Cookie Consent byPrivacyPolicies.comReprise infection sous couronne, patient demande - Eugenol

Reprise infection sous couronne, patient demande indemnisation...

dentist86

18/12/2014 à 19h11

Bonsoir,
Je suis jeune dentiste collaboratrice libéral.
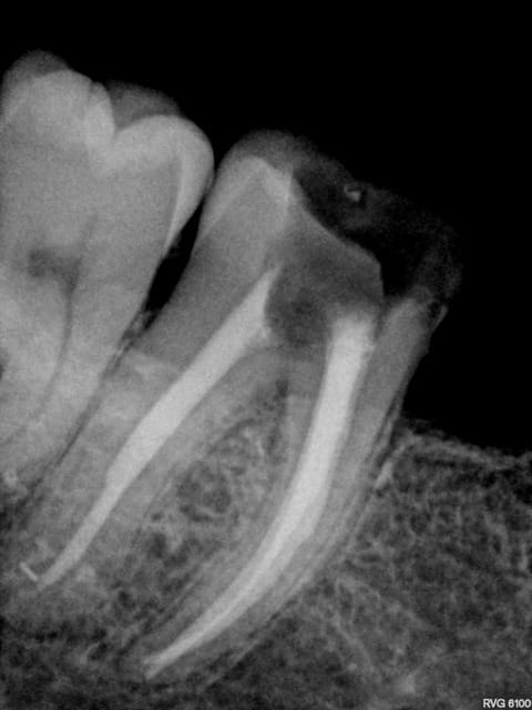
J'ai un de mes patients du cabinet où je travaillais avant qui m'a contacté car il a une reprise d'infection sous la CCM sur 46. Le praticien lui a déposé la couronne et va entreprendre le retraitement endodontique. Puis réaliser une nouvelle couronne. Etant donné que cela fait 3 ans que la couronne est posée le patient est mécontent. Il m'a appelé pour savoir s'il était possible d'avoir une indemnisation.
Je vous mets les photos en pièce jointe.
J'aurais voulu avoir votre ais sur la marche à suivre? car c'est la première fois que cela m'arrive
Merci


4a338550 6a5b 47ea b2a7 d3cb675c5076 oni5gh - Eugenol
fistule69

18/12/2014 à 19h20

Contactes ta RCP et demande la marche à suivre !
Ne rien rembourser toi même.
Si un autre touche, il gère.
Ne pas t'impliquer personnellement.
Nous sommes des soignants, parfois ça marche et parfois pas.
Des grosses merdes on en a tous !
Plus difficile d'accepter quand on commence.
Et puis ses merdes souvent on les voit pas car les patients vont pleurer ailleurs.


paradoxe

18/12/2014 à 19h41

Simple problême d'argent... et il n'était certainement pas obligatoire de refaire la couronne.. bon courage..


lachmar

18/12/2014 à 19h54



contacte ta RCP tout de suite en leur signalant que tu as fait une faute :

le problème est que tu as travaillé sans digue et çà c'est une faute


Morgan ztbb1b - Eugenol
BONNET jc

18/12/2014 à 20h21

Ne leur dis surtout pas que tu as fait une faute. A la radio, ton obt est bonne.C'est tout.


Morgan ztbb1b - Eugenol
BONNET jc

18/12/2014 à 20h22

lachmar écrivait:
-----------------
>
>
> contacte ta RCP tout de suite en leur signalant que tu as fait une faute :
>
> le problème est que tu as travaillé sans digue et çà c'est une faute
>

Il y a alors 90% de dentistes fautifs.Cela pose un sacré problème!


Photo thumb 45 lnhuvp - Eugenol
wakrap

18/12/2014 à 20h51

15 ans que je bosse sous digue et je n'ai jamais fait une radio avec la digue, c'est con de s'emmerder, soi et le patient . La radio avec le crampon est nécessaire pour justifier d'une digue? A la limite je remettrai le crampon seul avant la radio finale; pays de cons.


Enigma

18/12/2014 à 22h05

lol j'allai repondre la meme chose que wakrap.

si elle a mis la digue, elle a juste retirer le crampon pour prendre la radio, c'est pas précisé dans la HAS que la radio doit etre effectuée avec un crampon , si ??? .............

@wakrap: ne pas poser la digue et mettre un crampon pour la radio finale! ptdr.


gille

18/12/2014 à 23h12

A
o o


uɹöɾq

18/12/2014 à 23h20

paradoxe écrivait:
------------------
> .. et il n'était certainement pas obligatoire de
> refaire la couronne..

Ah?



Index vakr2r - Eugenol
pgc

18/12/2014 à 23h53

Ton endo était pas mal.
C'est étonnant que le matériau d'obturation qui était dense en 2011 se soit dégradé à ce point et si vite.

Si toutes les endos sans digue devaient conduire à l'infection de la racine, et dans ces proportions, nos patients n'auraient plus beaucoup de dents.

Contacte ta RCP.
Il est possible qu'il y ait autre chose (perfo latérale un peu en dessous du plancher, fracture de la racine MV).
Pour moi jusqu'à preuve du contraire c'est un alea.


uɹöɾq

19/12/2014 à 00h36

pgc écrivait:
-------------
> Ton endo était pas mal.

