Cookie Consent byPrivacyPolicies.comcouronnes sur 65,85,75 - Eugenol

couronnes sur 65,85,75

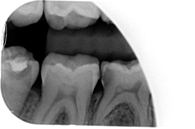
rvb

05/12/2014 à 19h51

je reçois ce jour cette nouvelle patiente trisomique qui présente des agénésies multiples.
le traitement odf est phase de contention
55,65,75 et 85 ont été conservées
mais pour 65 75 et 85 c'est endo je pense
je pense faire reconstitution avec tenon fibré et couronne
je crois que c'est npc en tout cas pour la couronne.
la maman est consciente que les implants peuvent etre également une solution
l'age de la patiente le permet
je crois que je n'ai jamais eu un tel cas ou la conservation semble possible à long terme et je n'ai pas envie d'extraire
j'attends vos expériences dans ce type de situation




Inconnu x 20141205 173037 xiihsowisqds 4 ni50ah - Eugenol
Inconnu x 20141205 172807 x0ulytii9cg1 4 nkzy2g - Eugenol
Inconnu x 20141205 172555 xgtztv9muzx 4 puahjq - Eugenol

Little shop of horrors brzqjx - Eugenol
chatondecarte

05/12/2014 à 20h05

Si tu veux conserver ces dents, je te déconseille de les couronner.
D'après la radio, tu vas te retrouver avec des cavités occluso proximales. Pour moi c'est compo direct ou indirect.


Bagheera tudzjy - Eugenol
bagheerra

05/12/2014 à 20h19

Si l'état pulpaire le permet, je pencherai plutôt pour de simples pulpotomies bien faites.
Puis reconstitution en fonction du délabrement, je suis plutôt favorable aux coiffes pédo, bien bouterollées en sous-gingival. Cela permettra probablement de gagner pas mal de temps avant les implants.
Et sans oublier que lorsqu'il est indiqué, un bon amalgame vaut mieux qu'un composite moyen.
Je ne pense pas que le collage de tenons fibrés soit très documenté sur les dents déciduales...
Attends l'avis de TiGabi.

R11 ev4vyl - Eugenol

rvb

05/12/2014 à 20h36

Le délabrement sur 65 et encore plus sur 75 seront plus qu'occluso-proximaux
La restauration directe ou indirecte ne concernera que 85 dans le meilleur des cas.


Cquenotte

05/12/2014 à 20h37

bagheerra écrivait:
-------------------
> je suis plutôt favorable aux
> coiffes pédo, bien bouterollées en sous-gingival.

c'est quoi ça "bouterollées" ?
Tu fais ça comment ?


Bagheera tudzjy - Eugenol
bagheerra

05/12/2014 à 21h05

Ben avec une pince à bouteroller ;-)
Le sertissage final est obtenu en rentrant légèrement les bords de la coiffe (préalablement ajustée en bouche) à l'aide de la pince.
L'insertion finale (avec ciment de scellement) se fait légèrement en force. Les parois de la coiffe étant très fines, l'ajustement est très bon.
Je crois que cette "technologie" était utilisée (ou l'est encore) pour les coiffes en or sur incisives latérales saines, dans certaines cultures.

Dsc 0336 c6h80g - Eugenol
Dsc 0334 tkoqll - Eugenol
Dsc 0335 fn0xse - Eugenol

Cquenotte

05/12/2014 à 21h24

Merci beaucoup !
Et bonne soirée.


Little shop of horrors brzqjx - Eugenol
chatondecarte

06/12/2014 à 00h42

bagheerra écrivait:
-------------------
> Si l'état pulpaire le permet, je pencherai plutôt pour de simples pulpotomies
> bien faites.


Les pulpotomies c'est pour les dents temporaires. Et vu que y a pas les dents permanentes en dessous, je considère que ces dents lacteales sont permanentes.

> Puis reconstitution en fonction du délabrement, je suis plutôt favorable aux
> coiffes pédo, bien bouterollées en sous-gingival. Cela permettra probablement de
> gagner pas mal de temps avant les implants.
> Et sans oublier que lorsqu'il est indiqué, un bon amalgame vaut mieux qu'un
> composite moyen.


Et un bon composite vaut mieux qu'un bon amalgame.


> Je ne pense pas que le collage de tenons fibrés soit très documenté sur les
> dents déciduales...
> Attends l'avis de TiGabi.


01 ukhwbq - Eugenol
ʎqqoq

08/12/2014 à 18h27

bagheerra écrivait:
-------------------

> Je ne pense pas que le collage de tenons fibrés soit très documenté sur les
> dents déciduales...

Un tenon résorbable alors :-)


rvb

09/12/2014 à 09h55

chatondecarte écrivait:
-----------------------
> bagheerra écrivait:
> -------------------
> > Si l'état pulpaire le permet, je pencherai plutôt pour de simples pulpotomies
> > bien faites.
>
>
> Les pulpotomies c'est pour les dents temporaires. Et vu que y a pas les dents
> permanentes en dessous, je considère que ces dents lacteales sont permanente
> > Puis reconstitution en fonction du délabrement, je suis plutôt favorable aux
> > coiffes pédo, bien bouterollées en sous-gingival. Cela permettra probablement
> de
> > gagner pas mal de temps avant les implants.
> > Et sans oublier que lorsqu'il est indiqué, un bon amalgame vaut mieux qu'un
> > composite moyen.
>
>
> Et un bon composite vaut mieux qu'un bon amalgame.
>
>
> > Je ne pense pas que le collage de tenons fibrés soit très documenté sur les
> > dents déciduales...
> > Attends l'avis de TiGabi.


Le cdc est formel,c'est npc


Blocperso talon jer3sl - Eugenol
mrquentin

09/12/2014 à 10h59

chatondecarte écrivait:

> Et un bon composite vaut mieux qu'un bon amalgame.

Pas pour moi. Pour moi un bon amalgame vaut mieux qu'un bon composite. Sauf au niveau esthétique. Au niveau des dents permanantes tout du moins. Au niveau des dents temporaires c'est peut etre une autre histoire.