Cookie Consent byPrivacyPolicies.comresorption interne ? - Eugenol
rvb

03/11/2014 à 21h00

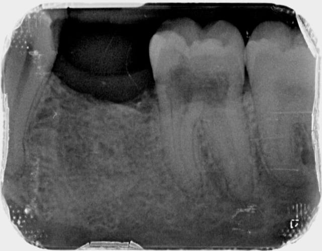
dent asymtomatique,je pense qu'il faut faire l'endo pour stopper le processus,le plancher ne semble pas perforé.
cette conduite vous parait-elle la bonne?

Inconnu x 20141103 164329 xvlrzwmnq8hw 4 mo5ci2 - Eugenol

Nouveau image bitmap fz77zh - Eugenol
Sethef

03/11/2014 à 21h24

Vérifie quand même qu'il n'y ait pas une carie sous gingivale au collet, lingual ou vestibulaire, ça montre le même type d'image.
Sinon, oui, endo.


boxdistal

03/11/2014 à 21h53


oui il faut tenter l'endo pour une résorption interne, mais je ne donne pas cher de la peau de cette dent. On ne voit rien sur la radio, mais il y a de très fortes chances à ce stade de résorption pour qu'il y ait perforation en sous gingival.


--
"araignée du gratin, machin"


Android jyzura - Eugenol
Tavéca

04/11/2014 à 13h43

boxdistal écrivait:
-------------------
>
> oui il faut tenter l'endo pour une résorption interne, mais je ne donne pas cher
> de la peau de cette dent. On ne voit rien sur la radio, mais il y a de très
> fortes chances à ce stade de résorption pour qu'il y ait perforation en sous
> gingival.
>

Totalement d'accord
Appelée aussi granulome idiopathique interne.
Différenciation des tissus très difficile, microscope ou loupes recommandées.


Utilisateur banni

04/11/2014 à 14h45

Pour ne pas perdre de temps il faut surtout une 3D de qualité.


Android jyzura - Eugenol
Tavéca

07/11/2014 à 09h48

neb écrivait:
-------------
> Pour ne pas perdre de temps il faut surtout une 3D de qualité.

Les indications cliniques seront plus pertinentes.
Il faudrait cureter la lésion et prendre alors la décision thérapeutique de visu.
Mais je pense que c'est trop tard pour la conserver.


rvb

07/11/2014 à 14h06

Compte tenu de vos éclaircissements je vais prévenir le patient qu'il faut sans doute une dent de plus sur le Stellite envisagé ,même si je vais tenter l'endo et évaluer aprés curetage la possibilité de conserver cette molaire à long terme .


Android jyzura - Eugenol
Tavéca

07/11/2014 à 14h19

rvb écrivait:
-------------
> Compte tenu de vos éclaircissements je vais prévenir le patient qu'il faut sans
> doute une dent de plus sur le Stellite envisagé ,même si je vais tenter l'endo
> et évaluer aprés curetage la possibilité de conserver cette molaire à long terme
> .

Alors si il y a un stellite envisagé, je réfléchi même pas c'est extraction!
Par contre pour la curiosité, ouvre, tu vas voir les tissus sont très indifférencié.


Utilisateur banni

07/11/2014 à 16h23

C'est très pertinent. Tu donnes un rdv de 1h30 pour traitement canalaire. Tu anesthésies, curettes les tissus ramollis et décides d'extraire. Puis pertinemment tu factures l'extraction une trentaine d'euros pour ton heure et demie.

Sinon tu peux aussi donner un rdv de 30 minutes pour voir. Tu anesthésies, curettes et décides que le traitement est réalisable. Tu mets un IRM sur les moignons pulpaires puis factures pertinemment rien du tout puisque l'endo n'est pas finie.

Sinon tu fais un cbct et selon ce que tu vois tu décides.