Cookie Consent byPrivacyPolicies.comCompo facile - Eugenol
003 penrd2 - Eugenol
Cingulum

10/11/2014 à 14h59

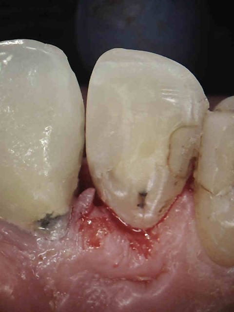
Un peu de Registrans (silicone transparent) et le compo devient facile ;)


--
Dr Cingulum
-----Ancien interné----
----Attaché à l'apex----
http://www.clinic-all.fr/ formation par passion

 mg 7262 w3kr0f - Eugenol
Compo  1  tm0ica - Eugenol
Compo  2  sybe5j - Eugenol
Compo  4  mgtloe - Eugenol
Compo  5  gjz0bm - Eugenol
Compo  6  jatise - Eugenol
Compo  7  uj0ux9 - Eugenol

Android jyzura - Eugenol
Tavéca

10/11/2014 à 17h27

Cingulum écrivait:
------------------
> Un peu de Registrans (silicone transparent) et le compo devient facile ;)

ça j'aime!
Mais gare aux excès difficile à voir et à polir dans les sillons voisins


Darmon - Eugenol
Latin

10/11/2014 à 17h32

Bonne idée!
Tu prends quoi comme compo? parce que j'imagine qu'il faut qu'il soit assez fluide pour fuser partout... mais également assez chargé pour résister à l'abrasion.


003 penrd2 - Eugenol
Cingulum

10/11/2014 à 18h29

ESTELITE QUICK ... ;)

--
Dr Cingulum
-----Ancien interné----
----Attaché à l'apex----
http://www.clinic-all.fr/ formation par passion


John gp55mb - Eugenol
Faivre-rampant

10/11/2014 à 20h46

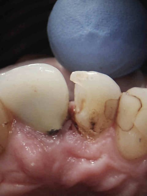
cela limite le nombre de cas possible.
il faut que la carie de touche que la face occlusale...


Img 3657 cwjvqm - Eugenol
alapex

10/11/2014 à 20h47

Cingulum ne sait pas faire les onlays ?!?!?
Je reviens sur ce forum ....)))


G-P

13/11/2014 à 12h26

Tu as pris 19€ pour ce cas ou 16 € ?


Capture d  cran 2015 03 12 12.28 - Eugenol
chicot29

13/11/2014 à 17h07

Faivre-rampant écrivait:
------------------------
> cela limite le nombre de cas possible.
> il faut que la carie de touche que la face occlusale...

non c'est possible aussi sur des classes 2. Tu reconstruis la face distale, tu vires la matrice et tu te retrouves en classe 1.
Mais le problème vient plutôt du banquier qui ne va pas tarder à t'appeller si tu généralises cette technique.-)))))


003 penrd2 - Eugenol
Cingulum

13/11/2014 à 17h18

19,28€ exactement environ 30mn de RDV soit environ 100€ de frais...
Mais mais.... Moi de bonne humeur pour la journée, ma patiente et sa maman qui ont vu une image du dentiste positive (ça change ces temps ci..)

--
Dr Cingulum
-----Ancien interné----
----Attaché à l'apex----
http://www.clinic-all.fr/ formation par passion


John gp55mb - Eugenol
Faivre-rampant

13/11/2014 à 17h26

Cela devient du n'importe quoi si on est obligé de faire du bénévolat (enfin à ce prix on peut parler de bénévolat) pour avoir une bonne image....


Capture d  cran 2015 03 12 12.28 - Eugenol
chicot29

13/11/2014 à 19h04

Cingulum écrivait:
------------------
> 19,28€ exactement environ 30mn de RDV soit environ 100€ de frais...
> Mais mais.... Moi de bonne humeur pour la journée, ma patiente et sa maman qui
> ont vu une image du dentiste positive (ça change ces temps ci..)
>
> --
> Dr Cingulum
> -----Ancien interné----
> ----Attaché à l'apex----
> http://www.clinic-all.fr/ formation par passion


80 euros le compo, en effet c'est pas cher ! -))))

CPEF ! -)))


Bebe 038 nf8eum - Eugenol
danteyeah

14/11/2014 à 03h11

Cingulum écrivait:
------------------
> 19,28€ exactement environ 30mn de RDV soit environ 100€ de frais...
> Mais mais.... Moi de bonne humeur pour la journée, ma patiente et sa maman qui
> ont vu une image du dentiste positive (ça change ces temps ci..)
>
> --
> Dr Cingulum
> -----Ancien interné----
> ----Attaché à l'apex----
> http://www.clinic-all.fr/ formation par passion

+1, cela peut paraître suspect pour certains ( chicot toujours fidèle au poste, pour nous rappeler notre hérésie comptable ;-)), mais c'est un vrai "kif", un cadeau aux patients de temps à autres ( aux patients " aware" comme dit Alapex), et certainement pas du bénévolat, Faivre.
Le dernier mot de la signature de Cingulum, est "passion", y'a pas a chercher plus loin!


