Cookie Consent byPrivacyPolicies.combruxisme chez l'enfant - Eugenol
marco17

28/11/2014 à 10h15

Salut,
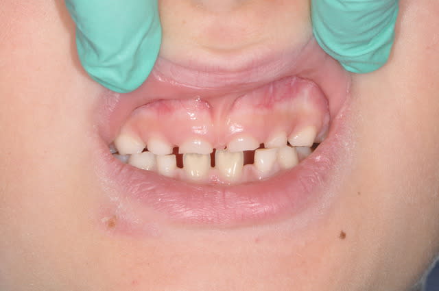
j'ai un petit de 6 ans et 10 mois qui présente des usures
très importantes sur les dents antérieurs,
quelle est la CAT ?
merci d'avance ;-)

Dsc 0541 xkphi6 - Eugenol
Dsc 0542 na2ks5 - Eugenol

Index vakr2r - Eugenol
pgc

28/11/2014 à 19h28

CAT = abstention.
Il a 7 ans.
Il va remplacer ses incisives sous peu.
Tu vas pas lui faire porter une gouttière :-)

Tu es sûr que c'est bruxiste? Parce que si, sur la photo, il est en occlusion habituelle, c'est le bout-à-bout qui a usé ses dents (sinon, il est bruxiste).
Les dents de lait c'est pas bien dur.


RookMoot

28/11/2014 à 19h35

Le bruxisme chez l'enfant est parfois en rapport avec des troubles respiratoires pendant le sommeil, et du coup des troubles du sommeil, troubles qui s'améliorent avec la croissance (végétations envahissantes...).
Comme chez les adultes avec apnée du sommeil.


Ylfwcw979cz1jnx9gfqeaxndiuzk - Eugenol
Algi

29/11/2014 à 19h32

Y'a le frein entre les dents aussi....

Sinon: il a usé ses lacteales, a de bons espaces de bogue, peut être physiologique en fin de vie de cette denture.

Pour savoir s'il bruxe: vérifier le tonus des masséters, demander aux parents si il grince. Se renseigner sur qualité du sommeil, respi buccale, soucis ORL, état de son lit le matin, regarder ses AFMP et d'éventuelles facettes d'usure.

Si il bruxe: gouttière soulet et besombes+rééducation respi et déglutition. Ça peut aider y compris pour faire remonter le frein.

--
On a toujours le choix mais entre quoi et quoi?
Vas-y boulégue et l'avenir te le dira!


Nouveau image bitmap fz77zh - Eugenol
Sethef

29/11/2014 à 20h25

Le bruxisme est souvent physiologique chez les gamins, et disparaît généralement en denture définitive. Je crois me rappeler qu'on peut observer un bruxisme chez 70% des enfants, aucune idée de la source.
Quoi qu'il en soit, abstention bien entendu. Ce qui n'exclut pas par ailleurs de rechercher et si nécessaire traiter un autre problème fonctionnel.


Nouveau image bitmap fz77zh - Eugenol
Sethef

29/11/2014 à 20h27

Algi écrivait:
--------------

> Pour savoir s'il bruxe: vérifier le tonus des masséters, demander aux parents si
> il grince. Se renseigner sur qualité du sommeil, respi buccale, soucis ORL, état
> de son lit le matin, regarder ses AFMP et d'éventuelles facettes d'usure.


Là encore de mémoire, Planas considérait qu'en fin de denture temporaire, les AFMP devaient être à 0, au point qu'il préconisait des meulages fonctionnels si ce n'était pas le cas... Des facettes d'usure, tu m'étonnes qu'il y en ait.


Nouveau image bitmap fz77zh - Eugenol
Sethef

29/11/2014 à 20h40

pgc écrivait:
-------------

> Tu es sûr que c'est bruxiste? Parce que si, sur la photo, il est en occlusion
> habituelle, c'est le bout-à-bout qui a usé ses dents (sinon, il est bruxiste).



Probable qu'il soit en bout à bout parce qu'il a usé ses dents, et non l'inverse... J'imagine qu'une fois les définitives évoluées, cela devrait rentrer dans l'ordre (mais j'aimerais bien l'avis d'un ODF spé voyance à ce sujet)

Autre possibilité, j'imagine qu'une fracture des bords libres des 2 centrales quand il était petit donnerait une image assez approchante quelques années plus tard. Hypothèse à l'instant, peut-être une idiotie.


Images mg2jvu - Eugenol
zorg

30/11/2014 à 12h31

Sethef écrivait:
----------------
> Le bruxisme est souvent physiologique chez les gamins, et disparaît généralement
> en denture définitive. Je crois me rappeler qu'on peut observer un bruxisme chez
> 70% des enfants, aucune idée de la source.
> Quoi qu'il en soit, abstention bien entendu. Ce qui n'exclut pas par ailleurs de
> rechercher et si nécessaire traiter un autre problème fonctionnel.

je confirme


Index vakr2r - Eugenol
pgc

12/12/2014 à 20h15

Sethef écrivait:
----------------
>
> Probable qu'il soit en bout à bout parce qu'il a usé ses dents, et non
> l'inverse...

