méladig écrivait:
-----------------
> Je proposerai l'avulsion des 4 dents de sagesse en 1 séance en milieu spécialisé
> D'évidence y pas de place ,ça va récidiver et le reste est impeccable !

+1, ag, 25 minutes et c'est réglé.. première fois ou pas.. l'indication est la..


Smile beach jgh0a1 - Eugenol
Céramik

26/10/2014 à 00h27

1- l'exo des 4 DDS est requise
2-l'exo aurait du être fait il y a qq temps déjà, voir 2-3 ans...
3-AG pour des DDS, super rare voir jamais chez moi...intervention de routine en cabinet dans mon coin...mais faut dire que les tarifs sont différents

--
Céramik


aterman

26/10/2014 à 01h34

Quel age?
Moins de 25 ans, extraction de 38-48 et reviendra a 40 ans pour 18 28.
Plus de 25 extraction 48.
Les tarifs sont pas les meme non plus par chez nous..


titou1705

26/10/2014 à 01h57

l'age c'est 21 ans


tT

26/10/2014 à 01h58

merci pour.


Image xo2y8o - Eugenol
Omnipratikus

27/10/2014 à 04h55

Bonjour
Perso je les fais sous AL 2 par 2
Attention petites caries : 46 distale 47 mesiale et peut être bien en distal de 47 et 37 un petit début ....
Donc rien de dramatique mais pas de ras
Avec un peu d habitude tu ne mets pas trop de temps et tu peux être dans les clous en coût horaire à part qq rares pénibles
Bonne extraction ?


Méladig

27/10/2014 à 09h20

Quand on fait des 8 sous AL ,ce qui est difficile,c'est la 2 eme séance....
Surtout si les suites de la 1 ère ont été douloureuses!


Et7jtaj0pdi18gzjlxjiamlx15gs - Eugenol
G_R_Ohm

27/10/2014 à 13h46

Certe ya pas la place... mais c'est une PREMIERE péricoronarite...
Je suis moi meme dans cette situation...

Prévenir simplement le patient que ca peut revenir, de bien brosser... et tout le tralala...

Je préfère attendre une deuxième manifestation et à ce moment décider des avulsions à réaliser.




Android jyzura - Eugenol
Tavéca

27/10/2014 à 14h05

G_R_Ohm écrivait:
-----------------
> Certe ya pas la place... mais c'est une PREMIERE péricoronarite...
> Je suis moi meme dans cette situation...
>
> Prévenir simplement le patient que ca peut revenir, de bien brosser... et tout
> le tralala...
>
> Je préfère attendre une deuxième manifestation et à ce moment décider des
> avulsions à réaliser.
>
>
>

Ca c'est reculer pour ne pas mieux sauter! ;)
L'indication est posée, si on attends risque de douleurs, et de carie interdentaire.
Donc on sort l'élévateur!


Images mg2jvu - Eugenol
zorg

28/10/2014 à 00h20


> > D'évidence y pas de place ,ça va récidiver et le reste est impeccable !
>
> +1, ag, 25 minutes et c'est réglé.. première fois ou pas.. l'indication est la..

tout à fait d'accord, même sans photo et en étant conscient qu'une pano déforme beaucoup à ce niveau, on voit quand même le début d'un kyste marginal postérieur.
Ok pour 30 minutes pour les 4 avec un peu d'habitude, même en AL dans ce cas précis si le patient est en confiance.


RépondreCiter
Aiguille cyboyt - Eugenol
fatboy

28/10/2014 à 03h47

30' pour les 4, vous etes balaises!
Moi il me faut 30' pour 2, installation, anesthesie, bain de bouche, incision alveolectomie, retirer le sac, gelatemp suture.
En general je les revois 2 semaines apres pour l'autre cote, et je ne crois qu'un seul m'ait dit preferer faire les 4 en une seance, a posteriori.


Images mg2jvu - Eugenol
zorg

30/10/2014 à 18h47

fatboy écrivait:
----------------
> 30' pour les 4, vous etes balaises!
> Moi il me faut 30' pour 2, installation, anesthesie, bain de bouche, incision
> alveolectomie, retirer le sac, gelatemp suture.
> En general je les revois 2 semaines apres pour l'autre cote, et je ne crois
> qu'un seul m'ait dit preferer faire les 4 en une seance, a posteriori.