Capture ddc6bm - Eugenol
sumble

14/11/2014 à 21h26

Faivre-rampant écrivait:
------------------------
> Cela devient du n'importe quoi si on est obligé de faire du bénévolat (enfin à
> ce prix on peut parler de bénévolat) pour avoir une bonne image....


C'est pas du bénévolat. C'est l'expression d'un état d'esprit: la passion de soigner, de donner le meilleur de soi même. Et même si les honoraires sont indécents, ça ne l'altère pas. C'est ça donner une image positive.


Une chose qu'il ne faut pas oublier: la nomenclature n'est pas imposée, c'est la profession qui signe (ou plutôt qui laisse n'importe qui signer depuis un bon moment...).


Capture d  cran 2015 03 12 12.28 - Eugenol
chicot29

14/11/2014 à 21h33

sumble écrivait:
----------------

>
> C'est pas du bénévolat. C'est l'expression d'un état d'esprit: la passion de
> soigner, de donner le meilleur de soi même. Et même si les honoraires sont
> indécents, ça ne l'altère pas. C'est ça donner une image positive.
>

Bien sur, mon petit doigt me dit que ton "image positive" va prendre du plomb dans l'aile à la première ceram qui va pointer son nez.-))))
Alors qu'avec un bon vieil amalgame au pouce fait en 5 mn et une ceram moins chère ca passe mieux ! -)))))


Capture d  cran 2015 03 12 12.28 - Eugenol
chicot29

20/11/2014 à 22h22

danteyeah écrivait:
-------------------
> Cingulum écrivait:
> ------------------
> > 19,28€ exactement environ 30mn de RDV soit environ 100€ de frais...
> > Mais mais.... Moi de bonne humeur pour la journée, ma patiente et sa maman qui
> > ont vu une image du dentiste positive (ça change ces temps ci..)
> >
> > --
> > Dr Cingulum
> > -----Ancien interné----
> > ----Attaché à l'apex----
> > http://www.clinic-all.fr/ formation par passion
>
> +1, cela peut paraître suspect pour certains ( chicot toujours fidèle au poste,
> pour nous rappeler notre hérésie comptable ;-)), mais c'est un vrai "kif", un
> cadeau aux patients de temps à autres ( aux patients " aware" comme dit Alapex),
> et certainement pas du bénévolat, Faivre.
> Le dernier mot de la signature de Cingulum, est "passion", y'a pas a chercher
> plus loin!

Suspect hein ? -)))) Là faut pas se vautrer avec le coin en plastique, tu n'as le droit qu' à un essai. Je suis quand meme plus rapide en mode taille crayon, 45 mn c'est long quand on s'applique, je me demande meme si j'ai pas un indu j'ai facturé un angle 43 euros. -))))

1 vqlqeo - Eugenol
2 tiz20s - Eugenol
3 phmaq4 - Eugenol
4 o9ik3g - Eugenol
5 ve6k8z - Eugenol
6 s101zf - Eugenol
7 biidvq - Eugenol
8 izz7hv - Eugenol
9 aljbz6 - Eugenol
10 gel7ar - Eugenol
11 t0hrnt - Eugenol
12 epsjoz - Eugenol
13 iarjmw - Eugenol
14 i7ff75 - Eugenol

Nouveau image bitmap fz77zh - Eugenol
Sethef

20/11/2014 à 22h58

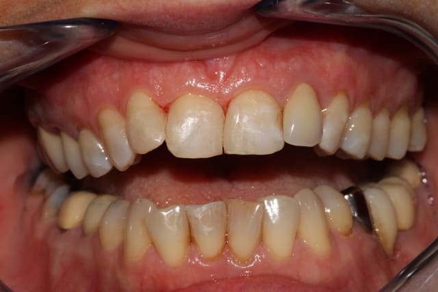
En même temps, pourquoi tu ne les as pas tous refaits? C'est tout de suite plus valable financièrement.


(je suis un âne, j'ai oublié la 21 distale.)