Je suis à peu près sûr du contraire mais bon on va pas le tuer et l'autopsier pour vérifier alors ce point restera dans le vague ;-)


Nouveau image bitmap fz77zh - Eugenol
Sethef

12/12/2014 à 22h45

La science exige de menus sacrifices.


Debroc

12/12/2014 à 23h21

Évidemment... Il est urgent de ne rien faire.....


dolcel82

12/12/2014 à 23h58

J avais appris à la fac que les grincements chez les enfants ça pouvait venir de vers, donc vermifuge... Bon dans ce cas je pense que c autre chose car trop important..


Index vakr2r - Eugenol
pgc

13/12/2014 à 13h43

C'est vrai, on hésite.
Ne rien faire?
Le vermifuger (ha ha)?
Ou bien poser carrément une indication de double ostéotomie maxillaire/mandibule avec six ou sept ans d'orthodontie?

C'est pas si facile.
Si on inclut la notion de perte de chance, et tout ça...
Qui sait, en cas de sous-traitement, s'il n'y aura pas un procès à la clé?

Voilà un gosse qui aurait peut-être pu gagner la Recherche de la Nouvelle Star, et qui va se retrouver hôte de caisse à temps partiel au Franprix.
C'est bien compliqué tout ça.


Index vakr2r - Eugenol
pgc

13/12/2014 à 13h45

dolcel82 écrivait:
------------------
> J avais appris à la fac que les grincements chez les enfants ça pouvait venir de
> vers, donc vermifuge...

Pour les chiens, on regarde sous la queue.
Pour les mômes, je ne connais pas la CAT.
Si tu décides de te lancer, un conseil: pose le cadre, filme tout. A la réflexion, c'est peut-être un mauvais conseil de filmer. Fait signer une décharge. Appelle ta RCP avant, au cas où.


Nouveau image bitmap fz77zh - Eugenol
Sethef

13/12/2014 à 15h15

Pgc, tu es un sauvage. L'odf serait ici complètement contre-indiquée, et constituerait un surtraitement avéré. Tu n'as donc aucune notion d'économie tissulaire?

Ici, je ferais onlays compo en postérieur et doubles facettes vestibulaires/palatines en antérieur, associées à une remontée de dv.

Comme ce sont des dents temporaires, on pourra éventuellement se contenter de facettes composites afin de diminuer le coût global du traitement, à condition que le petit patient ne soit pas fumeur (risque de colorations majoré)


Index vakr2r - Eugenol
pgc

13/12/2014 à 15h24

Sethef écrivait:
----------------
>
> Ici, je ferais onlays compo en postérieur et doubles facettes
> vestibulaires/palatines en antérieur, associées à une remontée de dv.
>


Ok pour ce plan de tt à condition de faire une étude axiographique sur articulateur avec arc facial, modèles d'études et wax-up, validation à chaque étape par le trio praticien-technicien-patient. Sur le plan des honoraires il faut fortement valoriser ce préalable indispensable aux étapes cliniques.
Je suis surpris que tu ne prévois pas de chirurgie muco-gingivale pré-prothétique et trente-huit séances de rééducation de la déglutition par un Orthophoniste Distingué, mais bon, si tu te contentes d'à-peu-près dans la prise en charge de tes patients, qui suis-je pour te juger? Peut-être travailles-tu dans une ZEP. Nous n'avons pas les mêmes valeurs. J'exerce mon art dans une ZAD (Zone A Détrousser).


Index vakr2r - Eugenol
pgc

13/12/2014 à 15h26

Sethef écrivait:
----------------
> Pgc, tu es un sauvage. L'odf serait ici complètement contre-indiquée, et
> constituerait un surtraitement avéré. Tu n'as donc aucune notion d'économie
> tissulaire?
>

Tu m'as démasqué. Je n'ai plus aucune notion d'économie tissulaire. En revanche, je commence à acquérir quelques notions d'économie tout court, à force de revers et de déconvenues.


rico13

19/12/2014 à 08h50

C'est physiologique complètement.
Rassure les parents et félicite d'avoir un petit qui "fait ses dents". Il développe son massif facial.
T'as même certains orthophonistes qui peuvent te demander de limer les canines de lait pour libérer la mâchoire des contraintes et permettre au petit de "grincer"
C'est le passage d'un plan d'occlusion plat ( enfant) sur lequel il propulse sans aucun guide antérieur, à des courbures d'occlusion (adulte)