Cookie Consent byPrivacyPolicies.comInfection persistante - Eugenol

Infection persistante

magnague

13/12/2014 à 13h39

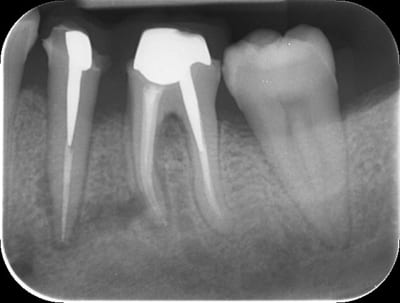
Bonjour, j'ai réalisé la dévitalisation de la 36 avec une anesthésie au quicksleeper avec du 1/100 000 entre la 35 et la 36. Le patient est revenu quelques jours après avec des douleurs et mon conjoint lui a prescrit de l'amoxicilline. J'ai réalisé le traitement de 35 quelques semaines après. Les douleurs s'étaient calmées mais il persistait une sensibilité à la pression et un sondage de 8 mm en distal de 35 et en mésial de 36. Un mois après une suppuration est apparue au niveau de 35 36 mais aussi 34 et 37. J'ai fait une prescription d'augmentin et de flagyl pendant 10 jours.
A ce jour, il n'y a plus de suppuration pas de douleur à la pression sur ces dents mais le vestibule est rouge et légèrement sensible à la palpation. Et la radio n'est pas jolie du tout... Je crains une nécrose osseuse:-(( Dans ce cas, quelle est la conduite à tenir? Merci pour votre aide.

09102014 phyijp - Eugenol
13122014 vtbq17 - Eugenol
15112014 utekn6 - Eugenol

dentatronche

13/12/2014 à 14h28

surveillance et contrôle régulier. Pk t'as enlevé les IC?
je suis sur que ca va s'arranger.
wait and see

comme quoi parfois une bonne tronculaire ... :) l'an dernier je me suis fait happer au stand quicksleeper, ils te vendent leur saloperie au prix de la cocaïne


magnague

13/12/2014 à 15h22

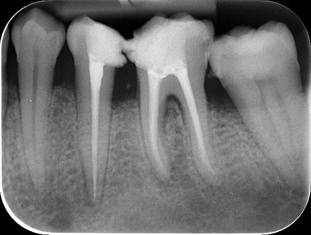
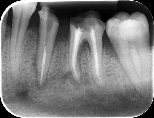
Merci pour ta réponse. J'ai pas enlevé les inlay cores. Les radios sont pas dans l'ordre. La dernière c'est le jour de la préparation pour les IC.


Avatar 46 aoi1yc - Eugenol
HononLulu

13/12/2014 à 16h11

Regarde delicatement sous la gencive, tu verras le septum blanc dessous.
Tu n'es pas le premier n le dernier à avoir cette mésaventure avec la QSP et le 1/100 000.
Ton patient sera soulagé quand tu auras viré l'os mort.
perso quand ça m'est arrivé, j'ai mis un prf en place et ma foi, les dents sont toujours là et vivantes 2 ans après.
Je ne pratique plus le'inta osseuse sur les vrais fumeurs et jamais avec du 1/ 100 00


Avatar eugenol pe0ymx - Eugenol
nicklebenou

14/12/2014 à 23h54

Nécrose osseuse sans aucun doute. Cela m est arrivé il. Y a 2 ans sur une.patiente d une 40 aine d années. J avais du faire 2 anesthésies à une.semaine d intervalle car je n avais pas pu obturer le.premier jour et j avais malheureusement j utilisais du 1 /100 000 ème
à l époque. Depuis je ne M. En sers plus et quand.je fais du QS c est 1 deux cent millième systématique depuis cette histoire. J avais enlevé un séquestré de 12 mm de.diametre.
chirurgie obligé . Tu lève s un lambeau tu fais un curetage après avoir éliminé le séquestre et ça devrait rentrer dans l.ordre.


moritooth

15/12/2014 à 00h17

Nécrose osseuse. J'en ai jamais eu pendant 20 ans, jusqu'au jour essayer le QS, et pourtant avec du 1/200000e. Une fois m'a suffit j'ai revendu le bazard et repris mes habitudes. Cureter un sequestre que t'as provoquer c'est pas drole.


magnague

15/12/2014 à 09h33

Je vais sortir ce séquestre. Y a t il un intérêt à combler avec un substitut osseux? Pour limiter la perte osseuse. Ou mieux vaut il s'abstenir sur un site peut être encore infecté?


jeff13

15/12/2014 à 12h12

je comprends pas comment on peut avoir un sequestre osseux si l'injection a été faite en profondeur (enfoncement de la quasi totalité de l'aiguille) ?


Image r6habu - Eugenol
Thomas Crown

15/12/2014 à 12h30

http://www.eugenol.com/sujets/395607-necrose-septum-avec-quicksleeper?page=1

Si la poche paro était pré existante, ça amplifie le problème.
Le LAD de 35 a morflé, attention au lambeau , pas de décharge la..
Il est clair qu.il faut cureter l'os jusqu. au saignement, sinon tu l.adresses.
Perso je comblerai pas .


toothex

15/12/2014 à 13h03

jeff13 écrivait:
----------------
> je comprends pas comment on peut avoir un sequestre osseux si l'injection a été
> faite en profondeur (enfoncement de la quasi totalité de l'aiguille) ?

je n'ai eu qu'un seul cas de nécrose avec le QS, j'enfonce toujours l'aiguille quasi a fond, mais la c'est l'intégralité du septum entre 36 et 37 qui s'est nécrosé quasi jusqu'aux apex.
c’était avec du 1/200000, terrain très infectieux + très gros fumeur.


jeff13

15/12/2014 à 15h01

De toute facon, il n'ya pas de methode d'anethesie sans risques ni complications post op (qs, intralig, tronculaire, rappel palatin...)


magnague

05/03/2015 à 12h34

Ca y est, c'est fait.... Un beau morceau quand même, dégoutée...
Donc méfiance avec le QS sur les gros fumeurs et pas de 1/100 000e. J'ai retenu la leçon!

Img 3173 iivmyj - Eugenol

Avatar eugenol pe0ymx - Eugenol
nicklebenou

05/03/2015 à 14h59

magnague écrivait:
------------------
> Ca y est, c'est fait.... Un beau morceau quand même, dégoutée...
> Donc méfiance avec le QS sur les gros fumeurs et pas de 1/100 000e. J'ai retenu
> la leçon!

pas mal. lol :-)