Cookie Consent byPrivacyPolicies.compéricoronarite sur la 48 - Eugenol

péricoronarite sur la 48

Index vakr2r - Eugenol
pgc

09/11/2014 à 20h59

Un stomato, un maxillo-facial, ce que tu as sous la main chez toi. Tu n'as pas de correspondant pour la chirurgie?


John gp55mb - Eugenol
Faivre-rampant

10/11/2014 à 10h43

Est ce qu'il existe une formation en chirurgie pour etre a l'aise pour l'avulsion des sagesses ?
Si possible dans la region grand est ou paris .

(Autre question comment faire losque que l'on est salarie car pour les formation, il n'y a pas de frais professionnels)


Image r6habu - Eugenol
Thomas Crown

10/11/2014 à 10h54

-Tu peux être salarié et passer aux frais réels, avec l'aide d'un comptable, ou pas.
-Je recherche moi aussi une formation solide pour les sagesses et les canines incluses( à tracter ou extraire), les resections apicales ..
-titou, la chir buccale reste une montagne, il faut se former, et aimer .


Canin

10/11/2014 à 18h36

Faivre-rampant écrivait:
------------------------
> Est ce qu'il existe une formation en chirurgie pour etre a l'aise pour
> l'avulsion des sagesses ?
> Si possible dans la region grand est ou paris .
>
> (Autre question comment faire losque que l'on est salarie car pour les
> formation, il n'y a pas de frais professionnels)


Formation diplomante En France, y'en a pas ou plus ou pas beaucoup à proprement parlé en dehors du DESCO.

Par contre, vous pouvez trouver un chirurgien sympa que vous pouvez assister régulièrement et qui veut bien à un moment donné vous assister pour vos premiers gestes.

Sinon je vous propose de chercher un poste d'attaché hospitalier dans un service de maxillo, stomato ou chir buccale et y rester suffisant longtemps pour vous former ou faire former, c'est à dire pas juste 3 mois et basta mais bien 2 ans ou plus en complément de votre activité. Je pense que l'apprentissage de la chirurgie ne se fait dans les bouquins. Il suffit pas de montrer une fois et c'est bon. Le mieux est d'envisager le truc sur la durée.

Tout dépend aussi des objectifs que vous vous fixez. Sinon vous pouvez toujours essayer de rejoindre Aterman en Suède.

--
Canin


aterman

11/11/2014 à 13h04

Ouai faut venir, mais oubliez pas le gros manteau, les patins a glace et les pneus neige

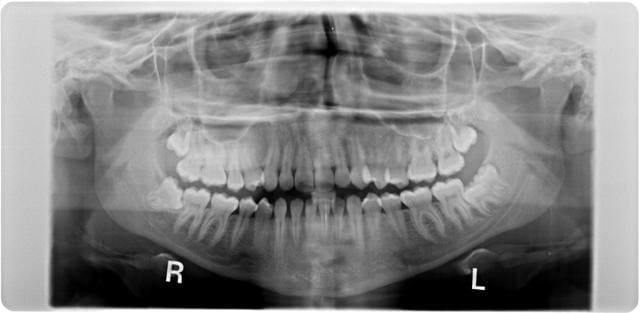
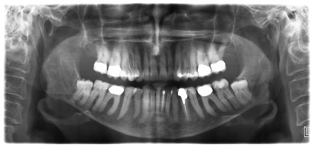
Des sagesses de toutes les formes vous attendent... Ca c etait ce matin...
Apres examen CBCT on laisse la 48 en place et si nouvel episode douloureux, coronectomie partielle.
Ps Sur la pano, 8 couronnes et une dent devitalisee(patiente de 75 ans). On a pas la meme secu.

Qui veut faire la 38?

Cbct1 zg8tkg - Eugenol
Op ex 2 a2p1qy - Eugenol

Canin

11/11/2014 à 16h13

aterman écrivait:
-----------------
> Ouai faut venir, mais oubliez pas le gros manteau, les patins a glace et les
> pneus neige
>
> Des sagesses de toutes les formes vous attendent... Ca c etait ce matin...
> Apres examen CBCT on laisse la 48 en place et si nouvel episode douloureux,
> coronectomie partielle.
>
> Qui veut faire la 38?
>
Moi je veux bien faire la 38.

--
Canin


aterman

11/11/2014 à 17h23

Apporte ton davier a jumelles.. :0)


12