Cookie Consent byPrivacyPolicies.comdemain hypochlorite 6% ? - Eugenol

demain hypochlorite 6% ?

Licorne

29/10/2014 à 20h43

http://www.eugenol.com/sujets/75985-hematome-maouss?page=1
Alors ca va pas etre triste pour ceux qui vont se rater.:)))))


John gp55mb - Eugenol
Faivre-rampant

29/10/2014 à 22h16

J'utilise de l'hypochlorite à 6.5% jamais de problème.
fait faire des radios instrumentées et avoir un detecteur à apex mdr


Licorne

29/10/2014 à 22h31

Faivre-rampant écrivait:
------------------------
> J'utilise de l'hypochlorite à 6.5% jamais de problème.
> fait faire des radios instrumentées et avoir un detecteur à apex mdr

mdr? Ah ouais :)))


malaire

29/10/2014 à 22h52

http://www.eugenol.com/sujets/75985-hematome-maouss?page=1

Vous avez vu, beaucoup des intervenants de 2005 ont déserté le forum ...
On a ainsi perdu pas mal de beau monde comme Stéphane Simon ou Willy Pertot (entre-autres) en endo ou d'autres pointures en implanto.

Vous allez me dire à juste titre que certains ont pris leur retraite ou ont quitté la France mais quand même.

N'y aurait-il pas une dérive vers des dérapages de plus en plus fréquents avec de 'nouveaux inscrits' et des polémiques de plus en plus stériles bardées d'invectives et même parfois d'injures.

On a vu récemment plusieurs comptes fermés à la suite de dérives verbales haineuses de leurs auteur(e)s.

C'est dommage de perdre des gens de valeur qui pouvaient nous apporter beaucoup en les décourageant avec des querelles d'ego et des taux de testostérone trop élevés.

On va de plus en plus vers des débats de café du commerce avec des intervenants buttés et arc-boutés sur leurs positions au détriment des échanges cliniques qui apporteraient beaucoup plus à condition de ne pas vouloir jouer les Mr JeSaisTout à tout prix.

J'ai appris pas mal de chose ici depuis que je suis inscrit (d'abord en noir sous un autre pseudo) mais je trouve que la qualité des échanges est de plus en plus mauvaise.

Voilà ma réflexion du soir, qui n'a rien a voir avec le sujet et je m'en excuse mais j'avais envie de le dire depuis un petit moment et l'exhumation de ce fil m'en a donné l'occasion.


Licorne

30/10/2014 à 00h27

malaire écrivait:
-----------------
> http://www.eugenol.com/sujets/75985-hematome-maouss?page=1
>
> Vous avez vu, beaucoup des intervenants de 2005 ont déserté le forum ...
> On a ainsi perdu pas mal de beau monde comme Stéphane Simon ou Willy Pertot
> (entre-autres) en endo ou d'autres pointures en implanto.
>
> Vous allez me dire à juste titre que certains ont pris leur retraite ou ont
> quitté la France mais quand même.
>
> N'y aurait-il pas une dérive vers des dérapages de plus en plus fréquents avec
> de 'nouveaux inscrits' et des polémiques de plus en plus stériles bardées
> d'invectives et même parfois d'injures.
>
> On a vu récemment plusieurs comptes fermés à la suite de dérives verbales
> haineuses de leurs auteur(e)s.
>
> C'est dommage de perdre des ens de valeur qui pouvaient nous apporter beaucoup
> en les décourageant avec des querelles d'ego et des taux de testostérone trop
> élevés.
>
> On va de plus en plus vers des débats de café du commerce avec des intervenants
> buttés et arc-boutés sur leurs positions au détriment des échanges cliniques qui
> apporteraient beaucoup plus à condition de ne pas vouloir jouer les Mr
> JeSaisTout à tout prix.
>
> J'ai appris pas mal de chose ici depuis que je suis inscrit (d'abord en noir
> sous un autre pseudo) mais je trouve que la qualité des échanges est de plus en
> plus mauvaise.
>
> Voilà ma réflexion du soir, qui n'a rien a voir avec le sujet et je m'en excuse
> mais j'avais envie de le dire depuis un petit moment et l'exhumation de ce fil
> m'en a donné l'occasion.