Tu veux dire que, sur la radio, c'est à peu près blanc jusqu'au bout de la racine?
Parce que c'est tout ce qu'on peut dire sur cette endo. :-)))


Dog wwyerg - Eugenol
TTDAM

19/12/2014 à 00h51

uɹöɾq écrivait:
---------------
> paradoxe écrivait:
> ------------------
> > .. et il n'était certainement pas obligatoire de
> > refaire la couronne..
>
> Ah?
>
>
Déposer la dent ?????

--
TTDAM


youn

19/12/2014 à 02h42

Oh la belle peinture...

Bon sinon oui RCP ils sont là pour ça.

Par contre à ta place je ne contesterais rien du tout, t'es en tort à 300%. J'espère pour toi que toutes tes endos ne sont pas comme ça. Certains me diront que je suis sévère blablabla "ça t'es jamais arrivé de rater" etc, mais en sortant de la fac faire ça je trouve ça honteux.

Mets au moins un cône un minimum calibré. La gutta ne "disparaît" pas.
Faut pas déconner non plus.T'as pas oublié de rincer les canaux 15 secondes au Dakin?
En voyant ça comment voulez-vous qu'on puisse défendre l'idée que nos diplômes sont meilleurs que ceux des facs privés...


Capture d  cran 2015 03 12 12.28 - Eugenol
chicot29

19/12/2014 à 06h10

youn écrivait:
--------------

> Mets au moins un cône un minimum calibré. La gutta ne "disparaît" pas.


C'est sur meme à ciel ouvert pendant 3 ans -))))
C'est quoi ce cone à 2 % ?

7 iii6wv - Eugenol
9 ibqykd - Eugenol
2 nsgzxu - Eugenol
3 ozzfrn - Eugenol
5 mmbs0x - Eugenol
8 esivub - Eugenol
10 qziic6 - Eugenol

Vw campersurfvan bmnk1q - Eugenol
enlaye

19/12/2014 à 09h24

il peut la reprendre comme il veut l'endo , elle parait cuite la dent. ça a l'air multifactoriel ce truc avec une tres tres grosse composante occlusale .
Et je pense que si le type en avait notion , il ne se serait pas lancé a corps perdu dans dépose de coiffe , depose d ic etc ....sans peur du futur ,en etant sur qu'il sera bien meilleur que toi, sachant que ç est une dent terminale.....


Titof2000

19/12/2014 à 09h47

Rassurer-moi svp... Est-ce que je suis le seul à avoir les cheveux qui s'hérissent à lire les commentaires des jeunes puceaux qui veulent apprendre à leurs pères à faire des gosses?

Dans notre métier l'humilité est une preuve d'intelligence et de savoir. Et la confraternité notre seul salut...


Avatar transparent iqadnc - Eugenol
adhoc

19/12/2014 à 09h50

Completement d'accord avec enlaye pour le multifactoriel ;l'infection est inter radiculaire , suite a une recession parodontale importante ,il suffit de voir la radio. Le retraitement (avec ou sans digue, :-)) est bien, mais ne donnera rien de plus!


Android jyzura - Eugenol
Tavéca

19/12/2014 à 09h56

enlaye écrivait:
----------------
> il peut la reprendre comme il veut l'endo , elle parait cuite la dent. ça a
> l'air multifactoriel ce truc avec une tres tres grosse composante occlusale .

La comme ca juste avec une radio, tu arrives a ce diagnostic?
Ok tu aimes l'occluso mais bon quand cela demande un peu d'analyse non?

Pour l'endo, c'est vrai que la disparition du matériaux d'obturation ne plaide pas en la faveur de notre jeune confrère.
Il faut savoir se remettre en question de temps en temps.


Android jyzura - Eugenol
Tavéca

19/12/2014 à 09h58

adhoc écrivait:
---------------
> Completement d'accord avec enlaye pour le multifactoriel ;l'infection est inter
> radiculaire , suite a une recession parodontale importante ,il suffit de voir la
> radio. Le retraitement (avec ou sans digue, :-)) est bien, mais ne donnera rien
> de plus!

Que d'affirmation sur une simple radio!
Vous êtes fort les gars!!!


Vw campersurfvan bmnk1q - Eugenol
enlaye

19/12/2014 à 10h08

meme pas besoin de radio . au telephone,on peu dejà faire le diagnostique a 70% .....à force .


Orezza gazeuse verre litre ocoxey - Eugenol
casa

19/12/2014 à 10h09

Ben oui comme Enlaye ... vous avez jamais vu ça des 7 qui , avec ou sans endo , a partir d'un certain age ont envie de se faire la mâle ? Je suis sure au vu de la radio qu'elle gigote bien cette petite dent ....


chirdent26

19/12/2014 à 10h26

La radio post-op du 15/11/2011 semble montrer la présence de cône de gutta dépassant coronairement . L'erreur ne viendrait-elle pas d'une empreinte de l'ic dans la foulée .
la préparation a retiré les cônes laissant le ciment endodontique.
Concernant une lésion interradiculaire je suis dubitatif en voyant uniquement cette radio .
De toute manière RCP un point c'est tout et un grand remerciement au confrère qui a dû en rajouter une couche.


Kon nx3ojp - Eugenol
Kon

19/12/2014 à 10h46

Je vais peut-être dire une connerie mais la dernière radio semble avoir été prise pendant le rtr après desobturation non ?
C'est le titulaire qui t'a envoyé la dernière radio ?


Orezza gazeuse verre litre ocoxey - Eugenol
casa

19/12/2014 à 10h51

.


12...

Ce sujet est verrouillé

Les réponses à ce sujet sont désactivées