Img 3033 p5qfve - Eugenol
Img 3059 u7cov0 - Eugenol

Joker

20/11/2014 à 23h08

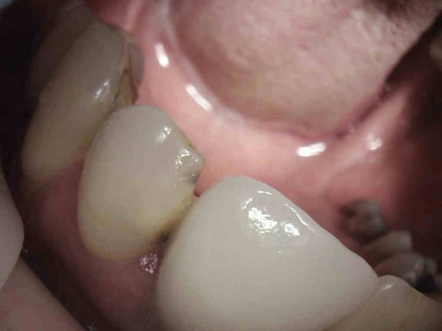
Peux-tu Cingulum décrire le protocole opératoire pour cette belle reconstruction de la face occlusale stp.
+1 pour ce travail méticuleux surtout pour ce prix là.


--
je crois au soleil même quand il ne brille pas


Capture d  cran 2015 03 12 12.28 - Eugenol
chicot29

20/11/2014 à 23h32

Sethef écrivait:
----------------
> En même temps, pourquoi tu ne les as pas tous refaits? C'est tout de suite plus
> valable financièrement.
>
>
> (je suis un âne, j'ai oublié la 21 distale.)

Tu plaisantes j'espère ?
Les autres n'étaient pas justifiés. Comme ceux que tu as refaits d'ailleurs pour un motif purement esthétique. Ou alors c'est NPC et c'est pas la meme messe niveau tarifs.
Ca vaut aussi pour les amalgames, les couronnes acier, refaits en composite ou ceram uniquement pour motifs esthétiques.


Nouveau image bitmap fz77zh - Eugenol
Sethef

20/11/2014 à 23h49

2 axes de réflexion:
-je ne me rappelle plus du tout de ce cas, j'ai juste retrouvé les photos dans le dossier à classer, mais je suis prêt à parier que c'était joliment infiltré dessous. Peux pas le jurer.

-je ne connais pas les détails réglementaires sur le sujet, mais une reconstruction antérieure n'inclut-elle pas une dimension esthétique? Si je compare à la chir par exemple, une chirurgie esthétique de confort n'est pas prise en charge par la sécu, mais une chirurgie reconstructrice, cherchant à restaurer l'esthétique si.
J'estime (à titre personnel, sans connaître la légalité de la chose) que ces composites n'étaient plus satisfaisants sur le plan du rétablissement de l'esthétique, et méritaient d'être refaits. J'espère avoir raison.


Capture d  cran 2015 03 12 12.28 - Eugenol
chicot29

20/11/2014 à 23h58

Par contre la ceram sur 46 et la CC acier sur 35 ne me semblent plus adaptées niveau marginal. Tu aurais du commencer par là et éventuellement grouper les composites avec la pose, à titre gracieux bien sur ! ( ca ou tarif sécu opposable c'est kif kif, pas la peine de prendre des risques pour ci peu)-)))))

PS : il y a un avant et un après controle sécu. On ne voit pas les choses de la meme façon après. Genre : vous avez les radios préop qui justifient l'intervention ?
Je radiographie tout et je photographie tout avant, pendant et après. C'est excellent pour la communication auprès du patient et pour renvoyer dans ses buts le KAPO administratif qui viendra me chercher des poux dans la tete, ca évite des kms d'explications et justifications.


dolcel82

20/11/2014 à 23h58

C est quoi ce registrant a sert a quoi... Je suis curieuse le cas est super beau!


Nouveau image bitmap fz77zh - Eugenol
Sethef

21/11/2014 à 00h05

Tu es moqueur. Je pense qu'elles étaient étanches, même si on a eu une récession. Mais ça se trouve, je les ai refaites aussi, je ne me rappelle plus qui c'était.


Non sérieusement, la notion de rétablissement de l'esthétique est-elle valable en antérieur? Un spécialiste?


Capture d  cran 2015 03 12 12.28 - Eugenol
chicot29

21/11/2014 à 00h15

dolcel82 écrivait:
------------------
> C est quoi ce registrant a sert a quoi... Je suis curieuse le cas est super
> beau!

Ce quoi ?


Nouveau image bitmap fz77zh - Eugenol
Sethef

21/11/2014 à 00h16

Le sujet du post.


Capture d  cran 2015 03 12 12.28 - Eugenol
chicot29

21/11/2014 à 00h18

A oui le silicone transparent ! Je me demande d'ailleurs si il n'y aurait pas moyen de l'utiliser en antérieur, c'est chiant d'utiliser des moules et les strips transparents ne te font pas de bombés proximaux nickel.

Tiens au fait j'utilise le meme compo que cingulum, estellite quick. teinte a3.


12