Tu as bien compris que l'alea therapeutique peut arriver à n'importe qui et que dire de ce type de.probleme quand on sait que les.concentrations de naocl ne cessent de croitre.
Fontaine je.ne .........tel n'est pas mon discours et je n'ai aucune raison d'en changer.
Pour ceux qui croient qu'ils sont si bons que jamais rien ne leur arrivera je les laisse vieillir tranquillement car le temps fera le reste.


malaire

30/10/2014 à 00h51

Tu as raison Licorne, revenons-en plus prosaïquement à l'hypochlorite...

En ce qui me concerne j'utilise la concentration de 2,6% telle qu'elle est vendue dans les grandes bouteilles.
Je croyais que c'était le consensus ?

En plus, je sais pas vous, mais moi j'ai de temps en temps des problèmes d'étanchéité de la digue: le patient se met à tousser comme un malade et il y a intérêt à déclamper fissa pour rincer à l'eau claire.
Alors à 6% j'ose même pas imaginer !


Licorne

30/10/2014 à 02h35

Ben au moins on a tous les memes pbs.
Le plus grave est d' utiliser des antiseptiques qui
peuvent avoir des consequences aussi graves.
Imaginez une goutte de javel à 6% dans l'oeil du patient ou dans le
periapex avec un petit transfert chez l'ophtalmo ou le stomato de garde.
je te parle pas des 4 fois ou j'ai pété un niti en fin de trt apres 80 mn de boulot.
Là aussi t'as pas l'air con.
Une endo bien faite c'est bien........surtout quand t'as pas d'emmerdes.
J'aimerais bien qu'un endo exclusif me dise qu'il n'a jamais pété un niti.
mais je crois bien que je n'en trouverai pas.
Les 2 sujets conicite 6% et hypochlorite 6% ne sont pas des sujets anodins
et si j'y ai pensé c'est que j'essaie au mieux de m'affranchir des emm....
Passez une bonne nuit malaire.

ps il semble que la cytotoxicite de la chlorhexedine soit nulle.
a suivre sur l'utilisation du mercryl laurylé.


X ray 03 medium zvq18j - Eugenol
cyber_quenottes

30/10/2014 à 09h33

malaire écrivait:
-----------------
Vous avez vu, beaucoup des intervenants de 2005 ont déserté le forum ...
> N'y aurait-il pas une dérive vers des dérapages de plus en plus fréquents avec de 'nouveaux inscrits' et des polémiques de plus en plus stériles bardées d'invectives et même parfois d'injures.

==================

il faut dire aussi que les invectives de nature syndicales sont en réaction à l'arrivée de désinformateurs csnd envoyés ici dans l'unique but de nous vendre leur soupe

les yobi , macho et autres ne s'expriment plus depuis 1 mois car ils savent que leur but est atteint , la ccam sera effective dans 3 j

il y a un moment ou cette "infiltration" peut rendre nerveux


malaire

30/10/2014 à 10h41

@Licorne: le consensus c'est quand même l'hypochlorite et je ne crois pas qu'il y ait des remplaçants.
En plus les tâches sur les vêtements des patients c'est pas top non plus: j'ai même eu des trous sur un joli chemisier en mousseline noire d'une patiente (pas transparent je précise).
Quant à la conicité 6% (je ne sais pas quel système tu utilises) mais c'est trop rigide pour passer les courbures malgré l'élasticité du NiTi.
Par contre il existe des mandrins pour utiliser les instruments rotatifs manuellement mais je ne sais pas si c'est une bonne solution.
Perso, j'utilise les Protapers depuis pratiquement leur début et je n'en suis qu'à 3 casses et toujours largement de ma faute: les instruments ne cassent pas sans prévenir et se dévrillent avant.

@Cyber: Tout à fait d'accord mais toi qui est un "vieux de la vieille" et qui a aussi connu le forum à ses débuts tu dois aussi sentir la dérive et le manque d'intérêt croissant des sujets (sans parler des querelles syndicales qui me gonflent meumeu). On a vraiment perdu des pointures dans tous les domaines pour ne récupérer souvent des polémistes ou des ego avec un E majuscule.
Mais bon il faut faire avec. ou alors c'est moi qui devient intolérant.
(Encore désolé Licorne de polluer ton sujet ...)