Attention je parle bien de celles sur la radio qui sont plutôt faciles, pas de 4 sagesses en général. Pour gagner du tps on peut par exemple faire l'anesthésie du second coté juste avant de faire les sutures du premier. Le tps opératoire réel hors préparation AL et sutures c'est dans ce cas 5 minutes pour 38, 5 pour 48 et 3 minutes pour 18, 3 pour 28. En AG (en clinique, pas en CH) on réserve en moyenne 30 minutes de temps op réel pour 4 sagesses. Après je suis certainement moins rapide que toi pour faire une bio molaire ou une taille de couronne, question d'habitude.


tT

08/11/2014 à 19h52

j ai essayer ce matin d'extra.


Smile beach jgh0a1 - Eugenol
Céramik

08/11/2014 à 21h32

titou1705 écrivait:
-------------------
> j ai essayer ce matin d'extraire la 48 et 18 sous AL c'était un énorme échec je
> suis vraiment déçu



Tu peux expliquer un peu ton échec ...

Je dois faire 300++ exo de DDS par an

95 % du temps, les 4 en même temps, tjrs sous AL.

Attendre n’est que rarement une solution. Je vois toutes les sem des cas compliqués, car le dentiste précédent disait d'attendre plus de symptômes, donc il y a carie, douleur, lésion osseuse, dents voisines cariées, résorbées, racines plus proches du NAI, etc...bref tout pour rendre un cas simple plus complexe...








--
Céramik


Canin

08/11/2014 à 21h39

Céramik écrivait:
-----------------
> titou1705 écrivait:
> -------------------
> > j ai essayer ce matin d'extraire la 48 et 18 sous AL c'était un énorme échec
> je
> > suis vraiment déçu
>
>
>
> Tu peux expliquer un peu ton échec ...
>
> Je dois faire 300++ exo de DDS par an
>
> 95 % du temps, les 4 en même temps, tjrs sous AL.
>
> Attendre n’est que rarement une solution. Je vois toutes les sem des cas
> compliqués, car le dentiste précédent disait d'attendre plus de symptômes, donc
> il y a carie, douleur, lésion osseuse, dents voisines cariées, résorbées,
> racines plus proches du NAI, etc...bref tout pour rendre un cas simple plus
> complexe...
>
>
>
>
>
>
>
>
> --
> Céra


Pareil, comprends pas.

--
Canin


tT

09/11/2014 à 00h03

c'est a cause d une lim
.


aterman

09/11/2014 à 10h25

Des dents ankylosees a 21 ans, j ai jamais vu. L os c est du beurre a cet age.
Par contre des racines de 48 qu il fallait separer si ca partait pas au premier coup d elevateur, oui peut etre.
Ensuite pour ce qui est de l ouverture buccale, c est a la consultation pre op qu on voit ca. On peut poser une cale interdentaire pour soulager le patient et lui faire ca sous Stesolid ou midazolam, apres il fait tout ce que tu veux...

Ensuite je commence toujours par la plus compliquee et s il y aeut bonne cooperation du patient, il desire frequemment faire l autre dans la foulee.

Dernier facteur le prix, a 5-600 euros la dent, il est financierement tres rare de faire les 4.:0))
Mais bon le bloc est au 10 eme etage avec vue sur la mer... Tout a un prix.


Qu est ce qui n a pas fonctionne selon toi? Cooperation du patient? Anesthesie? Ton stress? Lambeau d entree ou pas? Combien de temps cela a pris?


totototomie

09/11/2014 à 10h54

L'indication d'avulsion d'une DDS asymptomatique chez l'adulte est toujours discutable.

Comme toujours, le rapport bénéfice/risque, a discuter avec le patient.

Aterman, es tu déconventionné?


aterman

09/11/2014 à 11h43

Non exile...


John gp55mb - Eugenol
Faivre-rampant

09/11/2014 à 11h51

Exiler où ?


Index vakr2r - Eugenol
pgc

09/11/2014 à 19h25

A 500 € la DS je pense qu' Aterman est au moins exilé au Luxembourg :))
A la réflexion avec vue sur la mer le Luxembourg parait peu probable.

Au prix payé en France pour cet acte j'envoie tout en clinique sous AG, le sto gagne sa vie et moi je ne gâche pas la mienne.


Index vakr2r - Eugenol
pgc

09/11/2014 à 19h27

titou1705 écrivait:
-------------------
> j ai essayer ce matin d'extraire la 48 et 18 sous AL c'était un énorme échec je
> suis vraiment décu

Console toi. Et d'un: ça arrive, et de deux: tu as maintenant un excellent prétexte pour adresser ton patient à un chirurgien qui sera payé pour son travail.


tT

09/11/2014 à 20h03

545644


12