Capture d  cran 2015 03 12 12.28 - Eugenol
chicot29

30/10/2014 à 10h43

J'utilise le naocl+ coltene à 6 % depuis 6 mois. Ras ( pas plus d'arthrites qu'avant notamment). Par contre pas essayé en défonçant les apex.-))))
Au sujet des protapers, (F1,F2) ils sont effectivement trop rigides et peuvent faire des butées si pas utilisés de façon correcte. Et surtout ils cassent sans prévenir. Le s1 se dé-vrille mais pas les autres.


malaire

30/10/2014 à 10h50

Et la justification du 6%, c'est pour gagner du temps, pour mieux désinfecter ?
J'avoue ne pas savoir.

Edit: tu utilises quoi Chicot, Réciproc je crois ?


Capture d  cran 2015 03 12 12.28 - Eugenol
chicot29

30/10/2014 à 10h55

Ben tu dois t'en apercevoir quand tu essayes tes cones de gutta à 6 % non ? pour avoir la meme rigidité avec du 2 % il faut aleser à 40 minimum. De plus à 6 % tes cones sont bloqués de par leur conicité, ( dans les cas ou ils dépassent un peu tu peux les couper) ce qui n'est pas le cas à 2 %.
Oui, réciproc il faut que tu essaies j'étais au pro taper avant je n'utilise plus que le sx et le s1, j'ai remplacé F1 et F2 par le R25 et c'est le jour et la nuit.


malaire

30/10/2014 à 11h31

Donc séquence SX - S1 et R25 et c'est tout. Ok
ça oblige à avoir un moteur en plus.
C'est vrai que le SX est merveilleux, il passe dans les canaux les plus fins et je n'en ai jamais cassé (mes 3 casses c'était des rouges).


Capture d  cran 2015 03 12 12.28 - Eugenol
chicot29

30/10/2014 à 12h02

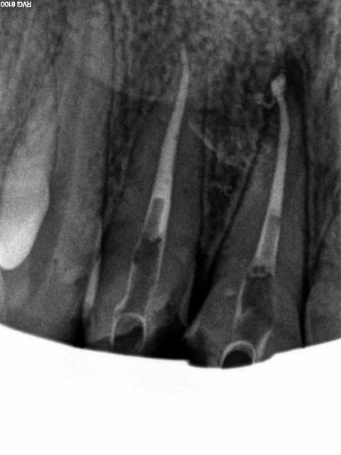
Cas concret ...... en cours pause après 3/4 d'heure. taille à suivre, c'est là ou je chie, ca manque de finesse ! -)))))
Noter le repositionnement des cones , en 2 % c'est impossible.

1 may70l - Eugenol
2 fhfrp0 - Eugenol
5 ygunxz - Eugenol
7 mvjwhj - Eugenol
8 igxtty - Eugenol
3 fd1ico - Eugenol
4 nvoole - Eugenol
6 gjykej - Eugenol

6szjws718sv1jksw54v4mpj3a6cu - Eugenol
vulpi

30/10/2014 à 13h11

bonjour, quelques trucs utilisés dans mon Cab, ils n'engagent que moi.
Pour les taches d'hypochlorite, utiliser des serviettes plastifiées.
Pour les yeux, il n'y a pas que l'hypochlorite, acide ortho, acide maléîque, outils piquants, mettre des lunettes de protection aux patients.
Afin de limiter le risque "d'irrigation intempestive de l'apex", faire un mouvement de va et vient avec l'aiguille dans le canal, s"arrêter à 4mm de l'apex.
2.6% c'est 15 à 20 minute de barbotage, tu peux "potentialiser" ton hypochlorite, soit par des moyens mécaniques, soit en la réchauffant (chauffe biberon) tout en restant raisonnable, cad tiède pas bouillante.
Si protaper, ta lime K15 préalable au S1 doit être "libre" pas de sensation de blocage+ glyde+++, et se méfier des courbures importantes.


Capture d  cran 2015 03 12 12.28 - Eugenol
chicot29

30/10/2014 à 13h34

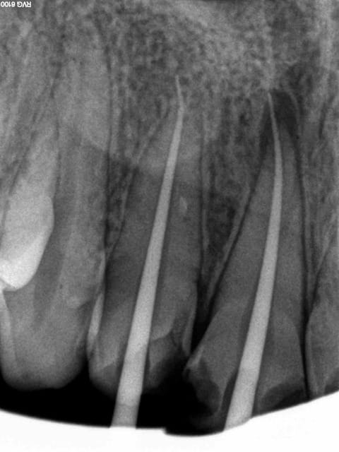
Et 1 h plus tard, fin du massacre conventionnel, no post no crown !.-)))

3 cvcjke - Eugenol
1 guqoin - Eugenol
2 v4h37g - Eugenol
4 s7ibd3 - Eugenol
5 ikfkap - Eugenol

Img 2951 flo3gr - Eugenol
molinarius

30/10/2014 à 16h56

chicot29 écrivait:
------------------
> Et 1 h plus tard, fin du massacre conventionnel, no post no crown !.-)))

un cas pour protiROUEN ! ;)


DLLB

30/10/2014 à 18h36

chicot29 écrivait:
------------------
> Ben tu dois t'en apercevoir quand tu essayes tes cones de gutta à 6 % non ?
> pour avoir la meme rigidité avec du 2 % il faut aleser à 40 minimum. De plus à 6
> % tes cones sont bloqués de par leur conicité, ( dans les cas ou ils dépassent
> un peu tu peux les couper) ce qui n'est pas le cas à 2 %.
> Oui, réciproc il faut que tu essaies

Pour info le reciproc 025, 8%de conicitée et non 6% sur les 3 derniers mm


Homer simpson wallpaper brain 1024 f4t8dv - Eugenol
Jpeg

30/10/2014 à 22h42

chicot29 écrivait:
------------------
> Et 1 h plus tard, fin du massacre conventionnel, no post no crown !.-)))

Bistouri Elec pour l'éviction gingivale ?


Capture d  cran 2015 03 12 12.28 - Eugenol
chicot29

30/10/2014 à 23h42

Oui, fraise touati avant et expasyl après. C'est pas top, mais je ne supporte pas d'utiliser le fil rétracteur. Le laser peut etre ? mais comme d'habitude il faut payer pour voir.


Cquenotte

31/10/2014 à 12h27

chicot29 écrivait:
------------------

> Oui, réciproc il faut que tu essaies j'étais au pro taper avant je n'utilise
> plus que le sx et le s1, j'ai remplacé F1 et F2 par le R25 et c'est le jour et
> la nuit.


Tu as donc 2 moteurs endo ? Un en rotation continue et l'autre pour le reciproc ?


La linea jygxfy - Eugenol
wodka

31/10/2014 à 13h31

chicot29 écrivait:
------------------
> Cas concret ...... en cours pause après 3/4 d'heure. taille à suivre, c'est là
> ou je chie, ca manque de finesse ! -)))))
> Noter le repositionnement des cones , en 2 % c'est impossible.

chicot29 quelle méthode d'obturation?


Capture d  cran 2015 03 12 12.28 - Eugenol
chicot29

31/10/2014 à 14h07

Cquenotte écrivait:
-------------------
> chicot29 écrivait:
> ------------------
>
> > Oui, réciproc il faut que tu essaies j'étais au pro taper avant je n'utilise
> > plus que le sx et le s1, j'ai remplacé F1 et F2 par le R25 et c'est le jour et
> > la nuit.
>
>
> Tu as donc 2 moteurs endo ? Un en rotation continue et l'autre pour le reciproc
> ?

3 un, par instrument fois 2 fauteuils = 6.-)))

Non je n'ai que l'entran en simple. C'est peu encombrant il reste dans mon tub d'endo.


Capture d  cran 2015 03 12 12.28 - Eugenol
chicot29

31/10/2014 à 14h12

wodka écrivait:
---------------
> chicot29 écrivait:
> ------------------
> > Cas concret ...... en cours pause après 3/4 d'heure. taille à suivre, c'est là
> > ou je chie, ca manque de finesse ! -)))))
> > Noter le repositionnement des cones , en 2 % c'est impossible.
>
> chicot29 quelle méthode d'obturation?

Monocone scellé, système B (pluger chauffé) + condensation verticale au machtou.
On va dire que vu le tarif des endos en France, une seule vague de gutta chaude suffit.-))))


La linea jygxfy - Eugenol
wodka

31/10/2014 à 18h48

Merci


12